Fracturas complejas del tobillo en edad pediátrica: análisis de las fracturas de la transición y revisión de nuestros resultados
Complex fractures of the ankle in pediatric age: analysis of transitional fractures and review of our results
Resumen:
Introducción: las fracturas de la transición ocurren durante el cierre fisario de la tibia distal, con diferentes patrones según el grado de madurez de la placa de crecimiento. Son poco frecuentes y difíciles de evaluar con radiografías. Se recomienda solicitar pruebas complementarias. El objetivo es analizar la epidemiología y la configuración de las fracturas de la transición, triplanares y de Tillaux, que han precisado de pruebas complementarias (tomografía computarizada –TC– o resonancia magnética –RM–) para su diagnóstico.
Material: estudio retrospectivo donde se revisan durante 6 años todas las fracturas pediátricas de tobillo que han requerido pruebas complementarias superiores. Se clasificaron según la clasificación de Salter-Harris (S-H) o de las fracturas de la transición en 2 planos (Tillaux) o triplanares de tipo I y II. Evaluamos la clínica, la escala de la American Orthopaedic Foot and Ankle Society (AOFAS) y el nivel de actividad deportiva antes/después.
Resultados: revisamos 46 pacientes con fractura de tobillo (18 niños/28 niñas). La TC o la RM confirmaron el diagnóstico de 28 fracturas epifisarias S-H (60,86%), 13 triplanares (28,3%) y 5 de Tillaux (10,9%). La edad media de las fracturas triplanares fue 12,30 años (rango: 9-16) y de 14,8 años para la de Tillaux (rango: 13-16). Tiempo de seguimiento: 38,41 meses (rango: 14-106). Todas las triplanares fueron de tipo II; el 84,6% de ellas tenían afectación intraarticular. El 45,15% de las triplanares y el 80% de las de Tillaux precisaron tratamiento quirúrgico. De 46 pacientes, 11 tuvieron complicaciones. Ninguno presentó restricción para la actividad deportiva. La media en la escala AOFAS fue de 98,9 puntos.
Conclusiones: las fracturas de la transición suponen un reto por su complejo patrón, que debe evaluarse mediante radiografías en 3 proyecciones y TC. Si existen desplazamientos superiores a 2 mm, se recomienda reducción anatómica y fijación, pues una mala posición se asocia con complicaciones.
Abstract:
Introduction: transitional fractures occur during physeal closure of the distal tibia, with different patterns depending on the degree of maturity of the growth plate. They are rare and difficult to evaluate with radiographs. It is recommended to request complementary tests. The objective is to analyze the epidemiology and configuration of transitional, triplanar and Tillaux fractures, which have required complementary tests (computed tomography –CT– or magnetic resonance imaging –MRI–) for their diagnosis.
Material: retrospective study in which all pediatric ankle fractures that have required superior complementary tests are reviewed for 6 years. They were classified according to the classification of Salter-Harris (S-H) or of the fractures of the transition in 2 planes (Tillaux) or triplanar type I and II. We evaluate clinic, American Orthopaedic Foot and Ankle Society (AOFAS) scale and level of sports activity before/after.
Results: we reviewed 46 patients with ankle fracture (18 boys/28 girls). CT or MRI confirmed the diagnosis of 28 S-H epiphyseal fractures (60.86%), 13 triplanar (28.3%) and 5 Tillaux (10.9%). The mean age of triplanar fractures was 12.30 years (range: 9-16) and 14.8 for Tillaux (range: 13-16). Follow-up time: 38.41 months (range: 14-106). All triplanar were type II; 84.6% had intra-articular involvement. 45.15% of triplanar and 80% of Tillaux required surgical treatment. Of 46 patients 11 had complications. None presented a restriction for sports activity. The mean on the AOFAS scale was 98.9 points.
Conclusions: transitional fractures are challenging due to their complex pattern, which must be evaluated using 3-view radiographs and CT. If there are displacements greater than 2 mm, anatomical reduction and fixation are recommended, since a poor position is associated with complications.
Introducción
Las lesiones de la fisis de crecimiento epifisario distal de la tibia son las segundas en frecuencia tras las lesiones del radio distal(1). Aunque la mayoría se pueden agrupar según la clasificación de Salter y Harris (S-H), es importante analizarlas de forma individual para un correcto tratamiento(2).
Las fracturas de la transición representan un grupo raro de lesiones que ocurren en las zonas no fusionadas de la fisis tibial distal del adolescente. Representan el 15% de las lesiones del tobillo, siendo más frecuentes en varones debido al cierre más tardío de su placa de crecimiento(3,4,5). Según la convención internacional, se dividen en fracturas biplanares, también llamadas fracturas de Tillaux, y fracturas triplanares. Las triplanares se subdividen a su vez en tipo I, con un único fragmento metafisoepifisario, y tipo II, donde hay 2 trazos de fractura con un fragmento metafisario y otro epifisario (Figura 1)(6,7).
rpt.3601.fs2104008-figura1.png

Figura 1. En la figura A se ilustra una fractura de Tillaux con avulsión de la porción anterolateral de la epífisis. Las figuras B y C se corresponden con fracturas triplanares. La B de 2 fragmentos es una fractura de tipo I donde existe afectación de la parte anterolateral de la fisis y dorsal de la metáfisis. La C de 3 fragmentos se corresponde con una de tipo II, donde también existe afectación epifisaria. En azul se muestra el trazo coronal, en naranja el trazo sagital y en verde el trazo transversal.
El diagnóstico de estas lesiones es, a menudo, complejo. Su localización fisaria hace que sean difíciles de examinar mediante radiografía simple, siendo necesarias pruebas accesorias como la tomografía computarizada (TC) o la resonancia magnética (RM)(8). El objetivo del tratamiento es la reducción de la interlínea articular con un escalón inferior a 2 mm, a fin de prevenir complicaciones como el cierre fisario precoz, desviaciones de los ejes anatómicos o la osteoartritis(5,9,10).
La finalidad del estudio es analizar la configuración tridimensional de las fracturas de la transición que han precisado pruebas complementarias superiores (TC o RM) para su diagnóstico, así como evaluar los resultados clínicos y funcionales tras los tratamientos realizados.
Material y métodos
Se trata de un estudio retrospectivo realizado en el Hospital Sant Joan de Déu (Barcelona, España) entre 2013 y 2019. Se revisan todos los casos de fracturas pediátricas de tobillo (epifisiólisis y fracturas de la transición) que requirieron para su diagnóstico pruebas complementarias superiores, como la RM o la TC, durante los últimos 6 años. Los criterios de exclusión son tener fisis cerradas en el momento del traumatismo, pacientes con cirugía de tobillo previa y/o patología del tobillo ya conocida.
La revisión de las pruebas de imagen es llevada a cabo por 3 médicos traumatólogos, con diferentes niveles de experiencia, y un radiólogo. Todos categorizan el patrón de la fractura de acuerdo tanto con la clasificación S-H como con la clasificación de las fracturas de la transición: biplanar (Tillaux) o triplanares de tipo I y II, el número de fragmentos y si estos se sitúan a nivel medial o lateral. A su vez, las fracturas triplanares de tipo II se subdividen en función de si existe afectación intraarticular, con lesión del cartílago, o extraarticular, con un trazo sagital hasta el maléolo interno.
Todos los casos del estudio siguieron el mismo protocolo de tratamiento. Ante una fractura desplazada más de 2 mm se realizaba manipulación bajo sedación con control de radioscopia. Si se corregía este desplazamiento, se inmovilizaba con botín de yeso 6 semanas, con control semanal para confirmar que se mantenía la alineación. Si la reducción era insuficiente, se programaba la reducción quirúrgica, abierta o artroscópica, y fijación interna con tornillos. El protocolo postoperatorio incluía una férula posterior de 4 a 6 semanas y control radiográfico periódico.
En el seguimiento clínico, todos los pacientes debían completar la escala de la American Orthopaedic Foot and Ankle Society (AOFAS) e informar sobre su nivel de actividades deportivas antes y después del traumatismo. Además, se evaluó si existían complicaciones como: esguinces recurrentes, inflamación articular y/o dolor. El examen físico realizado en la consulta incluyó discrepancia de la longitud de la pierna, rango de movimiento activo del tobillo, parestesias y dolor en la cicatriz.
Resultados
En los últimos 6 años (2013-2019), encontramos a 46 pacientes diagnosticados de una fractura compleja de tobillo que ha precisado de pruebas de imagen superior para su diagnóstico: 18 niños y 28 niñas. La edad media en el momento de la lesión fue de 12,35 años (rango: 6-16). El tobillo derecho se vio afecto en 23 casos y el izquierdo, en la otra mitad de los casos. El tiempo medio de seguimiento fue de 38,41 meses (rango: 14-106). Si analizamos por separado las fracturas de la transición, encontramos afectados 18 de los 46 pacientes, con una edad media de 13 años, 12,30 años para las fracturas triplanares (rango: 9-16) y 14,8 años para las fracturas de Tillaux (rango: 13-16). Respecto al género, todos los casos de fractura de Tillaux fueron niños, mientras que las fracturas triplanares afectaron a niñas en un 92,3%.
Se realizaron 43 TC y 3 RM. Del total de las pruebas, el 89,1% se solicitó desde urgencias para completar el estudio de la fractura. El 10,9% restante, solicitado desde consultas externas, se utilizó para vigilar la alineación tras el tratamiento inicial y para evaluar complicaciones secundarias, tales como el cierre fisario precoz o la inestabilidad del tobillo. El nivel de concordancia interobservador tras revisar las radiografías fue del 83%, precisando pruebas complementarias superiores para alcanzar el 100%.
rpt.3601.fs2104008-figura3.png

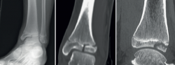
Figura 3. Imágenes radiográficas donde se ve una fractura triplanar. En la proyección lateral simula una fractura de Salter-Harris de tipo II, mientras que en la proyección coronal tiene apariencia de una fractura de tipo III o una fractura de Tillaux. Con la tomografía se puede apreciar con detalle el trazo de fractura y el desplazamiento.
La TC o la RM fueron necesarias para confirmar el diagnóstico en 13 fracturas triplanares (28,3%), 5 fracturas de Tillaux (10,9%), 4 fracturas de S-H de tipo I (8,7%), 12 fracturas de tipo II (26%), 3 fracturas de tipo III (6,5%) y 9 de tipo IV (19,6%) (Figuras 2 y 3). Del total de las fracturas de la transición, 5 fueron incorrectamente clasificadas al principio como fracturas de S-H de tipo IV y reclasificadas tras las imágenes de TC como lesiones triplanares. La mayoría de las fracturas afectaban de manera aislada a la tibia, asociando en un 23,9% de los casos fractura de peroné y en un 6,5% fracturas del tarso; mientras que en un 4,3% el trazo de fractura fisaria alcanzaba la diáfisis tibial (Figura 4).
Todas las fracturas triplanares fueron de tipo II y en 12 de los 13 casos existía afectación intraarticular. Si atendemos a su configuración tridimensional, la mayoría tenían 3 fragmentos óseos y solo observamos un caso con 4. La localización de estos fue medial en 4 casos (30,8%), lateral en 8 casos (61,5%) y bilateral en 1 caso (7,7%).
El 65,2% de los pacientes (30 casos) se trataron de forma conservadora, mientras que en el resto fue preciso un tratamiento quirúrgico. Precisaron una reducción artroscópica y posterior estabilización del fragmento con tornillos canulados 6 casos de fracturas triplanares (46,15%). En las fracturas de Tillaux, únicamente 1 caso se pudo manejar conservadoramente, mientras que el 80% restante fue tratado quirúrgicamente (Figura 5 y Tabla 1).
Casi un 24% de los pacientes presentó complicaciones (11 de 46 pacientes): 3 casos con molestias difusas, 3 casos con rigidez articular, una refractura, un síndrome del dolor regional complejo (SDRC), un cierre fisario precoz, un cuadro de celulitis, un problema con el material de osteosíntesis y un caso con esguinces de repetición. De todas las complicaciones, solo 5 afectaron a las fracturas de la transición y fueron siempre pacientes intervenidos (celulitis, problemas con el material de osteosíntesis, un SDRC y 2 casos con molestias difusas).
Durante el seguimiento, ningún paciente con fractura de la transición tuvo limitación en las actividades deportivas, si bien es cierto que algunos dejaron de practicar deportes de contacto por miedo a una nueva lesión. La puntuación en la escala de la AOFAS al final del proceso fue de 98,9 puntos, aunque hubo una pérdida de seguimiento de un paciente.
Discusión
Las fracturas del plafón tibial distal representan un grupo de lesiones comunes en niños y adolescentes, y son una de las 10 causas más frecuentes de consulta hospitalaria en traumatología infantil. Respecto a las fracturas de la transición, además de presentar una baja incidencia, su tratamiento es motivo de controversia por la baja evidencia disponible(9).
La fractura de Tillaux se describió por primera vez en 1822 y fue años después Paul Tillaux quien describió el mecanismo lesional como una avulsión secundaria a la tracción del ligamento tibiofibular anteroinferior tras un movimiento de rotación externa y supinación del tobillo. En un esqueleto inmaduro, esta región abierta representa un área de debilidad biomecánica en la tibia distal, susceptible de lesiones por avulsión(11). Así pues, se trata de una fractura intraarticular que, por tanto, precisa de una reducción anatómica de la interlínea para evitar en el futuro complicaciones como la rigidez, el dolor articular y la artrosis. No obstante, dado que ocurre cerca de la madurez esquelética, es raro el cierre prematuro de la fisis con deformidad angular(6,12).
Respecto a la fractura triplanar, su primera descripción data de 1957, cuando Bartl describió una fractura tibial con componente metafisario y epifisario(13). A pesar de algunas descripciones previas, la verdadera definición de las fracturas triplanares la hizo en 1970 el profesor Marmor, siendo confirmado 2 años después por Lynn con casos clínicos(14,15). Ellos describieron la combinación de fracturas de S-H que ocurren en los 3 planos del espacio y que envuelven al cartílago articular, la epífisis, la fisis y la metáfisis. Desde entonces, nuevas variantes han sido identificadas, teniendo en cuenta el número de fragmentos, si la fractura es medial o lateral, o si es intra- o extraarticular, pero siempre respetando su geometría triplanar(16).
Las fracturas de Tillaux y triplanares afectan generalmente a adolescentes en proceso de cierre de la placa de crecimiento. Este cierre, que dura aproximadamente 18 meses, presenta un patrón asimétrico característico, pues evoluciona desde la zona anteromedial hacia la zona posterolateral(5,17). Por tanto, las lesiones a este nivel tienen la particularidad de que pueden dañar de forma irreversible las porciones no fusionadas. Los pacientes más susceptibles tienen una edad de entre 12 y 15 años (niñas: 12 a 14; niños: 13 a 15) y raramente ocurren en menores de 10 o mayores de 16 años(3). En nuestro caso, la edad media de estos pacientes fue de 13 años y nunca afectó a mayores de 16 años. Al igual que en la literatura publicada, nuestros resultados muestran que las fracturas triplanares afectan a niños de menor edad que las de Tillaux, siendo la media de 12,30 y 14,8 años, respectivamente. Esto se debe a que el cierre de la porción anterolateral, zona de inserción del ligamento tibiofibular anterior que avulsiona la epífisis en estas fracturas, es la última en producirse(9,12,18). Respecto al género, se ha demostrado que, al alcanzar antes la madurez esquelética, las mujeres sufren esta lesión una media de 21 meses antes que los hombres(12). En nuestro estudio, la edad media de las niñas en el momento de la fractura fue de 12 años, mientras que la de los niños fue de 15 años. Sin embargo, encontramos 2 veces mayor incidencia de lesiones en niñas que en niños, al contrario de lo publicado previamente, donde se reporta una mayor incidencia en varones, al tener un proceso de crecimiento más lento.
En una radiografía simple anteroposterior, la fractura triplanar tiene apariencia de una fractura de S-H de tipo III o una fractura de Tillaux; sin embargo, en una visión lateral simula una de tipo II. Es por ello que muchas veces es clasificada erróneamente como una fractura de S-H de tipo IV(3) (Figura 3).
Para comprobar la reducción, además de valorar las proyecciones anteroposterior y lateral, es importante solicitar una proyección de mortaja para evaluar el componente vertical de la fractura de Tillaux o triplanar, que puede quedar oculto detrás de la sombra subyacente de la cortical fibular(19). Se ha demostrado que la radiografía simple resulta insuficiente para demostrar claramente el tipo, la extensión y el desplazamiento de la fractura, así como determinar el número de fragmentos(18,20). Al solicitar una TC complementaria con reconstrucción multiplanar, se minimizan los errores a la hora de clasificarlas y aumenta la precisión para cuantificar el desplazamiento intraarticular(10,19). Además, se pueden ver patrones característicos de la fractura triplanar como la estrella de “Mercedes-Benz”, que simula los 3 puntos de unión de la fractura. La RM es otra prueba alternativa que se ha utilizado para el diagnóstico de las lesiones complejas del tobillo infantil con clasificación incierta después de la radiografía simple. Ofrece la posibilidad de valorar lesiones ligamentosas y del cartílago sin irradiación. Sin embargo, el mayor gasto, los requisitos de tiempo más largos y, en algunos entornos, la disponibilidad reducida de la RM en comparación con la TC pueden limitar su utilidad en el diagnóstico de las fracturas triplanares(3,21). En nuestro caso, se solicitaron TC para el diagnóstico de urgencia, mientras que la resonancia se solicitó en 3 casos desde consultas externas para el seguimiento de la lesión. El estudio de TC fue preciso para evaluar el desplazamiento articular y además permitió reclasificar correctamente 5 fracturas triplanares que inicialmente se habían catalogado como fracturas de S-H de tipo IV. Por tanto, se recomienda solicitar pruebas de imagen complementarias a la radiografía simple en las fracturas de la transición, tanto para una clasificación correcta como para decidir y planificar el mejor tratamiento(21).
La lesión concomitante más frecuentemente descrita en la literatura es la fractura del peroné distal, seguida de la diáfisis del peroné y de las fracturas del calcáneo(9). En nuestra serie, hemos observado 2 fracturas del peroné distal y 2 de la diáfisis del peroné asociadas a las fracturas triplanares, y otras 2 fracturas del peroné distal concomitantes a las fracturas de Tillaux. Las fracturas de la diáfisis del peroné se estabilizaron siempre con aguja endomedular, mientras que solo una de las fracturas de peroné distal precisó de fijación, utilizando en este caso una placa.
Si existe un desplazamiento superior a 2 mm, se recomienda un tratamiento quirúrgico para evitar secuelas(5,10,20). En este estudio, casi la mitad de las fracturas triplanares precisaron una reducción artroscópica y la posterior estabilización de los fragmentos con tornillos canulados, mientras que el 80% de las fracturas de Tillaux requirió tratamiento quirúrgico con fijación percutánea.
El daño de la placa epifisaria medial es la complicación más frecuente de las fracturas de la fisis tibial distal, con una deformidad secundaria en varo del tobillo(9). Sin embargo, las fracturas de la transición afectan a una placa de crecimiento parcialmente cerrada, por lo que tiene un bajo potencial de crecimiento y un bajo riesgo de crecimiento asimétrico(12). No hemos encontrado dismetrías ni deformidades angulares secundarias en esta revisión; únicamente se presentaron 5 complicaciones menores que se solventaron con tratamiento médico o con la extracción del material de osteosíntesis. Ningún paciente con fractura de la transición presentó limitación posterior para realizar actividad deportiva.
Con nuestro estudio hemos querido remarcar la importancia de solicitar TC desde urgencias en aquellas fracturas de tobillo con trazos complejos que puedan llevar a un error de diagnóstico y manejo definitivo, pues en nuestro trabajo el nivel de concordancia interobservador tras revisar las radiografías fue del 83% y, además, 5 fracturas fueron incorrectamente diagnosticadas solo con la radiografía, precisando pruebas superiores para su correcto diagnóstico. Como limitaciones, al tratarse de un trabajo retrospectivo, se revisaron todas las fracturas a las que solicitaron pruebas de TC o RM, por lo que existe una cohorte muy heterogénea de donde se han estudiado con precisión las fracturas de la transición, lesiones poco frecuentes que deben ser conocidas.
Como conclusión, a pesar de representar un grupo poco frecuente dentro las lesiones del tobillo pediátrico, las fracturas de la transición suponen un reto para el traumatólogo infantil debido a su complejo patrón de fractura, que debe ser evaluado siempre mediante radiografías en 3 proyecciones y estudio con TC. En caso de encontrar desplazamientos superiores a 2 mm, se recomienda una reducción anatómica y una fijación quirúrgica de los fragmentos, pues una mala posición de estos se ha asociado con complicaciones como la pérdida de movimiento, el dolor y la osteoartritis. Al tratarse de lesiones que afectan a una placa con bajo potencial de crecimiento, el cierre fisario secundario rara vez va a producir dismetrías o deformidades angulares.
Figuras
Figura 1. En la figura A se ilustra una fractura de Tillaux con avulsión de la porción anterolateral de la epífisis. Las figuras B y C se corresponden con fracturas triplanares. La B de 2 fragmentos es una fractura de tipo I donde existe afectación de la parte anterolateral de la fisis y dorsal de la metáfisis. La C de 3 fragmentos se corresponde con una de tipo II, donde también existe afectación epifisaria. En azul se muestra el trazo coronal, en naranja el trazo sagital y en verde el trazo transversal.
Figura 3. Imágenes radiográficas donde se ve una fractura triplanar. En la proyección lateral simula una fractura de Salter-Harris de tipo II, mientras que en la proyección coronal tiene apariencia de una fractura de tipo III o una fractura de Tillaux. Con la tomografía se puede apreciar con detalle el trazo de fractura y el desplazamiento.
Figura 4. A: representa el total de las fracturas de tobillos analizadas y los patrones encontrados; B: patrones de la fractura de Tillaux; C: patrones de las fracturas triplanares.
Figura 5. Imágenes de escopia tras reducción y fijación de la fractura. A: fractura de Tillaux; B y C: fractura triplanar, visión anteroposterior y de perfil.
Tablas
Información del artículo
Cita bibliográfica
Autores
Patricia Gómez Barbero
Servicio de Cirugía Ortopédica y Traumatología. Hospital Universitario Doctor Peset. Valencia, España
Pedro Domenech Fernández
Hospital Universitari i Politècnic La Fe. Valencia
Pau Rey Vidal
Hospital Lluís Alcanyís. Xátiva, Valencia
Servicio de Cirugía Ortopédica y Traumatología. Hospital Universitario Doctor Peset. Valencia, España
Anna Bibiloni Grau
Hospital de Mataró. Barcelona
Sol Gómez Aparicio
Hospital Universitario Doctor Peset. Valencia
Responsabilidades éticas
Protección de personas y animales. Los autores declaran que para esta investigación no se han realizado experimentos en seres humanos ni en animales.
Confidencialidad de los datos. Los autores declaran que han seguido los protocolos de su centro de trabajo sobre la publicación de datos de pacientes.
Derecho a la privacidad y consentimiento informado. Los autores declaran que en este artículo no aparecen datos de pacientes.
Financiación. Los autores declaran que este trabajo no ha sido financiado.
Conflicto de intereses. Los autores declaran no tener ningún conflicto de intereses.
Referencias bibliográficas
-
1Cheng JC, Shen WY. Limb fracture pattern in different pediatric age groups: a study of 3,350 children. J Orthop Trauma. 1993;7(1):15-22.
-
2Salter RB, H, Arris WR. JBJS Classics - Injuries involving the epiphyseal plate. J Bone Jt Surg. 1963;45(A):587-622.
-
3Schnetzler KA, Hoernschemeyer D. The pediatric triplane ankle fracture. J Am Acad Orthop Surg. 2007;15(12):738-47.
-
4Stenroos A, Puhakka J, Jalkanen J, Laaksonen T, Kivisaari R, Kosola J, Nietosvaara Y. Risk of premature physeal closure in fractures of distal tibia. J Pediatr Orthop B. 2021;Jan;30(1):25-31.
-
5Castellani C, Riedl G, Eberl R, Grechenig S, Weinberg AM. Transitional fractures of the distal tibia: a minimal access approach for osteosynthesis. J Trauma. 2009 Dec;67(6):1371-5.
-
6Von Laer L. Classification, diagnosis, and treatment of transitional fractures of the distal part of the tibia. J Bone Joint Surg Am. 1985;67(5):687-98.
-
7Schneidmueller D, Sander AL, Wertenbroek M, Wutzler S, Kraus R, Marzi I, Laurer H. Triplane fractures: do we need cross-sectional imaging? Eur J Trauma Emerg Surg. 2014 Feb;40(1):37-43.
-
8Kim JR, Song KH, Song KJ, Lee HS. Treatment outcomes of triplane and tillaux fractures of the ankle in adolescence. Clin Orthop Surg. 2010;2(1):34-8.
-
9Weinberg AM, Jablonski M, Castellani C, Koske C, Mayr J, Kasten P. Transitional fractures of the distal tibia. Injury. 2005;36(11):1371-8.
-
10Devries C, Meyer Z, Abzug JM, Baldwin KD, Milbrandt TA, Hosseinzadeh P. Pediatric Ankle Fractures: When to Operate and When to Leave Alone? Instr Course Lect. 2019;68:481-8.
-
11Horn BD, Crisci K, Krug M, Pizzutillo PD, MacEwen GD. Radiologic evaluation of juvenile Tillaux fractures of the distal tibia. J Pediatr Orthop. 2001;21(2):162-4.
-
12Choudhry IK, Wall EJ, Eismann EA, Crawford AH, Wilson L. Functional outcome analysis of triplane and tillaux fractures after closed reduction and percutaneous fixation. J Pediatr Orthop. 2014;34(2):139-43.
-
13Blackburn EW, Aronsson DD, Rubright JH, Lisle JW. Ankle fractures in children. J Bone Joint Surg Am. 2012;94(13):1234-44.
-
14Marmor L. An unusual fracture of the tibial epiphysis. Clin Orthop Relat Res. 1970;73:132-5.
-
15Lynn MD. The triplane distal tibial epiphyseal fracture. Clin Orthop Relat Res. 1972;86:187-90.
-
16El-Karef E, Sadek HI, Nairn DS, Aldam CH, Allen PW. Triplane fracture of the distal tibia. Injury. 2000;31(9):729-36.
-
17Mac Nealy GA, Rogers LF, Hernandez R, Poznanski AK. Injuries of the distal tibial epiphysis: Systematic radiographic evaluation. Am J Roentgenol. 1982;138(4):683-9.
-
18Crawford AH. Triplane and Tillaux fractures: is a 2 mm residual gap acceptable? J Pediatr Orthop. 2012;32(1):69-73.
-
19Venkatadass K, Sangeet G, Prasad VD, Rajasekaran S. Paediatric Ankle Fractures: Guidelines to Management. Indian J Orthop. 2020 Oct 6;55(1):35-46.
-
20Jones S, Phillips N, Ali F, Fernandes JA, Flowers MJ, Smith TW. Triplane fractures of the distal tibia requiring open reduction and internal fixation. Pre-operative planning using computed tomography. Injury. 2003 May;34(4):293-8.
-
21Seifert J, Matthes G, Hinz P, Paris S, Mutze S, Ekkernkamp A, Stengel D. Role of magnetic resonance imaging in the diagnosis of distal tibia fractures in adolescents. J Pediatr Orthop. 2003 Nov-Dec;23(6):727-32.
Descargar artículo:
Licencia:
Este contenido es de acceso abierto (Open-Access) y se ha distribuido bajo los términos de la licencia Creative Commons CC BY-NC-ND (Reconocimiento-NoComercial-SinObraDerivada 4.0 Internacional) que permite usar, distribuir y reproducir en cualquier medio siempre que se citen a los autores y no se utilice para fines comerciales ni para hacer obras derivadas.
Comparte este contenido
En esta edición
- Ramón Viladot y la <em>Revista del Pie y Tobillo</em>
- Tratamiento de la rotura del tendón de Aquiles: estado actual de la evidencia científica
- Fracturas complejas del tobillo en edad pediátrica: análisis de las fracturas de la transición y revisión de nuestros resultados
- Resultados clínicos y radiológicos tras el tratamiento quirúrgico del síndrome de Haglund mediante desinserción completa, calcaneoplastia y reinserción en doble hilera del tendón de Aquiles
- Osteotomía de alargamiento de la columna externa en el tratamiento del pie plano del adulto: nuestra experiencia
- Schwannoma en el pie y tobillo. A propósito de 3 casos
- Reconstrucción de una rotura del tendón extensor común de los dedos debida a un osteofito talar en un maratoniano. A propósito de un caso
- Fractura-luxación cerrada dorsal del escafoides tarsiano: a propósito de un caso y revisión bibliográfica
- Descripción de la técnica WALANT en la cirugía del antepié en tiempos de COVID-19
- Comentario a “Descripción de la técnica WALANT en la cirugía del antepié en tiempos de COVID-19”
- Revista de revistas
- <em>In memoriam</em> Ramón Viladot Pericé (1942-2022)
- <em>In memoriam</em> Dr. Carlos Enrique Torner Baduell
Más en PUBMED
Más en Google Scholar
Más en ORCID


Revista del pie y tobillo está distribuida bajo una licencia de Creative Commons Reconocimiento-NoComercial-SinObraDerivada 4.0 Internacional.












