Estudio radiológico de la relación del trazo de fractura del maléolo interno con la lesión sindesmal en fracturas de tobillo
Relationship between medial malleolar focus and syndesmotic injury in ankle fracture plain radiographs
Resumen:
Es fundamental establecer un diagnóstico precoz de las lesiones sindesmóticas para decidir el tratamiento en las fracturas de tobillo. Sin embargo, la lesión puede no ser aparente radiográficamente. Estudios previos tratan de describir las correlaciones entre la geometría de la fractura maleolar medial y la disrupción sindesmótica. El principal objetivo de este estudio es crear modelos predictivos para evaluar la lesión sindesmótica basados en un ángulo originalmente descrito, el ángulo crurofocal medial (ACFM).
Este estudio incluye 138 fracturas de tobillo, con maléolo medial afectado. Se registró cualquier medida que pudiera conducir a la sospecha de disrupción sindesmótica en la radiografía simple y, finalmente, el nuevo ángulo descrito, ACFM (formado por la línea principal de la fractura del maléolo medial con una perpendicular a la superficie articular del pilón tibial). La fiabilidad inter- e intraobservador se obtuvo utilizando el coeficiente alfa de Krippendorff. Con el fin de comprobar la capacidad predictiva en cada parámetro, se aplicaron varios métodos estadísticos: regresión logística, análisis discriminante y una regla clínica ad hoc, todos ellos probados por un esquema de validación cruzada.
Después de la selección de variables, se obtuvo el mejor modelo posible; las variables que resultaron estadísticamente significativas fueron el ACFM, el espacio claro tibiofibular (ECTF) y el tipo de lesión en la clasificación de Lauge-Hansen. Este modelo fue probado por validación cruzada, obteniendo que el porcentaje medio de pacientes correctamente clasificados fue del 88%. Se buscó un modelo alternativo más sencillo e intuitivo, basado únicamente en la influencia del ACFM y el ECTF: nuestro estudio muestra ausencia de disrupciones sindesmóticas cuando el ACFM fue menor de 60° y no hubo pacientes no lesionados con ECTF con valor superior a 6 mm. También con la validación cruzada, se encontró que el porcentaje medio de pacientes correctamente clasificados con este modelo fue de 86%. Aplicando el análisis discriminante para esta combinación de variables, la función resultante fue capaz de clasificar una media del 84% de los pacientes correctamente. La fiabilidad inter- e intraobservador para la medición del ACFM fue fuerte, con alfa de Krippendorff entre 0,8 y 0,9.
En conclusión, se obtienen y validan modelos que pueden predecir la lesión sindesmótica usando parámetros de radiografías simples preoperatorias. El ACFM se incluye en estos modelos y muestra ser una técnica confiable.
Abstract:
The early establishment of the diagnosis of a syndesmotic injury is essential for treatment selection. However, such injuries may not be apparent radiographically. Previous studies have attempted to describe correlations between medial malleolar fracture geometry and syndesmotic disruption. The main objective of this study was to create predictive models for assessing syndesmotic injuries based on an originally described angle, i.e., the medial crural-focal angle (MCFA).
This study included 138 ankle fractures involving the medial malleolus. Any measure from the plain radiography that could potentially lead to the suspicion of a syndesmotic disruption was recorded, and the newly described MCFA (formed by the main line of the medial malleolus fracture and a line perpendicular to the bearing surface of the tibial plafond) was also recorded. The inter- and intraobserver reliabilities were obtained using Krippendorff´s alpha coefficients. To examine the predictive abilities of all every parameter, several statistical methods were applied including logistic regression, an ad hoc clinical rule, and discriminant analysis.
After variable selection, we obtained the best possible logistic model. The variables that were found to be statistically significant were the MCFA, the tibiofibular clear space (TFCS) and the type of injury in the Lauge-Hansen classification. This model was tested by cross validation, which revealed a mean percentage of correctly classified patients of 88%. A simpler and more intuitive alternative model was sought that was based solely on the influences of the MCFA and the TFCS. Our study revealed that an absence of syndesmotic disruptions when the MCFA was under 60°, and there were no uninjured patients with TFCS values over 6 mm. Cross-validation revealed that the mean percentage of patients who were correctly classified with this model was 86%. The application of discriminant analysis to this combination of variables resulted in a function was able to correctly classify a mean of 84% of patients.
In conclusion, three models that can predict syndesmotic injury using parameters from preoperative plain radiographs were obtained and validated. The MCFA measurement was in these models and found to be a reliable technique.
Introducción
Anatomía y biomecánica
El complejo ligamentoso de la sindesmosis tibioperonea distal consta de: ligamento tibioperoneo anteroinferior (LTPAI), ligamento interóseo (LIO), membrana interósea, ligamento tibioperoneo posteroinferior (LTPPI) y ligamento inferior transverso (LIT).
Este complejo ligamentoso tiene como función mantener la integridad de la pinza o mortaja que la tibia y el peroné proporcionan al astrágalo, compensando las fuerzas rotacionales, de traslación y compresiones axiales que tienden a separar ambos huesos. Ogilvie et al. demostraron que el LTPAI proporciona un 35% de estabilidad articular, el LTPPI contribuye en un 40% y el LIO en un 21%(1).
Clasificación de las fracturas de tobillo
La clasificación de Danis-Weber es un sistema simple para catalogar las fracturas de tobillo con afectación del maléolo peroneo, tomando como referencia principal el nivel de la fractura del peroné en relación con la articulación del tobillo. Con este sencillo sistema se puede predecir la existencia de lesión ligamentosa e inestabilidad articular, con lo que tiene un papel a la hora de determinar el tipo de tratamiento(2,3,4).
Divide las fracturas en 3 tipos: tipo A o infrasindesmales, tipo B o transindesmales y tipo C o suprasindesmales.
La siguiente clasificación de fracturas de tobillo en orden de importancia fue descrita por Nils Lauge-Hansen. Su clasificación se basa en la posición del pie y en la dirección de la fuerza lesiva, quedando así 4 tipos que se dividen en subtipos(5,6,7,8,9,10,11,12,13): supinación-aducción (SAD), supinación-rotación externa (SER), pronación-abducción (PABD), pronación-rotación externa (PER).
Diagnóstico de la lesión sindesmal
Es de gran importancia reconocer las lesiones de la sindesmosis para establecer el tratamiento adecuado. Sin embargo, la lesión de la misma puede no ser aparente radiológicamente, de ahí que existan multitud de índices y pruebas clínicas para ponerla de manifiesto(14,15). Hay 4 medidas radiológicas de obligada realización: el espacio claro tibiofibular (ECTF, que se considera normal si es menor de 5 mm o 6 según Zalavras y Thordarson(16) y es poco dependiente de la calidad de la radiografía), el solapamiento tibiofibular, el espacio claro medial y el ángulo talocrural.
El tratamiento de las fracturas de tobillo puede cambiar considerablemente según el estado de la sindesmosis. Sin embargo, la capacidad de determinar con certeza la presencia de dicha lesión es limitada y, por eso, los datos objetivos que puedan ayudar a predecir o identificar daño sindesmótico en el preoperatorio son muy apreciados(14,15,16,17,18).
Numerosos estudios recientes demuestran la dificultad para realizar el diagnóstico de lesión sindesmal sin la utilización de estudios como la resonancia magnética (RM)(19).
En los últimos años se le está otorgando una importancia cada vez mayor al papel del maléolo posterior en la estabilización de la sindesmosis, por lo que ha aumentado la indicación de estudios con tomografía axial computarizada (TAC) preoperatoria en un esfuerzo por predecir y mejorar los resultados en el tratamiento de las fracturas trimaleolares con lesión sindesmal(20).
Dada la dificultad del diagnóstico por los medios clásicos, es clave la evaluación intraoperatoria mediante pruebas de estrés de rutina, TAC intraoperatoria en centros donde está disponible y artroscopia para descubrir lesiones latentes encubiertas(21,22,23,24,25,26).
Hipótesis y objetivos
Como objetivo principal, este estudio trata de encontrar un modelo predictivo de lesión sindesmal, basado en la descripción de un ángulo formado por el trazo principal de la fractura del maléolo interno con una perpendicular a la línea de la superficie de carga del pilón tibial, a partir del cual se debe sospechar lesión de la sindesmosis.
Como objetivos secundarios, se encuentra el de evaluar la utilidad de la clasificación de Lauge-Hansen.
La hipótesis principal que se pretende demostrar sería, por tanto, que los trazos de fractura de maléolo interno con mayor verticalidad tienen menor probabilidad de asociar lesión de la sindesmosis.
Material y métodos
Se han localizado todos los números de historia de pacientes atendidos por el Servicio de Traumatología entre el 1-1-2011 y el 31-3-2014, obteniendo 651 fracturas, de las cuales 138 presentaban fractura del maléolo interno.
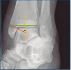
De cada uno, se han obtenido las siguientes mediciones radiológicas: tipo de lesión según Lauge-Hansen, número de maléolos afectados, medida del ángulo talocrural, ratio tibiofibular anteroposterior (AP), presencia o ausencia de superposición de colículos del maléolo interno con el peroneo, ECTF, solapamiento tibiofibular, ángulo de inclinación astragalina, línea de Shenton continua o discontinua, espacio claro medial y ángulo principal a estudio, el ángulo crurofocal medial (ACFM). Para analizar el ángulo principal, se debe obtener una línea perpendicular a la superficie articular tibial (del mismo modo que para el primer paso de la medición del ángulo talocrural); una vez hecho esto, se traza una línea entre el punto más medial y más lateral del trazo de fractura del maléolo interno en el origen tibial. El ACFM es el formado por esta línea y la perpendicular a la superficie articular tibial, y estará comprendido en un arco de valores posibles entre 0 y 180° (Figuras 1 y 2).
Se ha considerado lesión sindesmótica presente en todos los registros con prueba de estrés intraoperatoria positiva o con material quirúrgico para reparar dicha lesión y, también, independientemente de lo anterior, en aquellos con medida del ECTF mayor de 6 mm.
Para eliminar la posibilidad de falsos positivos por variaciones anatómicas interpersonales, en la segunda fase del estudio se solicitó nueva radiografía a los enfermos con lesión sindesmal, de forma que se pudiera comparar el tobillo sano con el afectado. Se consiguió la colaboración de 35 de los 40 casos con presencia de lesión sindesmal. En cada radiografía AP bilateral en carga, se obtuvo la medida del ECTF del tobillo afectado y del tobillo sano.
Con objeto de obtener la fiabilidad inter- e intraobservador y la reproducibilidad de la medición, cada investigador vuelve a medir el ACFM en los sujetos con lesión sindesmótica en las mismas radiografías en que hizo la medición inicial (fiabilidad intraobservador) y las de los otros investigadores (fiabilidad interobservador); estos datos fueron procesados para su análisis con la herramienta informática ReCal OIR, que calcula el coeficiente alpha de Krippendorff para 2 o más codificadores(27).
Los métodos estadísticos utilizados son: regresión logística, análisis discriminante y una regla clínica ad hoc que han sido probados mediante validación cruzada(28,29).
Resultados
Análisis descriptivo
Los valores del ACFM oscilaron entre 0 y 136°, con una media de 84,7. El ECTF lo hizo entre 1,6 y 15,6 mm, con media y mediana próximas a 4 mm. Se observa una variación en la media del espacio claro medial de 1 mm, desde 4,8 preoperatorio a 3,8 postoperatorio, mientras que el ángulo de inclinación astragalina cambió su media desde 1,8 en el preoperatorio a 0,7 después del seguimiento. El tiempo medio de seguimiento fue de 950,5 días (2,6 años), con un mínimo de 379 (1 año y 14 días).
Se recogieron un total de 23 fracturas clasificadas como PABD, que suponen un 16,7% del total de 138 fracturas, 16 fracturas de tipo PER (11,6%), 9 SAD (6,5%) y 90 SER (65,2%). Se encontró relación estadísticamente significativa entre la medida del ACFM y el tipo de fractura según la clasificación Lauge-Hansen (Tabla 1).
Se clasificaron 98 fracturas de tobillo sin lesión sindesmal asociada (71%) y 40 (29%) con lesión sindesmal documentada por los métodos descritos en el apartado previo.
El ACFM arrojó unas medidas de 88° de mediana y 83,1° de media en el grupo de 98 pacientes sin lesión sindesmal, mientras que en el grupo de 40 pacientes con lesión sindesmal la mediana fue de 86,5° y la media de 88,5°. Estas diferencias no se consideran estadísticamente significativas (p = 0,75), aunque se observan valores mínimos de 0° (máxima verticalidad del ángulo) en el grupo sin lesión sindesmal y de 60° en el grupo con lesión sindesmal.
Para el ECTF, la mediana y media del grupo sin lesión sindesmal coinciden en 3,7 mm, siendo estas para el grupo con lesión de 5,5 y 5,8 mm, respectivamente. La medida mínima para ambos grupos es similar (1,6 frente a 1,7), pero los valores máximos están muy distanciados: 6 mm de ECTF máximo en el grupo sin lesión sindesmal, que fue el punto de corte establecido por encima del cual se establecía el diagnóstico de la lesión, frente a 15,6 mm para el grupo lesionado. Estas diferencias se muestran como estadísticamente significativas (p < 0,01).
Otras variables con significación estadística de la diferencia entre los grupos fueron el espacio claro medial y el ángulo de inclinación astragalina preoperatorios. Mientras que la mediana de la medida del espacio claro medial se situó en el límite alto de la consideración patológica (4 mm) en el grupo sin lesión sindesmal, entre los pacientes con lesión fue de 5,8 mm. La mediana de la inclinación talar fue de 1° en el grupo sin lesión y de 2° en los no lesionados (límite alto de la consideración patológica).
Análisis predictivo
Tras una selección de variables se llega al mejor modelo predictivo posible, resultando significativas las variables ACFM, ECTF y tipo de lesión según Lauge-Hansen; se prueba con validación cruzada, obteniendo que la media del porcentaje de pacientes correctamente clasificados es de 0,88 (88%) con una desviación estándar de 0,044 (Figura 3).
Se buscó otro modelo alternativo más sencillo e intuitivo, basado exclusivamente en la influencia del ángulo y el ECTF. También con validación cruzada, se obtuvo que la media del porcentaje de pacientes correctamente clasificados mediante este modelo fue de 0,86 (86%; desviación estándar: 0,044) (Figura 4 y Tabla 2) y con análisis discriminante es de 0,84 (84%) con desviación estándar de 0,046.
En cuanto a la fiabilidad inter- e intraobservador y la reproducibilidad de la medición del ángulo principal a estudio, se calcula el coeficiente alfa de Krippendorff para 2 o más codificadores: fiabilidad interobservador, alfa de Krippendorff (ratio): 0,886, que el desarrollador del software cataloga como fuerte; fiabilidad intraobservador 1: 0,909 o casi perfecta; fiabilidad intraobservador 2: 0,96; fiabilidad intraobservador 3: 0,99; fiabilidad intraobservador 4: 0,91.
Discusión
Las lesiones de la sindesmosis tibiofibular distal pueden aparecer aisladas o en el contexto de una fractura de tobillo. Cuando todos sus componentes anatómicos, descritos en el apartado de introducción, se encuentran dañados y son incompetentes, nos encontramos ante una lesión franca que se traduce en una diástasis visible en las radiografías simples de tobillo en proyecciones AP o de mortaja y que no plantea dudas diagnósticas. Sin embargo, las variaciones sutiles en la anchura o posición sindesmótica no son fácilmente detectables, pero indican una lesión latente.
Existen multitud de parámetros descritos como indicadores de integridad y estabilidad sindesmótica en las radiografías simples, ampliamente explicados previamente en este texto, pero la mayoría de los autores coinciden en señalar que su utilidad es limitada debido a la baja reproducibilidad de la técnica radiológica, las variaciones anatómicas interpersonales y la variabilidad del registro intra- e interobservador.
Dada la importancia del problema, se piensa que sería posible y de utilidad científica tratar de relacionar el tipo de trazo fracturario del maléolo interno con la lesión sindesmal y se plantea el objetivo de encontrar un modelo basado en ello que facilite el diagnóstico de sospecha de la lesión sutil o latente.
En otras palabras, el objetivo se cumple si se puede demostrar que los trazos de fractura del maléolo interno con mayor horizontalidad facilitan la existencia de lesión sindesmal o, lo que es lo mismo, que los trazos más verticales son factor protector sobre la aparición de dicha lesión; y así aparece la hipótesis principal.
El principal hallazgo que se desprende de esta investigación es el de la obtención de un modelo que puede predecir la lesión sindesmótica utilizando parámetros obtenidos de la radiografía simple preoperatoria con una media de porcentaje de pacientes correctamente clasificados del 88% con una desviación estándar menor de 0,05 (0,044), como se expone en el apartado de resultados y se busca como objetivo principal.
Un segundo modelo conduce también a un 86% de clasificaciones correctas con una desviación estándar de 0,044 y un tercero a un 84% con desviación estándar de 0,046.
Estos modelos se basan en el ángulo principal a estudio descrito para este estudio, cuya denominación propuesta es la de ángulo crurofocal medial, puesto que relaciona la inclinación del foco medial con el eje crural, de forma similar a como el ángulo talocrural relaciona dicho eje crural con la inclinación del compartimento talar.
La validación de los modelos y la ausencia de valores menores de 60° del ACFM en los casos con lesión presente conducen a confirmar la hipótesis y ver cumplido el objetivo principal. También se plantearon como objetivos secundarios encontrar la prevalencia de las categorías de fractura maleolar medial y evaluar la utilidad de la clasificación de Lauge-Hansen, puesta en entredicho en los últimos años. El hecho de estar incluida dicha clasificación en uno de los modelos desarrollados que muestran validez y capacidad predictiva respalda el valor que sigue manteniendo aún en la práctica diaria. Además, se ha encontrado relación estadísticamente significativa entre la medida del ACFM y el tipo de fractura según la clasificación Lauge-Hansen, lo cual es de gran valor para este trabajo.
Esta investigación puede compararse en términos metodológicos con multitud de estudios previos, si bien solo existe una referencia que busca asociar la morfología de la fractura del maléolo interno al daño de la sindesmosis(30).
Como línea de investigación futura, se propone el diseño de estudios para obtener en el preoperatorio el valor de las mediciones del ACFM, el ECTF y la clasificación de Lauge-Hansen. Tras aplicar los modelos predictivos de lesión, se clasificará a los pacientes en las categorías lesión sindesmal presente o ausente y durante la cirugía, que será llevada a cabo por un cirujano miembro del equipo investigador pero no será conocedor del grupo en que ha sido clasificado el enfermo, se comprobará mediante visión directa o aplicación de pruebas de estrés la existencia de lesión sindesmal real.
Recapitulando, se otorga relevancia a los resultados obtenidos pues pueden tener utilidad para la práctica clínica y la investigación futura sobre este tema, la sindesmosis tibioperonea, que se encuentra en auge, genera gran controversia y multitud de publicaciones mensuales y preocupa de forma creciente a la comunidad ortopédica.
El estudio que se presenta tiene como debilidades la limitación del tamaño muestral y su carácter retrospectivo, pero sus fortalezas estriban en un trabajo estadístico de calidad que suple las limitaciones con sistemas de validación contrastados, para aportar una nueva herramienta, el ACFM, cuya reproducibilidad intra- e interobservador se demuestran, que puede incluirse en modelos predictivos útiles en el diagnóstico de sospecha de la lesión sindesmal latente.
Conclusiones
1. Se ofrece un modelo que puede predecir la lesión sindesmótica utilizando parámetros obtenidos de la radiografía simple preoperatoria con un porcentaje de pacientes correctamente clasificados del 88% con desviación estándar menor de 0,05. Un segundo modelo propuesto conduce también a un 86% de clasificaciones correctas con una desviación estándar de 0,044.
2. La medición del ACFM se incluye en estos modelos y demuestra ser una técnica válida y reproducible.
3. La validación de los modelos y la ausencia de valores menores de 60° del ACFM en los casos con lesión sindesmal presente conducen a confirmar la hipótesis y ver cumplido el objetivo principal.
4. Se ha encontrado correlación estadísticamente significativa entre la medida del ACFM y el tipo de fractura según la clasificación Lauge-Hansen. El hecho de estar incluida dicha clasificación en uno de los modelos desarrollados que muestran validez y capacidad predictiva respalda el valor que sigue manteniendo aún en la práctica diaria.
Figuras
Figura 2. A: obtención de una perpendicular a la superficie articular; B: superposición de un brazo del ángulo a la perpendicular; C: situación del otro brazo en la línea formada entre los orígenes tibiales; D: medición completada.
Figura 4. Gráfico del ángulo crurofocal medial (ACFM) frente al espacio claro tibiofibular (TF), en relación con la lesión sindesmal.
Tablas
Tabla 1. Valores del ángulo crurofocal medial (ACFM) según la clasificación de Lauge-Hansen; valor de p por test de Kruskal-Wallis.
Información del artículo
Cita bibliográfica
Autores
Enrique Javier Sánchez Morata
Unidad de Pie y Tobillo. Servicio de Cirugía Ortopédica y Traumatología. Hospital Universitario 12 de Octubre. Madrid
José Carlos Martínez-Ávila
Unidad de Investigación Clínica y Ensayos Clínicos. Health Research Institute.
Hospital Universitario 12 de Octubre. Madrid
Elena Vacas Sánchez
Servicio de Cirugía Ortopédica y Traumatología. Hospital Universitario 12 de Octubre. Madrid
Complejo Hospitalario Quirónsalud Ruber Juan Bravo. Madrid
Verónica Jiménez Díaz
Servicio de Cirugía Ortopédica y Traumatología. Hospital Universitario 12 de Octubre. Madrid
Jaime Zorrilla Sánchez de Neyra
Servicio de Cirugía Ortopédica y Traumatología. Hospital Universitario 12 de Octubre. Madrid
Jesús Vilá y Rico
Servicio de Cirugía Ortopédica y Traumatología. Hospital Universitario 12 de Octubre. Madrid
Departamento de Cirugía. Universidad Complutense de Madrid. Madrid
Complejo Hospitalario Quirón Ruber. Madrid
Presidente saliente de la Revista del Pie y Tobillo
Responsabilidades éticas
Protección de personas y animales. Los autores declaran que para esta investigación no se han realizado experimentos en seres humanos ni en animales.
Confidencialidad de los datos. Los autores declaran que han seguido los protocolos de su centro de trabajo sobre la publicación de datos de pacientes y que todos los pacientes incluidos en el estudio han recibido información suficiente y han dado su consentimiento informado por escrito para participar en dicho estudio.
Derecho a la privacidad y consentimiento informado. Los autores declaran que en este artículo no aparecen datos de pacientes.
Financiación. Los autores declaran que este trabajo no ha sido financiado.
Conflicto de intereses. Los autores declaran no tener ningún conflicto de intereses.
Referencias bibliográficas
-
1Ogilvie-Harris DJ, Reed SC, Hedman TP. Disruption of the ankle syndesmosis: biomechanical study of the ligamentous restraints. Arthroscopy. 1994;10:558-60.
-
2Harris IA, Jones HP. The fate of the syndesmosis in type C ankle fractures: a cadaveric study. Injury. 1997;28:275-7.
-
3Chissell HR, Jones J. The influence of a diastasis screw on the outcome of Weber type-C ankle fractures. J Bone Joint Surg Br. 1995;77:435-8.
-
4Stark E, Tornetta P III, Creevy WR. Syndesmotic instability in Weber B ankle fractures: a clinical evaluation. J Orthop Trauma. 2007;21:643-6.
-
5Michelson JD, Waldman B. An axially loaded model of the ankle after pronation external rotation injury. Clin Orthop Relat Res. 1996;328:285-93.
-
6McConnell T, Creevy W, Tornetta P III. Stress examination of supination external rotation-type fibular fractures. J Bone Joint Surg Am. 2004;86:2171-8.
-
7Nielson JH, Sallis JG, Potter HG, Helfet DL, Lorich DG. Correlation of interosseous membrane tears to the level of the fibular fracture. J Orthop Trauma. 2004;18:68-74.
-
8Tang CW, Roidis N, Vaishnav S, Patel A, Thordarson DB. Position of the distal fibular fragment in pronation and supination ankle fractures: a CT evaluation. Foot Ankle Int. 2003;24:561-6.
-
9Tornetta P III, Axelrad TW, Sibai TA, Creevy WR. Treatment of the stress positive ligamentous SE4 ankle fracture: incidence of syndesmotic injury and clinical decision making. J Orthop Trauma. 2012;26:659-61.
-
10Pakarinen H, Flinkkilä T, Ohtonen P, Hyvönen P, Lakovaara M, Leppilahti J, Ristiniemi J. Intraoperative assessment of the stability of the distal tibiofibular joint in supination-external rotation injuries of the ankle: sensitivity, specificity, and reliability of two clinical tests. J Bone Joint Surg Am. 2011;93:2057-61.
-
11Jenkinson RJ, Sanders DW, Macleod MD, Domonkos A, Lydestadt J. Intraoperative diagnosis of syndesmosis injuries in external rotation ankle fractures. J Orthop Trauma. 2005;19:604-9.
-
12Michelson JD, Magid D, Ney DR, Fishman EK. Examination of the pathologic anatomy of ankle fractures. J Trauma. 1992;32:65-70.
-
13Pakarinen HJ, Flinkkilä TE, Ohtonen PP, Hyvönen PH, Lakovaara MT, Leppilahti JI, Ristiniemi JY. Syndesmotic fixation in supination-external rotation ankle fractures: a prospective randomized study. Foot Ankle Int. 2011;32:1103-9.
-
14Marmor M, Hansen E, Han HK, Buckley J, Matityahu A. Limitations of standard fluoroscopy in detecting rotational malreduction of the syndesmosis in an ankle fracture model. Foot Ankle Int. 2011;32:616-22.
-
15Beumer A, van Hemert WLW, Niesing R, Entius CA, Ginai AZ, Mulder PG, Swierstra BA. Radiographic measurement of the distal tibiofibular syndesmosis has limited use. Clin Orthop Relat Res. 2004;423:227-34.
-
16Zalavras C, Thordarson D. Ankle syndesmotic injury. J Am Acad Orthop Surg. 2007;15:330-9.
-
17Harper MC, Keller TS. A radiographic evaluation of the tibiofibular syndesmosis. Foot Ankle. 1989;10:156-60.
-
18Williams GN, Jones MH, Amendola A. Syndesmotic ankle sprains in athletes. Am J Sports Med. 2007;35:1197-207.
-
19Nielson JH, Gardner MJ, Peterson MGE, Sallis JG, Potter HG, Helfet DL, Lorich DG. Radiographic measurements do not predict syndesmotic injury in ankle fractures: an MRI study. Clin Orthop Relat Res. 2005;436:216-21.
-
20Bartonícek J, Rammelt S, Kostlivy K, Vanecek V, Klika D, Tresl I. Anatomy and classification of the posterior tibial fragment in ankle fractures. Arch Orthop Trauma Surg. 2015;135:505-16.
-
21Miller AN, Barei DP, Iaquinto JM, Ledoux WR, Beingessner DM. Iatrogenic syndesmosis malreduction via clamp and screw placement. J Orthop Trauma. 2013;27:100-6.
-
22Phisitkul P, Ebinger T, Goetz J, Vaseenon T, Marsh JL. Forceps reduction of the syndesmosis in rotational ankle fractures: a cadaveric study. J Bone Joint Surg Am. 2012;94:2256-61.
-
23Tornetta P III, Spoo JE, Reynolds FA, Lee C. Overtightening of the ankle syndesmosis: is it really possible? J Bone Joint Surg Am. 2001;83:489-92.
-
24Gardner MJ, Demetrakopoulos D, Briggs SM, Helfet DL, Lorich DG. Malreduction of the tibiofibular syndesmosis in ankle fractures. Foot Ankle Int. 2006;27:788-92.
-
25Miller AN, Carroll EA, Parker RJ, Boraiah S, Helfet DL, Lorich DG. Direct visualization for syndesmotic stabilization of ankle fractures. Foot Ankle Int. 2009;30:419-26.
-
26Summers HD, Sinclair MK, Stover MD. A reliable method for intraoperative evaluation of syndesmotic reduction. J Orthop Trauma. 2013;27:196-200.
-
27Freelon D. ReCal OIR: Ordinal, interval and ratio intercoder reliability as a web service. Int J Internet Sci. 2013;8:10-6.
-
28Hastie T, Tibshinari R, Friedman HJ. The elements of statistical learning: data mining, inference and prediction. 2nd ed. New York: Springer; 2009.
-
29Stone M. Cross-validatory choice and assessment of statistical prediction. J R Stat Soc B. 1974;36:111-33.
-
30Ebraheim NA, Weston JT, Ludwig T, Moral M, Carroll T, Liu J. The association between medial malleolar fracture geometry, injury mechanism, and syndesmotic disruption. Foot Ankle Surg. 2014;20:276-80.
Descargar artículo:
Licencia:
Este contenido es de acceso abierto (Open-Access) y se ha distribuido bajo los términos de la licencia Creative Commons CC BY-NC-ND (Reconocimiento-NoComercial-SinObraDerivada 4.0 Internacional) que permite usar, distribuir y reproducir en cualquier medio siempre que se citen a los autores y no se utilice para fines comerciales ni para hacer obras derivadas.
Comparte este contenido
En esta edición
- ¿Por qué no intentarlo? La Revista del Pie y Tobillo merece indexarse en PubMed
- Tratamiento mínimamente invasivo de fracturas de calcáneo asistido con artroscopia
- Fractura intraarticular de calcáneo con criterios quirúrgicos. Complicaciones de tratamiento según grupos poblacionales
- Estudio radiológico de la relación del trazo de fractura del maléolo interno con la lesión sindesmal en fracturas de tobillo
- Complicaciones infecciosas tras osteosíntesis de fracturas de tobillo
- Resultado funcional esperable tras una artrodesis bilateral de tobillo. Valoración de 3 casos y revisión de la literatura
- Enfermedad de Nora: una entidad clínica infrecuente
- Luxación de cuboides: caso clínico y revisión de la literatura
- Técnica de reparación de la placa plantar por abordaje dorsal
- Comentario a “Técnica de reparación de la placa plantar por abordaje dorsal”
- Revista de revistas
Más en PUBMED
Más en Google Scholar
Más en ORCID


Revista del pie y tobillo está distribuida bajo una licencia de Creative Commons Reconocimiento-NoComercial-SinObraDerivada 4.0 Internacional.














