
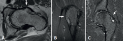
Figura 2. A y B: corte axial de resonancia magnética (RM) en secuencia T1 (A) y corte coronal de RM en secuencia T2 (B) que evidencian una exostosis ósea de gran tamaño en la superficie anterolateral del cuello femoral; C: corte coronal en secuencia T2 que evidencia exostosis en el cuello femoral y signos compatibles con rotura del labrum anterosuperior.