Papel de la artroscopia en las lesiones de la sindesmosis
Role of arthroscopy in syndesmosis and medial complex injuries
Resumen:
Objetivo: analizar el papel diagnóstico y terapéutico de la artroscopia en las lesiones de la sindesmosis y del complejo ligamentoso medial del tobillo.
Métodos: se realizó una revisión centrada en la anatomía, la biomecánica, el diagnóstico clínico y por imagen, y el abordaje artroscópico tanto de lesiones agudas como crónicas de la sindesmosis y del ligamento deltoideo. Se describen las técnicas quirúrgicas más frecuentes, sus indicaciones y la evidencia disponible en la literatura.
Resultados: la artroscopia de tobillo permite una evaluación directa de la sindesmosis y del complejo medial. El uso de artroscopia permite reducir la tasa de malreducción de la sindesmosis (hasta 16-52% con técnicas abiertas) y detectar lesiones intraarticulares asociadas en hasta el 50% de los casos. La reparación artroscópica del ligamento deltoideo permite la reinserción de las fibras profundas del ligamento tibiotalar de forma efectiva.
Conclusiones: la artroscopia ofrece ventajas diagnósticas y terapéuticas en las lesiones de la sindesmosis y del complejo medial, mejorando la precisión de la reducción y permitiendo un tratamiento mínimamente invasivo de lesiones asociadas.
Nivel de evidencia: nivel IV.
Abstract:
Objective: to analyse the diagnostic and therapeutic role of arthroscopy in syndesmotic and medial ligament complex injuries of the ankle.
Methods: a focused review was conducted addressing the anatomy, biomechanics, clinical and imaging diagnosis, and the arthroscopic management of both acute and chronic injuries of the syndesmosis and the deltoid ligament. The most commonly used surgical techniques, their indications, and the available evidence from the literature are described.
Results: ankle arthroscopy allows direct assessment of the syndesmosis and medial ligament complex. Its use reduces the rate of syndesmotic malreduction (16-52% with open techniques) and identifies associated intra-articular injuries in up to 50% of cases. Arthroscopic deltoid ligament repair enables effective reinsertion of the deep tibiotalar fibres.
Conclusions: arthroscopy provides diagnostic and therapeutic advantages in syndesmotic and medial complex injuries, improving reduction accuracy and allowing minimally invasive treatment of associated lesions.
Level of evidence: level IV.
Introducción
Las lesiones que afectan a la sindesmosis (unión fibrosa entre la tibia y el peroné en el tobillo) y al complejo medial (ligamento deltoideo) revisten gran importancia en la estabilidad global de la articulación tibiotalar(1). Al no ser tan frecuentes como los esguinces laterales, en ocasiones pasan desapercibidas o son infradiagnosticadas, generando secuelas de inestabilidad crónica, dolor persistente y, a largo plazo, artrosis precoz(2).
La sindesmosis se compone del ligamento tibioperoneo anterior, el ligamento tibioperoneo posterior, el ligamento interóseo y el ligamento transverso(3). Cada uno de estos elementos participa en la contención de la articulación frente a cargas axiales y rotacionales. Por su parte, el complejo medial, constituido por el ligamento deltoideo superficial y profundo, garantiza la estabilidad en el plano frontal y evita la eversión excesiva(4).
El abordaje artroscópico se ha posicionado como una herramienta diagnóstica y terapéutica de gran valor. Por un lado, la artroscopia de tobillo ofrece un diagnóstico más preciso al permitir la observación directa de la integridad ligamentosa, la presencia de sinovitis crónica y las lesiones osteocondrales asociadas(5). Por otro, facilita la realización de procedimientos quirúrgicos mínimamente invasivos, con menor morbilidad que los abordajes abiertos y tiempos de recuperación potencialmente más rápidos.
En este capítulo, se revisarán los aspectos anatómicos y biomecánicos de la sindesmosis y del complejo medial, la relevancia de sus lesiones, el uso de la artroscopia en su diagnóstico y tratamiento, y las técnicas quirúrgicas más respaldadas por la literatura actual.
Anatomía y biomecánica
Sindesmosis (Figura 1)
La sindesmosis es un anillo fibroso que une la tibia y el peroné en su porción distal(1). Su función principal radica en mantener la congruencia de la mortaja tibioperonea y permitir micromovimientos fisiológicos de separación y rotación del peroné respecto a la tibia(6).
Está integrada por:
- El ligamento tibioperoneo anterior (LTPA). Considerado el primero en lesionarse ante fuerzas de rotación externa o dorsiflexión forzada. Se extiende de manera oblicua desde el tubérculo anterior de la tibia distal, aproximadamente 5 mm por encima de la superficie articular, hasta el tubérculo anterior del peroné distal, recorriendo una dirección de proximal-medial a distal-lateral y cruzando la esquina anterolateral del astrágalo(7).
- El LTPA presenta un fascículo distal (LTPA-FD) constante, que contacta con la esquina anterolateral del astrágalo cuando el tobillo se encuentra en posición neutra. Las fibras distales del LTPA-FD se continúan con el haz superior del ligamento peroneo-astragalino anterior(8).
- El ligamento tibioperoneo posterior (LTPP), más resistente que el anterior. Se extiende desde el maléolo tibial posterior hasta el tubérculo posterior del peroné y discurre de proximal-medial a distal-lateral. Forma un ángulo de 20 a 40° con el plano horizontal.
- El ligamento interóseo (LI), engrosamiento distal de la membrana interósea que actúa como “muelle” o estabilizador dinámico.
- El ligamento transverso, situado en la parte más posterior, considerado por algunos autores como parte distal del LTPP.
Anatomía artroscópica de la sindesmosis
Visión artroscópica anterior
El 20% del LTPA es intraarticular(7). Cuando realizamos un acceso anteromedial del tobillo dirigiendo el artroscopio hacia lateral podemos ver las fibras distales del LTPA con su disposición oblicua y su continuación con el ligamento peroneo-astragalino anterior (Figura 2). Si avanzamos dentro de la articulación tibioastragalina, veremos la articulación tibioperonea distal con el receso sindesmal ocupado de tejido sinovial (Figura 3).
Visión artroscópica posterior
Desde el abordaje posterolateral identificaremos el maléolo peroneo y, desde aquí, visualizaremos las fibras intraarticulares del LTPP, que se dirigen de forma oblicua insertándose en la porción distal de la tibia. También veremos el engrosamiento distal del LTPP (ligamento transverso) en continuidad con el labio posterior de la tibia distal (Figura 4).
Complejo medial
El complejo medial del tobillo, también conocido como ligamento colateral medial, es una estructura fibrosa amplia y resistente que se localiza en el lado medial (interno) de la articulación. Anatómicamente, este ligamento presenta una configuración en forma de abanico o delta, y está constituido por dos capas principales: una superficial y otra profunda(9).
La capa superficial está compuesta por varias bandas que se dividen en:
- El ligamento tibionavicular, que parte de la zona anterior del maléolo medial y se dirige hacia el navicular.
- El ligamento tibiocalcáneo, con inserción en el sustentáculo del calcáneo.
- El ligamento tibio-spring, que refuerza la unión con el ligamento spring (calcáneo navicular) y estabiliza la parte medial del tobillo.
- La banda tibiotalar superficial, que se dirige hacia la cara medial del astrágalo, reforzando la contención.
Por su parte, la capa profunda se compone de:
- El ligamento tibiotalar anterior profundo, que nace de la zona anterior del maléolo medial y se inserta en la superficie medial del astrágalo.
- El ligamento tibiotalar posterior profundo, más robusto, que va hacia la porción posterior del astrágalo y contribuye a la estabilidad anteroposterior.
Ambas capas se encuentran en íntima relación con la vaina del tendón del tibial posterior, lo que refuerza su eficacia mecánica en la contención de la articulación, contrarrestando la eversión excesiva del retropié y evitando la traslación lateral del astrágalo.
Anatomía artroscópica del complejo medial
Mediante la artroscopia podremos ver las fibras profundas del ligamento deltoideo, que es la porción intraarticular del ligamento. Medial y proximalmente a la punta del maléolo ya tenemos la inserción de la capa profunda del ligamento deltoideo. Si no hay lesión, veremos la porción anterior de las fibras tibioastragalinas profundas. Cuando existe una lesión de estas, podemos visualizar la porción intermedia y posterior. Las bandas superficiales, por su ubicación más externa, no son visibles mediante artroscopia, a no ser que no exista una lesión de las profundas (Figura 5).
Biomecánica
El ligamento deltoideo y la sindesmosis actúan conjuntamente limitando el movimiento del peroné respecto a la tibia, bloqueando predominantemente la rotación externa del astrágalo. Este efecto lo consiguen manteniendo la mortaja reducida, evitando el desplazamiento lateral del astrágalo hacia el maléolo peroneo.
En la práctica, debemos contemplar el ligamento deltoideo y la sindesmosis como un solo conjunto que desempeña la misma función biomecánica. Por ello, al detectar la lesión de una de estas estructuras, es imprescindible examinar la otra, pues las lesiones suelen presentarse asociadas con gran frecuencia(10).
Epidemiología y relevancia clínica
Las lesiones aisladas de la sindesmosis o del complejo medial representan un porcentaje menor en comparación con las laterales, pero en conjunto su relevancia ha ido aumentando. Estudios epidemiológicos en deportistas de contacto (fútbol, rugby, baloncesto) describen que entre un 10 y un 20% de los esguinces de tobillo pueden implicar algún grado de lesión sindesmótica(11). Estas lesiones pueden asociarse a una morbilidad significativa y un retraso en el retorno al deporte, en comparación con un esguince lateral de tobillo aislado(12).
La sindesmosis posterior desempeña el papel más relevante, proporcionando entre un 40 y un 45% de la resistencia a la diástasis, mientras que el LTPA aporta alrededor del 35%. Las lesiones en dos de los componentes de la sindesmosis suponen una pérdida superior al 50% de la resistencia a la diástasis, lo que puede derivar en inestabilidad(13).
Las lesiones aisladas del ligamento deltoideo representan aproximadamente el 3-4% de todas las lesiones de los ligamentos del tobillo(14). La lesión aislada del ligamento deltoideo suele afectar a la porción superficial, es estable a nivel rotacional y tiene un buen pronóstico. En cambio, en las lesiones del deltoideo asociadas a la lesión de la sindesmosis, la rotura es completa de ambas capas (la profunda y la superficial)(15).
Diagnóstico
Realizar un correcto diagnóstico es esencial, ya que existe un número importante de lesiones infradiagnosticadas y que provocarán secuelas. El punto más importante es poder diferenciar las lesiones estables, que podrán ser tratadas conservadoramente, de las inestables.
Evaluación clínica
Los pacientes suelen presentar dolor en la zona anterior del tobillo, sensación de inestabilidad y limitación para la dorsiflexión. Entre los test clínicos específicos destacan:
- Prueba de compresión (squeeze test). Más específica para lesiones de sindesmosis. Con el paciente sentado, el explorador presiona con ambas manos la tibia y el peroné, empezando justo por encima del tobillo. Si la presión provoca dolor en la sindesmosis distal, se sospecha lesión de sus ligamentos.
- La maniobra de dorsiflexión. Se realiza para empujar la porción anterior más ancha de la tróclea astragalina dentro de la mortaja del tobillo, provocando la separación entre peroné y tibia distales y dolor en la sindesmosis tibioperonea distal.
- Maniobra de estrés del deltoideo: se realiza con el paciente sentado en la camilla y los pies colgando. Primero se aplica presión al valgo sobre el talón, comparando la respuesta con la del tobillo sano. A continuación, se realiza la maniobra del cajón anterior y el resultado también se contrasta con el lado contralateral. En la estabilidad del cajón anterior también participa el ligamento lateral externo.
- Palpación selectiva de la sindesmosis y ligamento deltoideo. El dolor a la palpación deltoidea se asocia a lesión, Hinterman encontró un 100% de relación(16). En cambio, para el diagnóstico de lesiones sindesmales cae hasta el 56%(17).
Pruebas de imagen
- Radiografía simple: en proyecciones anteroposterior, mortaja y lateral se observan signos de diástasis de la sindesmosis si el espacio tibioperoneo supera los 5-6 mm o la ausencia de solape tibioperoneo por debajo de 6 mm. En muchos casos el grado de apertura no se aprecia claramente en estadios subagudos o crónicos.
- Tomografía computarizada (TC): ayuda a valorar la posición del peroné en la incisura tibial y detectar pequeñas subluxaciones anteriores o posteriores.
- TC en carga: su mayor utilidad es en casos de sospecha de lesiones sutiles de la sindesmosis y del ligamento deltoideo. Las mediciones de volumen 3D mediante TC en carga alcanzan una sensibilidad del 95,8% y una especificidad del 83,3% en la detección de lesiones inestables de la sindesmosis(18).
- Resonancia magnética (RM): es la prueba más sensible, alcanzando una sensibilidad del 100% y una especificidad del 93% en lesiones del LTPA(19). Pero, a diferencia de la TC en carga, la resonancia presenta la limitación de que no siempre permite determinar con certeza si la lesión se acompaña de una inestabilidad evidente de la sindesmosis.
Artroscopia de tobillo
La artroscopia de tobillo es la prueba de referencia para las lesiones ligamentosas del tobillo. Permite el diagnóstico en casos dudosos y definir la extensión real de la lesión. Además, permite evaluar la estabilidad intraoperatoria.
Evaluación artroscópica de la sindesmosis
Desde el portal anteromedial tenemos una visualización directa de las fibras distales del LTPA. Una desinserción de estas fibras no se traduce siempre en inestabilidad de la sindesmosis, pero nos obliga a comprobarlo. Los autores preferimos la evaluación del plano coronal de la sindesmosis. Introducimos el artroscopio en la articulación tibioastragalina dirigiendo la cámara hacia craneal. De este modo, tenemos una visión directa de la articulación tibioperonea distal. Entonces evaluamos la estabilidad intentando introducir el palpador en la articulación. Si es posible hacerlo, catalogamos la lesión de la sindesmosis como inestable (Figura 6A).
Evaluación artroscópica del ligamento deltoideo
Existen múltiples métodos para evaluar la inestabilidad del complejo medial; mediante los portales anteriores del tobillo es posible valorar la estabilidad del ligamento deltoideo en su plano principal de acción, correspondiente al plano coronal. Chun et al.(20) describió inestabilidad cuando es posible introducir un palpador artroscópico en el espacio medial tibioastragalino (Figura 6B). Vega et al.(21) describió que, en la mayoría de las lesiones, la porción más anterior del ligamento deltoideo está desprendida del maléolo medial, mientras que sus inserciones proximales permanecen íntegras. En esta situación se puede introducir el palpador artroscópico entre la pared medial del maléolo interno y las fibras profundas del deltoideo.
Tratamiento artroscópico de la sindesmosis y del complejo medial
Tratamiento artroscópico de las lesiones de la sindesmosis
Existe consenso en que una lesión estable puede tratarse de forma conservadora, lo que incluye un periodo en descarga, seguido de carga parcial protegida (con bota Walker) y un protocolo de rehabilitación(22).
Una lesión inestable debe tratarse de forma quirúrgica para evitar secuelas a largo plazo(23). La artroscopia de tobillo continúa siendo fundamental para el diagnóstico y el tratamiento, y resulta vital decidir qué lesiones deben repararse. La visualización directa de la articulación tibioperonea distal permite la valoración más precisa del grado de la lesión. La asociación con una lesión del ligamento deltoideo predice fuertemente una lesión inestable.
Además, hasta la mitad de las lesiones de la sindesmosis pueden presentar patologías intraarticulares concomitantes (lesiones osteocondrales o cuerpos libres)(24), lo que refuerza el papel de la artroscopia tanto para el diagnóstico como para el tratamiento simultáneo.
Hay que tener en cuenta que la lesión de la sindesmosis ocasiona la alteración de la articulación tibioperonea en el plano coronal y/o sagital. La tasa de malreducciones de la articulación cuando se realiza con una pinza compresiva es del 16-52%(25,26). Ante estos porcentajes, crece la importancia de utilizar la artroscopia como método de control de la reducción.
Técnica quirúrgica: tratamiento artroscópico de las lesiones agudas de la sindesmosis
La técnica se realizará utilizando los portales anteromedial y anterolateral convencionales. El portal anteromedial se emplea para la visualización, mientras que el portal anterolateral sirve como portal de trabajo. Una vez visualizado el espacio tibioperoneo, resecaremos la sinovial inflamada con un shaver artroscópico para facilitar la reducción (Figura 7A). Posteriormente, mediante visión directa restauraremos el espacio tibioperoneo, teniendo muy en cuenta la posible malrotación del peroné, especialmente en fracturas de tipo Maisonneuve. Para la reducción peronea utilizamos una pinza de tipo Verbrugge que nos permite corregir la rotación. En nuestra experiencia, una vez limpiado el espacio y si la posición es correcta, es poco frecuente tener que utilizar una pinza compresora entre tibia y peroné.
Una vez obtenemos la reducción deseada, comprobamos mediante escopia la posición y fijamos temporalmente mediante una aguja de Kirschner la posición.
Para la fijación definitiva, las opciones quirúrgicas varían entre una fijación rígida con tornillos y una fijación dinámica. Los tornillos han sido el procedimiento estándar durante décadas, pero presentan complicaciones, como aflojamiento o rotura. Además, algunos cirujanos defienden su retirada, con el riesgo inherente de recurrencia de la inestabilidad(27). La fijación dinámica se diseñó para solventar algunos de estos problemas, al permitir cierto movimiento fisiológico de la sindesmosis, facilitar la carga temprana, reducir el riesgo de rotura y eliminar la necesidad de extraer el implante (Figura 7B).
Grassi et al., en un metaanálisis con más de 300 pacientes, demostraron una disminución global del riesgo relativo de complicaciones (RR = 0,55; p = 0,003) con sistemas dinámicos(28). Raeder et al., en un ensayo aleatorizado de 97 pacientes entre fijación con tornillos y sistema dinámico, demostraron una menor incidencia de artrosis con suture button del 65 vs. 35% (p = 0,009) a los 5 años(29). Las construcciones con suture button aportan cierto grado de micromovilidad, imitando la movilidad fisiológica, que puede favorecer la cicatrización ligamentosa. Asimismo, los implantes flexibles toleran mejor una reducción imperfecta, una complicación posible, aunque realicemos un control artroscópico de la articulación.
Técnica quirúrgica: tratamiento artroscópico de las lesiones crónicas de la sindesmosis
Las lesiones crónicas de la sindesmosis suelen estar infradiagnosticadas, permaneciendo sin identificar en un porcentaje significativo de casos. La artroscopia de tobillo constituye una herramienta fundamental, con eficacia claramente demostrada, para el diagnóstico y la valoración de este tipo de lesiones.
Los principios de la fijación son los mismos, pero se debe optar por una opción más sólida, con tornillos dobles, doble fijación dinámica o técnicas mixtas(30,31). Algunos autores describen técnicas con plastias para la sindesmosis con autoinjerto (isquiotibiales o peroneos).
Actualmente, no existe evidencia científica suficiente a favor de una técnica quirúrgica con respecto a otra en pacientes con lesiones crónicas de la sindesmosis(32,33), objetivándose la falta de ensayos clínicos para decidir qué tratamiento es superior.
La técnica utilizada por los autores es la técnica artroscópica sin plastia de refuerzo. Es esencial realizar un desbridamiento artroscópico meticuloso de la articulación tibiofibular inferior para permitir la reducción completa de la articulación. Sobre el tipo de fijación, consideramos que una lesión crónica tiene un grado de inestabilidad más alto que requiere una mayor fijación, siendo nuestra preferencia la utilización de un doble sistema dinámico.
Lesiones del complejo medial
El ligamento deltoideo constituye una estructura esencial para la estabilidad medial del tobillo, ya que limita el valgo, la rotación excesiva y la traslación anterior del astrágalo. Suele haber 3 principales razones que generan una lesión de este ligamento: una lesión aislada provocada por un valgo y rotación externa forzada, asociadas a una inestabilidad lateral crónica o en relación con una deficiencia del tibial posterior, generando una inestabilidad medial a consecuencia(34). Clínicamente, se presenta como dolor anteromedial y sensación de laxitud.
El objetivo de la reparación del ligamento deltoideo es la disminución de la rotación externa, eversión y traslación anterior, ya que el aumento de estos movimientos puede provocar una artrosis temprana del tobillo(35). En una inestabilidad lateral de pacientes con hiperlaxitud o una lesión grave, la reparación de la porción anterior del ligamento deltoideo aporta una mayor fijación para limitar la traslación anterior del astrágalo(21).
Tratamiento artroscópico de las lesiones del complejo medial
El ligamento deltoideo del tobillo puede repararse mediante cirugía abierta o artroscópica. Mientras que la técnica abierta cuenta con una amplia evidencia que avala su seguridad y eficacia(36), en los últimos años han surgido estudios comparativos que muestran resultados clínicos y radiológicos similares con la reparación artroscópica(37). Esta última presenta la ventaja de ser menos agresiva con las partes blandas, un aspecto especialmente relevante en pacientes con traumatismos. Además, nos permite abordar simultáneamente otras lesiones intraarticulares.
Técnica quirúrgica: tratamiento artroscópico de las lesiones agudas del complejo medial
En cuanto a la técnica quirúrgica, los portales de trabajo se realizarán de la misma manera que en una artroscopia de tobillo convencional: un portal anteromedial y uno anterolateral. Se inicia siempre con una artroscopia diagnóstica para confirmar la lesión del ligamento deltoideo. Puede utilizarse un palpador para verificar la laxitud de las fibras y realizar una prueba con este introduciéndolo a través de la gotera medial: si pasa, confirma la lesión. Para la reparación, el portal de visión será el anterolateral, así se trabajará de forma más directa a través del anteromedial. Las fibras anteriores del tibiotalar superficial e intermedias de la porción profunda del deltoideo son las que la técnica artroscópica permite reparar(38). Una vez identificado y disecado el ligamento, se pasa una sutura entre las fibras mediante un pasador de sutura. Se prepara la zona de anclaje del maléolo medial con un rasurador o una pequeña fresa. Con el tobillo en posición neutra se introduce el ancla manteniendo la tensión de las suturas. Se puede utilizar como referencia anatómica para la colocación la intersección de la línea paralela a la articulación tibiotalar y una línea perpendicular marcada desde la punta del maléolo y por el borde lateral de este(21). Tras realizar la reducción, se prueba nuevamente la tensión de las fibras y el paso del probador por la gotera medial, que confirma una adecuada reparación (Figura 8).
Tratamiento artroscópico de las lesiones crónicas del complejo medial
La artroscopia de tobillo también resulta útil en el tratamiento de lesiones crónicas del ligamento deltoideo. De forma inicial, ayuda a la evaluación de la gravedad de la lesión, así como al tratamiento de patologías asociadas como osteofitos o lesiones condrales. En casos graves donde existe ya afectación del eje provocando un pie plano, se deben considerar gestos agregados a la reparación, como la corrección mediante una osteotomía de calcáneo.
La calidad del ligamento con una lesión crónica en ocasiones no permite una reparación y se plantea entonces una reconstrucción mediante plastia de injerto autólogo, como puede ser de gracilis o mediante un aloinjerto. En un artículo publicado por Loozen et al. recomiendan la reconstrucción tanto de las fibras profundas posteriores como de las tibiotalares anteriores, agregando también una reparación al ligamento spring(36). Los resultados obtenidos con una reconstrucción son óptimos; sin embargo, como comentan Savage-Elliot et al. en su artículo, no es comparable una reparación de una reconstrucción, ya que en la segunda suele haber muchas más lesiones asociadas por la cronicidad de la patología y lo que se busca es un rescate articular principalmente(39).
Conclusiones
La artroscopia de tobillo constituye una herramienta diagnóstica y terapéutica de gran valor en las lesiones ligamentosas del tobillo. En el caso de la sindesmosis, la visualización directa permite una valoración precisa de la estabilidad, reduce la alta tasa de malreducciones observada con técnicas abiertas y facilita el tratamiento simultáneo de lesiones intraarticulares asociadas. En cuanto al ligamento deltoideo, la artroscopia posibilita la identificación exacta de la rotura, la reparación de las fibras profundas y el abordaje de lesiones concomitantes, con la ventaja de una menor agresión a las partes blandas, especialmente relevante en pacientes traumáticos.
Figuras
Figura 1. Esquema de la sindesmosis anterior. A: membrana interósea; B: ligamento interóseo; C: ligamento tibioperoneo anterior; D: fascículo distal del ligamento tibioperoneo anterior.
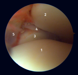
Figura 2. Visión artroscópica anterolateral del tobillo derecho. 1: cúpula astragalina; 2: cara anterior de la tibia; 3: peroné; 4: fibras distales del ligamento tibioperoneo anterior; 5: ligamento peroneo-astragalino anterior.
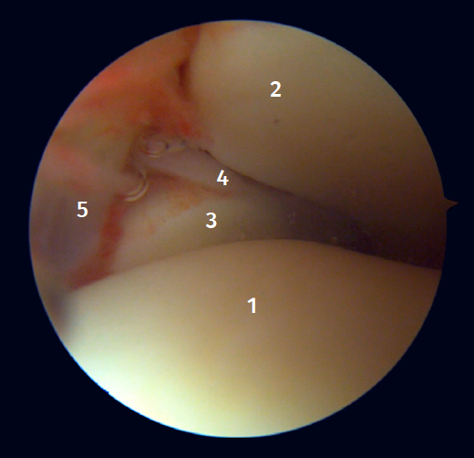
Figura 3. Visión artroscópica anterolateral de un tobillo derecho al introducirnos en la tibioastragalina. 1: cúpula astragalina; 2: cara articular de la tibia; 3: peroné; 4: articulación tibioperonea distal; 5: fibras distales del ligamento tibioperoneo anterior.
Figura 4. Visión artroscópica posterior de un tobillo derecho al que le hemos resecado un proceso de Stieda sintomático. 1: ligamento tibioperoneo posterior; 2: ligamento transverso; 3: cúpula astragalina; 4: tibia distal; 5: articulación subastragalina posterior; 6: flexor largo del hallux.
Figura 5. A: visión anterior del receso medial del tobillo; B: con el palpador tensamos las fibras del ligamento tibiotalar profundo.
Figura 6. Maniobras para evidenciar inestabilidad ligamentosa. A: lesión de la sindesmosis que permite la introducción del palpador en la tibioperonea distal; B: lesión del deltoideo que permite la introducción del palpador en el espacio medial tibioastragalino.
Figura 7. A: desbridamiento del espacio tibioperoneo; B: estabilización de la sindesmosis mediante sistema de suspensión.
Información del artículo
Cita bibliográfica
Autores
Josep Torrent Gómez
Institut Rabat. Barcelona Foot and Ankle Clinic
Hospital QuirónSalud Barcelona
Minimally Invasive Foot and Ankle Surgery (MIFAS)
Servicio de Cirugía Ortopédica y Traumatología. Hospital Universitario Mútua de Terrassa. Terrassa. Barcelona
Cinthya Vargas Zavala
Unidad de Pie y Tobillo. Move. Barcelona. España
Servicio médico RCD Espanyol. Barcelona. España
Responsabilidades éticas
Conflicto de interés. Los autores declaran no tener ningún conflicto de intereses.
Financiación. Este trabajo no ha sido financiado.
Protección de personas y animales. Los autores declaran que para esta investigación no se han realizado experimentos en seres humanos ni en animales.
Confidencialidad de los datos. Los autores declaran que han seguido los protocolos de su centro de trabajo sobre la publicación de datos de pacientes.
Derecho a la privacidad y consentimiento informado. Los autores declaran que en este artículo no aparecen datos de pacientes.
Referencias bibliográficas
-
1Yuen CP, Lui TH. Distal Tibiofibular Syndesmosis: Anatomy, Biomechanics, Injury and Management. Open Orthop J. 2017;11:670-7.
-
2Ray RG. Arthroscopic Anatomy of the Ankle Joint. Clin Podiatr Med Surg. 2016;33(4):467-80.
-
3Mengiardi B, Pinto C, Zanetti M. Medial Collateral Ligament Complex of the Ankle: MR Imaging Anatomy and Findings in Medial Instability. Semin Musculoskelet Radiol. 2016;20(01):91-103.
-
4McCollum GA, Van Den Bekerom MPJ, Kerkhoffs GMMJ, et al. Syndesmosis and deltoid ligament injuries in the athlete. Knee Surg Sports Traumatol Arthrosc. 2013;21(6):1328-37.
-
5Wagener ML, Beumer A, Swierstra BA. Chronic instability of the anterior tibiofibular syndesmosis of the ankle. Arthroscopic findings and results of anatomical reconstruction. BMC Musculoskelet Disord. 2011;12(1):212.
-
6Golanó P, Vega J, De Leeuw PAJ, et al. Anatomy of the ankle ligaments: a pictorial essay. Knee Surg Sports Traumatol Arthrosc. 2010;18(5):557-69.
-
7Hermans JJ, Beumer A, De Jong TAW, Kleinrensink G. Anatomy of the distal tibiofibular syndesmosis in adults: a pictorial essay with a multimodality approach. J Anat. 2010;217(6):633-45.
-
8Dalmau-Pastor M, Malagelada F, Kerkhoffs GMMJ, et al. The anterior tibiofibular ligament has a constant distal fascicle that contacts the anterolateral part of the talus. Knee Surg Sports Traumatol Arthrosc. 2020;28(1):48-54.
-
9Cain JD, Dalmau-Pastor M. Anatomy of the Deltoid-Spring Ligament Complex. Foot Ankle Clin. 2021;26(2):237-47.
-
10Aicale R, Maffulli N. Rotational ankle instability: A current concept review. J Orthop Surg (Hong Kong). 2023;31(2):10225536231182347.
-
11Roemer FW, Jomaah N, Niu J, et al. Ligamentous Injuries and the Risk of Associated Tissue Damage in Acute Ankle Sprains in Athletes: A Cross-sectional MRI Study. Am J Sports Med. 2014;42(7):1549-57.
-
12Vancolen SY, Nadeem I, Horner NS, et al. Return to Sport After Ankle Syndesmotic Injury: A Systematic Review. Sports Health. 2019;11(2):116-22.
-
13Ogilvie-Harris DJ, Reed SC, Hedman TP. Disruption of the ankle syndesmosis: biomechanical study of the ligamentous restraints. Arthroscopy. 1994;10(5):558-60.
-
14Ribbans WJ, Garde A. Tibialis Posterior Tendon and Deltoid and Spring Ligament Injuries in the Elite Athlete. Foot Ankle Clin. 2013;18(2):255-91.
-
15Miller CD, Shelton WR, Barrett GR, et al. Deltoid and Syndesmosis Ligament Injury of the Ankle Without Fracture. Am J Sports Med. 1995;23(6):746-50.
-
16Hintermann B, Valderrábano V, Boss A, et al. Medial Ankle Instability: An Exploratory, Prospective Study of Fifty-Two Cases. Am J Sports Med. 2004;32(1):183-90.
-
17Sman AD, Hiller CE, Rae K, et al. Diagnostic accuracy of clinical tests for ankle syndesmosis injury. Br J Sports Med. 2015;49(5):323-9.
-
18Ashkani Esfahani S, Bhimani R, Lubberts B, et al. Volume measurements on weightbearing computed tomography can detect subtle syndesmotic instability. J Orthop Res. 2022;40(2):460-7.
-
19Tourné Y, Molinier F, Andrieu M, et al. Diagnosis and treatment of tibiofibular syndesmosis lesions. Orthop Traumatol Surg Res. 2019;105(8S):S275-S286.
-
20Chun KY, Choi YS, Lee SH, et al. Deltoid Ligament and Tibiofibular Syndesmosis Injury in Chronic Lateral Ankle Instability: Magnetic Resonance Imaging Evaluation at 3T and Comparison with Arthroscopy. Korean J Radiol. 2015;16(5):1096.
-
21Vega J, Allmendinger J, Malagelada F, et al. Combined arthroscopic all-inside repair of lateral and medial ankle ligaments is an effective treatment for rotational ankle instability. Knee Surg Sports Traumatol Arthrosc. 2020;28(1):132-40.
-
22Corte-Real N, Caetano J. Ankle and syndesmosis instability: consensus and controversies. EFORT Open Rev. 2021;6(6):420-31.
-
23Nichols JA, Baratta C, Reb CW. Biomechanical Sequelae of Syndesmosis Injury and Repair. Foot Ankle Clin. 2023;28(1):77-98.
-
24Rellensmann K, Behzadi C, Usseglio J, et al. Acute, isolated and unstable syndesmotic injuries are frequently associated with intra-articular pathologies. Knee Surg Sports Traumatol Arthrosc. 2021;29(5):1516-22.
-
25Gardner MJ, Graves ML, Higgins TF, Nork SE. Technical considerations in the treatment of syndesmotic injuries associated with ankle fractures. J Am Acad Orthop Surg. 2015;23(8):510-8.
-
26Miller AN, Barei DP, Iaquinto JM, et al. Iatrogenic syndesmosis malreduction via clamp and screw placement. J Orthop Trauma. 2013;27(2):100-6.
-
27Van Den Bekerom MPJ, Hogervorst M, Bolhuis HW, Van Dijk CN. Operative aspects of the syndesmotic screw: Review of current concepts. Injury. 2008;39(4):491-8.
-
28Grassi A, Samuelsson K, D’Hooghe P, et al. Dynamic Stabilization of Syndesmosis Injuries Reduces Complications and Reoperations as Compared With Screw Fixation: A Meta-analysis of Randomized Controlled Trials. Am J Sports Med. 2020;48(4):1000-13.
-
29Ræder BW, Figved W, Madsen JE, et al. Better outcome for suture button compared with single syndesmotic screw for syndesmosis injury: five-year results of a randomized controlled trial. Bone Joint J. 2020;102-B(2):212-9.
-
30Kingston KA, Lin Y, Bradley AT, et al. Salvage of Chronic Syndesmosis Instability: A Retrospective Review With Mid-Term Follow-Up. J Foot Ankle Surg. 2023;62(2):210-7.
-
31Ryan PM, Rodríguez RM. Outcomes and Return to Activity After Operative Repair of Chronic Latent Syndesmotic Instability. Foot Ankle Int. 2016;37(2):192-7.
-
32Gomaa AR, Mason L. Chronic syndesmotic instability – Current evidence on management. J Clin Orthop Trauma. 2024;50:102382.
-
33Stenquist DS, Ye MY, Kwon JY. Acute and Chronic Syndesmotic Instability. Clin Sports Med. 2020;39(4):745-71.
-
34Colin F, Barbier O, Cordier G. Role of surgery in the management of lesions of the medial collateral ligament of the ankle. Orthop Traumatol Surg Res. 2020;106(8S):S195-S199.
-
35Brady AW, Bryniarski A, Brown JR, et al. The Biomechanical Role of the Deltoid Ligament on Ankle Stability: Injury, Repair, and Augmentation. Am J Sports Med. 2023;51(10):2617-24.
-
36Loozen L, Veljkovic A, Younger A. Deltoid ligament injury and repair. J Orthop Surg (Hong Kong). 2023;31(2):10225536231182345.
-
37Kim SH, Lee SH, Cha JY, et al. Arthroscopic Deltoid Ligament Repair as a Potential Alternative Treatment for Ankle Deltoid Ligament Injury. J Clin Med. 2025;14(5):1662.
-
38Guelfi M, Vega J, Malagelada F, Dalmau-Pastor M. Arthroscopic repair of the tibiotalar fascicle of deltoid ligament is feasible through anterior ankle arthroscopy. Knee Surg Sports Traumatol Arthrosc. 2024;32(12):3105-11.
-
39Savage-Elliott I, Murawski CD, Smyth NA, et al. The deltoid ligament: an in-depth review of anatomy, function, and treatment strategies. Knee Surg Sports Traumatol Arthrosc. 2013;21(6):1316-27.
Descargar artículo:
Licencia:
Este contenido es de acceso abierto (Open-Access) y se ha distribuido bajo los términos de la licencia Creative Commons CC BY-NC-ND (Reconocimiento-NoComercial-SinObraDerivada 4.0 Internacional) que permite usar, distribuir y reproducir en cualquier medio siempre que se citen a los autores y no se utilice para fines comerciales ni para hacer obras derivadas.
Comparte este contenido
En esta edición
- La artroscopia anterior de tobillo en todo su esplendor
- La artroscopia de pie y tobillo, una realidad consolidada y en expansión
- Historia y conceptos actuales de la artroscopia de tobillo
- Estado actual del pinzamiento anterior de tobillo
- Tratamiento artroscópico de la inestabilidad lateral crónica de tobillo
- Tratamiento de las lesiones osteocondrales del astrágalo mediante artroscopia anterior del tobillo
- Papel de la artroscopia en las lesiones de la sindesmosis
- Papel de la artroscopia en el tratamiento de las fracturas de tobillo
- Artrodesis artroscópica anterior de tobillo
- El uso de la artroscopia con aguja en el tobillo
- La letra pi en el tobillo
Más en PUBMED
Más en Google Scholar
Más en ORCID


Revista Española de Artroscopia y Cirugía Articular está distribuida bajo una licencia de Creative Commons Reconocimiento-NoComercial-SinObraDerivada 4.0 Internacional.

















