
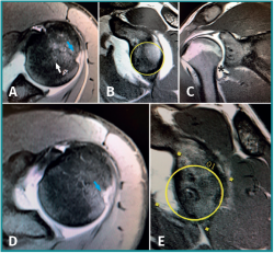
Figura 2. Resonancia magnética de un paciente de 19 años con inestabilidad glenohumeral con lesión del ligamento glenohumeral inferior asociada (asterisco). A y B: cortes axial y sagital preoperatorios. Se aprecia integridad de la glena y lesión de Hill-Sachs (flecha). La lesión ligamentosa fue pasada por alto y se realizó únicamente reparación artroscópica de la lesión de Bankart. A los 6 meses de la operación el paciente sufre un nuevo episodio de luxación. D y E: cortes axial y sagital tomados en resonancia posterior al fracaso de la intervención de Bankart. Se aprecia aumento de tamaño de la lesión de Hill-Sachs e importante defecto en la glena anterior respecto a la resonancia preoperatoria.