
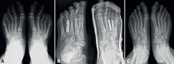
Figura 2. Paciente de 13 años con braquimetatarsia múltiple bilateral. A: radiografía simple en proyección dorsoplantar en carga previa a la cirugía donde se aprecia acortamiento congénito del cuarto metatarsiano del pie izquierdo y de los metatarsianos tercero y cuarto del pie derecho; B: radiografía simple en proyección dorsoplantar tras cirugía de alargamiento agudo con injerto autólogo de peroné y fijación con placas bloqueadas. Se observa zona de retardo de la consolidación en el pie izquierdo; C: radiografía simple en proyección dorsoplantar tras la retirada de las placas al año de la cirugía.