Símbolo Fondo Science

Contacte para más información en el teléfono +34 629 829 605

Revista Española de Artroscopia y Cirugía Articular

Asociación Española de Artroscopia (AEA)

Portada REACA 60
ISSN online: 2443-9754 (es)
ISSN impreso: 2386-3129 (es)
Vol. 24. Fasc. 3. Núm. 60. Diciembre 2017
10.24129/j.reaca.24360.fs1711055
Recibido: 4 noviembre 2017
Aceptado: 27 noviembre 2017
Casos clínicos

Tratamiento artroscópico de un quiste paralabral sintomático a nivel de la articulación de la cadera. A propósito de un caso

Arthroscopic treatment of a symptomatic large paralabral cyst of the hip joint. A case report

Rev Esp Artrosc Cir Articul. 2017;24(3):229-32

Resumen: 

Los quistes paralabrales son una causa rara de dolor de cadera. Los síntomas pueden ser similares al choque femoroacetabular, pero sin deformidades óseas aparentes. Por lo general, los quistes paralabrales son hallazgos incidentales en la resonancia magnética. Presentamos el caso de un paciente de 48 años de edad, varón, con un quiste paralabral sintomático a nivel de la cadera izquierda. Después de un tratamiento conservador fallido con antiinflamatorios no esteroideos y fisioterapia, se propuso la resección artroscópica del quiste como tratamiento definitivo. Se considera que, en los casos sintomáticos, la extirpación quirúrgica es una opción de tratamiento válida. Los procedimientos mínimamente invasivos, como la artroscopia, permiten un acceso seguro a la articulación de la cadera para eliminar estas lesiones. Cuando se identifica un quiste paralabral, es importante descartar otras posibles causas subyacentes del dolor de cadera.

Abstract: 

Paralabral cysts are a rare cause of hip pain. Symptoms may be similar to impingement but without apparent bony anatomical deformities. Usually, paralabral cysts are asymptomatic incidental findings on magnetic resonance imaging.

We present the case of a 48 years old male with symptomatic paralabral cyst causing hip pain. After unsuccessful conservative treatment with nonsteroidal anti-inflammatory drugs and physical therapy, arthroscopic cyst resection was proposed as definitive treatment. In symptomatic cases, surgical excision could be considered as a treatment option. Minimally invasive procedures, such as hip arthroscopy, allow a safe access to the hip joint in order to remove these lesions. When a paralabral cyst are identified, it is important to discard other possible underlying causes of hip pain.

Introducción

Los quistes paralabrales de la articulación de la cadera generalmente se consideran hallazgos incidentales poco frecuentes. Con poca frecuencia causan síntomas, incluyéndose entre estos dolor, hinchazón o chasquido y disfunción articular. Debe descartarse el choque femoroacetabular, las compresiones nerviosas y vasculares o los síntomas urinarios.

Aunque los quistes pueden considerarse un hallazgo casual, cuando hay síntomas, estos se relacionan principalmente con la ubicación y el tamaño anatómico del quiste. Las lesiones intraarticulares primarias siempre deben considerarse y evaluarse como en cualquier otra articulación(1).

Descripción del caso

Presentamos el caso de un varón de 48 años, instructor de tenis profesional, sin antecedentes clínicos relevantes. Consulta por coxalgia izquierda incapacitante durante la actividad laboral de unos 18 meses de duración. El examen físico mostró dolor en flexión y rotación interna de la cadera izquierda y una prueba de choque positiva. Se realizaron radiografías para evaluar la presencia de morfologías que pudieran predisponer a un pinzamiento femoroacetabular (Figura 1). No se observó morfología anormal o signos de osteoartritis. El tratamiento inicial incluyó la prescripción de antiinflamatorios no esteroideos (AINE) y la modificación de la actividad física. Se realizó una resonancia magnética (RM) para completar el estudio. Los resultados de la RM no identificaron alteraciones morfológicas o cambios de señal en la cabeza femoral que pudieran sugerir necrosis ósea, focos de osteocondritis, fracturas por estrés, edema óseo u osteoporosis transitoria. Se identificó una lesión del labrum anterior con un quiste paralabral asociado a esta, de 32 × 17 mm (Figura 2). Después de 3 meses de tratamiento conservador sin mejoría clínica, se propuso la escisión quirúrgica y la reparación del labrum. La extirpación quirúrgica se realizó a través de artroscopia mediante técnica fuera-dentro. Todas las estructuras óseas en el compartimento central no mostraron signos patológicos. Se observó una lesión del labrum en su zona anterosuperior (zona 2)(2). En el compartimento periférico, se identificó una gran lesión quística que rodeaba el borde anterosuperior del labrum y el acetábulo (Figura 3). La extirpación completa del quiste se realizó artroscópicamente utilizando material específico para la artroscopia de cadera. No se registraron complicaciones intraoperatorias. La reparación labral se realizó con un sistema de anclaje All-Suture® de tipo Y-Knot® (Conmed). Se inició el protocolo de fisioterapia postoperatoria habitual de nuestro centro, permitiendo la carga parcial con dos muletas al momento del alta con progresión gradual a peso completo en un periodo de 2-3 semanas, seguido de un protocolo de rehabilitación para conseguir el rango completo de movilidad articular y lograr la fuerza completa de la extremidad. En un periodo de 3 meses, el paciente regresó por completo a la actividad física. No se observaron complicaciones.

figura-1.jpg


Figura 1. Radiografía anteroposterior y lateral preoperatoria de la cadera izquierda.

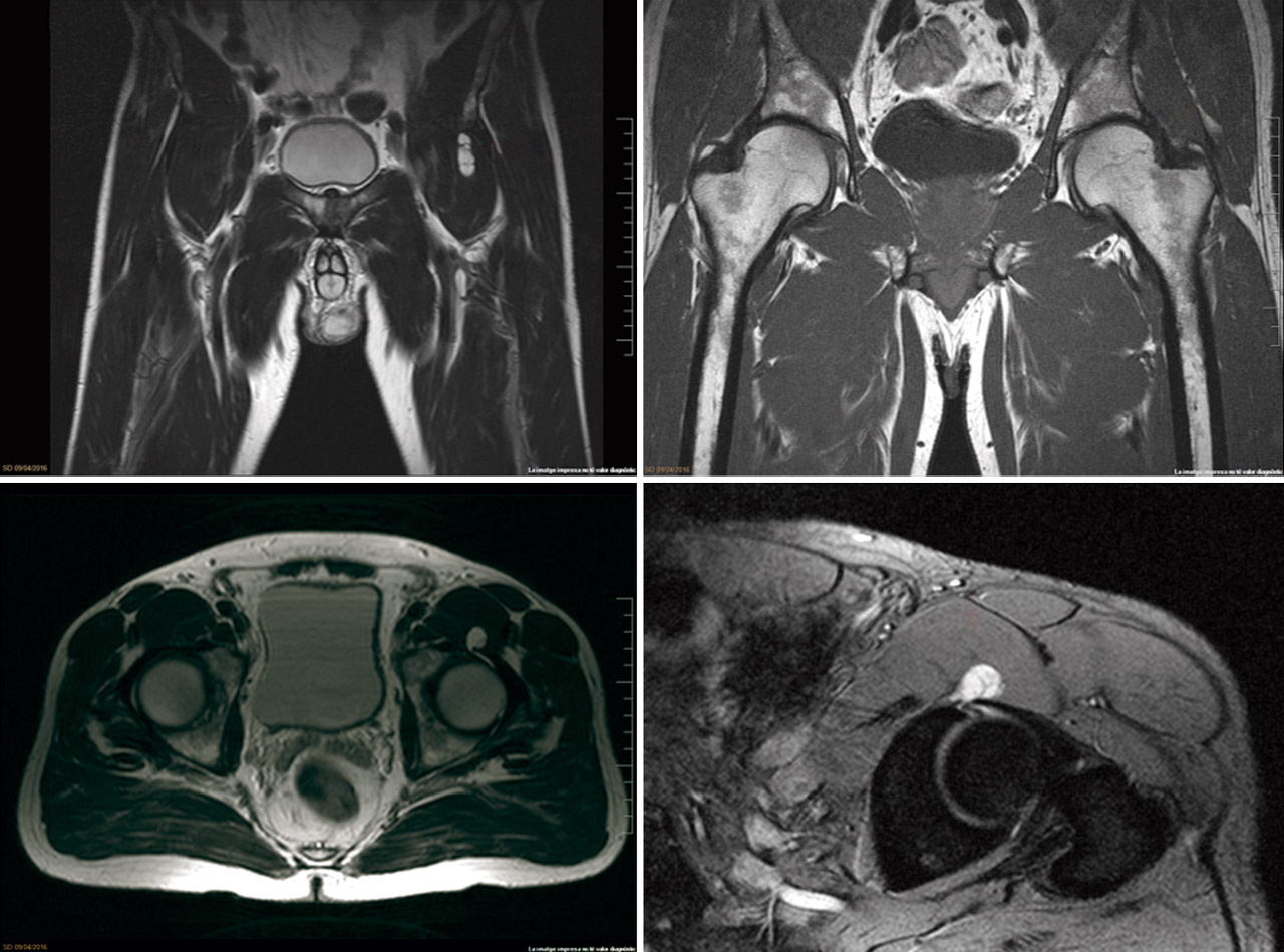
figura-2.jpg


Figura 2. A: imagen coronal de STIR que muestra la lesión quística (flecha roja) que ocupa el músculo psoas; B: desgarro labral (flecha amarilla); C: imagen axial T2 que compara ambas caderas. La lesión quística (flecha roja) se identifica en el espacio articular anterior de la cadera izquierda; D: T2 imagen sagital del quiste labral (flecha roja) inferior a la espina iliaca anteroinferior.

figura-3.jpg


Figura 3. Imagen artroscópica del compartimento periférico. Izquierda, quiste paralabral (a) y cabeza femoral (b). Derecha, resección del quiste.

Discusión

En la literatura solo hay publicados casos aislados y pequeñas series sobre quistes articulares de la cadera. La prevalencia de estos quistes en pacientes asintomáticos no ha sido determinada. Register et al. describen el hallazgo de quistes labrales en 6 de 45 pacientes (13%) sin dolor de cadera(3). Sin embargo, la presencia de un quiste paralabral requiere un diagnóstico preciso de la patología de cadera subyacente, siendo habitual la presencia de alteraciones del labrum. En nuestro caso, la lesión quística se acompaña de lesión labral, ya evaluable en el estudio por RM previo a la intervención. El examen físico y la información clínica son cruciales para tomar decisiones respecto al tratamiento quirúrgico en pacientes con este tipo de hallazgos en la RM. Las características y la demografía de los pacientes afectados por quistes paralabrales sintomáticos no se han determinado claramente en la literatura(4). La edad y el sexo se han relacionado frecuentemente con una mayor prevalencia. Los hombres y la edad superior a 35 años parecen estar relacionados con un mayor riesgo(3). Las actividades físicas a una edad temprana y la osteoartritis también se han relacionado con una mayor presencia de quistes paralabrales. En otros casos publicados, el tamaño del quiste no se ha relacionado directamente con la sintomatología. Este caso mostró un quiste paralabral poco común, que causó choque femoroacetabular debido a su ubicación y, lo más importante, debido a su tamaño. A diferencia de otros casos publicados(5)(6), en el caso que presentamos no existe alteración a nivel del tendón del psoas, ni signos clínicos ni por imagen de conflicto a este nivel. La formación de estos quistes, conocidos también como quistes paralabrales verdaderos, se relaciona con la presencia de líquido sinovial articular en su interior y suelen coexistir con lesiones del labrum acetabular, a diferencia de otros, que no presentan líquido sinovial y no se relacionan de manera directa con lesiones del labrum. El diagnóstico de los quistes paralabrales sintomáticos consiste en una combinación de información clínica, exploración física y pruebas de imagen. La RM ha demostrado una precisión similar en comparación con la artrorresonancia para diagnosticar lesiones del labrum acetabular(7). Las opciones de tratamiento para los quistes paralabrales pueden incluir la observación, en el caso de quistes pequeños o asintomáticos, AINE, terapia física, aspiración con aguja o escisión quirúrgica. En este caso, se optó por un abordaje artroscópico “fuera-dentro”(8)(9)(10) por ser con el que el autor principal se encuentra más familiarizado. En este punto, hay que destacar que aún no disponemos de evidencias claras respecto la superioridad de un abordaje clásico (todo dentro) respecto al abordaje fuera-dentro (outside-in)(11).

Conclusiones

Las técnicas mínimamente invasivas, como la artroscopia de cadera, han obtenido excelentes resultados en el tratamiento de quistes sintomáticos después de que el tratamiento conservador haya fallado(12).

Figuras

Figura 1. Radiografía anteroposterior y lateral preoperatoria de la cadera izquierda.

Figura 2. A: imagen coronal de STIR que muestra la lesión quística (flecha roja) que ocupa el músculo psoas; B: desgarro labral (flecha amarilla); C: imagen axial T2 que compara ambas caderas. La lesión quística (flecha roja) se identifica en el espacio articular anterior de la cadera izquierda; D: T2 imagen sagital del quiste labral (flecha roja) inferior a la espina iliaca anteroinferior.

Figura 3. Imagen artroscópica del compartimento periférico. Izquierda, quiste paralabral (a) y cabeza femoral (b). Derecha, resección del quiste.

Cita bibliográfica

Cañete Carril E, Bernaus Johnson MC, Bartra Ylla A, Anglès Crespo FTratamiento artroscópico de un quiste paralabral sintomático a nivel de la articulación de la cadera. A propósito de un caso. Rev Esp Artrosc Cir Articul. 2017;24(3):229-32. doi: 10.24129/j.reaca.24360.fs1711055

Responsabilidades éticas

Conflicto de interés. Los autores declaran no tener ningún conflicto de intereses.

Financiación. Este trabajo no ha sido financiado.

Protección de personas y animales. Los autores declaran que para esta investigación no se han realizado experimentos en seres humanos ni en animales.

Confidencialidad de los datos. Los autores declaran que han seguido los protocolos de su centro de trabajo sobre la publicación de datos de pacientes.

Derecho a la privacidad y consentimiento informado. Los autores declaran que en este artículo no aparecen datos de pacientes.

Referencias bibliográficas

  • 1
    Byrd. Evaluation of the Hip: History and Physical Examination. N Am J Sports Phys Ther. 2007 Nov;2(4):231-40.
  • 2
    Ilizaliturri VM Jr, Byrd JWT, Sampson TG, Guanche CA, Philippon MJ, Kelly BT, et al. A geographic zone method to describe intra-articular pathology in hip arthroscopy: cadaveric study and preliminary report. Arthroscopy. 2008;24:534-9.
  • 3
    Register B, Pennock A, Hoz Ch, Strickland C, Lawand A, Philippon M. Prevalence of Abnormal Hip Findings in Asymptomatic Participants. A prospective, Blinded study. Am J Sports Med. 2012;40:2720-4.
  • 4
    Yukata K, Nakai S, Goto T, Ikeda Y, Shimaoka Y, Yamanaka I, et al. Cystic lesion around the hip joint. World J Orthop. 2015 Oct 18;6(9):688-704.
  • 5
    Magerkurth O, Jacobson JA, Girish G, Brigido MK, Bedi A, Fessell D. Paralabral cysts in the hip joint: findings at MR arthrography. Skeletal Radiol. 2012 Sep;41(10):1279-85.
  • 6
    Tey M, Álvarez S, Ríos JL. Hip Labral Cyst Caused by Psoas Impingement. Arthroscopy. 2012;28:1184-6.
  • 7
    Schmitz MR, Campbell SE, Fajardo RS, Kadrmas WR. Identification of acetabular labral pathological changes in asymptomatic volunteers using optimized noncontrast 1.5-T magnetic resonance imaging. AM J Sports Med. 2012 Jun;40(6):1337-41.
  • 8
    Margalet E, Mediavilla I , Marin O. Nuevo abordaje artroscópico de la cirugía de cadera: técnica out-inside. Cuad Artrosc. 2010;17:27-35.
  • 9
    Horisberger M, Brunner A, Herzog RF. Arthroscopic treatment of femoroacetabular impingement of the hip: a new technique to access the joint. Clin Orthop Relat Res. 2010;468:182-90.
  • 10
    De Wilde I, Margalet E. A new arthroscopic approach for hip surgery. Bone Joint J. 2013;95(Suppl 14):81.
  • 11
    Sandoval E. Artroscopia de cadera en el tratamiento del choque femoroacetabular: comparación entre los resultados del abordaje todo-dentro y fuera-dentro. Universidad Complutense de Madrid; 2014. Tesis doctoral.
  • 12
    Lee KH, Park YS, Lim SJ. Arthroscopic treatment of symptomatic paralabral cysts in the hip. Orthopedics. 2013 Mar;36(3):e373-6.

Descargar artículo: 

Icono PDF fs_24360.fs1711055-tratamiento-artroscopico.pdf

Licencia: 

Este contenido es de acceso abierto (Open-Access) y se ha distribuido bajo los términos de la licencia Creative Commons CC BY-NC-ND (Reconocimiento-NoComercial-SinObraDerivada 4.0 Internacional) que permite usar, distribuir y reproducir en cualquier medio siempre que se citen a los autores y no se utilice para fines comerciales ni para hacer obras derivadas.

Comparte este contenido

En esta edición

Más en ORCID

Licencia de Creative Commons
Revista Española de Artroscopia y Cirugía Articular está distribuida bajo una licencia de Creative Commons Reconocimiento-NoComercial-SinObraDerivada 4.0 Internacional.