
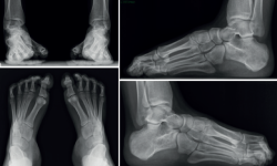
Figura 3. En las radiografías que se presentan se objetiva una deformidad importante y bilateral en cavo varo. En esta proyección lateral de radiografía en carga se observan signos de varización subtalar: seno del tarso abierto, subastragalina posterior en proyección ortogonal, columna medial sobre columna lateral, supinación del antepié. El paciente manifestaba una rigidez importante en el conjunto tobillo-pie y una sobrecarga lateral con dolor en el quinto radio.