Símbolo Fondo Science

Contacte para más información en el teléfono +34 629 829 605

Revista del Pie y Tobillo

Sociedad Española de Medicina y Cirugía del Pie y Tobillo

Cabecera Vol. 36. Núm. 2. Julio-Diciembre 2022
ISSN online: 2173-2949
ISSN impreso: 1697-2198
Vol. 36. Núm. 2. Julio-Diciembre 2022
10.24129/j.rpt.3602.fs2110029
Recibido: 22 de octubre de 2021
Aceptado: 25 de junio de 2022
Notas clínicas

Angioma cavernoso del astrágalo y reconstrucción con técnica de membrana inducida. Reporte de un caso y revisión de la literatura

Cavernous angioma of the talus and reconstruction with induced membrane technique. Case report and review of the literature

Rev Pie Tobillo. 2022;36(2):136-41

Resumen: 

Se trata de una paciente de 13 años de edad con un cuadro clínico de 1 año de evolución caracterizado por dolor y limitación funcional en el tobillo. Se realiza radiografía donde se evidencia una lesión en el astrágalo de matriz mixta y bordes poco diferenciados. En la tomografía computarizada (TC) se evidencia una imagen de matriz homogénea, bordes definidos lobulados y aparentemente la lesión no atraviesa la cortical del astrágalo. Como parte del protocolo se realiza una gammagrafía con Tc99. Realizamos una biopsia incisional que informa un tumor vascular con atipia celular y la posibilidad de una neoplasia maligna, por lo que se realiza una exéresis de todo el astrágalo y se coloca un espaciador con polimetilmetacrilato, además de un fijador externo. El resultado de patología de todo el astrágalo informa un hemangioma cavernoso intraóseo. Posteriormente, se reconstruye el astrágalo basado en la técnica de Masquelet con injerto de peroné y chips de hueso esponjoso, se fija temporalmente con un fijador externo 2 meses y aparato de yeso 1 mes más, para luego iniciar descarga y rehabilitación. Actualmente presenta leve limitación en los arcos de movimiento del tobillo y camina sin dolor.

El hemangioma cavernoso intraóseo es un tumor extremadamente raro y más aún en el astrágalo, solo hay 3 descripciones previas, por lo cual el diagnóstico es dificultoso. El manejo y la reconstrucción se realizaron basados en la técnica de membrana inducida descrita por Masquelet con buenos resultados funcionales.

La reconstrucción de los defectos óseos en el pie se puede realizar con el método de membrana inducida con buenos resultados radiológicos y funcionales.

Abstract: 

This is a 13-year-old patient with pain of 1 year of evolution and functional limitation in the ankle. An x-ray is performed where a lesion in the talus of mixed matrix is evidenced, little differentiated edges. In computed tomography (CT) it is evidenced an image of a homogeneous matrix, defined lobulated edges and apparently the lesion does not cross the cortical of the talus. As part of the protocol, a Tc99 scan is performed. We perform an incisional biopsy that informs us of a vascular tumor with cellular atypia and the possibility of a malignant neoplasm, for which an excision of the entire talus is performed, and a spacer with polymethylmethacrylate is placed in addition to an external fixator. The whole talus pathology result reports an intraosseous cavernous hemangioma. Subsequently, the talus is reconstructed based on the Masquelet technique with fibula graft and cancellous bone chips and is temporarily fixed with an external fixator for 2 months, and a plaster cast for another month, to then start download and rehabilitation. He currently presents slight limitation in the arches of movement of the ankle and walks without pain.

Intraosseous cavernous hemangioma is an extremely rare tumor, and even more so in talus, there are only 3 previous descriptions for which the diagnosis is difficult.

The management and reconstruction was performed based on the induced membrane technique described by Masquelet with good functional results.

Introducción

Los tumores óseos del pie constituyen el 3% de todos los tumores óseos, mientras que los tumores óseos localizados en el astrágalo constituyen del 8 al 23% de los tumores óseos del pie(1). Las lesiones óseas pseudotumorales son lesiones que tienen apariencia y características citogenéticas de neoplasia, mientras que su comportamiento clínico apoya una naturaleza no neoplásica. La importancia de las lesiones óseas pseudotumorales es que son muy comunes y su apariencia radiológica imita la de los verdaderos tumores óseos, incluidas las lesiones malignas. No hay pautas definidas disponibles para su manejo(2).

rpt.3602.fs2110029-figura1.png


Figura 1. Imagen de rayos X donde se evidencia una lesión con matriz mixta, que ocupa toda la extensión del astrágalo.

Las células tumorales no se depositan en todos los huesos a la misma velocidad, lo que indica que la siembra de células tumorales no es sospechosa y/o el suelo dentro de diferentes huesos no es adecuado para el crecimiento tumoral. Por ejemplo, los tumores a menudo se encuentran en huesos ricos en médula roja y hueso trabecular, como las vértebras, las costillas, la pelvis y los extremos de los huesos largos, pero rara vez se presentan en los huesos de las manos o los pies(3). Más de la mitad de la superficie del astrágalo está cubierta de cartílago articular. La mayor parte del cuerpo del astrágalo recibe su sangre de forma retrógrada (distal a proximal) a través de una anastomosis alrededor del cuello del astrágalo. La escasa circulación en el cuerpo del astrágalo lo hace susceptible a la necrosis avascular. El astrágalo ofrece un entorno anatómico único y presenta problemas inusuales para el tratamiento quirúrgico que conllevan la recurrencia de los tumores, fracturas, necrosis avascular y difícil restauración de la función(1,2).

rpt.3602.fs2110029-figura2.png


Figura 2. Tomografía computarizada del pie donde se evidencia lesión que compromete el astrágalo, aparentemente insuflativa, sin niveles dentro de la lesión, que compromete los 4/5 posteriores del astrágalo, con bordes escleróticos festoneados.

Las lesiones de tipo pseudotumoral son alteraciones óseas no neoplásicas y relativamente frecuentes. Son lesiones que imitan radiológica, morfológica e histológicamente a los tumores óseos. Los gangliones intraóseos, el fibroma no osificante, la displasia fibrosa, la osteomielitis y el infarto óseo se encuentran entre las lesiones tumorales más comunes(4). El astrágalo puede involucrar tumores primarios, lesiones pseudotumorales y metástasis, pero el astrágalo es una ubicación rara para los tumores(2,4). Hay escasos artículos en la literatura sobre tumores localizados en el astrágalo.

rpt.3602.fs2110029-figura3.png


Figura 3. Gammagrafía con Tc99 que informa hipercaptación en el astrágalo y el tobillo.

Específicamente sobre el hemangioma cavernoso en el astrágalo solo hay una descripción en la literatura. Es un tumor vascular benigno poco frecuente. Representa aproximadamente el 1% de todos los tumores óseos primarios. Se considera raro encontrarlo en el pie(5). La reconstrucción como parte del tratamiento en tumores del astrágalo es complicada por la irrigación especial que presenta. En concreto, en nuestro caso utilizamos un espaciador con polimetilmetacrilato (PMM) y utilizamos el método de membrana inducida descrito por Masquelet(6).

Presentación del caso

Se trata de RSO, de 13 años de edad, que acude a la consulta de ortopedia pediátrica con un cuadro clínico de 1 año de evolución caracterizado por dolor y limitación funcional en el tobillo, según lo que refiere posterior a sufrir una torcedura. Al examen físico se evidencia aumento de volumen, dolor a la palpación en el tobillo y arcos de movimiento limitados. Se realizan imágenes de rayos X donde se evidencia una lesión con matriz mixta, que ocupa toda la extensión del astrágalo (Figura 1). En la tomografía computarizada (TC) del pie se evidencia lesión que compromete el astrágalo, aparentemente insuflativa, sin niveles dentro de la lesión, que compromete los 4/5 posteriores del astrágalo y con bordes escleróticos festoneados (Figura 2). Como parte del protocolo de tumores óseos, se realiza una gammagrafía con tecnecio 99 que informa hipercaptación en el astrágalo y el tobillo (Figura 3). Cuenta con exámenes de laboratorios que informan: hemograma dentro de parámetros normales, fosfatasa alcalina de 147 mg/dL y deshidrogenasa láctica de 150 U/L.

rpt.3602.fs2110029-figura4.png


Figura 4. Biopsia del astrágalo.

Se realiza la biopsia tomando 3 muestras del astrágalo según el protocolo (Figura 4); el abordaje realizado es el anterolateral para el tobillo. Patología informa hallazgos histológicos compatibles con una neoplasia quística fibrohistiocitaria con atipia leve a moderada; los hallazgos histológicos sugieren un quiste óseo aneurismático vs. osteosarcoma teleangiectásico.

rpt.3602.fs2110029-figura5.png


Figura 5. Escisión completa del astrágalo. Estabilización con fijador externo y colocación de espaciador de polimetilmetacrilato moldeado con forma de astrágalo.

Ante la posibilidad de encontrarnos ante una neoplasia maligna y al casi no tener opción de una nueva biopsia incisional, se decide retirar el astrágalo por un abordaje anterolateral del tobillo. El astrágalo ya se encontraba deformado, con la superficie articular con signos de degeneración, inclusive con la superficie dorsal colapsada. Posteriormente se coloca un espaciador de PMM y un fijador externo (Figura 5).

rpt.3602.fs2110029-figura6.png


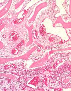
Figura 6. Anatomía patológica del astrágalo.

Se realiza un nuevo estudio histopatológico que reporta hemangioma cavernoso óseo y que no encuentra la atipia reportada en la primera muestra (Figura 6). Al evidenciar una lesión benigna, lo que quedaba era la reconstrucción. Se utiliza el método de membrana inducida descrito por Masquelet; se espera 6 semanas para la maduración de la membrana, se retira el espaciador con PMM y se coloca un injerto de peroné y tejido esponjoso. Además, se mantiene el fijador externo (Figura 7).

rpt.3602.fs2110029-figura7.png


Figura 7. Retirada del espaciador de polimetilmetacrilato y colocación de injerto óseo de peroné.

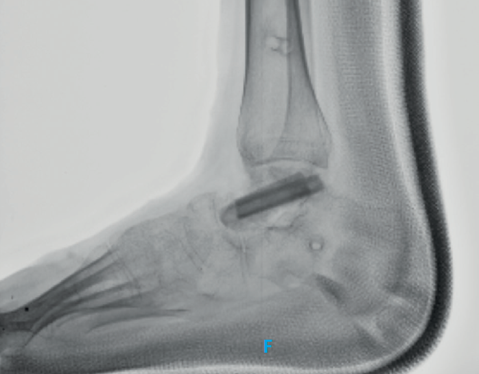
Tras 8 semanas, se decide retirarlo y se coloca un aparato de yeso suropédico, además de iniciar la carga parcial progresiva. En los rayos X se evidencian signos de remodelación del injerto (Figura 8). Se mantiene la inmovilización durante 2 meses y se consigue la carga total sin dolor.

rpt.3602.fs2110029-figura8.png


Figura 8. Imagen de rayos X donde se evidencian signos de remodelación del injerto.

La paciente deja de utilizar la férula para iniciar la fisioterapia. Logra caminar sola sin ayuda y sin dolor, aunque persiste una leve limitación en los arcos de movimiento (Figura 9). En los rayos X a los 4 meses tras la operación se evidencia una mayor osificación del injerto (Figura 10).

rpt.3602.fs2110029-figura9.png


Figura 9. La paciente logra caminar sola sin ayuda y sin dolor; persiste una leve limitación.

Discusión

El hemangioma cavernoso intraóseo primario es un tumor óseo muy poco común; la mayoría de los casos fueron descritos en el cráneo y la columna vertebral. Son varios los autores que describen estas lesiones en huesos del pie: Dorfman encontró 2 en el pie (calcáneo y tarso)(7); Murani describe 3 casos (2 en el metatarso y 1 en el astrágalo)(8); Sheth et al. y Wu describen hemangiomas en el calcáneo(9,10). En total hay 3 casos de hemangiomas en el astrágalo descritos en toda la literatura, lo que hace considerar nuestro caso como una referencia para su diagnóstico y tratamiento.

rpt.3602.fs2110029-figura10.png


Figura 10. Radiografía a los 4 meses postoperatorios que evidencia una mayor osificación del injerto.

La reconstrucción se realizó basándose en la técnica de membrana inducida descrita por Masquelet(6), que se describe en un caso clínico de reconstrucción del astrágalo con esta técnica realizada por Taylor en 2012(11), en la cual también mantienen la fijación con un tutor externo; sin embargo, nuestro caso es la primera descripción en un paciente pediátrico.

Al ser un caso tan raro, las opciones terapéuticas eran pocas. El hecho de haber realizado una biopsia en un hueso prácticamente vacío, con un resultado de patología incierto nos ponía en la encrucijada de realizar un tratamiento más agresivo como una amputación y que nos informaran de un tumor benigno o la exéresis del astrágalo en la que nos informaran de un tumor maligno. En nuestro caso la exéresis del astrágalo fue suficiente, pero el desafío fue la reconstrucción.

La decisión de poner un espaciador en el astrágalo ya retirado fue realizada basándose en un principio de membrana inducida, técnica ya descrita, pero poco utilizada en la pérdida ósea del mediopié. Otra opción era realizar una artrodesis del tobillo con el calcáneo, pero es importante considerar que se trata de un paciente adolescente con un potencial regenerativo alto y una artrodesis significaría disminuir el tamaño del pie y alteraría la biomecánica de la marcha. Por estos motivos, nos inclinamos por realizar una técnica que conservara el tamaño y la forma del pie, con una mínima pérdida de la funcionalidad.

Conclusión

Concluimos que la reconstrucción de defectos óseos con la técnica de membrana inducida puede ser aplicada a los huesos del tarso con buenos resultados clínicos y radiológicos.

Figuras

Figura 1. Imagen de rayos X donde se evidencia una lesión con matriz mixta, que ocupa toda la extensión del astrágalo.

Figura 2. Tomografía computarizada del pie donde se evidencia lesión que compromete el astrágalo, aparentemente insuflativa, sin niveles dentro de la lesión, que compromete los 4/5 posteriores del astrágalo, con bordes escleróticos festoneados.

Figura 3. Gammagrafía con Tc99 que informa hipercaptación en el astrágalo y el tobillo.

Figura 4. Biopsia del astrágalo.

Figura 5. Escisión completa del astrágalo. Estabilización con fijador externo y colocación de espaciador de polimetilmetacrilato moldeado con forma de astrágalo.

Figura 6. Anatomía patológica del astrágalo.

Figura 7. Retirada del espaciador de polimetilmetacrilato y colocación de injerto óseo de peroné.

Figura 8. Imagen de rayos X donde se evidencian signos de remodelación del injerto.

Figura 9. La paciente logra caminar sola sin ayuda y sin dolor; persiste una leve limitación.

Figura 10. Radiografía a los 4 meses postoperatorios que evidencia una mayor osificación del injerto.

Cita bibliográfica

Peña Orozco FR, Fuentes Gutierrez CAngioma cavernoso del astrágalo y reconstrucción con técnica de membrana inducida. Reporte de un caso y revisión de la literatura. Rev Pie Tobillo. 2022;36(2):136-41. doi: 10.24129/j.rpt.3602.fs2110029

Responsabilidades éticas

Protección de personas y animales. Los autores declaran que para esta investigación no se han realizado experimentos en seres humanos ni en animales.

Confidencialidad de los datos. Los autores declaran que han seguido los protocolos de su centro de trabajo sobre la publicación de datos de pacientes y que todos los pacientes incluidos en el estudio han recibido información suficiente y han dado su consentimiento informado por escrito para participar en dicho estudio.

Derecho a la privacidad y consentimiento informado. Los autores declaran que en este artícu­lo no aparecen datos de pacientes.

Financiación. Los autores declaran que este trabajo no ha sido financiado.

Conflicto de intereses. Los autores declaran no tener ningún conflicto de interés.

Referencias bibliográficas

  • 1
    Bakotic B, Huvos AG. Tumors of the bones of the feet: the clinicopathologic features of 150 cases. J Foot Ankle Surg. 2001;40:277-86.
  • 2
    Dominic KP, Dijoe D, Manathara LT. Tumour like lesions and their management: a retrospective study. Int J Res Orthop. 2018;4:159-65.
  • 3
    Kakhki VR, Anvari K, Sadeghi R, Mahmoudian AS, Torabian-Kakhki M. Pattern and distribution of bone metastases in common malignant tumors. Nucl Med Rev Cent East Eur. 2013;16:66-9.
  • 4
    Erlemann R, Jundt G. Tumor-like lesions of bone. Radiologe. 2016;56:507-19.
  • 5
    Ngan KW, Hsu HL, Ueng SH. Intraosseous hemangioma of the foot. Chang Gung Med J. 2006;29(4 Suppl):71-5.
  • 6
    Masquelet A, Begue T. The concept of induced membrane for reconstruction of long bone defects. Orthop Clin N Am. 2010;41:27-37.
  • 7
    Dorfman HD, Steiner GC, Jaffe HL. Vascular tumor of bones. Hum Pathol. 1971;2:349-76.
  • 8
    Murani TM, Callaghan JJ, Berrey BH, Sweet DE. Primary benign and malignant osseous neoplasm of the foot. Foot Ankle. 1989;10:68-80.
  • 9
    Sheth D, Marcore RC, Healey J, Wilson M, Huvos AG. Intraosseous hemangioma of the talus: A case report. Foot Ankle Int. 1994;15:41-3.
  • 10
    Wu KK. Intraosseous hemangioma of the foot. J Foot Ankle Surg. 1994;33:314-7.
  • 11
    Taylor B, French B. Induced Membrane Technique for Reconstruction To Manage Bone Loss. J Am Acad Orthop Surg. 2012;20:142-50.

Descargar artículo: 

Icono PDF rpt.3602.fs2110029-angioma-cavernoso-astragalo-reconstruccion-tecnica.pdf

Licencia: 

Este contenido es de acceso abierto (Open-Access) y se ha distribuido bajo los términos de la licencia Creative Commons CC BY-NC-ND (Reconocimiento-NoComercial-SinObraDerivada 4.0 Internacional) que permite usar, distribuir y reproducir en cualquier medio siempre que se citen a los autores y no se utilice para fines comerciales ni para hacer obras derivadas.