10.24129/j.reaca.31181.fs2306016
Recibido: 4 de julio de 2022
Aceptado: 4 de octubre de 2024
Artículo / Imagen de portada
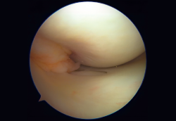
Menisco medial discoide incompleto con coalescencia con el ligamento cruzado anterior
Incomplete discoid medial meniscus presenting coalescence with the anterior cruciate ligaments
Rev Esp Artrosc Cir Articul. 2024;31(1):56-7
Comparte este contenido
En esta edición
- Estamos en una edad de oro en la cirugía artroscópica española
- Alteración de los ejes coronal y sagital de la rodilla y su implicación en el fracaso de la reconstrucción de cruzado anterior. Revisión sistemática
- Microfracturas acetabulares artroscópicas de cadera: supervivencia y resultado clínico de la técnica con seguimiento mínimo de 5 años
- La artroscopia de cadera proporciona en el personal médico una reincorporación laboral temprana y completa. Estudio multicéntrico
- Artículos novedosos sobre lesión ligamentosa combinada del ligamento cruzado anterior y el complejo ligamentoso medial de la rodilla
- Inestabilidad anteroinferior de hombro. Artículos imprescindibles
- Tratamiento de la inestabilidad de hombro con defectos óseos mediante la combinación de las técnicas artroscópicas de tope óseo y <em>remplissage</em>
- Reconstrucción del manguito rotador mediante técnica artroscópica de triple hilera. Técnica quirúrgica
- Tratamiento endoscópico de tendinitis calcificante del glúteo mayor. A propósito de un caso
- Menisco medial discoide incompleto con coalescencia con el ligamento cruzado anterior
Más en PUBMED
Más en Google Scholar
Más en ORCID


Revista Española de Artroscopia y Cirugía Articular está distribuida bajo una licencia de Creative Commons Reconocimiento-NoComercial-SinObraDerivada 4.0 Internacional.



