Símbolo Fondo Science

Contacte para más información en el teléfono +34 629 829 605

Revista del Pie y Tobillo

Sociedad Española de Medicina y Cirugía del Pie y Tobillo

Cabecera Vol. 36. Núm. 1. Enero-Junio 2022
ISSN online: 2173-2949
ISSN impreso: 1697-2198
Vol. 36. Núm. 1. Enero-Junio 2022
10.24129/j.rpt.3601.fs2112031
Recibido: 7 de diciembre de 2021
Aceptado: 3 de mayo de 2022
Notas clínicas

Reconstrucción de una rotura del tendón extensor común de los dedos debida a un osteofito talar en un maratoniano. A propósito de un caso

Reconstruction of extensor digitorum longus tendon due to a talar osteophyte in a marathoner. A case report

Rev Pie Tobillo. 2022;36(1):42-7

Resumen: 

Introducción: la rotura del tendón extensor común de los dedos es una entidad poco frecuente en la que no suele haber un traumatismo agudo como desencadenante. Los pacientes suelen tener dificultad para calzarse y padecen debilidad y fatiga muscular a la hora de andar o correr por la caída de los dedos y la falta de flexión dorsal del tobillo.

Material y métodos: presentamos el caso de un maratoniano de 63 años que, tras una carrera, nota un chasquido en el tobillo con posterior tumefacción y debilidad para la flexión dorsal de los dedos 2-4 del pie y que fue tratado de forma quirúrgica mediante una reconstrucción tendinosa con aloinjerto de gracilis y sutura de tipo Pulvertaft.

Resultados: la evolución del paciente ha sido satisfactoria, desapareciendo la fatiga y la debilidad de los dedos y el tobillo, y retornando a su actividad deportiva sin complicaciones reseñables.

Conclusiones: son lesiones poco frecuentes en las que es imprescindible eliminar el factor desencadenante de la lesión, como en este caso un osteofito talar, y en las que la transferencia tendinosa o la reconstrucción con aloinjerto son opciones válidas para su reparación.

Abstract: 

Introduction: rupture of the extensor digitorum longus tendon is a rare entity in which there is usually no acute trauma as a trigger. Patients often have difficulty putting on shoes and suffer from muscle weakness and fatigue when walking or running due to drooping toes and lack of ankle dorsiflexion.

Material and methods: we present the case of a 63-year-old marathoner who, after a race, notices a clicking sound in the ankle with subsequent swelling and weakness for dorsiflexion of fingers 2-4 of the foot, and who was treated surgically by means of a tendon reconstruction with gracilis allograft and Pulvertaft suture.

Results: the evolution of the patient has been satisfactory, with the fatigue and weakness of the fingers and ankle disappearing and returning to his sports activity without notable complications.

Conclusions: these are rare injuries in which it is essential to eliminate the triggering factor of the injury, such as in this case a talar osteophyte, and in which tendon transfer or allograft reconstruction are valid options to repair this type of injury.

Introducción

Las roturas del extensor común de los dedos (ECD) son infrecuentes y están poco documentadas en la bibliografía. Son más comunes las lesiones por heridas y laceraciones abiertas que las roturas espontáneas cerradas. Es poco conocido el mecanismo de producción y sobre todo el lugar de la rotura del ECD. Parece que este tipo de lesiones suelen ocurrir en la zona del retináculo extensor inferior del tobillo, cuando se produce un mecanismo de flexión plantar máxima del tobillo y se genera el despegue en el suelo del primer dedo(1).

Este sería el segundo caso documentado en la bibliografía en el que se produce una rotura espontánea del extensor común de los dedos segundo, tercero y cuarto debido a un osteofito talar.

El paciente fue informado de la publicación del artículo y dio su consentimiento verbal y escrito.

Material y métodos

Presentamos el caso de un varón de 63 años que acude a urgencias porque, tras un entrenamiento de carrera continua, nota un chasquido en su tobillo y presenta una debilidad de los dedos del pie. Inicialmente, fue diagnosticado de una tenosinovitis del ECD y se envió a consultas externas para ampliar el estudio mediante una resonancia magnética (RM) del pie que informa de tenosinovitis sin apariencia de rotura de los tendones extensores.

rpt.3601.fs2112031-figura1.png


Figura 1. Corte sagital de la resonancia magnética en el que podemos observar la rotura completa del extensor común de los dedos (ECD) con un osteofito talar prominente y el muñón proximal del ECD.

El paciente es remitido a neurología y se solicita una electromiografía (EMG) de los miembros inferiores, en la cual se observa una neuropatía leve axonal-desmielinizante del nervio peroneo profundo.

rpt.3601.fs2112031-figura2.png


Figura 2. Pie derecho: imagen prequirúrgica en la que podemos comprobar la pérdida de flexión dorsal de los dedos segundo, tercero y cuarto en comparación con el pie contralateral.

Tras estos hallazgos y ante la persistencia de la imposibilidad de realizar una flexión dorsal de los dedos segundo, tercero y cuarto, se decide realizar una RM del tobillo, donde aparece una rotura completa del ECD de los dedos segundo, tercero y cuarto, y la presencia de un osteofito talar como posible causa de la fricción repetitiva y la degeneración progresiva de los tendones que degeneró en rotura completa (Figura 1).

rpt.3601.fs2112031-figura3.png


Figura 3. Imagen quirúrgica en la que vemos la rotura completa del extensor común de los dedos segundo, tercero y cuarto tras su disección cuidadosa, ya que se encontraban englobados en un tejido fibroso cicatricial. Podemos observar el gap existente con el muñón proximal.

El paciente presentaba dificultad para andar descalzo y para ponerse los calcetines, así como debilidad y fatiga al andar y correr distancias largas, ya que corría unos 100 km semanales y 3-4 maratones nacionales anuales. Clínicamente, el paciente no podía realizar la flexión dorsal de los dedos segundo, tercero y cuarto, y sí la flexión dorsal del extensor hallucis longus (EHL) (Figura 2).

rpt.3601.fs2112031-figura4.png


Figura 4. Aloinjerto de tendón gracilis utilizado para realizar la reconstrucción tendinosa. Medía unos 28 cm.

Debido a la sintomatología del paciente y a la demanda de retomar su actividad deportiva de alta intensidad, decidimos realizar un tratamiento quirúrgico mediante la reconstrucción del ECD con aloinjerto de gracilis y una sutura de tipo Pulvertaft uniendo los cabos proximales y distales, junto a la exéresis del osteofito talar, evitando así un autoinjerto que provocara mayor morbilidad al paciente.

rpt.3601.fs2112031-figura5.png


Figura 5. Imagen de la reconstrucción tendinosa de la rotura completa del extensor común de los dedos (ECD) segundo, tercero y cuarto mediante un aloinjerto de gracilis plegado sobre sí mismo a modo de doble lazada y suturado a nivel distal sobre los extremos tendinosos y a nivel proximal sobre el muñón proximal del ECD.

Se realizó un abordaje longitudinal dorsal sobre el tobillo, entre el ECD y el EHL, continuando con la apertura longitudinal del retináculo extensor inferior. Observamos la rotura completa del ECD de los dedos segundo, tercero y cuarto, cuyos cabos distales se encontraban adheridos a un tejido cicatricial y al extensor del quinto dedo, el cual estaba en perfecto estado (Figura 3). A nivel proximal localizamos el cabo proximal del ECD y procedimos a la disección cuidadosa del paquete neurovascular del nervio peroneo profundo y a la apertura capsular para retirar el osteofito talar, que tenía unas dimensiones de 2 cm de ancho por 1 cm de alto.

rpt.3601.fs2112031-figura6.png


Figura 6. Imagen ilustrativa de la reconstrucción de la rotura compleja del extensor común de los dedos (ECD) segundo, tercero y cuarto mediante un aloinjerto de gracilis plegado sobre sí mismo, al cual se suturó en la zona distal los cabos distales del extensor de los dedos segundo, tercero y cuarto, y, en su zona proximal, al muñón proximal del ECD mediante sutura de tipo Pulvertaft.

Para la reconstrucción tendinosa se utilizó un aloinjerto de banco de unos 28 cm de longitud (Figura 4), el cual se plegó sobre sí mismo realizando una doble lazada con una longitud de unos 14 cm, a la cual fueron suturados los tendones extensores segundo, tercero y cuarto, y la parte más proximal del aloinjerto se suturó al muñón proximal del ECD mediante una sutura entrelazada de tipo Pulvertaft con el tobillo y los dedos en flexión dorsal (Figuras 5 y 6). Tras la reparación, se suturó el retináculo extensor evitando el efecto cuerda del tendón.

Resultados

El paciente fue inmovilizado con una férula suropédica en flexión dorsal durante 3 semanas. Tras este periodo de inmovilización se colocó una bota cam walker, comenzando la carga parcial durante 1 semana y la carga total durante 1 semana más; a continuación, se retiró la bota. A las 3 semanas, se inició la fisioterapia permitiendo ejercicios activos y resistidos, y comenzando con ejercicio de bajo impacto como bicicleta y elíptica.

rpt.3601.fs2112031-figura7.png


Figura 7. Imagen al año de la cirugía en la que podemos observar un mantenimiento de la flexión dorsal del extensor común de los dedos.

A los 2 meses, el paciente practicaba carrera continua suave y, a los 3 meses de la intervención, realizaba una actividad deportiva similar a la de antes de la intervención.

rpt.3601.fs2112031-figura8.png


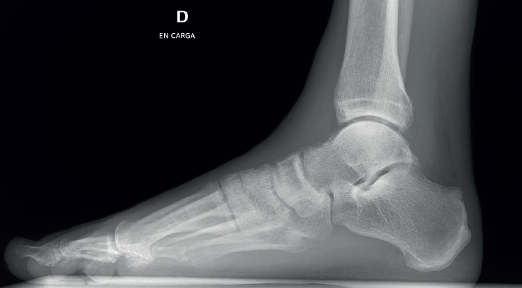
Figura 8. Radiografía lateral del tobillo con ausencia total del osteofito talar causante de la rotura completa del extensor común de los dedos.

El paciente mejoró su calidad de vida debido a que desapareció la fatiga muscular del tobillo y la pierna, sobre todo con el ejercicio, y no tenía dificultad para calzarse. Era capaz de realizar una flexión dorsal de los extensores del segundo al cuarto dedo (Figura 7) y no presentó adherencias cicatriciales en el dorso de la herida, pero sí una cicatriz queloide no sintomática. En las imágenes radiográficas observamos la desaparición del osteofito talar (Figura 8).

El paciente ha sido dado de alta al año de su intervención debido a la buena evolución y ha vuelto a la competición de alto nivel, ganando un medio Ironman de veteranos.

Discusión

Las lesiones del ECD son extremadamente raras y se encuentran poco documentadas en la literatura; por lo tanto, tampoco existe un consenso claro acerca de cuál es el mejor tratamiento de este tipo de lesiones. En el caso de las lesiones por laceraciones abiertas, debe realizarse un tratamiento quirúrgico; sin embargo, las lesiones cerradas podrían tratarse de forma conservadora en un primer momento.

Anzel et al.(2) recogió una muestra larga de pacientes con lesiones en los tendones extensores de tobillo. Las lesiones de los extensores de los dedos correspondían al 11% y todas ellas fueron lesiones producidas por laceraciones y heridas en la piel.

Este sería el segundo artículo de toda la bibliografía actualizada en el cual se reporta una lesión del ECD de los dedos segundo, tercero y cuarto debido a un osteofito talar.

En cuanto al estudio de cuál es la causa y la posición del tobillo que favorece este tipo de lesiones, Hattori(1) realizó un estudio en cadáver, observando que se producen principalmente debajo del retináculo extensor inferior del tobillo y que la presión sobre este es entre 5 y 10 veces más con la flexión plantar del mismo. Por lo que la ruptura final de estos tendones podría provocarse tras un proceso degenerativo constante, sobre todo si existe la presencia de osteofitos y un movimiento de despegue brusco en flexión plantar de tobillo.

rpt.3601.fs2112031-tabla1.png


Tabla 1. Literatura de rotura del tendón extensor común de los dedos

Hemos encontrado solo 7 casos con lesiones del ECD (Tabla 1). En 5 de ellos solo se produjo la rotura de un tendón(1,3,4,5,6), en otro caso publican una rotura del extensor de los dedos tercero y cuarto(7), y Hamaoka(8) describe una lesión semejante a nuestro caso con una lesión del ECD de los dedos segundo al cuarto a consecuencia de un gran osteofito talar. De todos ellos, 4 casos fueron por causa desconocida y 2 se produjeron debido a un osteofito.

Las principales técnicas quirúrgicas utilizadas para la reparación de estas lesiones fueron: en uno de los casos, debido a la escasa distancia entre cabos, una sutura término-terminal(3), mientras que en la mayoría de los casos (un total de 5) se realizó una transferencia tendinosa al resto de los extensores(1,4,5,6,7).

Hamaoka(8) utilizó un aloinjerto de palmaris longus para realizar la reconstrucción tendinosa, caso muy parecido al nuestro, en el que utilizamos un aloinjerto de gracilis plegado sobre sí mismo y suturado al extremo distal sobre los tendones extensores segundo, tercero y cuarto, y al muñón proximal del ECD mediante una sutura de tipo Pulvertaft. Estos 2 casos son los únicos publicados en la literatura actual.

En nuestro caso, no se planteó una sutura término-terminal debido al enorme gap entre cabos tendinosos y tampoco una transferencia tendinosa por no sacrificar la función de otros tendones y debilitar en fuerza y función al tobillo de nuestro paciente.

En estos casos debemos saber que lo más importante no es solo reconstruir el defecto tendinoso para recuperar la función, sino descubrir la causa que provoca dicha rotura, ya que los osteofitos talares pueden ser una causa traumática que ocasiona una fricción constante sobre el ECD que acabe provocando la degeneración y la posterior rotura de estos tendones.

Es muy importante una buena exploración física y un estudio radiológico completo del pie y el tobillo, ya que en nuestro caso el diagnóstico se demoró unas semanas al centrar las pruebas en el pie y no detectar esta rotura de forma precoz.

Figuras

Figura 1. Corte sagital de la resonancia magnética en el que podemos observar la rotura completa del extensor común de los dedos (ECD) con un osteofito talar prominente y el muñón proximal del ECD.

Figura 2. Pie derecho: imagen prequirúrgica en la que podemos comprobar la pérdida de flexión dorsal de los dedos segundo, tercero y cuarto en comparación con el pie contralateral.

Figura 3. Imagen quirúrgica en la que vemos la rotura completa del extensor común de los dedos segundo, tercero y cuarto tras su disección cuidadosa, ya que se encontraban englobados en un tejido fibroso cicatricial. Podemos observar el gap existente con el muñón proximal.

Figura 4. Aloinjerto de tendón gracilis utilizado para realizar la reconstrucción tendinosa. Medía unos 28 cm.

Figura 5. Imagen de la reconstrucción tendinosa de la rotura completa del extensor común de los dedos (ECD) segundo, tercero y cuarto mediante un aloinjerto de gracilis plegado sobre sí mismo a modo de doble lazada y suturado a nivel distal sobre los extremos tendinosos y a nivel proximal sobre el muñón proximal del ECD.

Figura 6. Imagen ilustrativa de la reconstrucción de la rotura compleja del extensor común de los dedos (ECD) segundo, tercero y cuarto mediante un aloinjerto de gracilis plegado sobre sí mismo, al cual se suturó en la zona distal los cabos distales del extensor de los dedos segundo, tercero y cuarto, y, en su zona proximal, al muñón proximal del ECD mediante sutura de tipo Pulvertaft.

Figura 7. Imagen al año de la cirugía en la que podemos observar un mantenimiento de la flexión dorsal del extensor común de los dedos.

Figura 8. Radiografía lateral del tobillo con ausencia total del osteofito talar causante de la rotura completa del extensor común de los dedos.

Tablas

Tabla 1. Literatura de rotura del tendón extensor común de los dedos

Cita bibliográfica

Hortelano Marco S, Navarro Mont R, Guillén Vicente I, Guillén García P, Pérez Pérez MD, Ruiz Carrilero NReconstrucción de una rotura del tendón extensor común de los dedos debida a un osteofito talar en un maratoniano. A propósito de un caso. Rev Pie Tobillo. 2022;36(1):42-7. doi: 10.24129/j.rpt.3601.fs2112031

Responsabilidades éticas

Protección de personas y animales. Los autores declaran que para esta investigación no se han realizado experimentos en seres humanos ni en animales.

Confidencialidad de los datos. Los autores declaran que han seguido los protocolos de su centro de trabajo sobre la publicación de datos de pacientes.

Derecho a la privacidad y consentimiento informado. Los autores declaran que en este artículo no aparecen datos de pacientes.

Financiación. Los autores declaran que este trabajo no ha sido financiado.

Conflicto de intereses. Los autores declaran no tener ningún conflicto de intereses.

Referencias bibliográficas

  • 1
    Hattori K, Hiraoka S, Ishida Y, Sugimoto K, Tanaka Y, Morita Y, Takakura Y. Closed rupture of the extensor digitorum longus tendon: a case report and biomechanical analysis of rupture mechanism. Case report. The Foot. 2007;17:220-3.
  • 2
    Anzel SH, Covey KW, Weiner AD, Lipscomb PR. Disruption of muscles and tendons; an analysis of 1,014 cases. Surgery. 1959;45:406-14.
  • 3
    Masachi I, Aoki H. [A case report of right 2nd subcutaneous extensor digitorum longus tendon rupture by ski boots]. Kanto J Orthopedics Traumatol. 1994;25:781.
  • 4
    Hiramitsu T, Iwasaki R, Kawamoto M, Sugitani S, Kato A, Mizuno T, Nagahara R. [A case report of right 5th subcutaneous extensor digitorum longus tendon rupture]. Cent Jpn Orthop Traumat. 1998;41:255-6.
  • 5
    Ishida Y, Hiraoka S, Hattori K, Tanaka Y Takakura Y. [A case report of subcutaneous extensor digitorum longus tendon rupture]. Cent Jpn Orthop Traumat. 2005;48:36.
  • 6
    Wada H, Zukawa M, Osada R, Kimura T. [Closed rupture of extensor digitorum longus tendon that occurred in patients with polyangiitis: case report]. Orthop Surg. 2017;68:248-9.
  • 7
    Yukizane K. [A case report of subcutaneous extensor digitorum longus tendon rupture with chief complaint of floating 5th toe]. J Jpn Coc Surg Foot. 2017;38:350.
  • 8
    Hamaoka K, Watanabe K, Kamiya T, Teramoto A, Yamashita T. Nontraumatic chronic subcutaneous extensor digitorum longus tendon rupture in a recreational runner. A case report. JBJS Case Connect. 2020;10(2):e0058.

Descargar artículo: 

Icono PDF rpt.3601.fs2112031-reconstruccion-rotura-tendon-extensor.pdf

Licencia: 

Este contenido es de acceso abierto (Open-Access) y se ha distribuido bajo los términos de la licencia Creative Commons CC BY-NC-ND (Reconocimiento-NoComercial-SinObraDerivada 4.0 Internacional) que permite usar, distribuir y reproducir en cualquier medio siempre que se citen a los autores y no se utilice para fines comerciales ni para hacer obras derivadas.

Comparte este contenido

En esta edición