Sistemas de estabilización de la sindesmosis
Introducción
Aproximadamente un 10-15% de las fracturas de tobillo asocia una lesión de la sindesmosis tibioperonea en mayor o menor grado, especialmente aquellas cuyo mecanismo lesional es la pronación y rotación externa(1,2). La sindesmosis estabiliza la mortaja tibioperonea y es necesario que dicha estabilización se mantenga en el tiempo para prevenir el dolor persistente residual, la alteración en la funcionalidad e incluso la artrosis precoz secundarias a un inadecuado tratamiento de la misma(3,4). La restauración de la sindesmosis es más que una simple reducción y fijación, pues la longitud y la rotación del peroné deben recuperarse para que este encaje perfectamente en la incisura fibularis. Pero incluso con las máximas precauciones para que esta reducción se produzca, diversos autores publican porcentajes de malreducción que oscilan del 20 al 50%(5), incluso en el caso de reducción abierta y reparación directa de la sindesmosis los porcentajes de malreducción no llegan al 0%, lo que se traduce en peores resultados funcionales y necesidad de cirugías de revisión(6).
Una vez conseguida la reducción de la sindesmosis, debemos proceder a su estabilización y, en este sentido, pocos temas han despertado tanta controversia en la literatura reciente como el sistema ideal que mantenga en el tiempo de forma satisfactoria la reducción conseguida en el tratamiento inicial(6,7,8). El tornillo de fijación transindesmal o fijación rígida ha sido el método más utilizado y todavía hoy es considerado el patrón oro; sin embargo, en un intento de producir una reducción y fijación más anatómica, se han desarrollado en las últimas 2 décadas las denominadas técnicas de fijación dinámicas(7) (Figura 1).
Como punto de partida a la hora de analizar las ventajas/desventajas de cada sistema (rígido vs. dinámico), debemos plantear las siguientes 3 grandes preguntas que generan controversia:
- ¿Debemos fijar una articulación de una manera rígida como hacemos con los tornillos tibioperoneos convencionales?
- ¿Es aceptable mantener 6-8 semanas de descarga como hacíamos hasta ahora?
- ¿Debemos someter al paciente a una nueva cirugía de retirada del material?
Sistemas estáticos: tornillo transindesmal o tibioperoneo
El tornillo transindesmal metálico (titanio o acero) sigue siendo el patrón oro, aunque quedan por consensuar numerosos aspectos que generan controversia, que serán debatidos en otro capítulo posteriormente(8). Analizamos cada uno de ellos:
- Tipo y diámetro. No se ha llegado a un consenso sobre el diámetro (3,5 vs. 4,5 mm) y el tipo (cortical, esponjosa, rosca parcial…), si bien la mayoría de los autores prefiere los tornillos de 3,5 mm de cortical. En estudios biomecánicos, los tornillos de cortical de 3,5 y 4,5 mm muestran características similares(9,10,11).
- Número. Estudios clásicos(9) recomiendan el uso de 2 tornillos para las fracturas suprasindesmales y un único tornillo para las transindesmales, pero estudios posteriores no encuentran diferencias a largo plazo entre ambos grupos(10), si bien existe evidencia de que la configuración con 2 tornillos es biomecánicamente superior a la de uno solo.
- Compresión o posición. Actualmente no existe duda de que los tornillos deben implantarse como tornillos posicionales y evitar la compresión(11,12).
- Número de corticales (3 o 4). El estudio con el mayor seguimiento de estos pacientes (8 años) establece que no hay diferencias funcionales ni radiológicas entre ambos grupos(10).
- Orientación del tornillo. Clásicamente se recomienda una angulación de posterior a anterior de 30°(12), si bien estudios recientes han demostrado que la angulación óptima es de 18° y paralelo a la superficie articular(13).
- Distancia de la interlínea articular. La mayoría de los autores coinciden en que los tornillos deberían implantarse a una distancia de entre 2 y 4 cm de la articulación; sin embargo, estudios biomecánicos demuestran que la implantación a 2, 3 o 5 cm de la articulación no influye en los resultados funcionales finales(11).
- Posición del tobillo. Clásicamente el tobillo se coloca en flexión dorsal máxima antes de colocar el tornillo, posición en la que el astrágalo ocupa mayor volumen en la sindesmosis para evitar la compresión excesiva. Pero estudios en cadáver han desmentido esta teoría y recomiendan que el tobillo esté a 90°(12,13).
- Tiempo en descarga. Clásicamente se recomiendan 8-12 semanas para la cicatrización de la sindesmosis; si bien esta recomendación ha cambiado y se permite una carga más temprana, un metaanálisis reciente(7) publica que los tiempos de descarga con tornillo siguen siendo superiores a los sistemas dinámicos (6,3 frente a 4,1 semanas).
Complicaciones de los sistemas rígidos (Tabla 1)
- Infección superficial y profunda. Relacionada con la retirada de los mismos(14).
- Rotura o aflojamiento (Figura 2). Relacionada con no retirarlo, pero sin aparentes resultados negativos funcionales(15,16).
- Diástasis tras retirada (Figura 3). Complicación posiblemente insuficientemente registrada, aproximadamente en un 15% de los casos en los que se retira el tornillo(14). Las causas pueden ser una malreducción inicial (no diagnosticada por sobrecompresión de la sindesmosis) o, más raramente, por un aflojamiento o una rotura precoces que no hayan permitido la cicatrización de la sindesmosis.
Sistemas dinámicos (de tipo TightRope®, EndoButton® o similares)
Son sistemas que consiguen la reducción de la sindesmosis de una manera dinámica o flexible; de esta forma, parecen aportar algunas ventajas potenciales (Tabla 2)(17,18) que pasamos a analizar:
- Micromovilidad “anatómica” de la sindesmosis: menor índice de malreducción. Numerosos estudios nos informan acerca de una mejor reducción con los sistemas dinámicos debido a que la micromovilidad que permiten ayuda a que el peroné se reduzca más fácilmente en la incisura fibularis. Así, Naqvi et al.(19) publican un estudio comparando 23 pacientes tratados con sistema dinámico TightRope® frente a 23 pacientes tratados con tornillos en el que encontraron una mayor incidencia de malreducción de la sindesmosis en el grupo tratado con tornillos, con similares resultados funcionales para ambos grupos. En un estudio con mayor número de casos, Rigby et al.(20) estudian de manera retrospectiva 64 pacientes tratados mediante el sistema TightRope® publicando una reducción correcta que se mantenía en el tiempo (2 años) con resultados funcionales excelentes. Interesante resulta también el trabajo de Kortekangas et al.(17) que compara el sistema TightRope® frente a tornillos convencionales y evalúa la reducción intraoperatoria y postoperatoria mediante tomografía computarizada (TC) en 3D. Estos autores concluyen que, si bien los porcentajes de malreducción eran similares en ambos grupos, este porcentaje disminuía en el tiempo en el caso de los sistemas dinámicos, así como el porcentaje de artrosis secundaria, y la funcionalidad no mostraba diferencias entre ambos grupos. Este resultado nos informa acerca de la potencial capacidad de los sistemas dinámicos de permitir la autorreducción de la sindesmosis al permitir cierto grado de movilidad.
- Mejor control por TC postoperatoria. Resulta de especial interés la realización de estudio por TC postoperatoria si tenemos en cuenta el alto porcentaje de malreducción (hasta el 50%) y, en este sentido, los sistemas dinámicos de sutura producen menos artefacto que el metal de los tornillos(17).
- Carga más precoz. Thornes et al.(21) demostraron que los pacientes tratados con sistemas dinámicos estaban menos tiempo en descarga (4,1 semanas) en comparación con el sistema tradicional con tornillos (6,3 semanas). Este hecho también se ha demostrado en un reciente metaanálisis(7). Esta carga más temprana se traduce en una recuperación funcional más rápida.
- Menores índices de retirada del material y reintervención. Numerosos estudios publican menores tasas de retirada del implante y por tanto de una posible diástasis tibioperonea recurrente, y también una rehabilitación más precoz de los pacientes, con menor coste global y mayores índices de satisfacción(17,18,19). Tenemos que destacar el artículo de Inge et al.(22) que compara sistemas estáticos y dinámicos, demostrando menores tasas de retirada del implante en el grupo dinámico (10,5%) frente al grupo estático (38,5%).
- Biomecánicamente similares a los tornillos transindesmales. Si bien los tornillos siempre demostraron ser superiores en estudios biomecánicos, ya contamos con diversos trabajos que han demostrado que el sistema TightRope® es comparable a un tornillo tricortical de 3,5 mm(7). Respecto a la configuración, un reciente estudio en cadáver compara la fijación dinámica simple, la doble paralela y la doble divergente, sin encontrar que ninguna configuración sea superior a otra, aunque recomendando el uso de doble sistema salvo en fracturas conminutas de peroné(23).
Si bien ya hemos descrito sus ventajas potenciales, también presentan algunas desventajas y complicaciones que analizamos a continuación (Tabla 2):
- Precio. Si lo comparamos con los tornillos de titanio o acero, el incremento en el precio puede ser 8-9 veces superior.
- Irritación de las partes blandas laterales. Es la complicación más frecuente, con porcentajes que oscilan entre el 1 y el 12%, siendo la principal causa la irritación la que produce el nudo de la sutura en la cara lateral del tobillo (que parece que ha disminuido con las nuevas modificaciones del TightRope®). Para evitarla, Naqvi en 2011 publica una serie de 49 pacientes tratados con el sistema TightRope® en los que modifica la técnica en 31 casos(24): crea una solapa de periostio en la cara posterior del peroné para enterrar el nudo de la sutura, demostrando así que no es necesario retirarlo en ninguno de los casos. También otros autores abogan por el fresado de la cara posterior del peroné para esconder dicho nudo(25).
- Lesión de estructuras mediales. Pirozzi(26) alerta de la posibilidad de lesión de la vena y/o el nervio safenos en la cara medial del tobillo hasta en un 20% de los casos, recomendando realizar una mini-incisión medial que nos asegure que estas estructuras no quedan atrapadas por el botón metálico.
- Aflojamiento aséptico y penetración ósea. Degroot et al.(27) describen la retirada del TightRope® en 6 casos por complicaciones de las partes blandas y además describen la osteolisis del EndoButton® en 3 casos de infección y la osificación heterotópica en otros 3 casos. La osteolisis en torno al trayecto de la sutura es similar a la observada en los tornillos que no retiramos y es un fenómeno bastante frecuente. Respecto a la penetración ósea, muchos autores recomiendan el uso de una miniplaca para evitarla en lesiones aisladas de la sindesmosis (no asociadas a fractura), si bien numerosos sistemas actuales ya cuentan con una placa ad hoc.
- Infección profunda. Fantry et al.(28) describen 3 pacientes tratados con sistema elástico que desarrollan infección profunda. Consideran que la introducción de suturas multifilamento en el foco puede constituir un ambiente idóneo para la colonización del tracto de la sutura. También avisan los autores de que la migración del botón o la osteolisis son signos que nos deben hacer descartar una infección profunda y la necesidad de retirada del implante.
Recomendaciones de los autores en sistemas dinámicos (trucos y consejos)
- Utilizar placa (si no hay fractura del peroné: tercio de caña con 3 orificios o placa ad hoc).
- Si aislados: al menos 2, divergentes y a 4 cm de la articulación y apretar alternativamente (es decir, los 2 a la vez alternativamente, pues parece que favorece también la reducción de la sindesmosis).
- Nudo lateral subperióstico.
- Mini-incisión medial: evitamos el daño de la vena y el nervio safenos, y aseguramos la correcta aposición a la cortical medial tibial.
- Utilizar sutura dinámica y tornillo asociado: obesos, acortamiento del peroné en fracturas altas (si queremos no utilizar placa).
- Cuando hay dudas acerca de la infección, es fundamental retirar los botones metálicos y la totalidad de la sutura para erradicar la infección.
Nuevas evidencias
Recientemente se ha publicado el primer estudio consistente en una revisión sistemática y metaanálisis que compara la fijación dinámica con estática(7). Los autores incluyen 11 estudios (5 prospectivos aleatorizados y 6 de cohortes) que cumplen con los criterios de elegibilidad y concluyen que el sistema de fijación dinámico podría ser superior al tornillo transindesmal en el sentido de mejores resultados funcionales, menor tasa de complicaciones postoperatorias y una reincorporación laboral más temprana.
Figuras
Figura 1. Fractura del maléolo peroneo sintetizada con placa anatómica y sistema TightRope® a los 2 años de seguimiento con correcta reducción de la mortaja y la sindesmosis.
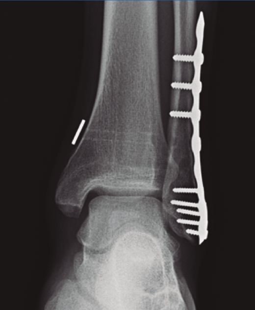
Figura 2. Fractura del maléolo peroneo sintetizada con placa anatómica y tornillo transindesmal roto a los 6 meses de seguimiento con mantenimiento de la reducción de la sindesmosis.
Figura 3. A: fractura suprasindesmal del peroné sintetizada con placa tercio de caña y 2 tornillos transindesmales; B: mismo caso a los 3 años de seguimiento con rotura de tornillos y apertura de la sindesmosis con cambios degenerativos tibioastragalinos.
Tablas
Cita bibliográfica
Autores
Mario Herrera Pérez
Hospital Universitario de Canarias. La Laguna, Santa Cruz de Tenerife
Tesorero de la SEMCPT
Facultad de Ciencias de la Salud. Universidad de La Laguna. Tenerife
Director de la Revista del Pie y Tobillo
Servicio de Cirugía Ortopédica y Traumatología. Hospital Universitario Nuestra Señora de Candelaria. La Laguna. Tenerife
Unidad Acreditada de Pie y Tobillo. HUC. Tenerife
Diego Rendón Díaz
Hospital Universitario de Canarias (HUC). Tenerife
Unidad Acreditada de Pie y Tobillo. HUC. Tenerife
Ricardo Ramírez de Paz
Servicio de Traumatología. Hospital Universitario de Barbastro. Huesca
Hospital Universitario Nuestra Sra. de Candelaria. Tenerife
Referencias bibliográficas
-
1Andersen MR, Frihagen F, Hellund JC, Madsen JE, Figved W. Randomized trial comparing suture button with single syndesmotic screw for syndesmosis injury. J Bone Joint Surg Am. 2018;100:2-12.
-
2Dattani R, Patnaik S, Kantak A, Srikanth B, Selvan TP. Injuries to the tibiofibular syndesmosis. J Bone Joint Surg Br. 2008;90:405-10.
-
3Kim JH, Gwak HC, Lee CR, Choo HJ, Kim JG, Kim DY. A comparison of screw fixation and suture-button fixation in a syndesmosis injury in an ankle fracture. J. Foot Ankle Surg. 2016:55:985-90.
-
4Schepers T. Acute distal tibiofibular syndesmosis injury: a systematic re-view of suture-button versus syndesmotic screw repair. Int Orthop. 2012;36:199-1206.
-
5Gardner MJ, Demetrakopoulos D, Briggs SM, Helfet DL, Lorich DG. Malreduction of the tibiofibular syndesmosis in ankle fractures. Foot Ankle Int. 2006;27(10):788-92.
-
6Sagi HC, Shah AR, Sanders RW. The functional consequence of syndesmotic joint malreduction at a minimum 2-year follow-up. J Orthop Trauma. 2012;27(7):439-43.
-
7Xie L, Xie H, Wang J, Chen C, Zhang C, Chen H, Zheng W. Comparison of suture button fixation and syndesmotic screw fixation in the treatment of distal tibiofibular syndesmosis injury: a systematic review and meta-analysis. Int J Surg. 2018 Nov 12;60:120-31.
-
8Bava E, Charlton T, Thordarson D. Ankle fracture syndesmosis fixation and management: the current practice of orthopedic surgeons. Am J Orthop (Belle Mead NJ). 2010;39(5):242-6.
-
9Høiness P, Strømsøe K. Tricortical versus quadricortical syndesmosis fixation in ankle fractures: a prospective, randomized study comparing two methods of syndesmosis fixation. J Orthop Trauma. 2004;18(6):331-7.
-
10Wikerøy AKB, Høiness PR. No difference in functional and radiographic results 8.4 years after quadricortical compared with tricortical syndesmosis fixation in ankle fractures. J Orthop Trauma. 2010;24(1):17-23.
-
11McBryde A, Chiasson B. Syndesmotic screw placement: a biomechanical analysis. Foot Ankle Int. 1997;18:262-6.
-
12Park YH, Choi WS. Ideal angle of syndesmotic screw fixation: a CT-based cross-sectional image analysis study. Injury. 2017 Nov;48(11):2602-5.
-
13Tornetta P, Spoo JE. Overtightening of the ankle syndesmosis: is it really possible? J Bone Joint Surg Am. 2001 Apr;83-A(4):489-92.
-
14Schepers T, Van Lieshout EMM. Complications of syndesmotic screw removal. Foot Ankle Int. 2011;32(11):1040-4.
-
15Schepers T. To retain or remove the syndesmotic screw: a review of literature. Arch Orthop Trauma Surg. 2011 Jul;131(7):879-83.
-
16Dingemans SA, Birnie MFN. Routine versus on demand removal of the syndesmotic screw; a protocol for an international randomised controlled trial (RODEO-trial). BMC Musculoskelet Disord. 2018 Jan 31;19(1):35.
-
17Kortekangas T, Savola O, Flinkkila T, Lepojarvi S, Nortunen S, Oh-Tonen P, et al. A prospective randomised study comparing TightRope and syndesmotic screw fixation for accuracy and maintenance of syndesmotic reduction assessed with bilateral computed tomography. Injury. 2015;46:1119-26.
-
18Laflamme M, Belzile EL, Bédard L, van den Bekerom MP, Glazebrook M, Pelet S. A prospective randomized multicenter trial comparing clinical out-comes of patients treated surgically with a static or dynamic implant for acute ankle syndesmosis rupture. J Orthop Trauma. 2015;29:216-23.
-
19Naqvi GA, Cunningham P, Lynch B, Galvin R, Awan N. Fixation of ankle syndesmotic injuries: comparison of tightrope fixation and syndesmotic screw fixation for accuracy of syndesmotic reduction. Am J Sports Med. 2012;40(12):2828-35.
-
20Rigby RB, Cottom JM. Does the Arthrex TightRope® provide maintenance of the distal tibiofibular syndesmosis? A 2-year follow-up of 64 TightRopes® in 37 patients. J Foot Ankle Surg. 2013;52(5):563-7.
-
21Thornes MB, Walsh A, Hislop M, Murray P, O'Brien M. Suture endobutton of ankle tibio-fibular diastasis: a cadaveric study. Foot Ankle Int. 2003;24(2):142-6.
-
22Inge SY, Pull Ter Gunne AF, Aarts CAM, Bemelman M. A systematic review on dynamic versus static distal tibiofibular fixation. Injury. 2016 Dec;47(12):2627-34.
-
23Parker AS, Beason DP, Slowik JS, Sabatini JB, Waldrop NE 3rd. Biomechanical comparison of 3 syndesmosis repair techniques with suture but-ton implants. Orthop J Sports Med. 2018 24;6(10):2325967118804204.
-
24Naqvi GA, Shafqat A, Awan N. Tightrope fixation of ankle syndesmosis injuries: clinical outcome, complications and technique modification. Injury. 2012;43(6):838-42.
-
25Hodgson P, Thomas R. Avoiding suture knot prominence with suture but-ton along distal fibula: technical tip. Foot Ankle Int. 2011;32(9):908-9.
-
26Pirozzi K, Creech CL, Meyr AJ. Assessment of anatomic risk during syndesmotic stabilization with the suture button technique. J Foot Ankle Surg. 2015 Sep-Oct;54(5):917-9.
-
27Degroot H, Al-Omari AA, El Ghazaly SA. Outcomes of suture button repair of the distal tibiofibular syndesmosis. Foot Ankle Int. 2011;32:250-6.
-
28Fantry AJ, O'Donnell SW, Born CT, Hayda RA. Deep infections after syndesmotic fixation with a suture button device. Orthopedics. 2017;40:e541-e545.
Descargar artículo:
Licencia:
Este contenido es de acceso abierto (Open-Access) y se ha distribuido bajo los términos de la licencia Creative Commons CC BY-NC-ND (Reconocimiento-NoComercial-SinObraDerivada 4.0 Internacional) que permite usar, distribuir y reproducir en cualquier medio siempre que se citen a los autores y no se utilice para fines comerciales ni para hacer obras derivadas.
Comparte este contenido
En esta edición
- Introducción
- Anatomía de la sindesmosis tibioperonea
- Biomecánica de la sindesmosis
- Mecanismo lesional. Anatomía patológica de la lesión
- Diagnóstico de la lesión sindesmal
- ¿Existe indicación para el tratamiento conservador?
- Tratamiento de las lesiones agudas ligamentosas
- Lesión sindesmal en fracturas de tobillo
- Lesiones crónicas de la sindesmosis
- Papel de la artroscopia en la valoración de la sindesmosis
- Sistemas de estabilización de la sindesmosis
- Síntesis con tornillos. ¿Cuántas corticales? ¿Retirar o no?
- ¿Qué hacer con el ligamento deltoideo?
- Cómo sintetizar el maléolo posterior. ¿La mejor opción es la síntesis directa?
- Medicina basada en la evidencia. Conclusiones
Más en PUBMED
Más en Google Scholar
Más en ORCID


La Monografía de Actualización de la SEMCPT está distribuida bajo una licencia de Creative Commons Reconocimiento-NoComercial-SinObraDerivada 4.0 Internacional.












