Símbolo Fondo Science

Contacte para más información en el teléfono +34 629 829 605

Revista del Pie y Tobillo

Sociedad Española de Medicina y Cirugía del Pie y Tobillo

Portada RPT Vol. 31. Núm. 2. Julio-Diciembre 2017
ISSN online: 2173-2949
ISSN impreso: 1697-2198
Vol. 31. Núm. 2. Julio-Diciembre 2017
10.24129/j.rpt.3102.fs1707031
Recibido: 24 de julio de 2017
Aceptado: 22 de noviembre de 2017
Notas clínicas

Fractura triplanar de tobillo asociada a fractura de peroné

Triplane fracture of the ankle associated with fibula fracture

Rev Pie Tobillo. 2017;31(2):131-5

Resumen: 

Las fracturas triplanares son conocidas como fracturas que se producen después del cierre parcial del plato epifisario tibial. Debido a esto, son un reto para el cirujano ortopedista porque exigen una reducción impecable ya que, si no es así, podrían aparecer complicaciones derivadas de una mala reducción. Presentamos el caso de un varón de 13 años que acude a urgencias tras sufrir una caída presentando una fractura epifisiolisis de tipo IV asociada a fractura de peroné, donde realizamos una osteosíntesis abierta después de una reducción cerrada fallida.

Abstract: 

Triplane fractures are known as fractures that occur after partial closure of the tibial epiphyseal plate. Due to this, they are a challenge for the orthopedic surgeon because they demand an impeccable reduction since, if not, complications could arise due to a bad reduction. We present the case of a 13-year-old man who went to the emergency room after suffering a fall presenting a type IV epiphysiolysis fracture associated with a fibular fracture where we performed an open reduction and osteosynthesis after a failed closed reduction.

Introducción

Las fracturas triplanares se caracterizan por producirse después del cierre parcial del plato epifisario tibial(1). Se definen por trazos de fractura en los planos coronal, sagital y axial y, habitualmente, son una combinación de varios tipos de epifisiolisis según la clasificación de Salter y Harris(2).

La radiografía simple muestra una fractura de tipo III de Salter y Harris en la proyección anteroposterior y una de tipo II en la lateral con fragmento metafisario posterior. Pueden existir fracturas de peroné asociadas en un 24-50% de los casos(3)(4). Se han descrito numerosas variaciones incluyendo 2, 3 y 4 fragmentos.

Lo prioritario en toda fractura de tobillo durante el crecimiento es la reducción anatómica evitando manipulaciones repetidas. En el planteamiento terapéutico debemos considerar 3 aspectos fundamentales: el tipo de lesión según Salter y Harris, el mecanismo de producción y el crecimiento remanente del paciente. Se recomienda la realización de una tomografía computarizada (TC) en la que se visualiza la típica configuración en estrella de Mercedes-Benz(5) con reconstrucción multiplanar para realizar una buena planificación quirúrgica(6)(7).

Caso clínico

Se trata de un varón de 13 años de edad que acude a urgencias tras sufrir una caída y con eversión forzada del tobillo jugando al fútbol. A la exploración, presentaba inflamación en todo el tobillo izquierdo (región anterior y ambos maléolos) sin déficit neurovascular. En la radiografía simple se observó una fractura epifisiolisis de tipo IV (Figura 1).

Se realizó una TC del tobillo que confirmó el diagnóstico de fractura triplanar en 3 fragmentos con fractura de peroné con ligero desplazamiento (Figura 2).

Bajo anestesia general se intentó la reducción cerrada de las fracturas, sin éxito (Figura 3).

Por ello, realizamos reducción abierta mediante abordaje anterior ligeramente lateral: incisión recta de aproximadamente 8 cm, seccionando el retináculo extensor y rechazando a medial el tendón del músculo tibial anterior y extensor hallucis longus y hacia lateral el paquete vasculonervioso (vena y arteria dorsal del pie y nervio peroneo profundo). Apertura de la cápsula articular para obtener un mejor acceso a la zona articular y fisaria, donde procedimos a la colocación de agujas de Kirschner para ayudar a mantener la reducción de la fractura (Figura 4).

Tras conseguir una adecuada reducción de la fractura, realizamos fijación interna con 2 tornillos canulados de rosca parcial de 16 mm (un tornillo epifisario de lateral a medial y otro metafisario anteroposterior) comprobando bajo fluoroscopio la reducción de la fractura (Figura 5).

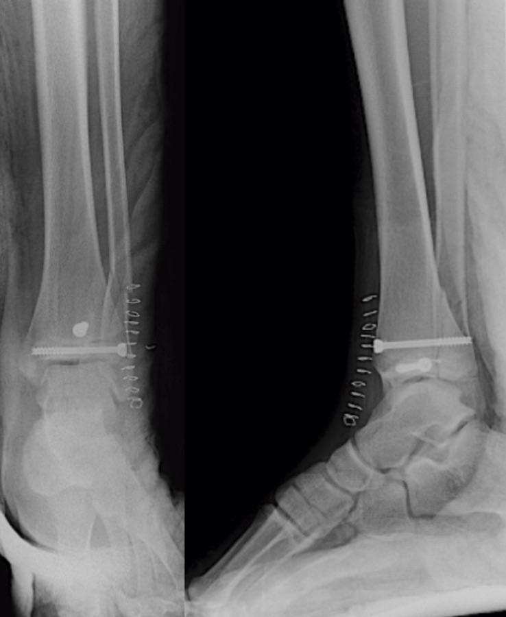
A continuación, realizamos un cierre por planos meticuloso de la cápsula articular, retináculo extensor, subcutáneo y piel, inmovilizando con un yeso suropédico. El paciente presenta una evolución inmediata favorable con dolor controlado, exploración neurovascular normal y control radiológico inmediato correcto (Figura 6).

Se permitió la movilidad del tobillo a la segunda semana y se mantuvo en descarga durante 6 semanas, seguido de carga parcial progresiva, permitiendo la carga competa a la 8.ª semana. Las fracturas consolidaron a las 8-9 semanas.

figura-1.jpg


Figura 1. Radiografía: epifisiolisis de tipo IV asociada a fractura de tercio distal de peroné.

figura-2.jpg


Figura 2. Tomografía computarizada + reconstrucción 3D: signo de Mercedes-Benz. Fractura Salter-Harris de tipo III en anteroposterior y de tipo II en proyección sagital + fractura de peroné.

figura-3.jpg


Figura 3. Radiografía intraoperatoria después de reducción cerrada.

figura-4.jpg


Figura 4. Reducción abierta, fijación temporal con agujas de Kirschner.

figura-5.jpg


Figura 5. Control radiológico intraoperatorio: fijación con tornillos canulados.

figura-6.jpg


Figura 6. Control radiológico postoperatorio.

Discusión

Las fracturas distales de tibia con afectación intraarticular durante la infancia son lesiones con complicaciones potencialmente graves si no se tratan con prontitud. Las fracturas triplanares no desplazadas (< 2 mm de desplazamiento) y las fracturas extraarticulares se pueden tratar con bota de yeso y descarga durante 4-6 semanas. Para las fracturas desplazadas, se intenta la reducción cerrada con anestesia general (debemos evitar más de 2 intentos de reducción: cada intento causa traumas y hemorragias adicionales y, posiblemente, más lesiones en la placa de crecimiento tibial distal). Obtenemos una reducción cerrada adecuada de la fractura en todos los planos en entre un 30 y un 50% de los casos. Las indicaciones para el tratamiento quirúrgico son la imposibilidad para conseguir una reducción incruenta, una fractura intraarticular desplazada, una fractura desplazada a través del cartílago de crecimiento, las fracturas abiertas y una fractura asociada a lesión vascular. Cuando el desplazamiento de los fragmentos es mayor de 2 mm(8), se recomienda reducción, osteosíntesis con agujas o tornillos e inmovilización con escayola durante un mes. Pocos son los casos en los que existe asociada una fractura transindesmal de peroné y, en general, los adolescentes sanos y jóvenes suelen tener una buena evolución clínica(9) a pesar de que es una lesión grave.

El caso que aportamos es un varón de 13 años que presenta una fractura triplanar típica con un desplazamiento en el que no fue posible la reducción cerrada, como se describe en otras publicaciones(10), y tuvimos que realizar una reducción abierta y fijación interna. En nuestro caso, utilizamos tornillos canulados, los cuales, desde el punto de vista biomecánico, proporcionan mayor estabilidad que las agujas de Kirschner utilizadas en los niños.

Son excepcionales las secuelas secundarias a la fusión prematura del cartílago de crecimiento debido a la proximidad de la madurez esquelética, a diferencia de los cambios degenerativos que pueden aparecer a largo plazo si no se consigue una adecuada reducción. Las posibles complicaciones incluyen las siguientes: retraso del crecimiento de la longitud de la tibia o deformidad del tobillo secundaria a lesión de la placa de crecimiento epifisario y desplazamiento residual de la fractura después de la reducción, que se asocia a cierre prematuro fisario y artrosis postraumática(11).

Conclusiones

Debemos tener en cuenta que la indicación de tratamiento quirúrgico en estas fracturas es frecuente debido a que en pocas ocasiones conseguimos una reducción correcta. Este tratamiento requiere un conocimiento detallado de la anatomía y de las diferentes técnicas de reducción abierta y fijación interna para obtener buenos resultados funcionales.

Figuras

Figura 1. Radiografía: epifisiolisis de tipo IV asociada a fractura de tercio distal de peroné.

Figura 2. Tomografía computarizada + reconstrucción 3D: signo de Mercedes-Benz. Fractura Salter-Harris de tipo III en anteroposterior y de tipo II en proyección sagital + fractura de peroné.

Figura 3. Radiografía intraoperatoria después de reducción cerrada.

Figura 4. Reducción abierta, fijación temporal con agujas de Kirschner.

Figura 5. Control radiológico intraoperatorio: fijación con tornillos canulados.

Figura 6. Control radiológico postoperatorio.

Cita bibliográfica

Guerra Álvarez OA, Fernández Díaz J, Sánchez Robles AFractura triplanar de tobillo asociada a fractura de peroné. Rev Pie Tobillo. 2017;31(2):131-5. doi: 10.24129/j.rpt.3102.fs1707031

Responsabilidades éticas

Protección de personas y animales. Los autores declaran que para esta investigación no se han realizado experimentos en seres humanos ni en animales.

Confidencialidad de los datos. Los autores declaran que han seguido los protocolos de su centro de trabajo sobre la publicación de datos de pacientes.

Derecho a la privacidad y consentimiento informado. Los autores han obtenido el consentimiento informado de los pacientes y/o sujetos referidos en el artículo. Este documento obra en poder del autor de correspondencia.

Referencias bibliográficas

  • 1
    Kornblatt N, Neese DJ, Azzolini TJ. Triplane fracture of the distal tibia: unusual case presentation and literature review. J Foot Surg. 1990;29:421-8.
  • 2
    Feldman DS, Otsuka NY, Hedden DM. Extra-articular fracture of the distal tibial epiphysis. J Pediatr Orthop. 1995;15: 479-81.
  • 3
    Brown SD, Kasser JR, Zurakowski D, Jaramillo D. Analysis of 51 tibial triplane fractures using CT with multiplanar reconstruction. AJR Am J Roentgenol. 2004;183:1489-95.
  • 4
    Ertl JP, Barrack RL, Alexander AH, VanBuecken K. Triplane fracture of the distal tibial epiphysis: long-term follow-up. J Bone Joint Surg Am. 1988;70:967-76.
  • 5
    Rapariz JM, Martín S. Fracturas de tobillo. En: De Pablos J. Fracturas infantiles: conceptos y principios. Madrid: Edit MBA; 2001. pp. 453-62.
  • 6
    Eismann EA, Stephan ZA, Mehlman CT, Denning J, Mehlman T, Parikh SN, et al. Pediatric triplane ankle fractures: impact of radiographs and computed tomography on fracture classification and treatment planning. J Bone Joint Surg Am. 2015;97:995-1002.
  • 7
    Nenopoulus A, Beslikas T, Gigis I, Sayegh F, Christoforidis I, Hatzocos. The role of CT in diagnosis and treatment of distal tibial fractures with intraarticular involvement in children. Injury. 2015 Nov;46(11):2177-80.
  • 8
    Crawford AH. Triplane and Tillaux fractures: Is a 2 mm residual gap acceptable? J Pediatr Orthop. 2012;32(Suppl):69-73.
  • 9
    Tan AC, Chong RW, Mahadev A. Triplane fracture of the distal tibia in children. J Orthop Surg Hong Kong. 2013;21(1):55-9.
  • 10
    Jarvis JG, Miyanji F. The complex triplane fracture: ipsilateral tibial shaft and distal triplane fracture. J Trauma. 2001;51:714-6.
  • 11
    Hirsch M, Flores F, Ardiles O, Ríos D. Comprendiendo las fracturas triplanares de la tibia distal. Rev Chilena Rad. 2016;22(3):114-20.

Descargar artículo: 

Icono PDF fs_3102.fs1707031-fractura-triplanar.pdf

Licencia: 

Este contenido es de acceso abierto (Open-Access) y se ha distribuido bajo los términos de la licencia Creative Commons CC BY-NC-ND (Reconocimiento-NoComercial-SinObraDerivada 4.0 Internacional) que permite usar, distribuir y reproducir en cualquier medio siempre que se citen a los autores y no se utilice para fines comerciales ni para hacer obras derivadas.

Comparte este contenido

En esta edición

Más en ORCID