
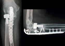
Figura 11. Reducción y fijación del cúbito con placa del olécranon y tornillo adicional, reducción y fijación de la coronoides con tornillos de la placa y 2 tornillos adicionales, y prótesis de la cabeza del radio, que se encontraba fracturada y luxada. Tras la osteosíntesis se restituyó la estabilidad en las articulaciones humerocubital y radiocubital proximal.