Tendinopatía insercional del tendón de Aquiles. Tratamiento de principio a fin
Insertional tendinopathy of the Achilles tendon. Treatment from start to finish
Resumen:
La tendinopatía insercional del tendón calcáneo es un trastorno frecuente, asociado con el aumento de la edad y con los microtraumatismos repetidos por el sobreuso del tendón en pacientes con factores predisponentes. La presencia de lesiones en las bursas, la formación de calcificaciones y las lesiones en la estructura del propio tendón son características.
La mayoría de los estudios disponibles sugieren que los pacientes con tendinopatía insercional deben tratarse de inicio con medidas conservadoras, durante un periodo de 3 a 6 meses, entre las que se incluyen un programa de ejercicios dirigidos, la terapia con ondas de choque extracorpóreas de alta energía y el tratamiento de fisioterapia.
Los tratamientos quirúrgicos incluyen actuaciones de desbridamiento y resección de bursas inflamadas, de tejido sinovial hipertrófico, de calcificaciones insercionales, del tejido degenerativo intratendinoso, la resección de prominencias de la tuberosidad posterior y la reinserción del tendón de Aquiles. Las complicaciones postoperatorias no son infrecuentes y los problemas de cicatrización de las heridas son una de las complicaciones más comunes. El tratamiento quirúrgico de la tendinopatía insercional del tendón de Aquiles resuelve con frecuencia el dolor y mejora la funcionalidad. La rehabilitación completa puede alcanzarse hasta un año después de la intervención.
Abstract:
Insertional tendinopathy of the calcaneal tendon is a common disorder associated with advancing age and recurrent microtraumatisms due to overuse of the tendon in patients with predisposing factors. The presence of lesions in the bursae, the formation of calcifications, and damage to the tendon structure itself are common findings.
Most studies in the literature suggest that patients with insertional tendinopathy should initially be managed on a conservative basis during a period of 3-6 months, including guided exercise programs, high-energy extracorporeal shock wave therapy, and physiotherapy.
The surgical treatment options in turn include debridement and resection of inflamed bursae, hypertrophic synovial tissue, insertional calcifications and intratendinous degenerative tissue, the resection of prominences of the posterior tuberosity, and reinsertion of the Achilles tendon. Postoperative complications are not infrequent, with wound healing problems being one of the most frequent complications. Surgical treatment of insertional tendinopathy of the Achilles tendon often resolves the pain and improves function. Complete rehabilitation may be reached up to one year after the operation.
Introducción
Aproximadamente el 6% de la población general desarrollará algún episodio de dolor en el tendón de Aquiles durante su vida(1). De estos pacientes, aproximadamente un tercio presentarán lesiones en la inserción del tendón(2,3). Los pacientes con tendinopatía insercional del tendón de Aquiles (TIA) suelen presentar dolor y cuadros de limitación funcional, agravados con la actividad física y tras el descanso. Pueden presentar un engrosamiento en la porción insercional del tendón, de manera más habitual en el borde lateral (Figura 1).
En la patología insercional participan distintas estructuras anatómicas y el espectro de manifestaciones clínicas es variado y sutil.
Definirlas, clasificarlas y tratar de resumir las opciones de tratamiento son objetivo de este capítulo.
Consenso terminológico
La terminología utilizada a lo largo de los años ha sido heterogénea, debido a las distintas condiciones y presentaciones clínicas que acontecen en las estructuras vecinas a la inserción del tendón, dando lugar en ocasiones a confusión.
Las nomenclaturas “síndrome de Haglund”, “deformidad de Haglund” o “enfermedad de Haglund” han sido utilizadas de forma imprecisa durante tiempo(4,5,6).
Para tratar de lograr una homogeneidad en sus definiciones y saber a qué entidad clínica nos referimos en cada caso, Van Dijk et al.(7,8) propusieron un consenso terminológico en función de la ubicación anatómica, los síntomas, los hallazgos clínicos y los cambios patológicos para cada entidad:
- Tendinopatía insercional: daño tisular en el tendón propiamente dicho, en su inserción en el calcáneo, pudiendo existir entesofitos óseos y calcificaciones en el tendón. Los síntomas cursan con dolor a la palpación, aumento de volumen y limitación funcional con dolor mecánico. Histopatológicamente, existe una osificación del fibrocartílago propio de la entesis y, en ocasiones, roturas parciales del tendón en la interfase tendón-hueso.
- Bursitis retrocalcánea: proceso inflamatorio de la bursa situada en el receso entre la porción anteroinferior del tendón de Aquiles y la cara posterosuperior del calcáneo (receso retrocalcáneo). Da como resultado una inflamación visible y dolorosa de los tejidos blandos, medial y/o lateral al tendón a la altura de la región posterosuperior del calcáneo. Con frecuencia, se puede identificar en la radiografía simple una prominencia de la tuberosidad posterosuperior del calcáneo. Histopatológicamente, aparece degeneración de las paredes de la bursa, con hipertrofia sinovial y presencia de líquido.
La bursitis retrocalcánea se observa a menudo en combinación con una tendinopatía insercional. - Bursitis superficial del calcáneo: inflamación de la bursa ubicada entre la piel y la unión del tendón con la tuberosidad posterior del calcáneo. Sin afectación intratendinosa. Puede ser selectivamente posterolateral o posteromedial.
Es preferible evitar en la medida de lo posible el uso de los términos antiguamente utilizados (como por ejemplo el “síndrome de Haglund” o el pump bump), con el objetivo de evitar las confusiones que existen entre la comunidad científica para definir, diagnosticar y tratar estos cuadros con precisión y consenso.
Conociendo las estructuras involucradas, la anatomía topográfica es muy útil en esta localización (Figura 2).
Patomecánica
El origen de las lesiones entesopáticas del tendón calcáneo es multifactorial, con factores intrínsecos como las dismetrías o las desalineaciones en las extremidades inferiores, los déficits de movilidad del tobillo o las variantes morfológicas y deformidades del pie, que juegan un papel importante(9,11). Los factores extrínsecos influyen en la sobrecarga mecánica o el uso excesivo del tendón(12). A nivel tisular, tanto la magnitud de la fuerza como la tensión del tendón asociada a una actividad física contribuyen al estrés en la inserción del tendón. Correr impone cargas de 4 a 6 veces la fuerza del peso corporal sobre el tendón de Aquiles. Otros factores como la edad avanzada, la diabetes o las enfermedades reumáticas también parecen tener alguna relación con ella(13).
Los cambios degenerativos intratendinosos en la inserción son característicos de la TIA. Hay que descartarlos ante un paciente con manifestaciones clínicas compatibles. La degeneración del tendón se caracteriza por la pérdida de la estructura paralela del colágeno, la pérdida de la integridad de las fibras, la infiltración grasa y la proliferación capilar(14,15). Clínicamente, se advierte un engrosamiento del tendón.
El desarrollo de osteofitos es una respuesta a la carga mecánica acumulada con el envejecimiento y/o la actividad(16,17,18).
La bursitis superficial del calcáneo se asocia con frecuencia a zapatos con un elemento posterior rígido. Se trata de una bursa adventicia, que se adquiere después del nacimiento y se desarrolla en respuesta a la fricción.
Puede estar presente un acortamiento del sistema gastrosóleo hasta en un 20% de los casos de tendinopatía insercional, si bien su presencia es mucho más importante en las tendinopatías no insercionales.
Diagnóstico
Presentación clínica
El diagnóstico se basa fundamentalmente en la historia y el examen físico. Se debe inspeccionar anatómicamente al paciente para evaluar los signos clínicos y analizar los antecedentes relevantes del aparato locomotor a lo largo de toda la extremidad inferior. Debe evaluarse el patrón de la marcha, las alteraciones del sistema gastroaquileoplantar, la debilidad de flexión plantar y las desalineaciones de tobillo y pie. Los pacientes suelen presentar dolor a la palpación en los 2 cm distales del tendón, refieren un empeoramiento del dolor tras la actividad física y rigidez con dolor tras periodos de descanso(19). El diagnóstico es clínico, pero debe apoyarse en las pruebas radiológicas.
Pruebas de imagen
Radiografía simple
Son de elección las proyecciones dorsoplantar y sagital de ambos pies en carga, así como posteroanterior de tobillos en carga.
La radiografía simple en carga es la herramienta diagnóstica imprescindible de inicio(20). Permite valorar alineaciones, dismetrías, medir ángulos, determinar la morfología del calcáneo y su tuberosidad posterior, caracterizar exostosis óseas, aumentos de grosor en las partes blandas retrocalcáneas y planificar gestos quirúrgicos (Figura 3).
Ecografía
Identifica signos inflamatorios en ambas bursas, lesiones tendinosas y exostosis óseas. La degeneración del tendón presenta una ecogenicidad más baja (un valor medio de escala de grises más bajo), dada la menor organización y la composición alterada de la microestructura del tendón(21). El Doppler permite evaluar zonas de neovascularización (Figura 4). La ecografía permite una exploración dinámica y es dependiente del operador.
Resonancia magnética
Nos permite evaluar la presencia de lesiones intratendinosas, colecciones líquidas, aspecto de las bursas, edemas óseos en la tuberosidad posterior, así como el diagnóstico diferencial con otras entidades(22) (Figura 5). Si la radiografía simple y la ecografía son concluyentes, no es una prueba imprescindible. En el caso de no tener acceso a un ecografista con experiencia o si, tras la ultrasonografía, existen dudas sobre la presencia de patología en el tendón y la bursa, es de gran utilidad.
Tomografía computarizada
Nos permite caracterizar de forma más concisa las calcificaciones o entesofitos intratendinosos (fragmentados o no), así como también es útil en el diagnóstico diferencial con otras entidades. No es necesario solicitarla de rutina.
Los signos de tendinopatía en las pruebas de imagen no necesariamente indican la presencia de enfermedad clínicamente sintomática y viceversa, como se ha publicado en varios estudios(23,24). El porcentaje de tendones asintomáticos con signos de tendinopatía de Aquiles en las imágenes varía de 0 al 35% y el porcentaje de tendones sintomáticos sin signos de tendinopatía varía de 0 al 19% (23,25,26,27,28,29).
Estudio baropodométrico
Un buen estudio biomecánico nos permitirá analizar anomalías en el patrón de marcha o carrera, caracterizar desalineaciones en valgo, hiperpronaciones del pie en algunos casos o bien las alteraciones propias de los pies cavos. Puede haber alteraciones funcionales en la capacidad de dorsiflexión y de flexión plantar de tobillo, con menor rango y disminución de la potencia flexora plantar.
La retracción del sistema gastroaquíleo es evidente al final del segundo rocker de la marcha y puede diagnosticarse mediante el test de Silfverskiöld.
Tratamiento conservador
El enfoque de tratamiento inicial para este tipo de lesiones debe contar con un abordaje multidisciplinario en el que exista, entre el cirujano ortopédico, el equipo de fisioterapia y el podólogo, una necesaria cohesión para identificar los distintos factores intrínsecos y extrínsecos que dan lugar a este tipo de dolencias.
Tras una evaluación pormenorizada de los datos clínicos obtenidos en el proceso diagnóstico y de acuerdo con el documento de consenso publicado por el European Society for Sports Traumatology, Knee Surgery and Arthroscopy (ESSKA) Science Basic Committee, los autores recomiendan un tratamiento conservador de entre 3 y 6 meses antes de considerar el tratamiento quirúrgico(30).
La mayoría de los tratamientos no quirúrgicos para la entesopatía de Aquiles tienen evidencia insuficiente para respaldar las recomendaciones de tratamiento, siendo el trabajo de fisioterapia dirigido y las ondas de choque extracorpóreas (OCE) sendas excepciones (Tabla 1)(31,32).
Ejercicio dirigido
El tratamiento mediante una pauta de ejercicios y estiramientos dirigidos sobre la región insercional del tendón tiene el nivel más alto de recomendación para reducir el dolor en esta localización (recomendación de grado B)(1). Los efectos del ejercicio pueden mejorarse mediante el uso de una amplia variedad de otros tratamientos, incluyendo el tratamiento sobre tejidos blandos, los suplementos nutricionales, iontoforesis, la modificación de la actividad física, farmacoterapia y la elevación de los talones con soporte plantar (recomendación de grado I)(33,34,35).
No existe un acuerdo de consenso acerca de la estrategia y los parámetros ideales del ejercicio (tipo, frecuencia o combinación con tratamientos adicionales). Sí se ha comprobado que la terapia de ejercicios excéntricos, útil en la tendinopatía no insercional, es dolorosa en muchos pacientes con entesopatía, siendo una contraindicación si se desencadena el dolor. Por ello, se ha preconizado que el rango reducido de dorsiflexión del tobillo, sin sobrepasar la posición neutra, como modificación del excéntrico clásico, podría ser beneficioso para este tipo de pacientes(30,36). Además del ejercicio excéntrico modificado limitado en su rango para estos pacientes, se recomienda alternar con trabajo concéntrico e isométricos, así como aplicar elementos de resistencia lenta inercial(37,38).
Las inyecciones locales de anestesia pueden considerarse particularmente como un medio para facilitar la participación en un programa de ejercicios (recomendación de grado I)(1).
Ondas de choque
Cuando el ejercicio no tiene éxito, la terapia con OCE parece ser la siguiente mejor opción de tratamiento no quirúrgico para reducir el dolor (recomendación de grado B)(1,39,40,41).
Algunos trabajos han publicado mejores resultados con el tratamiento con OCE en cuanto a disminución del dolor, comparado con un programa de ejercicio excéntrico tradicional a los 6 y 18 meses de seguimiento(42). Un riesgo en la terapia con OCE es el dolor intenso durante el tratamiento, con el riesgo de abandono del mismo. El uso de un anestésico local puede ayudar a los pacientes a tolerar el tratamiento(43).
La terapia de ondas de choque en combinación con los ejercicios tiene resultados superiores, incluido el alivio del dolor, la mejoría funcional y el retorno a las actividades habituales. Los pacientes con mayores niveles de actividad deportiva presentarían mejores respuestas terapéuticas que los pacientes no deportistas(44).
Adecuación del calzado
Existe alguna evidencia biomecánica que sugiere que la elevación del talón puede reducir la cantidad de fuerzas tensiles y de compresión en el tendón, durante las actividades diarias que requieren flexión dorsal del tobillo(45,46). Sin embargo, no deben acortar en exceso el tríceps sural. A menudo, los pacientes con trastornos del tendón de Aquiles tienen una desalineación concomitante del retropié. Las ortesis plantares pueden ser útiles en estos pacientes. Para deportistas, en ocasiones, la modificación del calzado en su parte posterior puede ser de utilidad.
Infiltraciones
En la práctica clínica actual, las inyecciones de corticosteroides no están indicadas para el tratamiento de la tendinopatía en cualquier ubicación. En particular, el temor en torno al tendón de Aquiles es el de contribuir a una mayor degeneración tendinosa y una posible rotura(47). En casos de bursitis retrocalcánea aislada, se han reportado tasas de satisfacción altas con infiltraciones selectivas de la bursa, pero es evidente el riesgo, por vecindad, de iatrogenia en el tendón(48). Otros posibles tipos de inyección incluyen las que se dirigen a la neovascularización, como el agente esclerosante polidocanol o las inyecciones hipervolumétricas de suero salino y dextrosa hiperosmolar(49). Aunque varios ensayos pequeños han estudiado estos agentes, la mayoría no son específicos para la región insercional del tendón de Aquiles y no proporcionan evidencia para respaldar su uso en la práctica clínica habitual(48).
Las infiltraciones con plasma rico en plaquetas (PRP) no disponen en la actualidad de evidencia suficiente en esta localización(50,51,52,53,54,55). Existe todavía una falta de estandarización no resuelta en torno a su obtención y método de aplicación. Hasta la fecha, la mayoría de los estudios que utilizan PRP para el tendón de Aquiles se han realizado en pacientes con una tendinopatía no insercional(56). Se necesitan estudios aleatorizados y doble ciego con mayor nivel de evidencia antes de poder determinar un nivel de recomendación de tratamiento para PRP (actual recomendación de grado I). Los estudios de ciencias básicas pueden ser la clave para aportar la justificación biológica del PRP a un uso clínico seguro. Su uso, por tanto, es controvertido.
Punción seca
La punción seca es otra opción de tratamiento no quirúrgico para pacientes con tendinopatía insercional. Algunas publicaciones han demostrado alivio del dolor y mejora en escalas funcionales tras un tratamiento de punción seca, siendo un procedimiento bien tolerado(57).
Tratamiento quirúrgico
El tratamiento quirúrgico diferirá en función de cada caso, de manera que la individualización en cada paciente cobra en esta región mucha relevancia. De acuerdo con las 3 distintas presentaciones clínicas resumidas en el apartado de consenso terminológico, enfocaremos nuestra acción de tratamiento a resolver problemas del tendón, patología de las bursas, actuar sobre deformidades o prominencias óseas, o bien actuaciones a distintos niveles.
Bursitis superficial del calcáneo
Para cuadros inflamatorios de la bursa superficial del calcáneo (retroaquílea), el tratamiento conservador y la modificación del calzado son los pilares de tratamiento y la tasa de curación sin necesitar una intervención quirúrgica es mayor que en los otros cuadros que se presentan en la inserción.
El paciente suele referir dolor claramente identificable en el plano más superficial de la inserción. A la inspección destaca un engrosamiento de los tejidos preaquíleos y un conflicto al utilizar calzado con contrafuerte o caña trasera dura. Para aquellos casos de bursitis preaquílea aislada, que no mejora con el tratamiento conservador, la exéresis abierta es el tratamiento de elección(58).
Bursitis retrocalcánea
En el caso de pacientes con diagnóstico de bursitis retrocalcánea y conflicto de espacio con la tuberosidad posterior del calcáneo, sin patología del tendón sintomática, la calcaneoplastia es la técnica quirúrgica habitualmente utilizada.
La calcaneoplastia ofrece acceso al espacio retrocalcáneo, lo que permite resecar la bursa retrocalcánea inflamada, el tejido de sinovitis, así como generar el espacio de trabajo necesario para la resección de la prominencia posterosuperior del calcáneo.
Calcaneoplastia abierta
La técnica estandarizada utiliza un acceso longitudinal lateral al tendón, de unos 4 cm de extensión. A través de la disección de los planos anatómicos correspondientes, se llega a la fascia y se incide longitudinalmente para acceder a la cámara posterior, donde se procederá a resecar la bursa inflamada, el tejido sinovial reactivo y se resecará la prominencia de la tuberosidad posterior mediante una osteotomía, para evitar el fenómeno de compresión con la parte ventral del tendón de Aquiles(59).
Calcaneoplastia endoscópica
En 2001, Van Dijk et al. describieron la técnica endoscópica estandarizada para este tipo de procedimiento(60).
El paciente se coloca en decúbito prono. El manguito de isquemia se coloca en el muslo. Se recomienda utilizar un dispositivo de apoyo bajo la tibia distal, de manera que quede una flexión de rodilla de unos 15°. El pie y el tobillo deben quedar colgando al final de la mesa para permitir su rango de movimiento libre. Los puntos de referencia de la piel corresponden a la punta distal del maléolo lateral, el tendón de Aquiles y la tuberosidad posterior del calcáneo. Los portales endoscópicos clásicos del retropié (posteromedial y posterolateral) se modifican y se sitúan levemente distales y anteriorizados, con el objetivo de acceder y visualizar mejor la zona de inserción del tendón (Figura 6).
reaca.29175.fs2108027-figura7.png

Figura 7. Imágenes endoscópicas. A: bursitis y sinovitis; B: desbridamiento inicial y creación de campo de trabajo. Acceso visual a la tuberosidad posterior; C: desbridamiento y calcaneoplastia con sinoviotomo; D: acceso a la porción más distal, protección de fibras tendinosas con la parte roma y calcaneoplastia; E: uso de fresa motorizada protegida para la regularización ósea.
Se procede primero a realizar el portal posterolateral de visualización y se introducen los instrumentos a través del portal posteromedial. El artroscopio utilizado de forma estándar es el de 4,5 mm a 30°. El procedimiento endoscópico se realiza con bomba de irrigación. Inicialmente, en el portal posterolateral se introduce un mosquito y, posteriormente, el obturador del artroscopio. Es útil realizar unos movimientos hacia delante y detrás en el espacio de Kager y liberar medialmente, para poder conseguir un mejor espacio y campo de trabajo. Se coloca la óptica mirando el borde medial y con una aguja se calibra la posición ideal del portal medial. Se realiza una técnica endoscópica mediante la cual se desbridan los tejidos blandos de la cámara posterior con el objetivo de crear un área de trabajo alrededor del calcáneo y la zona de inserción del tendón. Se suele identificar un tejido de sinovial hipertrófica y un área de bursitis en el espacio retrocalcáneo (Figura 7A y 7B). El desbridamiento se realiza con sinoviotomo, en contacto con la zona superior del calcáneo. Mientras se reseca tejido y se progresa, deben protegerse las fibras tendinosas con la parte roma del instrumental de trabajo (Figura 7D).
Una vez conseguida la resección de las partes blandas, debe inspeccionarse la región ventral del tendón para descartar lesiones tisulares que requieran de tratamiento específico.
Posteriormente, se procede, combinando fresa y sinoviotomo, a resecar la prominencia ósea de la tuberosidad (Figura 7C y 7E).
Debe incidirse en el borde más lateral y medial, zonas de conflicto más habituales. Para ello, es útil el intercambio de portales para asegurar un acceso a ambos lados que permita una resección suficiente. Durante el proceso o al finalizar el mismo, podemos asistirnos con un control radiológico (proyección sagital) para comprobar el plano de resección que se ha logrado obtener. La visión endoscópica debe permitir constatar un alivio descompresivo sobre el tendón con las maniobras de movilización y flexión dorsal máxima. La inserción del tendón nos marca el límite de la resección.
Una de las dificultades de la técnica endoscópica es el reconocimiento de la cantidad de tejido y exostosis que hay que resecar. Si el desbridamiento es extenso, incluye la resección de calcificaciones y amenaza la integridad de la inserción del tendón, Vega et al.(61) publicaron la técnica endoscópica para la aumentación del tendón mediante el uso de anclajes y suturas. La tasa de complicaciones de las heridas en el procedimiento endoscópico es sumamente baja.
La indicación preferente, en nuestra experiencia, para la calcaneoplastia endoscópica sería para aquellos cuadros con una prominencia ósea posterior que comprime el área insercional anterior del tendón, con bursitis retrocalcánea y tejido sinovial reactivo.
Suelen ser pacientes con dolor a la palpación lateral y medial del Aquiles en la región en contacto con la tuberosidad posterosuperior de calcáneo.
Sin embargo, en los casos que se presentan con dolor y signos degenerativos en el tendón propiamente, o con la presencia de entesofitos sintomáticos, la tasa de buenos resultados de la calcaneoplastia desciende de forma significativa y se prefiere optar por otras opciones quirúrgicas.
Recomendaciones generales postoperatorias
- Primeras 48 h: descanso con el pie elevado. Vendaje compresivo suropédico.
- Tercer día postoperatorio: cura de heridas y cambio a un nuevo vendaje de compresión elástico.
- Semanas 1 a 6: ejercicios de rango de movilidad, estiramientos, masoterapia y carga parcial con bota (hasta el 50% del peso corporal total) las primeras 2 semanas.
- Tercera semana: retirar las suturas.
- A partir de la tercera semana: carga completa progresiva. Alternar bota con calzado deportivo según la tolerancia. Iniciar trabajo en bicicleta estática al iniciar la cuarta semana después de la intervención.
- Semanas 7 a 12: caminar sin restricciones ni ayudas. Trabajo de moderada intensidad en bicicleta. Iniciar ejercicios de equilibrio y coordinación, isométricos de tríceps sural, concéntricos y excéntricos modificados, con restricción de la flexión dorsal del tobillo.
- A partir de la 12.ª semana: alternar intervalos de carrera corta con tramos caminando.
- A partir de los 4 meses: actividades deportivas con solicitudes mecánicas máximas, según la tolerancia(59).
Puede inducir a error o falsas expectativas el hecho de atribuir a los procedimientos endoscópicos una recuperación temprana. En el ámbito de la patología insercional, en los procedimientos que requieren gestos quirúrgicos óseos en el calcáneo combinados con el desbridamiento de partes blandas, la resolución completa de las molestias puede demorarse hasta el año de la intervención. De igual forma, alcanzar el nivel máximo de competición para un profesional puede precisar desde varios meses hasta un año.
Tendinopatía insercional
En aquellos casos en los que encontramos un tendón patológico sintomático en su inserción, cuando existe la presencia de un entesofito intratendinoso o bien un osteofito libre fragmentado, los autores defienden la cirugía abierta mediante un abordaje central. Existen otros abordajes descritos para el acceso a la región insercional(62). Permiten el acceso a la región del tendón afecta, la posibilidad de resecar osteofitos, tratar el tendón, realizar la osteotomía de la tuberosidad posterosuperior y reanclar de forma efectiva la porción de tendón objeto de tratamiento quirúrgico.
reaca.29175.fs2108027-figura8.png

Figura 8. Incisión longitudinal de unos 6 cm y abertura central del tendón, preservando inserciones laterales. Exposición de la porción distal de las fibras tendinosas, visualización de calcificaciones (flecha roja), bursas, hipertrofia sinovial y tuberosidad posterior del calcáneo. Desbridamiento de tejido tendinoso metaplásico y bursa, exéresis de calcificaciones, regularización y ostectomía de la tuberosidad posterior. Reinserción.
Se realiza una incisión longitudinal centrada en la línea media de unos 6 a 8 cm. En algunos casos puede curvarse el segmento distal de la incisión si se presentan alteraciones del lado lateral o medial de la inserción tendinosa(63). Se diseca el plano subcutáneo con especial atención para no dañar las estructuras neurovasculares. Hay que intentar mantener un espesor continuo de tejido hasta el paratendón de cara a evitar complicaciones con la cicatrización de la herida quirúrgica. Se incide longitudinalmente el segmento más distal del paratendón y se diseca respecto al tendón. En caso de engrosamiento y bursitis preaquílea, se procede a su desbridamiento. Se divide longitudinalmente a través de una incisión en la línea media y se comprueba la presencia de cambios degenerativos tendinosos, calcificaciones intratendinosas, bursitis y sinovitis retrocalcánea, o lesiones degenerativas en la entesis (Figura 8). Se procede al desbridamiento y la regularización de las lesiones. El desbridamiento incompleto y la persistencia de entesofitos se ha asociado a mayor riesgo de persistencia de los síntomas y menores tasas de satisfacción tras la cirugía(64). Se expone la tuberosidad posterior y se procede a la osteotomía con osteotomo o sierra oscilante, hasta eliminar completamente el conflicto de espacio con el tendón y comprobar su descompresión de forma clínica y, si es necesario, radiológica.
Debe comprobarse la resección completa de las calcificaciones mediales o laterales en los segmentos en los que se preserva la inserción de las fibras tendinosas al calcáneo. Es importante preservar parte de la inserción para determinar sin error el lugar del reanclaje.
En los casos que presentan una degeneración severa del tendón de Aquiles, con poca capacidad de reparación, se debe proceder a la transferencia del flexor hallucis longus (FHL).
Finalmente, se procede a la reinserción del tendón de Aquiles. Se han descrito numerosas técnicas. La preferida por los autores es la reconstrucción sin nudos con 4 anclajes y doble hilera paralela y cruzada, utilizando cintas de alta resistencia, ya que ha demostrado superioridad mecánica con respecto a otras(65,66,67,68,69,70,71,72). El pie se mantiene en una posición de flexión plantar mientras se consigue la tensión adecuada. Posteriormente, se cierra la abertura longitudinal del tendón y del paratendón de manera individualizada (Figura 9).
Tras el cierre de la herida se inmoviliza en flexión plantar de unos 15 a 20°.
Recomendaciones generales postoperatorias
- Primeras 48 h: descanso con el pie elevado. Férula posterior.
- Tercer día postoperatorio: cura de las heridas y mantener la férula.
- Entre la 2.ª y la 3.ª semanas: retirar la férula y retirar las suturas. Paso a ortesis bota de carga.
- Semanas 3.ª a 5.ª: ejercicios de rango de movilidad, elongación, terapia física local para reducir los síntomas y carga parcial con bota según la tolerancia.
- A partir de la 5.ª semana: carga completa progresiva y paso gradual a calzado deportivo. Iniciar trabajo en bicicleta estática.
- Semanas 7.ª a 12.ª: trabajo de moderada intensidad en bicicleta. Iniciar ejercicios isométricos, de equilibrio y de coordinación.
- A partir de la 12.ª semana: ejercicios concéntricos y excéntricos modificados supervisados, solo hasta el plano horizontal del tobillo. Iniciar carrera corta. Trabajo de alta intensidad en bicicleta.
- Entre los 4 y los 6 meses: reincorporación a las actividades deportivas habituales, de forma progresiva en función de la adherencia al tratamiento de rehabilitación funcional.
Un estudio inmunohistoquímico de 10 biopsias de pacientes con TIA demostró un alto grado de inervación de ambas bursas (subcutánea y retrocalcánea), de la tuberosidad posterior resecada y de las fibras tendinosas degenerativas(73).
La tasa de recurrencia de las calcificaciones insercionales no está bien estudiada. Un estudio de Nunley et al.(74) realizó una revisión retrospectiva de 29 procedimientos quirúrgicos en 27 pacientes (seguimiento medio de 4 años, con un rango entre 2,9 y 8,1 años). En el último seguimiento, las radiografías laterales demostraron calcificaciones recurrentes en 11 pies, con todos los pacientes libres de dolor a pesar de los hallazgos radiográficos.
La resección y el desbridamiento incompletos de las zonas de tendón patológico, de las calcificaciones y de la tuberosidad posterior pueden resultar en la persistencia de los síntomas tras la cirugía.
El tratamiento quirúrgico de la TIA se asocia a una tasa de complicaciones postoperatorias que debe tenerse en cuenta. Los problemas de cicatrización de las heridas son las complicaciones más comunes, con una incidencia que en algunas series es reportada hasta en un 30%, siendo inusuales con la técnica endoscópica(64).
La transferencia del FHL como aumentación puede realizarse de manera endoscópica o abierta, en función de la técnica escogida para el procedimiento, en aquellos casos con una degeneración avanzada del tendón. Actualmente, la evidencia para apoyar el uso como rutina de este procedimiento en pacientes con TIA es insuficiente(75).
No existe evidencia sobre la efectividad del alargamiento quirúrgico del complejo gastrocnemio en pacientes con TIA, siendo necesarios mejores estudios de investigación(1).
La mayoría de los pacientes que se someten a tratamiento quirúrgico reportan un buen alivio del dolor y una mejoría funcional postoperatoriamente. Sin embargo, la tasa de pacientes que no sienten dolor por completo no es del 100% en revisiones de series publicadas(64). El tiempo de rehabilitación postoperatorio hasta la vuelta a la actividad deportiva y el alivio sustancial del dolor puede ser prolongado.
Osteotomía de calcáneo con cuña de sustracción dorsal (Zadek modificado)
En aquellos casos con un ángulo de inclinación de calcáneo superior a 20° y una proporción de la relación X/Y en calcáneo (propuesta por Tourne et al.) inferior a 2,5, se han descrito buenos resultados mediante esta técnica quirúrgica, si bien su uso no está tan extendido en la práctica habitual como el de las otras técnicas(76,77). El acortamiento del calcáneo minimizaría el brazo de palanca posterior del sistema gastroaquíleo y, junto al desplazamiento de la tuberosidad, aliviarían la tensión que se produce en la inserción tendinosa.
Conclusiones
Existe un fuerte consenso en la literatura disponible de que los pacientes con TIA deben tratarse inicialmente de forma conservadora. En aquellos pacientes en los que fracase el tratamiento conservador exhaustivo durante un periodo de 3 a 6 meses, el tratamiento quirúrgico individualizado para cada caso ofrece buenos resultados. Para pacientes con una bursitis retrocalcánea, con signos compresivos en la zona de la tuberosidad posterior y sin síntomas en el tendón ni entesofitos, la calcaneoplastia (endoscópica o abierta) es el procedimiento de elección. Para pacientes con patología degenerativa intratendinosa, en combinación con el hallazgo de calcificaciones y bursitis, la cirugía abierta a nivel de la inserción del tendón es el tratamiento de elección.
Figuras
Figura 1. Tendinopatía insercional de Aquiles. Engrosamiento de los tejidos blandos, prominencia en el lado externo.
Figura 2. Correlación topográfica. Dolor central distal: tendinopatía, bursitis preaquílea, entesofitos (flechas amarillas). Dolor lateral y medial: bursitis retrocalcánea, conflicto con la tuberosidad posterior del calcáneo (flechas rojas). Autor de la ilustración: Dr. Álvaro Fernández.
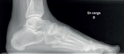
Figura 3. Radiografía simple. Proyección sagital en carga. Calcificaciones moderadas en la inserción del tendón de Aquiles con entesofito intratendinoso. Alteraciones morfológicas tuberosidad posterior del calcáneo.
Figura 4. Exploración ecográfica. Bursitis retrocalcánea y signos de tendinopatía (flechas amarillas). El Doppler permite detectar áreas de hipervascularización del tendón.
Figura 5. Resonancia magnética. Bursitis retrocalcánea. Líquido en el receso retrocalcáneo sin signos de tendinopatía degenerativa.
Figura 7. Imágenes endoscópicas. A: bursitis y sinovitis; B: desbridamiento inicial y creación de campo de trabajo. Acceso visual a la tuberosidad posterior; C: desbridamiento y calcaneoplastia con sinoviotomo; D: acceso a la porción más distal, protección de fibras tendinosas con la parte roma y calcaneoplastia; E: uso de fresa motorizada protegida para la regularización ósea.
Figura 8. Incisión longitudinal de unos 6 cm y abertura central del tendón, preservando inserciones laterales. Exposición de la porción distal de las fibras tendinosas, visualización de calcificaciones (flecha roja), bursas, hipertrofia sinovial y tuberosidad posterior del calcáneo. Desbridamiento de tejido tendinoso metaplásico y bursa, exéresis de calcificaciones, regularización y ostectomía de la tuberosidad posterior. Reinserción.
Figura 9. Control radiológico postoperatorio que muestra una adecuada resección de la tuberosidad posterior y el correcto posicionamiento de los anclajes (biocomposite).
Tablas
Información del artículo
Cita bibliográfica
Autores
Carlos Álvarez Gómez
Servicio de Cirugía Ortopédica y Traumatología. Hospital Universitario Marqués de Valdecilla. Santander
Cirugía Ortopédica y Traumatología. Hospital de la Santa Creu i Sant Pau. Universitat Autònoma de Barcelona
Universitat Autònoma de Barcelona. Hospital Sanitas CIMA. Barcelona
Carlo Gamba
Cirugía Ortopédica y Traumatología. Parc de Salut Mar. Universitat Pompeu Fabra (UPF). Barcelona
Hospital del Mar. Barcelona
Editor asociado de REACA
Servicio de Cirugía Ortopédica y Traumatología. Unidad de Pie y Tobillo. Hospital del Mar. Barcelona
Clínica Corachan. Barcelona
Universitat Pompeu Fabra (UPF). Barcelona
Cirugía Ortopédica y Traumatología. Hospital de la Santa Creu i Sant Pau. Universitat Autònoma de Barcelona
Responsabilidades éticas
Conflicto de interés. Los autores declaran no tener ningún conflicto de interés.
Financiación. Este trabajo no ha sido financiado.
Protección de personas y animales. Los autores declaran que los procedimientos seguidos se conformaron a las normas éticas del comité de experimentación humana responsable y de acuerdo con la Asociación Médica Mundial y la Declaración de Helsinki.
Confidencialidad de los datos. Los autores declaran que han seguido los protocolos de su centro de trabajo sobre la publicación de datos de pacientes y que todos los pacientes incluidos en el estudio han recibido información suficiente y han dado su consentimiento informado por escrito para participar en dicho estudio.
Derecho a la privacidad y consentimiento informado. Los autores declaran que en este artículo no aparecen datos de pacientes.
Referencias bibliográficas
-
1Chimenti RL, Cychosz CC, Hall MM, Phisitkul P. Current Concepts Review Update: Insertional Achilles Tendinopathy. Foot Ankle Int. 2017 Oct;38(10):1160-9.
-
2Kang S, Thodarson DB, Charlton TP. Insertional achilles tendinitis and Haglund’s deformity. Foot Ankle Int. 2012;33(6):487-91.
-
3Benjamin M, Toumi H, Ralphs JR, et al. Where tendons and ligaments meet bone: attachment sites (entheses) in relation to exercise and/or mechanical load. J Anat. 2006;208(4):471-90.
-
4Sella EJ, Caminear DS, McLarney EA. Haglund's syndrome. J Foot Ankle Surg. 1998 Mar-Apr;37(2):110-4; discussion 173.
-
5Ruch JA. Haglund's disease. J Am Podiatry Assoc. 1974 Dec;64(12):1000-3.
-
6Frey C. Surgical advancements: arthroscopic alternatives to open procedures: great toe, subtalar joint, Haglund's deformity, and tendoscopy. Foot Ankle Clin. 2009 Jun;14(2):313-39.
-
7Van Dijk CN, van Sterkenburg MN, Wiegerinck JI, Karlsson J, Mafulli N. Terminology for Achilles tendon related disorders. Knee Surg Sports Traumatol Arthrosc. 2011;19(5):835-41.
-
8Opdam KTM, Zwiers R, Wiegerinck JI, van Dijk CN; Ankleplatform Study Collaborative–Science of Variation Group. Increasing consensus on terminology of Achilles tendon-related disorders. Knee Surg Sports Traumatol Arthrosc. 2021 Aug;29(8):2528-34.
-
9Chimenti RL, Flemister AS, Tome J, et al. Altered tendon characteristics and mechanical properties associated with insertional Achilles tendinopathy. J Orthop Sports Phys Ther. 2014;44(9):680-9.
-
10Den Hartog BD. Insertional Achilles tendinosis: pathogenesis and treatment. Foot Ankle Clin. 2009;14(4):639-50.
-
11Shibuya N, Thorud JC, Agarwal MR, Jupiter DC. Is calcaneal inclination higher in patients with insertional Achilles tendinosis? A case-controlled, cross-sectional study. J Foot Ankle Surg. 2012;51(6):757-61.
-
12Chimenti RL, Flemister AS, Tome J, McMahon JM, Houck JR. Patients with insertional Achilles tendinopathy exhibit differences in ankle biomechanics as opposed to strength and range of motion. J Orthop Sports Phys Ther. 2016;46(12):1051-60.
-
13D’Agostino MA, Said-Nahal R, Hacquard-Bouder C, et al. Assessment of peripheral enthesitis in the spondylarthropathies by ultrasonography combined with power Doppler: a cross-sectional study. Arthritis Rheum. 2003;48(2):523-33.
-
14Klauser AS, Miyamoto H, Tamegger M, et al. Achilles tendon assessed with sonoelastography: histologic agreement. Radiology. 2013;267(3):837-42.
-
15Movin T, Gad A, Reinholt FP, Rolf C. Tendon pathology in long-standing achillodynia. Biopsy findings in 40 patients. Acta Orthop Scand. 1997;68(2):170-5.
-
16Benjamin M, Rufai A, Ralphs JR. The mechanism of formation of bony spurs (enthesophytes) in the Achilles tendon. Arthritis Rheum. 2000;43(3):576-83.
-
17De Jonge S, Tol JL, Weir A, et al. The tendon structure returns to asymptomatic values in nonoperatively treated Achilles tendinopathy but is not associated with symptoms: a prospective study. Am J Sports Med. 2015;43(12):2950-8.
-
18Franz JR, Slane LC, Rasske K, Thelen DG. Non-uniform in vivo deformations of the human Achilles tendon during walking. Gait Posture. 2015;41(1):192-7.
-
19DeOrio MJ, Easley ME. Surgical strategies: insertional Achilles tendinopathy. Foot Ankle Int. 2008;29(5):542-50.
-
20Fowler A, Philip JF. Abnormality of the calcaneus as a cause of painful heel its diagnosis and operative treatment. Br J Surg. 1945;32(128):494-8.
-
21Khan KM, Forster BB, Robinson J, et al. Are ultrasound and magnetic resonance imaging of value in assessment of Achilles tendon disorders? A two year prospective study. Br J Sports Med. 2003;37(2):149-53.
-
22Syha R, Springer F, Wurslin C, et al. Tendinopathy of the Achilles tendon: volume assessed by automated contour detection in submillimeter isotropic 3-dimensional magnetic resonance imaging data sets recorded at a field strength of 3 T. J Comput Assist Tomogr. 2015;39(2):250-6.
-
23Bakkegaard M, Johannsen FE, Hojgaard B, Langberg H. Ultrasonography as a prognostic and objective parameter in Achilles tendinopathy: a prospective observational study. Eur J Radiol. 2015;84(3):458-62.
-
24Astrom M, Westlin N. Blood flow in the human Achilles tendon assessed by laser Doppler flowmetry. J Orthop Res. 1994;12(2):246-52.
-
25De Zordo T, Chhem R, Smekal V, et al. Real-time sonoelastography: findings in patients with symptomatic Achilles tendons and comparison to healthy volunteers. Ultraschall Med. 2010;31(4):394-400.
-
26Fischer MA, Pfirrmann CW, Espinosa N, Raptis DA, Buck FM. Dixon-based MRI for assessment of muscle-fat content in phantoms, healthy volunteers and patients with achillodynia: comparison to visual assessment of calf muscle quality. Eur Radiol. 2014;24(6):1366-75.
-
27Nicholson CW, Berlet GC, Lee TH. Prediction of the success of nonoperative treatment of insertional Achilles tendinosis based on MRI. Foot Ankle Int. 2007;28(4):472-7.
-
28Van Schie HT, de Vos RJ, de Jonge S, et al. Ultrasonographic tissue characterisation of human Achilles tendons: quantification of tendon structure through a novel non-invasive approach. Br J Sports Med. 2010;44(16):1153-9.
-
29Shaikh Z, Perry M, Morrissey D, et al. Achilles tendinopathy in club runners. Int J Sports Med. 2012;33(5):390-4.
-
30Abat F, Alfredson H, Cucchiarini M, et al. Current trends in tendinopathy: consensus of the ESSKA basic science committee. Part I: biology, biomechanics, anatomy and an exercise-based approach. J Exp Orthop. 2017 Dec;4(1):18.
-
31Solan M, Davies M. Management of insertional tendinopathy of the Achilles tendon. Foot Ankle Clin 2007;12(4):597-615.
-
32Hennessy MS, Molloy AP, Sturdee SW. Noninsertional Achilles tendinopathy. Foot Ankle Clin. 2007;12(4):617-41.
-
33Knobloch K. Eccentric training in Achilles tendinopathy: is it harmful to tendon microcirculation? Br J Sports Med. 2007;41(6):e2. discussion e2.
-
34McCormack JR, Underwood FB, Slaven EJ, Cappaert TA. Eccentric exercise versus eccentric exercise and soft tissue treatment (Astym) in the management of insertional Achilles tendinopathy: a randomized controlled trial. Sports Health. 2016;8(3):230-7.
-
35Silbernagel KG, Brorsson A, Lundberg M. The majority of patients with Achilles tendinopathy recover fully when treated with exercise alone: a 5-year follow-up. Am J Sports Med. 2011;39(3):607-13.
-
36Couppe C, Svensson RB, Silbernagel KG, Langberg H, Magnusson SP. Eccentric or concentric exercises for the treatment of tendinopathies? J Orthop Sports Phys Ther. 2015;45(11):1-25.
-
37Fahlstrom M, Jonsson P, Lorentzon R, Alfredson H. Chronic Achilles tendon pain treated with eccentric calf-muscle training. Knee Surg Sports Traumatol Arthrosc. 2003;11(5):327-33.
-
38Jonsson P, Alfredson H, Sunding K, Fahlstrom M, Cook J. New regimen for eccentric calf-muscle training in patients with chronic insertional Achilles tendinopathy: results of a pilot study. Br J Sports Med. 2008;42(9):746-9.
-
39Lee JY, Yoon K, Yi Y, et al. Long-term outcome and factors affecting prognosis of extracorporeal shockwave therapy for chronic refractory Achilles tendinopathy. Ann Rehabil Med. 2017;41(1):42-50
-
40Rompe JD, Furia J, Maffulli N. Eccentric loading compared with shock wave treatment for chronic insertional Achilles tendinopathy. A randomized, controlled trial. J Bone Joint Surg Am. 2008;90(1):52-61.
-
41Taylor J, Dunkerley S, Silver D, et al. Extracorporeal shock-wave therapy (ESWT) for refractory Achilles tendinopathy: a prospective audit with 2-year follow up. Foot (Edinb). 2016;26:23-9.
-
42Rompe JD, Furia J, Maffulli N. Eccentric loading versus eccentric loading plus shock-wave treatment for midportion Achilles tendinopathy: a randomized controlled trial. Am J Sports Med. 2009;37(3):463-70.
-
43Furia JP. High-energy extracorporeal shock wave therapy as a treatment for insertional Achilles tendinopathy. Am J Sports Med. 2006;34(5):733-40.
-
44Wei M, Liu Y, Li Z, Wang Z. Comparison of clinical efficacy among endoscopy-assisted radiofrequency ablation, extracorporeal shockwaves, and eccentric exercises in treatment of insertional Achilles tendinosis. J Am Podiatr Med Assoc. 2017;107(1):11-6.
-
45Chimenti RL, Bucklin M, Kelly M, et al. Insertional Achilles tendinopathy associated with altered transverse compressive and axial tensile strain during ankle dorsiflexion. J Orthop Res. 2017;35(4):910-5.
-
46Chimenti RL, Flemister AS, Ketz J, et al. Ultrasound strain mapping of Achilles tendon compressive strain patterns during dorsiflexion. J Biomech. 2016;49(1):39-44.
-
47Coombes BK, Bisset L, Vicenzino B. Efficacy and safety of corticosteroid injections and other injections for management of tendinopathy: a systematic review of randomised controlled trials. Lancet. 2010;376(9754):1751-67.
-
48Kearney RS, Parsons N, Metcalfe D, Costa ML. Injection therapies for Achilles tendinopathy. Cochrane Database Syst Rev. 2015;5:CD010960.
-
49Ohberg L, Alfredson H. Sclerosing therapy in chronic Achilles tendon insertional pain—Results of a pilot study. Knee Surg Sports Traumatol Arthrosc. 2003;11(5):339-43.
-
50Crescibene A, Napolitano M, Sbano R, Costabile E, Almolla H. Infiltration of autologous growth factors in chronic tendinopathies. J Blood Transfusion. 2015;2015:924380.
-
51Di Matteo B, Filardo G, Kon E, Marcacci M. Platelet-rich plasma: evidence for the treatment of patellar and Achilles tendinopathy—a systematic review. Musculoskelet Surg. 2015;99(1):1-9.
-
52O’Malley MJ. PRP Shows Potential For Treating Achilles Tendinosis. New Orleans, LA: American Academy of Orthopaedic Surgeons; 2010.
-
53Redler LH, Thompson SA, Hsu SH, Ahmad CS, Levine WN. Platelet-rich plasma therapy: a systematic literature review and evidence for clinical use. Phys Sportsmed. 2011;39(1):42-51.
-
54Sadoghi P, Rosso C, Valderrabano V, Leithner A, Vavken P. The role of platelets in the treatment of Achilles tendon injuries. J Orthop Res. 2013;31(1):111-8.
-
55Salini V, Vanni D, Pantalone A, Abate M. Platelet rich plasma therapy in non-insertional Achilles tendinopathy: the efficacy is reduced in 60-years old people compared to young and middle-age individuals. Front Aging Neurosci. 2015;7:228.
-
56Monto RR. Platelet rich plasma treatment for chronic Achilles tendinosis. Foot Ankle Int. 2012;33(5):379-85.
-
57Yeo A, Kendall N, Jayaraman S. Ultrasound-guided dry needling with percutaneous paratenon decompression for chronic Achilles tendinopathy. Knee Surg Sports Traumatol Arthrosc. 2016 Jul;24(7):2112-8.
-
58Irwin TA. Current concepts review: insertional Achilles tendinopathy. Foot Ankle Int. 2010;31(10):933-9.
-
59Abat F, Alfredson H, Cucchiarini M, et al. Current trends in tendinopathy: consensus of the ESSKA Basic Science Committee. Part II: treatment options. J Exp Orthop. 2018 Sep 24;5(1):38.
-
60Van Dijk CN, van Dyk GE, Scholten PE, Kort NP. Endoscopic calcaneoplasty. Am J Sports Med. 2001;29(2):185-9.
-
61Vega J, Baduell A, Malagelada F, Allmendinger J, Dalmau-Pastor M. Endoscopic Achilles Tendon Augmentation With Suture Anchors After Calcaneal Exostectomy in Haglund Syndrome. Foot Ankle Int. 2018 May;39(5):551-9.
-
62Carmont MR, Maffulli N. Management of insertional Achilles tendinopathy through a Cincinnati incision. BMC musculoskeletal disorders. BMC Musculoskelet Disord. 2007;8:82.
-
63Shakked RJ, Raikin SM. Insertional tendinopathy of the Achilles: debridement, primary repair, and when to augment. Foot Ankle Clin. 2017;22(4):761-80.
-
64Barg A, Ludwig T. Surgical Strategies for the Treatment of Insertional Achilles Tendinopathy. Foot Ankle Clin. 2019 Sep;24(3):533-59.
-
65Greenhagen RM, Shinabarger AB, Pearson KT, Burns PR. Intermediate and long-term outcomes of the suture bridge technique for the management of insertional Achilles tendinopathy. Foot Ankle Spec. 2013;6(3):185-90.
-
66Brady PC, Arrigoni P, Burkhart SS. Evaluation of residual rotator cuff defects after in vivo single- versus double-row rotator cuff repairs. Arthroscopy. 2006;22(10):1070-5.
-
67Kim DH, Elattrache NS, Tibone JE, et al. Biomechanical comparison of a single row versus double-row suture anchor technique for rotator cuff repair. Am J Sports Med. 2006;34(3):407-14.
-
68Ma CB, Comerford L, Wilson J, et al. Biomechanical evaluation of arthroscopic rotator cuff repairs: double-row compared with single-row fixation. J Bone Joint Surg Am. 2006;88(2):403-10.
-
69Mazzocca AD, Bollier MJ, Ciminiello AM, et al. Biomechanical evaluation of arthroscopic rotator cuff repairs over time. Arthroscopy. 2010;26(5):592-9.
-
70Tuoheti Y, Itoi E, Yamamoto N, et al. Contact area, contact pressure, and pressure patterns of the tendon-bone interface after rotator cuff repair. Am J Sports Med. 2005;33(12):1869-74.
-
71Beitzel K, Mazzocca AD, Obopilwe E, et al. Biomechanical properties of doubleand single-row suture anchor repair for surgical treatment of insertional Achilles tendinopathy. Am J Sports Med. 2013;41(7):1642-8.
-
72Pilson H, Brown P, Stitzel J, et al. Single-row versus double-row repair of the distal Achilles tendon: a biomechanical comparison. J Foot Ankle Surg. 2012;51(6):762-6.
-
73Andersson G, Backman LJ, Christensen J, et al. Nerve distributions in insertional Achilles tendinopathy - a comparison of bone, bursae and tendon. Histol Histopathol. 2017;32(3):263-70.
-
74Nunley JA, Ruskin G, Horst F. Long-term clinical outcomes following the central incision technique for insertional Achilles tendinopathy. Foot Ankle Int. 2011;32(9):850-5.
-
75Hunt KJ, Cohen BE, Davis WH, et al. Surgical treatment of insertional Achilles tendinopathy with or without flexor hallucis longus tendon transfer: a prospective, randomized study. Foot Ankle Int. 2015;36(9):998-1005.
-
76López-Capdevila L Santamaría Fumas A, Domínguez Sevilla A, et al. Osteotomía calcánea con cuña de sustracción dorsal como tratamiento quirúrgico en la tendinopatía insercional de Aquiles. Rev Esp Cir Ortop Traumatol. 2020;64(1):22-7.
-
77Tourne Y, Baray AL, Barthelemy R, et al. The Zadek calcaneal osteotomy in Haglund’s syndrome of the heel: Clinical results and a radiographic analysis to explain its efficacy. Foot Ankle Surg. 2021 Feb 20;S1268-7731(21)00027-8.
Descargar artículo:
Licencia:
Este contenido es de acceso abierto (Open-Access) y se ha distribuido bajo los términos de la licencia Creative Commons CC BY-NC-ND (Reconocimiento-NoComercial-SinObraDerivada 4.0 Internacional) que permite usar, distribuir y reproducir en cualquier medio siempre que se citen a los autores y no se utilice para fines comerciales ni para hacer obras derivadas.
Comparte este contenido
En esta edición
- La lesión de tendón, del eterno olvidado a una patología de moda
- Fisiología y mecanobiología del tejido tendinoso y muscular
- Tendinopatía rotuliana: diagnóstico ecográfico y por resonancia magnética. Alternativas de tratamiento conservador y quirúrgico
- Fisiopatología, diagnóstico y tratamiento de la tendinopatía aquílea
- Tendinopatía del supraespinoso: diagnóstico ecográfico y por resonancia magnética. Alternativas de tratamiento conservador y quirúrgico
- Resultados de reparación artroscópica de tendón glúteo medio en pacientes afectos de síndrome de dolor trocantérico. Serie de casos
- Actualización en el diagnóstico y el tratamiento de las lesiones musculares del cuádriceps
- Manejo de las lesiones musculares del tríceps sural en deportistas adultos jóvenes y de mediana edad: revisión narrativa de la literatura
- Tendinopatía insercional del tendón de Aquiles. Tratamiento de principio a fin
- Cíclope invertido
Más en PUBMED
Más en Google Scholar
Más en ORCID


Revista Española de Artroscopia y Cirugía Articular está distribuida bajo una licencia de Creative Commons Reconocimiento-NoComercial-SinObraDerivada 4.0 Internacional.



















