Símbolo Fondo Science

Contacte para más información en el teléfono +34 629 829 605

Revista del Pie y Tobillo

Sociedad Española de Medicina y Cirugía del Pie y Tobillo

Cabecera Vol. 37. Núm. 2. Julio-Diciembre 2023
ISSN online: 2173-2949
ISSN impreso: 1697-2198
Vol. 37. Núm. 2. Julio-Diciembre 2023
10.24129/j.rpt.3702.fs2303007
Recibido: 13 de marzo de 2023
Aceptado: 28 de noviembre de 2023
Notas clínicas

Polidactilia postaxial: a propósito de un caso

Postaxial polydactyly: case report

Rev Pie Tobillo. 2023;37(2):126-31

Resumen: 

La polidactilia es un trastorno genético caracterizado por la presencia de dedos adicionales en manos y pies; en la mayoría de los casos se presenta de forma aislada.

La incidencia es de alrededor de 2 casos por cada 1.000 nacidos vivos, no tiene predominio de sexo, se puede asociar a cuadros sindrómicos y, en cuanto a la raza, es 2 veces más frecuente en indios americanos que caucásicos.

Hay descritas diferentes clasificaciones en la literatura; sin duda, la más utilizada es la de Venn-Watson: preaxial, central y postaxial, como en nuestro caso.

El tratamiento consiste en la exéresis del dedo supranumerario antes del primer año de edad, presentando controversias en cuanto a qué dedo retirar y si también asociar un tiempo óseo.

Abstract: 

Polydactyly is a genetic disorder characterized by the presence of additional fingers and toes, in most cases it occurs in isolation. The incidence is around 2 cases per 1,000 live births, it does not have a predominance of sex, it can be associated with syndromic symptoms and in terms of race it is 2 times more frequent in American Indians than in Caucasians. There are different classifications described in the literature; without a doubt, the most used is that of Venn-Watson: preaxial, central and postaxial, as in our case. The treatment consists of exeresis of the supranumerary finger before the first year of age, presenting controversies as to which finger to remove and whether to also associate a bone time.

Introducción

La polidactilia es una de las malformaciones más frecuentes del pie, siendo transmitida por herencia autosómica dominante; la incidencia es de 2 casos por cada 1.000 nacidos vivos, presentando un 30% de los pacientes antecedentes familiares de polidactilia(1).

Es unilateral en el 80% de los casos, sin tener predominio de sexo. Se asocia a la polidactilia de la mano en un 34% de los casos; también se puede asociar a cuadros sindrómicos como el de Ellis-van Creveld, Jeune, etc. En cuanto a la raza, es 2 veces más frecuente en indios americanos que en caucásicos(2).

La polidactilia se puede ordenar según la clasificación de Venn-Watson(3) en: preaxial, afectando el primer dedo; central, afectando a los dedos segundo, tercero y cuarto; o postaxial, cuando ocurre en el quinto dedo. También se puede subclasificar en articulada o de tipo A o en rudimentaria o de tipo B.

A lo largo de estos años han aparecido otras clasificaciones como la de Masada et al., que concreta si la falange o el metatarsiano están duplicados de manera total o incompleta, o la clasificación de Watanabe et al., que valora especialmente el nivel en que se produce la duplicación. La clasificación de Sam resulta de mucha utilidad, puesto que ayuda a predecir la necesidad de colgajos u osteotomías que facilitan la planificación prequirúrgica(4).

El objetivo de este artículo es describir los aspectos clínico-radiológicos de la polidactilia del pie y presentar un caso raro y su tratamiento de polidactilia postaxial del quinto dedo en la edad adulta.

Métodos

Se presenta el caso de un varón sano de 46 años, originario de Colombia, sin antecedentes patológicos de interés en la anamnesis general.

rpt.3702.fs2303007-figura1.png


Figura 1. Imagen clínica de polidactilia postaxial. 

Acudió a nuestra consulta por molestias en la zona externa del pie, con dificultad para encontrar un calzado cómodo.

rpt.3702.fs2303007-figura2.png


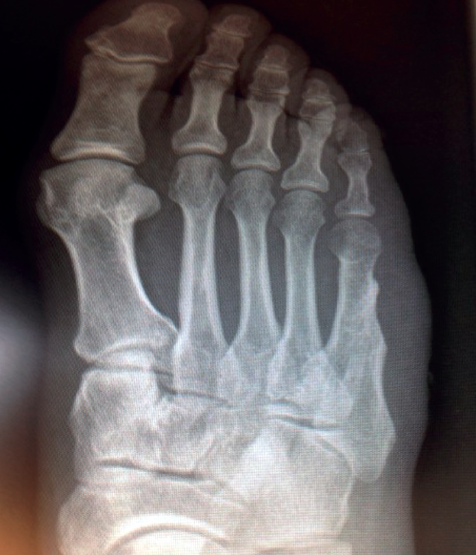
Figura 2. Imagen radiológica de duplicación del quinto metatarsiano.

El examen físico (Figura 1) reveló la presencia de un dedo supranumerario y en la radiografía (Figura 2) de control se apreciaba una duplicación parcial del quinto metatarsiano, en forma de “Y”. La hemos clasificado como polidactilia postaxial utilizando la clasificación de Venn-Watson.

rpt.3702.fs2303007-figura3.png


Figura 3. Abordaje lateral identificando el paquete vasculonervioso.

En marzo de 2020 se programa la intervención con exéresis tanto del dedo como de la parte distal del metatarsiano, con un abordaje externo. La incisión se realiza en la cara lateral externa del pie, desde el tercio medio de los metatarsianos hasta el inicio de la falange del dedo supernumerario. Desde ese punto, se completa la incisión rodeando el dedo que se va a extirpar. Se separa la piel con pinzas erinas, se diseca el subcutáneo para exponer el metatarsiano duplicado. Se identifica el paquete vasculonervioso externo de dicho dedo y se aísla sin seccionarlo. Con ayuda de una sierra, se secciona la parte distal y externa del quinto metatarsiano, que tenía forma de “Y”, para convertirlo en un metatarsiano de aspecto convencional. Hecho esto, el “sexto dedo”, que está articulado al metatarsiano duplicado, se separa fácilmente. Antes de suturar, es importante asegurar un contorno armónico, que permitirá al paciente un calzado adecuado. Para ello, con la misma sierra se lima el hueso seccionado, hasta conseguir la forma definitiva.

rpt.3702.fs2303007-figura4.png


Figura 4. Exéresis del dedo lateral con su falange.

Se deja un drenaje de fuelle con vacío que se exterioriza distal a la incisión, a la altura de la base del quinto dedo. Por último, se retira la piel sobrante, asegurando una sutura sin exceso cutáneo, que podría general molestia al paciente, pero también sin tensión, para evitar necrosis de la cicatriz (Figuras 3, 4 y 5). Realizamos una sutura continua externa con sutura Vicryl Rapid® 3/0. Tras pincelar con yodo, se deja un vendaje compresivo.

rpt.3702.fs2303007-figura5.png


Figura 5. Resultado clínico a los 12 meses.

Para la medición del resultado, se ha usado la escala de la American Orthopedic Foot and Ankle Society (AOFAS) prequirúrgica del antepié con el resultado de: 68/100.

Resultados

La evolución clínica-radiológica (Figura 6) y funcional del paciente a los 12 meses de evolución ha sido satisfactoria, presentando la desaparición de los síntomas y la posibilidad de calzarse y deambular sin restricciones.

rpt.3702.fs2303007-figura6.png


Figura 6. Resultado radiológico a los 12 meses.

El resultado de la escala AOFAS fue de 95/100.

Discusión

Para el correcto manejo de la polidactilia resulta importante tener en cuenta las 6 preguntas siguientes.

¿Qué tipo de polidactilia presenta?

Entre las diferentes opciones de clasificación de la polidactilia se encuentra la clasificación por dedo afecto (preaxial, central y postaxial), de acuerdo con Venn-Watson.

Existen otras clasificaciones que se consideran una modificación de la anterior, como la de Masada o Watanabe. En este caso clínico, se utiliza la clasificación de Venn-Watson (el paciente presentaba un metatarsiano en “Y”), dado que esta ayuda a describir la anatomía que presenta el paciente. Sin embargo, la clasificación de Sam resulta de mayor utilidad porque ayuda a predecir la necesidad de colgajos u osteotomías durante la planificación prequirúrgica(5).

¿Cuál es el objetivo de tratamiento?

Resulta importante conocer el objetivo del tratamiento para decidir qué tipo de intervención se realiza. Los objetivos pueden variar: mantener o alinear el pie o dedo, eliminar o disminuir los síntomas o mejorar cuestiones estéticas(6).

En este caso clínico, el objetivo principal consistía en: aliviar el dolor en la cara lateral del pie al calzarse y deambular.

¿Qué dedo se reseca?

Phelps et al.(7) consideran que la elección del dedo que resecar no resulta fácil. Hemos de basar nuestra decisión en el conjunto de: exploración, imágenes radiográficas (región anatómica afecta, existencia de fisis de crecimiento, la presencia de deformidades óseas…) o la edad del paciente (esta influye a la hora de, por ejemplo, cuándo realizar las radiografías, evitando imágenes radiolúcidas –como el cartílago– o también en el mayor o menor riesgo anestésico del paciente en caso de precisar intervención)(8).

¿Cuándo intervenir?

La evidencia científica es inconsistente en cuanto a cuándo intervenir. Mullick et al.(9) proponen que la realización de la exéresis se realice antes del primer año de edad. Sin embargo, otros autores(10) defienden la realización de la cirugía en mayores de 1 año por el menor riesgo anestésico, así como una mejor valoración radiológica y planificación quirúrgica. Usami et al.(11) argumentan que no existen diferencias estadísticamente significativas entre realizar la intervención en menores de 5 años frente a mayores de 5 años.

¿Qué técnica realizar?

Si el paciente está asintomático, no presenta alteraciones estéticas llamativas, no desea cirugía o presenta mucha comorbilidad, una posibilidad terapéutica conservadora sería la modificación del calzado. Por otro lado, en caso de polidactilias simples sin afectación ósea, se puede realizar una ligadura al nacimiento, como se viene realizando en ocasiones en las polidactilias de las extremidades superiores(12). Existen múltiples posibilidades terapéuticas, dada la gran variabilidad anatómica de la polidactilia(13).

En nuestro caso clínico y coincidiendo en los principios básicos con las técnicas descritas en la literatura(14), se realiza una escisión completa del sexto dedo junto al metatarsiano duplicado, dejando un buen contorno lateral.

¿Qué complicaciones a corto y a largo plazo se pueden encontrar?

En función de la evidencia científica actual(15), las complicaciones perioperatorias pueden ser: la infección del lecho quirúrgico, con una incidencia del 2,5%, sin necesidad en la mayoría de los casos de reintervención; o un dolor intermitente y local, sin repercusión futura, referido en menos del 12% de los casos.

Por otro lado, dentro de las complicaciones observadas a largo plazo se encuentran: deformidades residuales en comparación con el pie contralateral hasta en un 41,2% de los casos. Sin embargo, dado que se tratan principalmente de diferencias mínimas en longitud y grosor del pie, no existe una afectación funcional significativa. Podemos encontrarnos con alteraciones de la movilidad del dedo en un 7,8% de los casos, sin gran repercusión funcional, o alteraciones en el eje; valgo residual en el 10,6% (por este motivo, un valgo del sexto dedo condiciona la indicación de escisión del sexto dedo, a pesar de tratarse este del dedo dominante) y varo residual en el 0,92%. Otras opciones para prevenir el valgo residual son: la reconstrucción del ligamento colateral, pulir la cabeza del metatarsiano o usar colgajos de todo el espesor cutáneo para la región medial del quinto dedo(16). Por último, solo un 0,78% presenta dificultad significativa para calzarse(17).

Conclusión

La polidactilia es la malformación congénita del pie más frecuente, con una incidencia de 2/1.000 casos recién nacidos y representando un 45% de las malformaciones del pie. Aunque la mayor parte de los casos en nuestro medio se diagnostica y se trata a edades tempranas, nuestro caso clínico acudió a la edad de 46 años; esto puede deberse a que el paciente no consultó hasta la aparición de los síntomas. Presentamos un caso clínico de polidactilia postaxial correctamente resuelta mediante resección externa de la duplicación del quinto metatarsiano, así como del sexto dedo.

El objetivo del tratamiento de la polidactilia es conseguir un pie con buen apoyo y adecuado contorno, compatible con el uso de un calzado normal.

El tratamiento quirúrgico suele ofrecer buenos resultados; es muy importante una cuidadosa valoración preoperatoria de cada caso, dada la gran variabilidad en su presentación clínica.

Figuras

Figura 1. Imagen clínica de polidactilia postaxial. 

Figura 2. Imagen radiológica de duplicación del quinto metatarsiano.

Figura 3. Abordaje lateral identificando el paquete vasculonervioso.

Figura 4. Exéresis del dedo lateral con su falange.

Figura 5. Resultado clínico a los 12 meses.

Figura 6. Resultado radiológico a los 12 meses.

Cita bibliográfica

D’Arrigo Azzarelli AF, Garralda Del Villar M, Etxerreta Fernández de Casadevante A, Albiñana Cunningham JN, García Mata SPolidactilia postaxial: a propósito de un caso. Rev Pie Tobillo. 2023;37(2):126-31. doi: 10.24129/j.rpt.3702.fs2303007

Responsabilidades éticas

Protección de personas y animales. Los autores declaran que para esta investigación no se han realizado experimentos en seres humanos ni en animales.

Confidencialidad de los datos. Los autores declaran que han seguido los protocolos de su centro de trabajo sobre la publicación de datos de pacientes.

Derecho a la privacidad y consentimiento informado. Los autores declaran que en este artículo no aparecen datos de pacientes.

Financiación. Los autores declaran que este trabajo no ha sido financiado.

Conflicto de intereses. Los autores declaran no tener ningún conflicto de interés.

Referencias bibliográficas

  • 1
    Kelly DM, Mahmoud K, Mauck BM. Polydactyly of the Foot: A Review. J Am Acad Orthop Surg. 2021;29(9):361-9.
  • 2
    Benjamin I, Johns R, Oseji O, Anderson T, Mercardo F, Arruana V, et al. Polydactyly of the fetal foot: A case report and review of the literature. J Natl Med Assoc. 2022;114(4):406-11.
  • 3
    Venn-Watson EA. Problems in polydactyly of the foot. Orthop Clin North Am. 1976 Oct 1;7(4):909-27.
  • 4
    Seok HH, Park JU, Kwon ST. New classification of polydactyly of the foot on the basis of syndactylism, axis deviation, and metatarsal extent of extra digit. Arch Plast Surg. 2013;40(3):232-7.
  • 5
    Chocron Y, Kazan R, Abi-Rafeh J, Lessard A, Thibaudeau S. Lower extremity postaxial polydactyly: current literature status and future avenues. J Plast Reconstr Aesthetic Surg. 2021;74(11):2977-92.
  • 6
    Uda H, Sugawara Y, Niu A, Sarukawa S. Treatment of Lateral Ray Polydactyly of the Foot: Focusing on the Selection of the Toe to Be Excised. Plast Reconstr Surg. 2002 Apr;109(5):1581-91.
  • 7
    Phelps DA, Grogan DP. Polydactyly of the foot. J Pediatr Orthop. 1985;5(4):446-51.
  • 8
    Kubat O, Antičević D. Does timing of surgery influence the long-term results of foot polydactyly treatment? Foot Ankle Surg. 2018 Aug 1;24(4):353-8.
  • 9
    Mullick S, Borschel GH. A selective approach to treatment of ulnar polydactyly: preventing painful neuroma and incomplete excision. Pediatr Dermatol. 2010;27(1):39-42.
  • 10
    Woo SJ, Kim BJ, Kwon ST. Case-control study of the treatment of postaxial polysyndactyly of the foot: comparison of surgical results after removal of the fifth or sixth toe. Arch Plast Surg. 2021;48(1):91-7.
  • 11
    Usami S, Kodaira S, Okazaki M. Primary On-Top Plasty for Treatment of Short-type Postaxial Polydactyly of the Foot. Ann Plast Surg. 2016;77(2):223-5.
  • 12
    Liao W, Jiang L, Zheng P. On-Top Plasty at the Level of the Metatarsal Neck for Treatment of Polydactyly. Front Pediatr. 2022;10(June):1-5.
  • 13
    Takagi T, Seki A, Mochida J, Takayama S. On-top plasty as a treatment for floating finger. J Plast Reconstr Aesthetic Surg. 2015 Jun;68(6):876-7.
  • 14
    Iba K, Wada T, Kanaya K, Oki G, Yamashita T. An individualized approach to surgical reconstruction for lateral polydactyly of the foot with an emphasis on collateral ligament reconstruction. Plast Reconstr Surg. 2012 Nov;130(5):673e-680e.
  • 15
    Park GH, Jung ST, Chung JY, Park HW, Lee DH. Toe component excision in postaxial polydactyly of the foot. Foot Ankle Int. 2013 Apr;34(4):563-7.
  • 16
    Watanabe H, Fujita S, Oka I. Polydactyly of the foot: an analysis of 265 cases and a morphological classification. Plast Reconstr. Surg. 1992;89:856-77.
  • 17
    Galois L, Mainard D, Delagoutte JP. Polydactyly of the foot. Literature review and case presentations. Acta Orthop Belg. 2002 Oct;68(4):376-80.

Descargar artículo: 

Icono PDF rpt.3702.fs2303007-polidactilia-post-axial-a-proposito-caso.pdf

Licencia: 

Este contenido es de acceso abierto (Open-Access) y se ha distribuido bajo los términos de la licencia Creative Commons CC BY-NC-ND (Reconocimiento-NoComercial-SinObraDerivada 4.0 Internacional) que permite usar, distribuir y reproducir en cualquier medio siempre que se citen a los autores y no se utilice para fines comerciales ni para hacer obras derivadas.

Comparte este contenido

En esta edición