Fractura luxación de calcáneo. Presentación de un caso y revisión bibliográfica
Fracture-dislocation of calcaneus. A report of a case and literature review
Resumen:
La fractura luxación de calcáneo es una patología infrecuente(1) que muchas veces pasa desapercibida en la planificación preoperatoria de las fracturas de calcáneo. Debemos tener en cuenta su asociación con las siguientes lesiones para no infradiagnosticarla: subluxación tibioastragalina, luxación de los tendones peroneos, afectación de la articulación calcaneocuboidea y fracturas del maléolo peroneo o rotura del complejo ligamentoso lateral del tobillo(1,2,3). La prueba diagnóstica de elección es la tomografía computarizada (TC), que se debe realizar siempre previa a la cirugía(2,4). El mecanismo que origina esta lesión con más frecuencia es la caída de altura, seguido de los accidentes de tráfico(2). Se trata de luxaciones casi siempre irreductibles, por lo que los resultados del tratamiento conservador son pobres. El tratamiento es quirúrgico, teniendo 2 opciones: reducción mediante técnicas mínimamente invasivas y fijación percutánea con tornillos o reducción abierta y osteosíntesis con placa, reparando en ambos casos las lesiones asociadas. Se han obtenido resultados similares a los de cualquier otra fractura de calcáneo quirúrgica, excepto en la tasa de artrodesis subastragalina secundaria, que es ligeramente mayor en el caso de fractura luxación(3).
Abstract:
Fracture-dislocation of the calcaneus is an uncommon pathology. A substantial number of these injuries is not recognized in the preoperative planification of calcaneus fractures. It can be associated with subluxation of the talus in the ankle mortise, dislocation of peroneal tendons, fracture extension into the calcaneocuboid joint, and complete disruption of the anterior talofibular and calcaneal fibular ligament or fracture of the lateral malleolus. The gold standard image technique is the computed tomography (CT), and it must be done before the surgery. The most common trauma mechanism is a fall from height, and the second one is a traffic accident. This dislocation is irreducible by conservative measure, leaving no place for conservative treatment. There are 2 options in the operative management: minimally invasive technique reduction and percutaneus fixation with screws or open reduction and osteosynthesis with a calcaneal plate. Associated injuries must be repaired in both cases. Patient-related outcome of this fractures is similar to the rest of intra-articular calcaneal fracture types. However, a higher rate of secondary subtalar arthrodesis can be expected.
Introducción: mecanismo, diagnóstico y tratamiento de la fractura luxación de calcáneo
Las fracturas de calcáneo suelen producirse por mecanismos de alta energía como la caída de altura. En una fractura de calcáneo, si persiste la carga axial sobre el retropié invertido, se romperán los ligamentos colaterales laterales y se luxará el fragmento posterolateral del calcáneo.
Generalmente, el fragmento anteromedial no se luxa debido a la integridad del ligamento interóseo talocalcáneo. A raíz de la lesión ligamentosa y del desplazamiento e impacto contra el peroné del fragmento posterolateral, se producirá una fractura del maléolo peroneo y la pérdida de congruencia entre el astrágalo y la mortaja tibioperonea, además de la luxación de los tendones peroneos(1,3,4,5,6,7). El único caso descrito de fractura luxación medial de calcáneo lo describió Anglen, que además lo asoció a una interposición del flexor largo del hallux(8).
Clínicamente, el primer indicio que nos debe hacer pensar en una fractura luxación de calcáneo, junto con la presencia de dolor, tumefacción y deformidad del retropié, debe ser la luxación anterior de los tendones peroneos(4). Como primera exploración complementaria utilizaremos la radiografía simple. Además del perfil de pie y de la axial de calcáneo, debemos realizar una radiografía dorsoplantar del pie para valorar la articulación calcaneocuboidea y un estudio del tobillo para descartar fracturas del maléolo peroneo, así como para evidenciar la subluxación del astrágalo o lesiones de la sindesmosis. La inversión del astrágalo en la mortaja tibioperonea es una lesión patognomónica de la fractura luxación de calcáneo(2).
Ante la aparición de una fractura intraarticular de calcáneo solicitaremos una tomografía computarizada (TC) y con más motivo si esta se asocia a una subluxación del astrágalo. Un diagnóstico y una intervención quirúrgica precoces facilitarán, como en la mayor parte de las luxaciones, la reducción. La clasificación de Sanders(9,10), cuyo valor pronóstico para predecir la artrodesis subastragalina ha sido demostrado (5,5 veces más probabilidad de terminar en artrodesis subastragalina una fractura Sanders IV que una Sanders II)(11), no resulta excesivamente útil para el caso de las fracturas luxaciones de calcáneo, pues no incide en la importancia de la articulación calcaneocuboidea(2) ni en las lesiones asociadas, por lo que no resultaría válida para plantear el tratamiento.
La fractura luxación de calcáneo supone una clara indicación quirúrgica. Se han descrito pobres resultados del tratamiento conservador(5,8,12). Aunque no es necesario realizar una cirugía de urgencia, sí es preferible realizarla en las primeras 48 horas por la lesión de partes blandas, ya que al tratarse de fracturas irreductibles por métodos cerrados cursan con gran tumefacción y edema. Como todas las luxaciones, cuanto antes se realice la reducción más sencilla resultará. Se han descrito buenos resultados con la fijación percutánea con tornillos tras una reducción abierta mínimamente invasiva, aunque la técnica quirúrgica de elección es la reducción abierta y osteosíntesis con placa atornillada lateral en calcáneo(5). Ante la previsión de que no se vaya a poder conseguir una reducción anatómica articular mediante técnicas mínimamente invasivas, realizaremos una fijación definitiva mediante un abordaje lateral en L extendido. De no poderse intervenir al paciente en las primeras 24-48 horas, la cirugía se debe diferir hasta unos 10-14 días, con el objetivo de obtener una mejoría en el estado de las partes blandas. En estos pacientes en los que se difiere la cirugía, puede resultar útil el alargamiento del tendón de Aquiles para conseguir una reducción adecuada.
Los resultados clínicos obtenidos en pacientes con fractura articular y en pacientes con fractura luxación de calcáneo tratados quirúrgicamente son similares, siempre que se traten adecuadamente las lesiones asociadas. Por ello, la articulación calcaneocuboidea debe ser reducida y estabilizada anatómicamente. Los tendones peroneos se suelen reducir automáticamente al reducir la porción lateral luxada del calcáneo; en caso de no resultar estables se deberá realizar una reparación del retináculo peroneo(2). También puede ser necesaria la reparación del complejo ligamentoso lateral del tobillo e incluso la fijación de la sindesmosis mediante un tornillo transindesmal en caso de evidenciarse lesión de esta.
Caso clínico
Se trata de un varón de 19 años que ingresa en reanimación tras precipitarse desde una altura de aproximadamente 10 metros. El paciente presenta una fractura estallido de L3 con afectación del canal medular junto con una fractura del vértice inferior de L4, así como una fractura luxación de calcáneo, asociada a una fractura del maléolo peroneo y del maléolo tibial posterior (Figuras 1 a 6) diagnosticadas mediante TC total body (por eso no se dispone de radiografías simples al momento del ingreso). Como podemos comprobar, se trata de una fractura de doble trazo de tipo hundimiento/depresión de la carilla articular (Figuras 5 y 6).
A su llegada a urgencias, se inmovilizó con férula posterior de yeso tras no conseguirse la reducción cerrada (Figuras 7 y 8). Debido a la patología asociada, subsidiaria de tratamiento quirúrgico de urgencias (artrodesis de L2 a L4 con tornillos transpediculares, por parte de neurocirugía), se decide demorar eñ tratamiento definitivo de la fractura luxación de calcáneo 2 semanas, hasta conseguir una mejoría en el estado de las partes blandas.
Se programa la cirugía definitiva 15 días después del accidente tras comprobar la ausencia de flictenas y el buen estado de la piel.
Bajo isquemia se realiza un abordaje lateral en L ampliado y se expone el calcáneo. Se trató de realizar una reducción abierta empleando un clavo de Steinmann (maniobra de Westhues), lo cual no se consiguió hasta la realización de un alargamiento percutáneo del Aquiles. Se comprobó bajo escopia la correcta reducción tanto de la fractura del calcáneo como de la luxación al nivel del tobillo. Se realizó una fijación con una placa de calcáneo, con 7 tornillos de esponjosa de 4 mm de diámetro (2 de ellos bloqueados) tras la reducción de la carilla posterior con un tornillo a compresión de 3,5 mm.
A continuación, pasamos a realizar un segundo abordaje lateral, respetando una separación suficiente para minimizar el riesgo de necrosis cutánea, a través de la cual se reparó la rotura del complejo ligamentoso lateral y se fijó la sindesmosis con un tornillo transindesmal de 4 mm de diámetro tras comprobarse bajo escopia la lesión al nivel de la articulación tibioperonea distal. Se inmovilizó mediante una férula posterior a 90°.
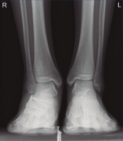
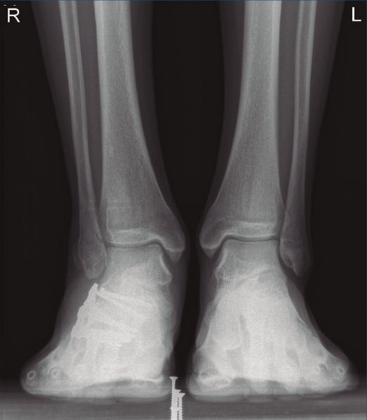
Se dio de alta el día siguiente a la cirugía con un buen control analgésico. En la radiografía de control postoperatoria presentó una correcta reducción tanto de la fractura de calcáneo como de la articulación tibioperoneo astragalina (Figuras 9 y 10). Se citó en consultas externas 2 semanas después para la retirada de la sutura, presentado un buen aspecto las heridas quirúrgicas (Figura 11), y para la colocación de un botín de yeso. Dicho botín fue retirado al mes y medio de la cirugía, colocándose una ortesis estabilizadora de tipo Walker y autorizándose la carga parcial y progresiva, comenzando la rehabilitación.
A los 3 meses de la cirugía se procedió a la retirada del tornillo transindesmal. Continuó con su plan rehabilitador, observándose un déficit de flexión plantar de unos 10-15°. Se procedió a la retirada de la ortesis a los 4 meses con buena tolerancia a la carga y habiendo conseguido un rango de movilidad completo.
A los 9 meses únicamente presentó dolor ocasional al nivel de la articulación subastragalina y molestias en la planta del pie al deambular descalzo, por lo que se pauta plantilla amortiguadora, con la que mejora notablemente la sintomatología. Presentó una puntuación de 83 sobre 100 en la escala de la American Orthopaedic Foot and Ankle Society (AOFAS), ligeramente superior a la media descrita en estudios previos(2,3). Radiográficamente se evidenció una anatomía restablecida del calcáneo y de la sindesmosis, así como una altura adecuada de ambos tobillos (Figuras 12 y 13). Dada la buena evolución, se decidió continuar con el seguimiento anual del paciente sin realizar la extracción del material de osteosíntesis, para valorar la necesidad de una futura artrodesis subastragalina.
Discusión
Según la literatura, el primer indicio que nos debe hacer pensar en una fractura luxación de calcáneo, junto con la clínica de dolor, tumefacción y deformidad del retropié, debe ser la luxación anterior de los tendones peroneos. Sin embargo, consideramos que en la práctica clínica es muy complejo realizar este diagnóstico específico basándonos únicamente en la exploración física, dada la infrecuencia de las fracturas luxaciones de calcáneo. Por ello, pensamos que la realización de la radiografía anteroposterior de tobillo es básica ante la sospecha clínica de fractura de calcáneo, pues la presencia de una subluxación de astrágalo en la mortaja tibioperonea asociada a una fractura de calcáneo nos debe poner en alerta ante el componente de inversión de esta lesión y la posibilidad de que exista una fractura luxación de calcáneo. La inversión del astrágalo en la mortaja tibioperonea es un signo patognomónico para el diagnóstico de esta compleja lesión. Se evidenciará también con esta proyección la ocupación del espacio submaleolar lateral, normalmente libre.
La TC es fundamental para confirmar el diagnóstico y completar el estudio previo a la cirugía. Los cortes axiales nos resultarán más útiles para detectar si hay afectación de la articulación calcaneocuboidea.
Reconocer estas lesiones resulta fundamental para la planificación quirúrgica, ya que puede pasar desapercibida y no realizarse una correcta reducción de la articulación del tobillo o de la subastragalina. Además, es muy importante planificar bien los abordajes: se debe tener en cuenta, para evitar la necrosis cutánea, una separación mínima de 5-7 cm entre incisiones (en caso de precisar más de una). Conviene destacar el alargamiento del tendón de Aquiles como gesto quirúrgico añadido, que consideramos puede resultar muy útil para facilitar la reducción.
En cuanto a los resultados funcionales, como comentamos previamente, son equiparables a los de cualquier otra fractura quirúrgica de calcáneo, siempre que se reduzca anatómicamente la articulación tibioastragalina, salvo en la tasa de artrodesis subastragalina secundaria, que es superior.
Destacaremos 2 artículos acerca de la evolución de los pacientes con fractura luxación de calcáneo: el de Schepers(3) y el de Ebraheim(2), en los que se realiza el seguimiento a 24 meses de una serie de 16 y 11 pacientes, respectivamente. La puntuación media en la escala de la AOFAS obtenida por ambos fue similar (74 y 80 sobre 100), lo que podría considerarse un buen resultado funcional, similar al de las fracturas de calcáneo que no asocian luxación del fragmento posterolateral. A pesar de ello, la tasa de artrodesis subastragalina secundaria en el artículo de Schepers alcanzó el 19% (3 de 16 pacientes), por encima de la tasa en el resto de las fracturas de calcáneo. Ebraheim no reporta ningún caso de artrodesis secundaria en su artículo a los 24 meses de evolución; sin embargo, describe cambios artrósicos radiográficos en la articulación subastragalina en un 45% de los pacientes, restricción severa de la movilidad de dicha articulación en un 35% y moderada en un 45%.
Podemos considerar, por lo tanto, los resultados funcionales obtenidos en nuestro paciente satisfactorios, obteniendo una puntuación en la escala de la AOFAS ligeramente superior a la media de los estudios comentados previamente (de 83 frente a 80 y 74), con un buen rango de movilidad y molestias ocasionales.
Únicamente refiere como síntoma principal la incapacidad por dolor para deambular descalzo. Radiográficamente, los resultados a los 10 meses también son alentadores, con una restauración de la anatomía del calcáneo y del tobillo, y con un buen estado de la articulación subastragalina, que no hace necesaria la realización de una artrodesis subastragalina por el momento. Además, conviene destacar que no presentó problemas asociados como podría ser la infección de la herida quirúrgica (a diferencia de Ebraheim, que reporta 2 casos de infección superficial), la necrosis astragalina o la presencia de dedos en garra secundarios a la instauración de un síndrome compartimental.
En cuanto al dolor a nivel plantar con el apoyo que puede dificultar la marcha del paciente descalzo (como sucedió en nuestro caso), no se cita específicamente en los artículos anteriores, pero consideramos que es una de las principales secuelas de la fractura luxación de calcáneo (así como del resto de las fracturas de calcáneo). Este síntoma es debido a que el calcáneo descansa sobre la almohadilla fibroadiposa plantar: una estructura especializada que contiene una serie de tabulaciones verticales conjuntivas que, uniendo el talón osteofibroso con la también especializada piel plantar, forman celdas ocupadas por tejido adiposo. Dicha estructura está preparada para asumir la reiteración cíclica de impactos que supone la marcha y, secundariamente a fracturas de calcáneo o traumatismos de alta energía, puede alterar dicha capacidad amortiguadora ocasionando un dolor residual que mejorará con una plantilla amortiguadora.
Podríamos considerar la realización de una artrodesis primaria en casos complejos (Sanders de tipo 4 o ante la imposibilidad de conseguir reducciones estables mediante los sistemas de osteosíntesis empleados habitualmente), aunque no hemos encontrado casos descritos en la bibliografía para fracturas luxaciones agudas de calcáneo. En un caso descrito por Schepers(3) de diagnóstico tardío, de más de 3 meses de evolución, sí se describe la realización de la artrodesis subastragalina como primera opción terapéutica con buenos resultados. Esta técnica ha demostrado su utilidad de entrada en casos de fracturas con severa conminución (Sanders 4)(15), obteniéndose resultados funcionales excelentes(16).
Figuras
Figura 1. Luxación del astrágalo en mortaja tibioperonea, fractura maléolo peroneo y espacio subperoneo ocupado por calcáneo.
Figura 2. Fractura maléolo peroneo y tibial posterior. Trazo entre fragmento anteromedial y posterolateral.
Figura 3. Desplazamiento entre fragmento anteromedial (sustentaculum tali) y posterolateral (tuberosidad).
Figura 7. Radiografía lateral de pie y tobillo; se evidencia fractura de calcáneo y de maléolo tibial posterior.
Figura 8. Radiografía anteroposterior de tobillo, inclinación lateral del astrágalo, ocupación del espacio subperoneo, fractura maléolo peroneo y apertura de sindesmosis.
Figura 11. Heridas quirúrgicas a las 2 semanas. Abordaje anterolateral sobre maléolo peroneo y lateral en L al calcáneo.
Información del artículo
Cita bibliográfica
Autores
Álvaro Acebrón Fabregat
Servicio de Traumatología y Cirugía Ortopédica. Hospital Clínico Universitario de Valencia
Servicio de Ortopedia y Traumatología. Unión de Mutuas. Valencia
Maria Carmen Blasco Molla
Unidad de Pie y Tobillo. Servicio de Cirugía Ortopédica y Traumatología. Hospital Clínico Universitario-Malvarrosa. Valencia
Departamento de Cirugía. Facultad de Medicina y Odontología. Universidad de Valencia
Antonio Silvestre Muñoz
Servicio de Traumatología y Cirugía Ortopédica. Hospital Clínico Universitario de Valencia
Hospital Clínico/Malvarrosa Valencia. Departamento 5 Valencia
Responsabilidades éticas
Protección de personas y animales. Los autores declaran que para esta investigación no se han realizado experimentos en seres humanos ni en animales.
Confidencialidad de los datos. Los autores declaran que han seguido los protocolos de su centro de trabajo sobre la publicación de datos de pacientes.
Derecho a la privacidad y consentimiento informado. Los autores declaran que en este artículo no aparecen datos de pacientes.
Financiación. Los autores declaran que este trabajo no ha sido financiado.
Conflicto de intereses. Los autores declaran no tener ningún conflicto de intereses.
Referencias bibliográficas
-
1Court-Brown CM, Boot DA, Kellam JF. Fracture dislocation of the calcaneus: a report of two cases. Clin Orthop Relat Res. 1986;213:201-6.
-
2Ebraheim NA. Calcaneus fractures with subluxation of post facet. A surgical indication. Clin Orthop Relat Res. 2000;377:210-6.
-
3Schepers T, Backes M, Schep NWL, Goslings JC, Luitse JSK. Functional outcome following a locked fracture-dislocation of the calcaneus. Int Orthop. 2013 Sep;37(9):1833-8.
-
4Eastwood DM, Maxwell-Armstrong CA, Case Atkins RM. Fracture of the lateral malleolus with talar tilt: primarily a calcaneal fracture not an ankle injury. Injury. 1993;24:109-12.
-
5Fransen S, Poeze M, Verbruggen JPAM, Brink PRG. Locked fracture dislocation of the calcaneus: report and review of the literature. Injury Extra. 2010;41:13-6.
-
6Jimeno-Vidal F. Isolierte fraktur des sustentaculum tali mit luxation des fersenbienkorders nach auben. Z Orthop. 1960;93:30-46.
-
7Biga N. Fracture-dislocation of the calcaneus: 4 cases. Rev Chir Orthop Reparatrice Apr Mot. 1977;63:191-202.
-
8Anglen JO. Case report: irreducible fracture of the calcaneus due to the flexor hallucis longus interposition. J Orthop. 1996;10:285-8.
-
9Howells NR, Hughes AW, Jackson M, Atkins RM, Livingstone JA. Interobserver and intraobserver reliability assessment of calcaneal fracture classification systems. J Foot Ankle Surg. 2014;53:47-51.
-
10Sanders R. Intra-articular fractures of the calcaneus: Present state of the art. J Orthop Trauma. 1992;6:252-65.
-
11Rammelt S, Zwipp H. Fractures of the calcaneus: current treatment strategies. Acta Chir Orthop Traumatol Cech. 2014;81:177-96.
-
12Carr JB. Varus of the talus in the ankle mortise secondary to calcaneus fracture. A case report. Clin Orthop Relat Res. 1991;263:206-9.
-
13Howard JL, Buckley R, McCormack R. Complications following management of displaced intra-articular calcaneal fractures: a prospective randomized trial comparing open reduction internal fixation with nonoperative management. J Orthop Trauma. 2003;17:241-9.
-
14Kitaoka HB, Alexander IJ, Adelaar RS, Nunley JA, Myerson MS, Sanders M. Clinical rating systems for the ankle-hindfoot, midfoot, and lesser toes. Foot Ankle Int. 1994;15:349-53.
-
15Buch BD, Myerson MS, Miller SD. Primary subtalar arthrodesis for the treatment of intra-articular calcaneal fractures. Foot Ankle Int. 1996;17:61-70.
-
16Schepers T. The primary arthrodesis for severely comminuted intra-articular fractures of the calcaneus: a systematic review. J Foot Ankle Surg. 2012;18:84-8.
Descargar artículo:
Licencia:
Este contenido es de acceso abierto (Open-Access) y se ha distribuido bajo los términos de la licencia Creative Commons CC BY-NC-ND (Reconocimiento-NoComercial-SinObraDerivada 4.0 Internacional) que permite usar, distribuir y reproducir en cualquier medio siempre que se citen a los autores y no se utilice para fines comerciales ni para hacer obras derivadas.
Comparte este contenido
En esta edición
- Nueva estructura para un nuevo tiempo
- Fracturas osteoporóticas de tobillo: conceptos actuales
- Fracturas de calcáneo: ¿influyen los factores psicosociales en los resultados del tratamiento quirúrgico?
- Estudio prospectivo aleatorizado sobre la evolución en el empleo de suturas en la cirugía de <em>hallux valgus</em>
- Fractura luxación de calcáneo. Presentación de un caso y revisión bibliográfica
- Osteocondroma en tubérculo lateral peroneo. A propósito de un caso
- Tratamiento de la rotura crónica del tibial anterior con plastia tendinosa
- Comentario a <em>Tratamiento de la rotura crónica del tibial anterior con plastia tendinosa</em>
- Memoria de mi estancia formativa en la Unidad de Pie y Tobillo del Hospital Clínico San Carlos (Madrid)
- Revista de revistas
- Nuestra experiencia en el tratamiento artroscópico del tumor difuso de células gigantes del tobillo
Más en PUBMED
Más en Google Scholar
Más en ORCID


Revista del pie y tobillo está distribuida bajo una licencia de Creative Commons Reconocimiento-NoComercial-SinObraDerivada 4.0 Internacional.




























