Desalineaciones tibiotalares supra- e inframaleolares en varo
Introducción
La desalineación en varo del tobillo representa un auténtico reto terapéutico para el cirujano de tobillo y pie, pues en muchas ocasiones se combina con un pie cavo varo que también precisa tratamiento. Además, en estos contextos prevalece evitar la artrosis del tobillo. Por consiguiente, los 3 pilares en los que se basa el deterioro del cartílago articular tibiotalar son la desalineación, la pérdida de la estabilidad y por último la pérdida de la congruencia articular. Clásicamente, se pensaba sobre la desalineación en varo del tobillo como la inclinación en el plano coronal del astrágalo como causante del deterioro por la medialización del eje de carga, pero actualmente con el desarrollo de la tomografía computarizada (TC) en carga se ha demostrado que la artrosis de tobillo en varo es una deformidad coronal y axial al mismo tiempo en la que el astrágalo se coloca rotado internamente(1). No obstante, el plano sagital también ha de tenerse en cuenta, porque la inestabilidad con el paso del tiempo puede hacerse rotatoria causando una traslación anterior del astrágalo, lo que modifica el centro de rotación y la movilidad del tobillo(2).
Etiología y biomecánica de la desalineación tibiotalar en varo
La desalineación puede localizarse a nivel supramaleolar, intraarticular o inframaleolar. Sin embargo, es muy importante tener en cuenta el origen de la deformidad y reconocer si se trata de un trastorno estático o progresivo. En este sentido, cabe diferenciar si la causa es ósea, ligamentosa o debido a un desequilibrio neuromuscular, aunque no en pocas ocasiones se trate de una combinación de las anteriores. En la Tabla 1 se exponen diferentes etiologías de la desalineación del tobillo en varo.
Los desequilibrios neuromusculares son a veces infradiagnosticados en estos contextos y puede observarse en el examen físico la sobreactividad del músculo peroneo lateral largo frente al músculo tibial anterior, llevando a un exceso de flexión plantar del primer radio que se comporta como un inversor subtalar (forefoot-driven). Asimismo, la fuerza del músculo tibial posterior predomina sobre la fuerza del músculo peroneo lateral corto y contribuye a perpetuar la inversión subtalar que, con el tiempo, puede hacerse fija o rígida. El momento inversor del retropié contribuirá a la inestabilidad ligamentosa lateral del tobillo y al deterioro de los tendones peroneos. Todo ello puede causar la impactación y el desgaste de la cúpula medial del astrágalo con la vertiente medial de la superficie tibial, así como la traslación anterior del centro de rotación del astrágalo, provocando ambas la alteración en la congruencia tibiotalar y la perpetuación de la cascada artrósica.
Otro tipo de desalineación tibiotalocalcánea poco documentada en la literatura, pero que merece una mención especial en contextos de pie cavo varo, es la torsión tibial externa. Es relativamente frecuente en los pacientes afectos de Charcot-Marie-Tooth y, aunque en la exploración prevalezca un aducto de los pies, cuando se analiza el perfil rotacional por segmentos, el ángulo muslobimaleolar supera los 45°, denotando una rotación externa tibial patológica. Aunque no clarificado, una hipótesis etiológica podría ser que en los pacientes en desarrollo esquelético con un músculo tibial posterior predominantemente fuerte respecto a sus antagonistas (músculos peroneos) actúa como rotador externo tibial tras el maléolo tibial en cadena cinética cerrada. El astrágalo, dentro de su mortaja, acompañaría a la tibia en rotación externa. En consecuencia, el tendón del tibial posterior, que realiza poderosamente la tracción sobre el tubérculo del escafoides, así como el acortamiento del tríceps sural, perpetúan el varo subtalar que terminará afectando de forma asimétrica a la congruencia del tobillo(3).
Clasificación de la desalineación tibiotalar en varo
Los principios de realineación deben asegurar la centralización del eje mecánico de carga desde la cabeza femoral, la rodilla, la pierna, el tobillo y el retropié. No menos importante es la alineación del retropié con el antepié. Muchas de las desalineaciones del miembro inferior son multiplanares, por lo que es esencial analizar cada segmento en relación con el eje mecánico de toda la extremidad. Las deformidades típicamente tienen un vértice o ápex (center of rotation of angulation –CORA–). El objetivo final de la corrección debe ser realizar una osteotomía tan cerca como sea posible del CORA y minimizar el fenómeno de traslación que afectaría al eje final de carga. En este mismo sentido, las desalineaciones en varo pueden tener el ápex o CORA por encima de la línea articular del tobillo (supramaleolar), en el mismo tobillo (intraarticular) o por debajo de este (inframaleolar), pudiendo haber más de un CORA, como se ha comentado anteriormente.
El procedimiento de la osteotomía supramaleolar (OSM) fue inicialmente introducido por Boyd en 1936 y popularizado por Takakura y Tanaka(4,5,6). Estos dividieron a los pacientes con desalineación en varo en 4 categorías según la radiografía anteroposterior (AP) en carga (Tabla 2). Posteriormente, Knupp et al. crearon una clasificación en la que incluyeron el concepto de congruencia y traslación anterior del astrágalo en el plano sagital, proponiendo para cada estadio un tratamiento específico (Tabla 3)(2).
Diagnóstico
Los pacientes deben ser examinados descalzos en bipedestación y durante la marcha, con todo el miembro inferior expuesto para valorar la alineación de las piernas, el tobillo, el retro-, el medio- y el antepié, así como analizar el perfil rotacional de ambos miembros inferiores tanto en la marcha como en prono en camilla (ángulo muslo-pie). Es necesario realizar el test de Coleman para descartar una deformidad en varo del retropié causada por el antepié (forefoot-driven). Se debe realizar el balance articular de rodillas, tobillos y subtalar (importante valorar 15° eversión/30° inversión para mecanismos de adaptación a deformidades proximales). Asimismo, se debe hacer un balance muscular y descartar desequilibrios de pares deformantes y, por último, un balance sensitivo(7). Se deben palpar posibles puntos dolorosos en el ligamento deltoideo, los ligamentos laterales, los tendones peroneos y el recorrido del nervio tibial posterior.
Los estudios radiológicos básicos incluyen una telemetría AP y lateral (L) en carga de ambos miembros inferiores, idealmente que se vea el punto de contacto del calcáneo en el suelo(8); AP, L y mortaja de ambos tobillos en carga; y proyección de Saltzmann y AP/L de ambos pies en carga (Figura 1).
Adicionalmente, aunque no es necesario, se puede realizar una TC para valorar la calidad ósea y quistes subcondrales, así como una resonancia magnética (RM) para valorar el cartílago articular y los ligamentos y los tendones peroneos antes de cualquier intervención.
En la radiografía deben analizarse al menos los siguientes ángulos en el plano frontal: ángulo tibial proximal medial (MPTA, 87,2 ± 1,5), ángulo tibial distal medial (TAS, 91° ± 3), ángulo tibiocalcáneo (0° o paralelo con separación máxima de 5-10 mm lateralmente), inclinación talar (talar tilt 0°); y, en el plano sagital: ángulo tibial distal anterior (TLS, 80 ± 3°) y ángulo talar-primer metatarsiano (0° o paralelo)(9).
Tratamiento
El manejo conservador puede ser considerado en deformidades en varo en las que la articulación subtalar es flexible y pueden adaptarse ortesis plantares personalizadas para descargar el compartimento medial del tobillo. No obstante, esta solución suele ser transitoria, además de no poder mejorar a los pacientes con deformidades rígidas del retropié. Si falla el tratamiento conservador y se opta por el tratamiento quirúrgico, se deben tener en cuenta los objetivos clásicos de la cirugía de tobillo y pie, alinear la extremidad identificando el CORA de la deformidad desde proximal a distal para obtener un tobillo y pie indoloro, plantígrado, estable y con la mayor movilidad posible.
Debe analizarse si existe inestabilidad ligamentosa lateral, varo del retropié, artrosis subtalar, desequilibrios musculares (tibial posterior y peroneo lateral largo), alineación frontal del antepié, tríceps sural, rodilla ipsilateral y discrepancia de longitud respecto al miembro contralateral.
Se debe explicar al paciente que la cirugía de realineación puede no acabar definitivamente con todos los síntomas y que entienda que la mejora puede ser lenta. En otras ocasiones, se trata de un paso previo a los procesos intraarticulares como la artrodesis o la prótesis(10).
Procedimientos extraarticulares
Osteotomía supramaleolar para las desalineaciones en varo
El objetivo de esta es la lateralización del eje de carga para enlentecer la progresión a la artrosis global de la articulación. No obstante, existen diversos puntos que nos preguntamos cuando indicamos y planificamos una OSM para la corrección de la artrosis asimétrica en varo, que se exponen a continuación.
Qué grado de corrección debo hacer para obtener los mejores resultados
En la planificación de la corrección del ángulo medial tibial distal, en la mayoría de los trabajos llamado TAS (ángulo de la superficie tibial respecto a la diáfisis) se suele buscar los límites fisiológicos (MDTA: 91° ± 3). Sin embargo, varios autores abogan por una sobrecorrección de 2-3° cuando ya existe daño articular en el compartimento medial (artrosis asimétrica)(7,11).
mact.1501.fs2301010-figura2.png

Figura 2. A: deformidad en varo postraumática congruente con osteotomía tibial medial y del peroné con 2 agujas en el punto de bisagra que actúan como freno de la sierra o los escoplos y evitan la traslación en el momento de apertura medial; B: apertura medial progresiva con pinzas. Nótese la simulación del eje tibial con cable de bisturí eléctrico.
Hay que tener en cuenta también el plano sagital, ya que una sobrecorrección puede llevar a una pérdida de dorsiflexión del tobillo. Un interesante estudio sobre los resultados funcionales y radiológicos de las OSM para artrosis en varo defiende que, si planificamos una OSM valguizante exclusivamente en función del ángulo de la superficie tibial (TAS o MDTA), este puede no ser un buen predictor de buenos resultados funcionales. Abogan por hacer la planificación atendiendo al eje mecánico desde el centro de la cabeza femoral al punto de contacto del calcáneo. Este estudio sobre 50 tobillos en varo observó que los mejores resultados se obtuvieron cuando el eje de carga se lateralizaba más allá del 80% de la línea de superficie de la tibia tomando como referencia el córner medial del plafón tibial(8). Por lo tanto, se recomiendan procedimientos asociados para la sobrecorrección, como son la osteotomía del calcáneo de desplazamiento lateral, la ligamentoplastia lateral o incluso una doble osteotomía tibial con apertura de maléolo medial (publicada también recientemente por el grupo de Hintermann et al. para aquellos tobillos que presentan un varo severo con un eje mecánico medial a la superficie tibial)(12).
En consonancia con este estudio, los trabajos de Knupp et al. defienden estos procedimientos, sobre todo cuando existe una inclinación talar de más de 4° (talar tilt)(2,10,11).
En este mismo sentido, una revisión sistemática para analizar el grado de corrección óptimo para obtener los mejores resultados funcionales en las desalineaciones en varo no llegó a resultados concluyentes debido probablemente a la variabilidad de los métodos de medición(13). La selección final se hizo en función de 30 artículos con un total de 922 tobillos intervenidos (serie de casos y estudios de cohortes de baja calidad). Se realizaron 5 categorías de corrección (MDTA > 94; 94-92; 92-90; 90-88; < 88) sin obtener diferencias en los resultados funcionales entre las categorías con un seguimiento medio de 47,5 meses.
No obstante, a pesar de los estudios comentados, en general, la OSM se muestra actualmente como un procedimiento de consenso (mejora funcional de entre 20-35/100 en la escala de la American Orthopaedic Foot and Ankle Society –AOFAS–) para el tratamiento de la artrosis leve/moderada en varo (estadio 2 y 3A de Takakura) y probablemente sean precisos más gestos asociados para lateralizar aún más el eje de carga y mejorar la inclinación del astrágalo en los estadios 3B sin poder predecir los resultados, pues no han sido descritos en la literatura. Finalmente, otro estudio analizó como factores de mal pronóstico en estas OSM en varo el sexo masculino, un índice de masa corporal (IMC) por encima de 26,4 kg/m2 y la fractura o corte de la cortical lateral fortuita cuando se hace la osteotomía de apertura medial(14).
Cuál es la mejor osteotomía para la desalineación en varo
Clásicamente, se ha publicado que dependiendo de la corrección planificada se puede realizar una osteotomía de adición medial para correcciones de menos de 10° de valguización o una sustracción lateral para más de 10°. Sin embargo, la tendencia de las publicaciones más recientes es a la apertura medial, probablemente por su mayor facilidad de ejecución, mejora de los implantes bloqueados con perfil más bajo y menor discrepancia de longitud entre miembros. Además, en la OSM de sustracción lateral es conocida la pérdida de tensión y fuerza de las partes blandas laterales, llegando a perder fuerza el tríceps sural si se extraen más de 7 mm de cuña lateral(11).
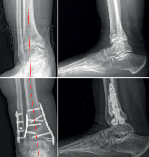
mact.1501.fs2301010-figura5.png

Figura 5. Paciente de 48 años con varo tibiotalocalcáneo intervenido previamente de osteotomía de Dwyer. Osteotomía de sustracción tibial lateral y acortamiento de peroné en Z. Queilectomía talar, ligamentoplastia lateral y transferencia del TTP. Nueva osteotomía de traslación lateral combinada con Zadek y osteotomía de elevación de M1.
La osteotomía en cúpula es otra opción descrita que permite grandes correcciones del TAS sin acortamiento de la extremidad, con una amplia área de contacto que permite una consolidación y una carga precoces, pero con las desventajas de ser una osteotomía de alta demanda técnica, que necesita de la osteotomía en el peroné para movilizarse y no tiene capacidad de corregir deformidades en otros planos(15).
- Osteotomía de apertura medial (Tabla 4): el plano de la osteotomía de apertura se marca con una aguja de Kirschner colocada a 5 cm desde la cortical medial de la punta del maléolo. Idealmente, la aguja debe ser dirigida al tercio superior de la sindesmosis de forma oblicua para evitar la rotura de la cortical lateral cuando esta funcione de bisagra. Si existe aumento de la inclinación del astrágalo (talar tilt > 4°), se ha demostrado en un reciente estudio que una mayor oblicuidad de la osteotomía hacia la parte más distal de la sindesmosis (1 cm proximal de la línea articular) puede corregir mejor la inclinación talar sin alterar el eje mecánico de carga(16). Para evitar el paso de la sierra a la cortical lateral, se puede colocar una aguja de freno en la parte lateral que, además, previene una inesperada fractura en la zona de bisagra al hacer la apertura medial (Figura 2). La cuña de adición necesaria para la corrección deseada puede ser planificada según una fórmula matemática (y = x tang α), (Figura 3)(17) sobre la TC preoperatoria, sobre todo para los casos donde se planee una sobrecorrección biplanar (planos coronal y sagital). Además, la corrección sostenida con pinzas de láminas distractoras puede comprobarse en fluoroscopia intraoperatoria mediante la simulación de un eje mecánico de la tibia con el cable del bisturí eléctrico (Figura 2).
En caso de CORA eminentemente intraarticular por erosión medial de la superficie articular tibial medial, nuestra preferencia es la plafón-plastia (Figura 4)(18). Para rellenar la cuña de apertura, preferimos el autoinjerto tricortical de cresta ilíaca y relleno con chips de aloinjerto esponjoso, aunque otros autores emplean placas con escalón metálico y relleno con sustitutivos óseos o aloinjerto tricortical(18). - Osteotomía de cierre lateral: se realiza una incisión de 10 cm sobre la cara lateral preservando el nervio peroneo superficial. Se planifica una osteotomía en Z de 3-4 cm comenzando en la zona más proximal de la sindesmosis anterior. Se colocan 2 agujas de Kirschner de forma oblicua y convergentes desde la zona más proximal de las sindesmosis dirigidas a la antigua placa de crecimiento fisario en la zona medial. Se puede colocar otra aguja de freno para no romper la cortical medial. Si existe fractura de la cortical medial, es recomendable poner 2 placas, una medial y otra lateral (Figura 5).
Qué hacer con el peroné
El papel de la realización de una osteotomía de peroné adicional cuando se hace una apertura medial no está claro y está debatido en los diferentes artículos publicados hasta la fecha. Sin embargo, la osteotomía fibular adicional permitiría una mayor valguización y posiblemente una mayor congruencia talofibular(19). Así pues, un peroné excesivamente largo no permitiría nunca corregir la inclinación del astrágalo (Figura 6). Por otro lado, otros autores abogan por hacerla solo para correcciones de más de 10°, aunque la tendencia actual es a hacer osteotomía del peroné en todos los casos para hacer más congruente la articulación, como ha puesto de relieve una revisión sistemática en la que se constataron osteotomías de peroné en un 95% de los tobillos sobrecorregidos (“el astrágalo sigue al peroné”)(13).
Cuáles son los límites para la cirugía de preservación articular
Los límites para realizar una cirugía de preservación en contextos de artrosis en varo no están claramente definidos en la actualidad. Según los propios trabajos de Tanaka, los pacientes con más de 10° de inclinación del astrágalo (talar tilt) no tuvieron buenos resultados en su serie solo con la osteotomía tibial, poniendo el límite en el estadio 3A de su propia clasificación. Posteriormente, Knupp et al. no contraindican la preservación articular en tobillos varos con inclinación talar de más de 4°, pero aconsejan asociar gestos a la osteotomía tibial como la osteotomía del calcáneo de desplazamiento lateral y la reconstrucción de las partes blandas, incluso procedimientos en medio/antepié para su realineación. Por lo tanto, la cirugía de preservación incluso en el estadio 3B puede llevar a una mejora del dolor, aunque en muchas ocasiones la mejora no es total. En casos de edad avanzada (> 70 años), preferimos hacer directamente la alineación con procedimientos asociados y la prótesis de tobillo (Figura 7).
Por otro lado, son contraindicación absoluta para la cirugía de preservación la artrosis completa de la articulación (estadio IV de Takakura), los pacientes que no vayan a cumplir con el tratamiento postoperatorio, pues se requiere un periodo sin carga, el abuso del tabaco, los pacientes con expectativas de resolución completa del dolor, marcada inestabilidad subtalar, diabéticos mal controlados y/o mal estado vascular.
Otros procedimientos extraarticulares asociados a la osteotomía supramaleolar
Como se ha comentado anteriormente, si la inclinación del astrágalo (talar tilt) es mayor de 4-5°, se ha documentado que debería asociarse a la osteotomía de tibia y peroné una osteotomía de calcáneo valguizante. Además, debe valorarse una liberación perimaleolar medial del ligamento deltoideo, alargar el tendón del tibial posterior o su transferencia en casos neurológicos. Se valorará también la transferencia del del tendón peroneo lateral largo al corto y la osteotomía dorsiflexora del primer radio o artrodesis del mediopié en estos contextos de pies cavos varos (Figura 8).
Procedimientos intraarticulares para artrosis en varo
En el apartado anterior se han mostrado los límites de la cirugía de preservación articular. Una vez se haya decidido la cirugía de sacrificio articular tendremos la difícil tarea de elegir entre una artrodesis de tobillo o una artroplastia que, aunque no es el foco principal de este capítulo, se han publicado diversos trabajos sin que se vea afectada la longevidad de la prótesis por el varo previo si esta desalineación es corregida durante el procedimiento protésico(20).
En caso de elegir la fusión, se podrá realizar artrodesis tibiotalar aislada (TT) o tibiotalocalcánea (TTC). En un reciente estudio comparativo entre ambos procedimientos en el que se estudiaron el rango de movilidad del pie y las actividades de la vida diaria se concluyó que el arco de movilidad en el plano sagital en el grupo TT fue de 23,5 frente a 15,3 del grupo TTC(21). Y, aunque la satisfacción y la calidad de vida no presentaron diferencias estadísticas, el grupo de la TTC presentó mayor dificultad para subir escaleras, ponerse algunos tipos de zapato y sentarse con las piernas cruzadas. Para los autores, en un tobillo artrósico asociado a subtalar rígida o varo tibiotalocalcáneo > 20°, la mejor opción es una artrodesis TTC por vía lateral. Sin embargo, ante una articulación subtalar móvil y sana en contextos de pies cavos con ligero varo (< 10°) los autores abogan por asociar a la fusión tibiotalar un balanceado de partes blandas para eliminar fuerzas deformantes en varo (transferencia del tendón tibial posterior a la zona dorsolateral del pie o peroneo lateral largo al corto) asociados a una osteotomía de calcáneo valguizante y realineación del antepié. Lo anteriormente descrito todavía cobra más relevancia ante la degeneración incipiente de la articulación de Chopart, no infrecuente en estos contextos (Figura 7).
Conclusiones
Antes de indicar la cirugía de preservación articular en una desalineación en varo, debemos valorar las expectativas del paciente, pues este debe ser informado de que la resolución del dolor puede no ser completa y podría precisar más cirugías en el futuro. El estadio 3B de Takakura con inclinación severa del astrágalo (> 10°), el sexo masculino y la obesidad son factores de un pronóstico sombrío.
El análisis preoperatorio del eje mecánico en carga debe hacerse visualizando el calcáneo para analizar el punto del tobillo por donde pasa este eje. Los mejores resultados se han obtenido cuando este punto de máxima carga está sobre la superficie lateral del astrágalo, donde está indemne el cartílago articular.
La osteotomía tibial de apertura oblicua distal con osteotomía de peroné tiene mayor capacidad que la osteotomía clásica para corregir los casos de inclinación talar, por actuar más cerca del CORA intraarticular.
La mayoría de los casos en los que se realiza OSM para corrección del varo asocian osteotomía del peroné para hacer más congruente la articulación del tobillo. En los casos límite de inclinación talar (talar tilt > 5°) es posible que se precisen más procedimientos para optimizar los resultados, como la osteotomía del calcáneo de desplazamiento lateral, la ligamentoplastia lateral, el reequilibrio de los desequilibrios musculares (neurológicos) y la alineación del antepié.
Tablas
Tabla 4. Posibles defectos técnicos de la osteotomía de apertura medial para corrección de la artrosis asimétrica en varo
Figuras
Figura 1. A: eje mecánico en desalineación en varo leve; B: MDTA, ángulo medial distal tibial o TAS; C: TT, ángulo de inclinación del astrágalo o tilt talar; D: TLS, ángulo lateral de la superficie articular tibial; E: alineación tibiocalcánea.
Figura 2. A: deformidad en varo postraumática congruente con osteotomía tibial medial y del peroné con 2 agujas en el punto de bisagra que actúan como freno de la sierra o los escoplos y evitan la traslación en el momento de apertura medial; B: apertura medial progresiva con pinzas. Nótese la simulación del eje tibial con cable de bisturí eléctrico.
Figura 3. Planificación de la cuña de adición en milímetros mediante la fórmula matemática (y = x tang alfa).
Figura 4. Artrosis incongruente en pacientes con CORA intraarticular en el tobillo. Procedimiento de plafón-plastia asociado a otros procedimientos de partes blandas y realineación de retropié y antepié.
Figura 5. Paciente de 48 años con varo tibiotalocalcáneo intervenido previamente de osteotomía de Dwyer. Osteotomía de sustracción tibial lateral y acortamiento de peroné en Z. Queilectomía talar, ligamentoplastia lateral y transferencia del TTP. Nueva osteotomía de traslación lateral combinada con Zadek y osteotomía de elevación de M1.
Figura 6. Deformidad en varo severo congruente. Adición medial de autoinjerto tricortical de cresta, doble placa y acortamiento-valguización del peroné.
Figura 7. Artrosis asimétrica en varo en paciente de 70 años. Alineación con prótesis de tobillo, liberación deltoideo perimaleolar interno y ligamentoplastia lateral. Osteotomía de calcáneo desplazamiento lateral.
Cita bibliográfica
Autores
Sergio Tejero
Departamento de Cirugía. Universidad de Sevilla
Coordinador de la Unidad de Pie y Tobillo del Hospital Universitario Virgen del Rocío de Sevilla
Profesor asociado en la Universidad de Sevilla
Vocal de Docencia e Investigación de la SEMCPT
Juan Chans Veres
Hospital Universitario Infanta Elena. Madrid
Servicio de Cirugía Ortopédica y Traumatología. Hospital Universitario Virgen del Rocío. Sevilla
Antonio Jesús García Guirao
Unidad de Pie y Tobillo. Hospital Universitario Virgen del Rocío. Sevilla
Estefanía Prada Chamorro
Hospital Universitario Virgen del Rocío, Facultad de Medicina, Universidad de Sevilla, Sevilla
Beatriz Martínez Sañudo
Servicio de Cirugía Ortopédica y Traumatología. Hospital Universitario Virgen del Rocío. Sevilla
Referencias bibliográficas
-
1Song JH, Kang C, Kim TG, Lee GS, Lee JK, Ahn KJ, et al. Perioperative axial loading computed tomography findings in varus ankle osteoarthritis: Effect of supramalleolar osteotomy on abnormal internal rotation of the talus. Foot Ankle Surg. 2021;27:217-23.
-
2Knupp M, Stufkens SAS, Bolliger L, Barg A, Hintermann B. Classification and Treatment of Supramalleolar Deformities. Foot Ankle Int. 2011;32(11):1023-31.
-
3Hansen ST. The cavovarus/supinated foot deformity and external tibial torsion: the role of the posterior tibial tendon. Foot Ankle Clin. 2008 Jun;13(2):325-8, viii.
-
4Takakura Y, Tanaka Y, Kumai T, Tamai S. Low tibial osteotomy for osteoarthritis of the ankle. Results of a new operation in 18 patients. J Bone Joint Surg Br. 1995 Jan;77(1):50-4.
-
5Takakura Y, Takaoka T, Tanaka Y, Yajima H, Tamai S. Results of opening-wedge osteotomy for the treatment of a post-traumatic varus deformity of the ankle. J Bone Joint Surg Am. 1998 Feb;80(2):213-8.
-
6Tanaka Y, Takakura Y, Hayashi K, Taniguchi A, Kumai T, Sugimoto K. Low tibial osteotomy for varus-type osteoarthritis of the ankle. J Bone Joint Surg Br. 2006 Jul;88(7):909-13.
-
7Tejero S, Chans-Veres J, Carranza-Bencano A, Galhoum AE, Poggio D, Valderrábano V, Herrera-Pérez M. Functional results and quality of life after joint preserving or sacrificing surgery in Charcot-Marie-Tooth foot deformities. Int Orthop. 2021 Oct;45(10):2569-78.
-
8Haraguchi N, Ota K, Tsunoda N, Seike K, Kanetake Y, Tsutaya A. Weight-bearing-line analysis in supramalleolar osteotomy for varus-type osteoarthritis of the ankle. J Bone Joint Surg Am. 2015 Feb 18;97(4):333-9.
-
9Mendicino RW, Catanzariti AR, Reeves CL, King GL. A systematic approach to evaluation of the rearfoot, ankle, and leg in reconstructive surgery. J Am Podiatr Med Assoc. 2005 Jan-Feb;95(1):2-12.
-
10Knupp M, Bolliger L, Hintermann B. Treatment of posttraumatic varus ankle deformity with supramalleolar osteotomy. Foot Ankle Clin. 2012 Mar;17(1):95-102.
-
11Knupp M, Stufkens SA, Pagenstert GI, Hintermann B, Valderrabano V. Supramalleolar osteotomy for tibiotalar varus malalignment. Tech Foot Ankle Surg. 2009;8(1):17-23.
-
12Hintermann B, Ruiz R, Barg A. Novel Double Osteotomy Technique of Distal Tibia for Correction of Asymmetric Varus Osteoarthritic Ankle. Foot Ankle Int. 2017 Sep;38(9):970-81.
-
13Beijk I, Burgerhof J, de Vries AJ, van Raaij TM. Is there an optimal degree of correction for ankle varus deformity after supramalleolar osteotomy? A systematic review. Foot Ankle Surg. 2022 Dec;28(8):1139-49.
-
14Kim YS, Kim YB, Koh YG. Prognostic Factors Affecting Correction Angle Changes After Supramalleolar Osteotomy Using an Opening Wedge Plate for Varus Ankle Osteoarthritis. J Foot Ankle Surg. 2019 May;58(3):417-22.
-
15Wagner P, Colin F, Hintermann B. Distal Tibia Dome Osteotomy. Tech Foot Ankle Surg. 2014;13(2):103-7.
-
16Choi JY, Cho JH, Song TH, Suh JS. Radiographic Outcomes of Proximal vs Distal Syndesmotic Low Tibial Osteotomy. Foot Ankle Int. 2022 Feb;43(2):211-22.
-
17Warnock KM, Johnson BD, Wright JB, Ambrose CG, Clanton TO, McGarvey WC. Calculation of the opening wedge for a low tibial osteotomy. Foot Ankle Int. 2004 Nov;25(11):778-82.
-
18Mann HA, Filippi J, Myerson MS. Intra-articular opening medial tibial wedge osteotomy (plafond-plasty) for the treatment of intra-articular varus ankle arthritis and instability. Foot Ankle Int. 2012 Apr;33(4):255-61.
-
19Hongmou Z, Xiaojun L, Yi L, Hongliang L, Junhu W, Cheng L. Supramalleolar Osteotomy With or Without Fibular Osteotomy for Varus Ankle Arthritis. Foot Ankle Int. 2016 Sep;37(9):1001-7.
-
20Lee GW, Wang SH, Lee KB. Comparison of Intermediate to Long-Term Outcomes of Total Ankle Arthroplasty in Ankles with Preoperative Varus, Valgus, and Neutral Alignment. J Bone Joint Surg Am. 2018 May 16;100(10):835-42.
-
21Watanabe K, Teramoto A, Kamiya T, Okada Y, Murahashi Y, Yamashita T. A Comparative Study of Foot Range of Motion and Activities of Daily Living Status of Patients Following Ankle Arthrodesis and Tibiotalocalcaneal Arthrodesis. J Foot Ankle Surg. 2022 Dec 29:S1067-2516(22)00376-3. Epub ahead of print.
Descargar artículo:
Licencia:
Este contenido es de acceso abierto (Open-Access) y se ha distribuido bajo los términos de la licencia Creative Commons CC BY-NC-ND (Reconocimiento-NoComercial-SinObraDerivada 4.0 Internacional) que permite usar, distribuir y reproducir en cualquier medio siempre que se citen a los autores y no se utilice para fines comerciales ni para hacer obras derivadas.
Comparte este contenido
En esta edición
- Introducción
- Etiopatogenia y clasificación del pie cavo
- Biomecánica del pie cavo varo
- Exploración física, diagnóstico por imagen y otras pruebas complementarias
- Manejo conservador. ¿Qué debe saber el traumatólogo?
- Osteotomías en pie cavo varo
- Procedimiento de artrodesis
- Procedimientos sobre partes blandas y manejo de la patología del antepié
- Consideraciones especiales en el tratamiento del pie cavo varo neurológico
- Desalineaciones tibiotalares supra- e inframaleolares en varo
- ¿Tienen cabida la fijación externa circular y la prótesis de tobillo en el tratamiento del pie cavo varo?
- Conclusiones y algoritmo de diagnóstico y tratamiento del pie cavo varo
Más en Google Scholar
Más en ORCID


La Monografía de Actualización de la SEMCPT está distribuida bajo una licencia de Creative Commons Reconocimiento-NoComercial-SinObraDerivada 4.0 Internacional.
























