Símbolo Fondo Science

Contacte para más información en el teléfono +34 629 829 605

Revista del Pie y Tobillo

Sociedad Española de Medicina y Cirugía del Pie y Tobillo

Cabecera Vol. 36. Núm. 2. Julio-Diciembre 2022
ISSN online: 2173-2949
ISSN impreso: 1697-2198
Vol. 36. Núm. 2. Julio-Diciembre 2022
10.24129/j.rpt.3602.fs2201002
Recibido: 8 de enero de 2022
Aceptado: 5 de mayo de 2022
Notas clínicas

Luxación peritalar medial abierta: a propósito de un caso

Open medial peritalar dislocation: a case report

Rev Pie Tobillo. 2022;36(2):131-5

Resumen: 

Introducción: la luxación periastragalina es una lesión poco frecuente que generalmente se produce en varones jóvenes activos como resultado de traumatismos de alta energía. Se clasifican en varios tipos de acuerdo con la dirección del calcáneo en relación con el astrágalo. El objetivo de este trabajo es presentar un caso clínico de una luxación periastragalina medial abierta sin fracturas asociadas.

Caso clínico: varón de 19 años que acude al Servicio de Urgencias tras sufrir un accidente de tráfico con patinete eléctrico en la vía pública. A su llegada presenta herida incisocontusa de 1-2 cm en el maléolo externo izquierdo, dolor intenso a la palpación y deformidad en “pie zambo adquirido”.

Resultados: se realizó reducción cerrada bajo anestesia raquídea, lavado, sutura de la herida, comprobación radioscópica de la estabilidad articular e inmovilización con yeso cerrado almohadillado. Se realizaron controles radiológicos posteriores que mostraban congruencia de las articulaciones, retirándose el yeso a las 6 semanas. Posteriormente, el paciente realizó rehabilitación, carga parcial y fisioterapia con muy buenos resultados funcionales finales.

Conclusión: el diagnóstico y la reducción precoz bajo anestesia son prioritarios para evitar posteriores complicaciones. Descartar lesiones asociadas como fracturas o inestabilidades es prioritario para el pronóstico. La rehabilitación y la fisioterapia son imprescindibles para conseguir un resultado final óptimo.

Abstract: 

Introduction: peritalar dislocation is a rare lesion that generally occurs in active young men as a result of high-energy trauma. They are classified into several types according to the direction of the calcaneus in relation to the talus. The objective of this work is to present a clinical case of an open medial peritalar dislocation without associated fractures.

Clinical case: 19-year-old man who went to the Emergency Department after suffering a traffic accident with an electric scooter on public roads. Upon his arrival, he presented a 1-2 cm incised-contused wound on the external malleolus, tenderness and swelling, and an “acquired clubfoot” deformity.

Results: closed reduction under spinal anesthesia, washing, wound suture, checking joint stability by radiological control and immobilization with padded closed plaster were performed. Radiological controls were carried out that showed joint congruence, the cast was removed after 6 weeks. After this, the patient underwent rehabilitation, partial load and physiotherapy with very good final functional results.

Conclusion: early diagnosis and reduction under anesthesia are a priority to avoid later complications. Dismiss associated injuries such as fractures or instabilities is a priority for the prognosis. Rehabilitation and physiotherapy are essential to achieve an optimal final result.

Introducción

La luxación periastragalina se define por la existencia simultánea de luxación astragalocalcánea y astragaloescafoidea, sin que exista luxación tibioastragalina, ni calcaneocuboidea. Se trata de una lesión poco frecuente que supone aproximadamente un 1-2% entre todos los tipos de luxaciones(1,2,3).

Generalmente, se produce en varones jóvenes activos (30-40 años) como resultado de traumatismos de alta energía en el 70% de los casos (accidentes de tráfico, caídas desde elevada altura, actividades deportivas, etc.) y que puede verse acompañada por lesiones concomitantes, como fracturas en los maléolos, el astrágalo, el escafoides tarsiano o el 5.º metatarsiano. La asociación con fracturas de los huesos del tarso varía entre un 20 y un 60%, siendo más frecuente en las luxaciones laterales y abiertas(2,3,4).

La estabilidad mecánica de las articulaciones talonavicular, astragalocalcánea y calcaneocuboidea, junto con la resistencia de la cápsula de la articulación del tobillo y los ligamentos circundantes, son las principales razones de la rareza de este patrón de lesión(2), por lo que pacientes que presenten alteraciones ligamentosas, hipoplasias maleolares u otra deformidad peritalar o atrofia en los músculos peroneos tienen una mayor predisposición para sufrir este tipo de lesión(1).

rpt.3602.fs2201002-tabla1.png


Tabla 1. Resumen de las características de paciente, el tipo de luxación y el mecanismo lesional

La primera descripción de estas lesiones se realizó en 1811. La definición de los tipos y la clasificación se realizó por primera vez en 1853 por Broca(2), modificándose posteriormente en 1856 por Malgaigne y Burger, teniendo en cuenta la dirección del calcáneo respecto al astrágalo y el mecanismo lesional asociado(2,4,5) (Tabla 1).

Objetivo

El objetivo de este trabajo es presentar un caso clínico de una luxación periastragalina medial abierta, sin fracturas asociadas aparentemente, en un paciente varón de 19 años tras un accidente de tráfico, realizando además una revisión bibliográfica.

Caso clínico

Se trata de un paciente varón de 19 años que acude al Servicio de Urgencias tras un accidente de tráfico con patinete eléctrico en la vía pública. A su llegada, presenta herida incisocontusa de 1-2 cm en el maléolo externo del tobillo izquierdo con sangrado en sábana y deformidad en “pie zambo adquirido”. Presenta dolor intenso a la palpación. Movilidad distal y exploración neurovascular distal conservadas.

Se realiza lavado con abundante suero fisiológico y antiséptico, se cubre provisionalmente la herida y se pauta antibioticoterapia profiláctica.

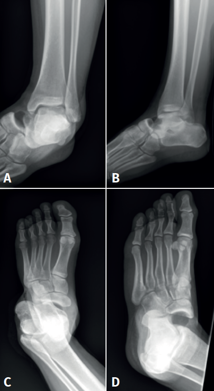
rpt.3602.fs2201002-figura1.png


Figura 1. Radiografía anteroposterior (A) y lateral de tobillo (B). Radiografía anteroposterior (C) y oblicua (D) de pie con hallazgo de luxación periastragalina medial.

Se realizaron radiografías anteroposterior (AP) y lateral del tobillo, y AP y oblicua del pie, donde se diagnostica de luxación peritalar medial abierta (Figura 1).

Resultados

Se realizó reducción cerrada bajo anestesia (bloqueo raquídeo) y se comprobó la estabilidad mediante control fluoroscópico. Se realizó lavado abundante, sutura de la herida lateral y se inmovilizó con yeso cerrado almohadillado; posteriormente se realizaron radiografías lateral del tobillo y AP y oblicua del pie posreducción (Figura 2) y tomografía computarizada (TC) posreducción.

rpt.3602.fs2201002-figura2.png


Figura 2. Radiografía lateral de tobillo (A) y anteroposterior (B) y oblicua (C) de pie  tras reducción cerrada e inmovilización con yeso.

En la TC se aprecia arrancamiento óseo de 4 mm lateral a la cara externa del astrágalo, sin observar otras líneas de fractura (Figura 3).

rpt.3602.fs2201002-figura3.png


Figura 3. A: corte axial y B: reconstrucción 3D donde se aprecia fragmento óseo de 4 mm lateral a la cara externa del astrágalo, sin observar otras líneas de fractura. Se observa una correcta congruencia articular.

Se llevaron a cabo controles radiológicos seriados, retirándose el yeso tras un total de 6 semanas. Tras esto, el paciente realizó rehabilitación, carga parcial y fisioterapia, con muy buenos resultados funcionales finales.

Discusión

El tratamiento de estas lesiones depende de la integridad de la piel y de la asociación o no de otras fracturas(1). Debe reducirse cuanto antes para disminuir las probabilidades de necrosis de la piel y compromiso circulatorio(3).

Un 70% se reducen de forma cerrada con el paciente sedado mediante flexión de rodilla (para relajar el tríceps sural) y usando el método boot grip, que consiste en flexión plantar, tracción y eversión o inversión(4).

En el caso de que no se pueda reducir de manera cerrada, no hay que usar una fuerza excesiva ni demasiados intentos de reducción, sino realizar una reducción abierta para evitar fracturas iatrogénicas y complicaciones neurovasculares(4).

Según la literatura, el 30% de las luxaciones peritalares mediales y el 50% de las laterales son irreductibles de forma cerrada(4,6,7), ya sea por fracturas osteocondrales en la articulación talonavicular o interposición de partes blandas (50% de los casos)(4):

  • Luxaciones mediales(4): lo que se recomienda es un abordaje lateral sobre la cabeza del astrágalo, ya que la cabeza de este suele estar en un ojal creado en el músculo extensor digital brevis (término conocido como buttonholing), tendones peroneos o cápsula talonavicular.
  • Luxaciones laterales(4): mediante un abordaje medial se accede a los tendones tibial posterior, flexor hallucis longus y flexor digitorum longus, quienes pueden suponer un obstáculo en la reducción.

Lesiones concomitantes

La asociación de fracturas óseas de los huesos del tarso oscila entre el 20 y el 60%(3), siendo más frecuente en los tipos abiertos y laterales(7). Algunas publicaciones(6) apuntan a que estas lesiones asociadas podrían influir de forma negativa sobre los resultados clínicos.

Bibbo et al.(4) consideran que si se hiciera una TC a todos los pacientes tras la luxación encontraríamos un 100% de lesiones óseas, de ahí que se piense que las radiografías infraestiman los posibles daños concomitantes.

En la mayoría de los casos, son fragmentos osteocondrales del astrágalo, como en nuestro caso, o fragmentos desprendidos de calcáneo o astrágalo. Según el grado, la localización y el tamaño de los mismos, estos fragmentos se mantienen, se retiran o se fijan.

Tratamiento posquirúrgico

Una vez reducida la luxación, si es inestable se puede fijar mediante agujas de Kirschner o fijador externo, según el estado de las partes blandas.

En el caso de que se mantenga estable, se inmoviliza mediante un botín de yeso unas 3-4 semanas si no hay fractura y 6 semanas si asocia fractura. Esta inmovilización puede tener como inconveniente la pérdida de función y posterior rigidez o artrosis subastragalina(8), por lo que, tras retirarlo, hay que comenzar de forma inmediata con carga, movilización completa y fisioterapia.

Complicaciones

Según el tipo de luxación y la gravedad, encontramos diferentes complicaciones y con diferente pronóstico. Las luxaciones laterales(9) y abiertas(6) son las que se asocian con mayor tasa de complicaciones, de ahí que el diagnóstico y la reducción precoz sean esenciales. Podemos dividirlas en:

  • Complicaciones tempranas (0-10%)(1,4,6): necrosis de la piel, infección (sobre todo en luxaciones abiertas) o compromiso neurovascular.
  • Complicaciones tardías:
    • Necrosis avascular astragalina (5%)(1,8): se relaciona sobre todo con lesiones abiertas, lesión del proceso posterior del astrágalo y casos de no diagnóstico de la lesión.
    • Rigidez (más frecuente): por fibrosis de la cápsula(8).
    • Osteoporosis en relación con el amplio tiempo de inmovilización(8).
    • Artrosis talonavicular o subtalar postraumática (80-90%)(4). Según la literatura, se relaciona con la gravedad de la lesión, luxación lateral, lesión de partes blandas, fracturas concomitantes y restricción de la movilidad(8). Lo que más llama la atención de esta complicación es que su hallazgo radiológico no siempre tiene su correspondencia clínica(4,8). La artrosis puede ser tibiotalar (80-90%), subastragalina (89%) o del mediopié (72%), con una correlación clínica del 31, el 63 y el 15%, respectivamente. 
    • Inestabilidad, sobre todo en pacientes jóvenes cuya inmovilización ha sido inferior a 4 semanas.

Pronóstico

El pronóstico de estas lesiones se correlaciona con la energía del traumatismo, la existencia de lesiones abiertas, las lesiones asociadas y el tiempo de inmovilización, siendo las de peor pronóstico las luxaciones peritalares laterales, debido a la necesidad de una mayor energía para causar la lesión y una mayor asociación con fracturas y lesión de partes blandas(1,5,10).

Conclusión final

Las luxaciones peritalares son lesiones infrecuentes. Un correcto diagnóstico, descartando lesiones asociadas como fracturas o inestabilidades, y una reducción precoz son claves para evitar posteriores complicaciones y lograr un mejor pronóstico. Tras la inmovilización, la rehabilitación es imprescindible para lograr un resultado final óptimo.

Tablas

Tabla 1. Resumen de las características de paciente, el tipo de luxación y el mecanismo lesional

Figuras

Figura 1. Radiografía anteroposterior (A) y lateral de tobillo (B). Radiografía anteroposterior (C) y oblicua (D) de pie con hallazgo de luxación periastragalina medial.

Figura 2. Radiografía lateral de tobillo (A) y anteroposterior (B) y oblicua (C) de pie  tras reducción cerrada e inmovilización con yeso.

Figura 3. A: corte axial y B: reconstrucción 3D donde se aprecia fragmento óseo de 4 mm lateral a la cara externa del astrágalo, sin observar otras líneas de fractura. Se observa una correcta congruencia articular.

Cita bibliográfica

Maroto Rodríguez R, Fernández-Villacañas Minguez P, Payo Rodríguez JLuxación peritalar medial abierta: a propósito de un caso. Rev Pie Tobillo. 2022;36(2):131-5. doi: 10.24129/j.rpt.3602.fs2201002

Responsabilidades éticas

Protección de personas y animales. Los autores declaran que para esta investigación no se han realizado experimentos en seres humanos ni en animales.

Confidencialidad de los datos. Los autores declaran que han seguido los protocolos de su centro de trabajo sobre la publicación de datos de pacientes.

Derecho a la privacidad y consentimiento informado. Los autores declaran que en este artículo no aparecen datos de pacientes.

Financiación. Los autores declaran que este trabajo no ha sido financiado.

Conflicto de intereses. Los autores declaran no tener ningún conflicto de interés.

Referencias bibliográficas

  • 1
    Arain AR, Adams CT, Haddad SF, Moral M, Young J, Desai K, Rosenbaum AJ. Diagnosis and treatment of peritalar injuries in the acute trauma setting: a review of the literature. Adv Orthop. 2020;2020:1852025-8.
  • 2
    Gantsos A, Giotis D, Giannoulis DK, Vasiliadis HS, Georgakopoulos N, Mitsionis GI. Conservative treatment of closed subtalar dislocation: a case report and 2 years follow-up. Foot (Edinb). 2013;23:107-10.
  • 3
    Camarda L, Abruzzese A, La Gattuta A, Lentini R, D’Arienzo M. Results of closed subtalar dislocations. Musculoskelet Surg. 2016;100:63-9.
  • 4
    Bibbo C, Anderson RB, Davis WH. Injury characteristics and the clinical outcome of subtalar dislocations: a clinical and radiographic analysis of 25 cases. Foot Ankle Int. 2003;24:158-63.
  • 5
    Emiliano G, Ricardo B, Martín C, Julián R. Luxación periastragalina medial cerrada sin fracturas asociadas. Caso clínico. Rev Pie Tobillo. 2016;30:94-8.
  • 6
    Garofalo R, Moretti B, Ortolano V, Cariola P, Solarino G, Wettstein M, Mouhsine E. Peritalar dislocations: a retrospective study of 18 cases. J Foot Ankle Surg. 2004;43:166-72.
  • 7
    Rodríguez-Merchán EC. Subtalar dislocations: a study of 19 cases. Int Orthop. 1997;21:142-5.
  • 8
    Coughlin M, Mann R. Surgery of the foot and ankle. 8th ed. St. Louis: Mosby; 2007.
  • 9
    De Palma L, Santucci A, Marinelli M, Borgogno E, Catalani A. Clinical outcome of closed isolated subtalar dislocations. Arch Orthop Trauma Surg. 2008;128:593-8.
  • 10
    Prada Cañizares A, García Robledo H, Auñon Martín I, Jesus V. Luxación periastragalina lateral pura: a propósito de un caso y revisión de la bibliografía. Rev Pie Tobillo. 2015;29(1):38-41.

Descargar artículo: 

Icono PDF rpt.3602.fs2201002-luxacion-peritalar-medial-abierta.pdf

Licencia: 

Este contenido es de acceso abierto (Open-Access) y se ha distribuido bajo los términos de la licencia Creative Commons CC BY-NC-ND (Reconocimiento-NoComercial-SinObraDerivada 4.0 Internacional) que permite usar, distribuir y reproducir en cualquier medio siempre que se citen a los autores y no se utilice para fines comerciales ni para hacer obras derivadas.