Símbolo Fondo Science

Contacte para más información en el teléfono +34 629 829 605

Revista del Pie y Tobillo

Sociedad Española de Medicina y Cirugía del Pie y Tobillo

Cabecera Vol. 37. Núm. 2. Julio-Diciembre 2023
ISSN online: 2173-2949
ISSN impreso: 1697-2198
Vol. 37. Núm. 2. Julio-Diciembre 2023
10.24129/j.rpt.3702.fs2302004
Recibido: 21 de febrero de 2023
Aceptado: 24 de mayo de 2023
Notas clínicas

Tenosinovitis del tendón peroneo largo secundaria a un tubérculo peroneal hipertrófico en paciente con miopatía congénita

Peroneus longus tenosynovitis secondary to a hypertrophic peroneal tubercle in a patient with congenital myopathy

Rev Pie Tobillo. 2023;37(2):120-5

Resumen: 

Introducción: en este artículo presentamos una causa poco frecuente de patología de los tendones peroneos y dolor lateral del retropié que requirió manejo quirúrgico.

Caso clínico: paciente de sexo masculino, de 53 años, con miopatía de Bethlem de presentación clínica tardía y dolor lateral recurrente del retropié de larga data. El estudio con resonancia magnética mostró una exostosis en el borde lateral del calcáneo con edema óseo y engrosamiento significativo del tendón peroneus longus. Se realizó una tenosinovectomía y resección abierta de la exostosis, evolucionando con remisión de la sintomatología.

Discusión: el tubérculo de los peroneos es una protuberancia ósea ubicada en la cara lateral del calcáneo y cuya morfología ha sido estudiada por diversos autores. La hipertrofia de este tubérculo está determinada por una altura mayor de 5 mm en el corte axial de la tomografía computarizada (TC), siendo una causa poco frecuente de dolor lateral del retropié. En este caso, el paciente presentaba un tubérculo peroneal con 6,2 mm de altura y con una morfología de tipo doble convexo, que está presente solo en el 24% de la población. Para el manejo de esta patología y ante el fracaso del tratamiento conservador, debe considerarse la resección del tubérculo, como ocurrió en este caso.

Abstract: 

Introduction: in this article we present a rare cause of the peroneal tendon disorders and lateral hindfoot pain that required surgical management.

Case: a 53-year-old male patient with mild and late-onset clinic presentation Bethlem myopathy and long-standing recurrent lateral hindfoot pain. The magnetic resonance imaging (MRI) study showed an exostosis on the lateral border of the calcaneus with bone edema and peroneus longus tendon thickening. A tenosynovectomy and open resection of the exostosis was performed, evolving with remission of symptoms.

Discussion: the peroneal tubercle is a bony protuberance located on the lateral aspect of the calcaneus and whose morphology has been studied by various authors. The hypertrophy of this tubercle is determined by a height greater than 5 mm in the computed tomography axial cut, being a rare cause of chronic lateral hindfoot pain. In this case, the patient presented a peroneal tubercle with measured height of 6.2 mm and a double convex type morphology, which is present in only 24% of the population. For the management of this pathology and in the event of failure of conservative treatment, resection of the tubercle should be considered, as occurred in this case report.

Introducción

La patología de los tendones peroneos es una causa subestimada de dolor lateral del retropié, pudiendo comprometer al tendón peroneus brevis, al peroneus longus o a ambos(1).

El espectro de patologías de estos tendones se puede clasificar en 3 grandes grupos: tendinopatías, inestabilidades y roturas tendinosas.

Si bien se ha reportado mayor frecuencia de las lesiones del tendón peroneus brevis, el tendón peroneus longus también puede presentar lesiones desde su origen en los dos tercios superiores de la fíbula, la cabeza fibular, el tabique intermuscular y el cóndilo tibial lateral, hasta su inserción en la base del primer metatarsiano y del cuneiforme medial(2).

Existen factores anatómicos y biomecánicos como el retropié en varo, el pie cavo varo o la inestabilidad lateral crónica de tobillo que pueden ser causa de un estrés crónico y de degeneración de los tendones peroneos, lo que a su vez produce inflamación, engrosamiento del tendón y de su vaina, y eventualmente una rotura(2,3).

En este artículo presentamos una causa poco frecuente de patología de los tendones peroneos y dolor lateral del retropié que requirió manejo quirúrgico.

Presentación del caso

Se trata de un paciente de sexo masculino, de 53 años, con antecedentes de enfermedad de Bethlem manifestada por debilidad muscular proximal y contracturas musculares distales en el tobillo que se iniciaron a los 45 años, destacando actualmente su dificultad para levantarse de una silla y subir escaleras de forma autónoma. Consulta por un cuadro de 2 años de evolución de dolor en la región lateral del retropié derecho. Previamente fue evaluado por medicina general, siendo manejado con fisioterapia e infiltración con corticoide, con buena respuesta clínica pero reaparición de la sintomatología a los 2 meses.

rpt.3702.fs2302004-figura1.png


Figura 1. Radiografías anteroposterior y lateral del pie derecho que evidencian la presencia de un pie cavo varo.

Al examen físico destacaba un pie cavo con retropié en varo, dolor localizado a la palpación de los tendones peroneos en la región inframaleolar y palpación de una prominencia ósea en el tubérculo de los peroneos.

rpt.3702.fs2302004-figura2.png


Figura 2. Resonancia magnética del pie derecho sin contraste. A y B: cortes axiales en secuencias T1 y STIR que evidencian la presencia de tenosinovitis del tendón peroneus longus (flecha), el cual se encuentra en íntimo contacto con un tubérculo peroneal que presenta edema óseo (asterisco) y que tiene forma doble convexa según lo descrito por Vosoughi et al.; C y D: cortes sagitales en secuencia T1 que evidencian el tubérculo lateral hipertrófico con tenosinovitis del tendón peroneus longus (flecha).

Se solicitan radiografías con carga que evidencian la presencia de un pie cavo varo (Figura 1) y una resonancia magnética sin contraste que muestra una rotura parcial antigua del ligamento talofibular anterior, una exostosis ósea en el borde lateral del calcáneo de 6,2 mm, con edema óseo adyacente y un engrosamiento significativo de un segmento de 3 cm del tendón peroneus longus en relación con la exostosis previamente descrita (Figuras 2 y 3).

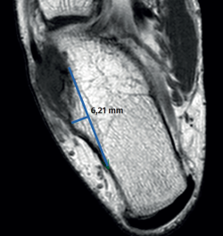
rpt.3702.fs2302004-figura3.png


Figura 3. Corte axial del calcáneo en secuencia T1 de resonancia magnética donde se muestra la medición de la altura del tubérculo peroneal.

Se plantea al paciente realizar una intervención quirúrgica con resección de la exostosis, osteotomía lateralizante de calcáneo, osteotomía de elevación del primer metatarsiano, además de los gestos quirúrgicos sobre tejidos blandos; sin embargo, el paciente rechaza la realización de osteotomías. En este contexto, se realiza una incisión inframaleolar de 4 cm, iniciando 1 cm distal al tip fibular y en dirección al cuarto metatarsiano. Se identifican los tendones peroneos, con importante tenosinotivis del peroneus longus, por lo que se realiza una tenosinovectomía prolija (Figura 4A). Posteriormente, se desplazan los tendones observando la exostosis del tubérculo de los peroneos (Figuras 4B y 4C).

rpt.3702.fs2302004-figura4.png


Figura 4. Imágenes intraoperatorias. A: tenosinovitis del tendón peroneus longus (flecha); B: presencia de tubérculo peroneal hipertrófico (asterisco).

Se realiza una resección cuidadosa de la exostosis con gubia y cincel fino (Figura 5A), se secciona el tendón a distal y posteriormente se realiza una transferencia laterolateral del tendón peroneus longus al peroneus brevis con una sutura no absorbible de alta resistencia 2.0 (FiberWire® 2.0, Arthrex, Naples, EE. UU.) (Figura 5B). El estudio histopatológico informó tejido óseo maduro, calcificado, lamelar, sin evidencia de infiltración neoplásica, congruente con osteofito y membrana sinovial con sinovitis crónica de aspecto reactivo.

rpt.3702.fs2302004-figura5.png


Figura 5. A: posterior a la resección de tubérculo peroneal (flecha); B: posterior a la transferencia laterolateral del peroneus longus al peroneus brevis (asterisco).

En el postoperatorio se maneja con el uso de bota ortopédica durante 2 semanas y deambulación precoz según la tolerancia desde el primer día, evolucionando favorablemente con evidente mejoría clínica y reintegración a su actividades de la vida diaria a las 4 semanas postoperatorias.

rpt.3702.fs2302004-figura6.png


Figura 6. Tomografía computarizada (TC) sin contraste realizada a las 4 semanas de la intervención quirúrgica. A: corte coronal de TC postoperatoria; B: corte axial de TC postoperatoria.

Discusión

La patología de los tendones peroneos puede ser causada por alteraciones en la alineación del retropié, inestabilidades crónicas de tobillo y, de forma menos frecuente, por una exostosis subfibular, calcánea o del cuboides.

El tubérculo de los peroneos es una protuberancia ósea ubicada en la cara lateral del calcáneo que separa a los tendones peroneos, ubicándose proximalmente el peroneus brevis y distalmente el peroneus longus. Esta estructura anatómica puede presentar una hipertrofia de causa congénita o adquirida(4). Estos últimos casos se han asociado a traumatismos o cambios inflamatorios relacionados con espasmos del tendón peroneus longus(5).

En este caso clínico, el paciente presenta una enfermedad de Bethlem, miopatía con una prevalencia de 0,77 por 100.000 habitantes y cuyas manifestaciones suelen ser de aparición precoz en la primera o la segunda décadas de la vida. Sus principales manifestaciones son la debilidad muscular proximal, contracturas en diversas articulaciones incluido el tobillo y espasmos o calambres musculares(6,7,8). En este contexto, la miopatía pudo ser la causa de la hipertrofia del tubérculo peroneal y, como consecuencia, de la tenosinovitis del peroneus longus.

La morfología del tubérculo ha sido estudiada por diversos autores. Hyer et al.(9) describieron 4 tipos: plano (42,7%), prominente (29,1%), cóncavo (27,2%) y túnel (1%). Por su parte, Taneja et al.(10) describieron 3 tipos: triangular (83%), plano (17%) y túnel; este último tipo no fue evidenciado en su muestra de 53 casos. Recientemente, Vosoughi et al.(11) han descrito 4 tipos en función del corte axial del calcáneo en la tomografía computarizada (TC): simple convexo (59%), doble convexo (24%), meseta (9%) y convexo cóncavo (8%).

En relación con el tamaño normal del tubérculo, Hyer et al.(9) realizaron un estudio en 117 calcáneos de una colección osteológica y determinaron que la media del ancho del tubérculo era de 3,13 mm. Estudios posteriores denominan altura a la misma medición que realizó Hyer. Taneja et al.(10) describen una media de 3,5 mm. Shibata et al.(12) informan una media de 2,59 mm en un estudio realizado en TC tridimensional de 46 calcáneos. En el mismo sentido, Saupe et al.(13) en un estudio de resonancia magnética informan una media de 2,9 mm y un 90% de los casos presentó un tamaño menor o igual a 4,6 mm. El punto de corte para diagnosticar una hipertrofia de dicho tubérculo se ha descrito en 5 mm(4).

En nuestro caso, la morfología presente fue un tipo doble convexo que, como se mencionó anteriormente, estaría presente en solo el 24% de la población y la altura fue de 6,2 mm, lo que confirma la presencia de una hipertrofia de esta estructura. La medición de la altura fue realizada en el corte axial de resonancia en la secuencia T1, desde el vértice del tubérculo hasta una línea trazada en la cortical lateral del calcáneo, según lo descrito por Saupe et al.(13).

Los buenos resultados clínicos obtenidos nos confirman que en caso de fracaso del tratamiento conservador, en estos pacientes debe realizarse una tenosinovectomía y resección quirúrgica del tubérculo hipertrófico. En el caso descrito, por la negativa del paciente, no fue posible realizar un realineamiento del varo del retropié; sin embargo, esto debe ser considerado en el tratamiento de esta patología para prevenir la recurrencia de la tendinopatía de los tendones peroneos.

Conclusión

Se presentó un caso con una causa poco frecuente de patología de los tendones peroneos y dolor lateral del retropié como es la hipertrofia del tubérculo peroneal, que fue manejada de forma quirúrgica con buena evolución clínica y funcional.

Figuras

Figura 1. Radiografías anteroposterior y lateral del pie derecho que evidencian la presencia de un pie cavo varo.

Figura 2. Resonancia magnética del pie derecho sin contraste. A y B: cortes axiales en secuencias T1 y STIR que evidencian la presencia de tenosinovitis del tendón peroneus longus (flecha), el cual se encuentra en íntimo contacto con un tubérculo peroneal que presenta edema óseo (asterisco) y que tiene forma doble convexa según lo descrito por Vosoughi et al.; C y D: cortes sagitales en secuencia T1 que evidencian el tubérculo lateral hipertrófico con tenosinovitis del tendón peroneus longus (flecha).

Figura 3. Corte axial del calcáneo en secuencia T1 de resonancia magnética donde se muestra la medición de la altura del tubérculo peroneal.

Figura 4. Imágenes intraoperatorias. A: tenosinovitis del tendón peroneus longus (flecha); B: presencia de tubérculo peroneal hipertrófico (asterisco).

Figura 5. A: posterior a la resección de tubérculo peroneal (flecha); B: posterior a la transferencia laterolateral del peroneus longus al peroneus brevis (asterisco).

Figura 6. Tomografía computarizada (TC) sin contraste realizada a las 4 semanas de la intervención quirúrgica. A: corte coronal de TC postoperatoria; B: corte axial de TC postoperatoria.

Cita bibliográfica

Fernández Rojas E, Sánchez Morata EJ, Serrano Alonso JD, Martínez Soto A, Vilá y Rico JTenosinovitis del tendón peroneo largo secundaria a un tubérculo peroneal hipertrófico en paciente con miopatía congénita. Rev Pie Tobillo. 2023;37(2):120-5. doi: 10.24129/j.rpt.3702.fs2302004

Responsabilidades éticas

Protección de personas y animales. Los autores declaran que los procedimientos seguidos se conformaron a las normas éticas del comité de experimentación humana responsable y de acuerdo con la Asociación Médica Mundial y la Declaración de Helsinki.

Confidencialidad de los datos. Los autores declaran que han seguido los protocolos de su centro de trabajo sobre la publicación de datos de pacientes.

Derecho a la privacidad y consentimiento informado. Los autores declaran que en este artículo no aparecen datos de pacientes.

Financiación. Los autores declaran que este trabajo no ha sido financiado.

Conflicto de intereses. Los autores declaran no tener ningún conflicto de interés.

Referencias bibliográficas

  • 1
    Davda K, Malhotra K, O’Donnell P, Singh D, Cullen N. Peroneal tendon disorders. EFORT Open Rev. 2017;2(6):281-92.
  • 2
    Roster B, Michelier P, Giza E. Peroneal Tendon Disorders. Clin Sports Med. 2015;34(4):625-41.
  • 3
    Sharma A, Parekh SG. Pathologies of the Peroneals: A Review. Foot Ankle Spec. 2020;14(2):170-7.
  • 4
    Palmanovich E, Laver L, Brin YS, Kotz E, Hetsroni I, Mann G, et al. Peroneus longus tear and its relation to the peroneal tubercle: a review of the literature. Muscles Ligaments Tendons J. 2011;1(4):153.
  • 5
    Sugimoto K, Takakura Y, Okahashi K, Tanaka Y, Ohshima M, Kasanami R. Enlarged peroneal tubercle with peroneus longus tenosynovitis. J. Orthop. Sci. 2009;14(3):330-5.
  • 6
    Saroja AO, Naik KR, Nalini A, Gayathri N. Bethlem myopathy: an autosomal dominant myopathy with flexion contractures, keloids, and follicular hyperkeratosis. Ann Indian Acad Neurol. 2013;16(4):712.
  • 7
    Gualandi F, Urciuolo A, Martoni E, Sabatelli P, Squarzoni S, Bovolenta M, et al. Autosomal recessive Bethlem myopathy. Neurology. 2009 Dec 1;73(22):1883-91.
  • 8
    Farkosh H, Lozowska D. Bethlem myopathy demonstrated in three generations of a rural West Virginia family carrying an autosomal dominant COL6A3 mutation. Marshall J Med. 2021;7(3).
  • 9
    Hyer CF, Dawson JM, Philbin TM, Berlet GC, Lee TH. The Peroneal Tubercle: Description, Classification, and Relevance to Peroneus Longus Tendon Pathology. Foot Ankle Int. 2005;26(11):947-50.
  • 10
    Taneja AK, Simeone FJ, Chang CY, Kumar V, Daley S, Bredella M, et al. Peroneal tendon abnormalities in subjects with an enlarged peroneal tubercle. Skeletal Radiol. 2013;42(12):1703-9.
  • 11
    Vosoughi AR, Tabatabaei M. CT scan assessment of the dimensions and morphological variations of the peroneal tubercle. Foot Ankle Surg. 2021;27(1):40-5.
  • 12
    Shibata Y, Sakuma E, Yoshida Y, Wakabayashi K, Iguchi H, Sekiya I, et al. Morphometric analysis of the peroneal tubercle using a three-dimensional computed tomography model. Foot (Edinb). 2014;24(4):200-2.
  • 13
    Saupe N, Mengiardi B, Pfirrmann CWA, Vienne P, Seifert B, Zanetti M. Anatomic variants associated with peroneal tendon disorders: MR imaging findings in volunteers with asymptomatic ankles. Radiology. 2007;242(2):509-17.

Descargar artículo: 

Icono PDF rpt.3702.fs2302004-tenosinovitis-tendon-peroneo-largo-secundario.pdf

Licencia: 

Este contenido es de acceso abierto (Open-Access) y se ha distribuido bajo los términos de la licencia Creative Commons CC BY-NC-ND (Reconocimiento-NoComercial-SinObraDerivada 4.0 Internacional) que permite usar, distribuir y reproducir en cualquier medio siempre que se citen a los autores y no se utilice para fines comerciales ni para hacer obras derivadas.

Comparte este contenido

En esta edición