
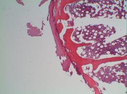
Figura 7. Imagen histológica de la muestra donde se observa una cápsula periférica de cartílago maduro, condrocitos con núcleo pequeño y citoplasma vacuolizado, sin signos de atipia y osificación encondral con trabéculas conservadas, entre signos de hemorragia y compromiso inflamatorio crónica leve (HE, ampliación × 4).