
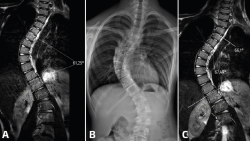
Figura 9. Resonancia magnética (RM) convencional en supino de columna completa en paciente con escoliosis (A); telerradiografía en bipedestación de columna completa (B); y RM en carga simulada del mismo paciente (C). Nótese el aumento del ángulo Cobb evidenciado en RM con carga simulada que se correlacionó con la radiografía en bipedestación.