Artrodesis tibiotalocalcánea con aloinjerto de hemicóndilo femoral en pacientes con defectos óseos astragalinos masivos. Descripción de la técnica quirúrgica y sus resultados
Tibiotalocalcaneal arthrodesis with femoral hemicondyle for patients with massive bone defects. Surgical technique and results
Resumen:
La artrosis con defectos óseos masivos astragalinos es una patología poco común y con una etiología muy variada. El tratamiento de esta enfermedad suele ser un reto para el cirujano ortopédico, complicando la toma de decisión en cuanto a qué técnica quirúrgica utilizar para mantener el miembro y disminuir el dolor. El método más utilizado es la artrodesis tibiotalocalcánea (TTC) con uso de aloinjerto estructural para rellenar el defecto óseo. Clásicamente, el aloinjerto más utilizado es el de cabeza femoral, pero su baja tasa de consolidación ha hecho que se investigue en el uso de otros injertos como el de tibia proximal. Este estudio realiza una descripción de una técnica quirúrgica novedosa realizando la artrodesis TTC con aloinjerto estructural de hemicóndilo femoral y los resultados de esta en 2 pacientes: una mujer de 75 años con artrosis postraumática con necrosis astragalina y un varón de 55 años con secuelas de una infección de la prótesis del tobillo. Se observa una consolidación muy elevada de las interfases tibia-aloinjerto y aloinjerto-astrágalo con disminución del dolor, apoyo plantígrado y escala de la American Orthopaedic Foot and Ankle Society (AOFAS) media de 69.
Abstract:
Osteoarthritis with massive talar bone defects is a rare pathology with a highly varied etiology. Treatment of this disease is usually a challenge for the orthopedic surgeon, making the decision of which surgical technique to use to maintain the limb and reduce pain. The most widely used method is tibiotalocalcaneal (TTC) arthrodesis using structural allograft to fill the bone defect. Classically, the most used allograft is femoral head, but its low consolidation rate has led to the research of other grafts such as the proximal tibia. This study describes a new surgical technique of TTC arthrodesis using femoral hemicondyle as structural allograft and its results in 2 patients: a 75-year-old woman with post-traumatic osteoarthritis with talar necrosis and a 55-year-old man with sequelae of infection on ankle prosthesis. We found high consolidation rate of the tibial-allograft and allograft-talus interface with decreased pain, plantigrade support and a mean American Orthopedic Foot and Ankle Society (AOFAS) scale of 69.
Introducción
La artrodesis tibiotalocalcánea (TTC) está indicada en los casos de artrosis de tobillo primaria Van Dijk III (clasificación radiológica de artrosis en la que el estadio III incluye desaparición de la línea articular o deformidad) con dolor, deformidad e inestabilidad; sin embargo, cada vez es más habitual en las consultas observar casos más complejos con cirugías previas (como artroplastias de tobillo fallidas) en ese tobillo o artrosis severas. Estas patologías pueden producir grandes defectos óseos astragalinos mayores del 50%, lo cual genera incertidumbre en los cirujanos ortopédicos a la hora de decidir qué técnica utilizar para tratar estos pacientes(1,2).
Ante estos defectos óseos, las opciones que se pueden realizar son la artrodesis TTC sin injerto, astragalectomía o el uso de injertos estructurales con artrodesis TTC para recuperar la longitud original del miembro(3).
En cuanto a las opciones de utilización de injertos, se pueden realizar autoinjertos, aunque la mayoría tiene el inconveniente de producir comorbilidad en el sitio de donación, o aloinjertos óseos, siendo el más usado el de la cabeza femoral. En estos casos, se realiza un tallado de la zona receptora de la tibia distal mediante una fresa de cotilo, para aumentar la congruencia del injerto, y se coloca la cabeza femoral en la zona defectiva de astrágalo. Su mayor problema es la limitada tasa de consolidación observada en los estudios, por lo que autores como Escudero et al. han realizado últimamente estudios en busca de alternativas, como el uso de injerto de tibia distal metafisaria, con mejores tasas de consolidaciones y mejores resultados funcionales(3,4).
Como técnica novedosa se ha descrito en los últimos años el uso de cajas de tantalio y esferas impresas en 3D que permiten rellenarse con autoinjerto con buenos resultados, pero con un mayor coste(5,6).
El objetivo de nuestro estudio es realizar una descripción de una técnica novedosa con el uso de aloinjerto de hemicóndilo femoral tallado para rellenar el defecto óseo astragalino en pacientes con grandes defectos óseos fijados con clavo intramedular retrógrado.
Técnica quirúrgica
Se coloca al paciente en decúbito supino con saquete para aumentar la rotación interna del miembro y, bajo anestesia raquídea e isquemia en el muslo, se procede al abordaje lateral en palo de hockey. Se realiza una osteotomía oblicua del peroné distal a nivel suprasindesmal y exéresis de este. A continuación, se preparan ambas superficies articulares realizando cortes planos paralelos a la planta del pie en la tibia y el astrágalo intentando preservar la mayor cantidad de hueso posible. Posteriormente, se perforan las superficies óseas con una aguja de Kirschner de 2 mm para favorecer un lecho sangrante y se pasa a realizar la preparación del aloinjerto de cadáver.
rpt.3702.fs2304010-figura1.png

Figura 1. Se observa la secuencia de tallado del aloinjerto de hemicóndilo femoral y la introducción en el paciente. A y B: aloinjerto de hemicóndilo femoral de banco de tejido en visión lateral y anteroposterior; C: tallado mediante sierra del aloinjerto; D: introducción del aloinjerto tallado desde incisión lateral previo a artrodesis.
Se realiza toma de cultivos y muestras de lavado del aloinjerto de cadáver de hemicóndilo femoral y seguidamente se lleva a cabo el tallado del injerto desde la zona lateral para preservar la mayor cantidad de hueso esponjoso. Si es necesario, este tipo de injerto permite su sujeción desde la zona metafisaria y usarlo de palanca para evaluar el gap tibiotalar y observar si fuese necesario continuar con el tallado (Figuras 1 y 2).
rpt.3702.fs2304010-figura2.png

Figura 2. Se observa hemicóndilo de fantoma recreando el aloinjerto utilizado. Se utiliza la metáfisis como mango o palanca para facilitar el tallado de la cortical externa hasta el hueso trabecular para ser usado como injerto. La metáfisis puede ser utilizada también para facilitar la introducción y retirada en el gap tibiotalar y observar si es necesario perfilar el tallado en alguna zona.
Tras este tallado, se coloca en la zona receptora para cubrir el defecto controlando que consigamos un pie en eje neutro, plantígrado y evitando en todo momento el exceso de flexión plantar o dorsal. Si fuese necesario, se realizan correcciones del tallado del injerto para cambiar la angulación, en caso de no ser la adecuada. Una vez hayamos conseguido la correcta alineación, se procede a realizar la síntesis mediante un clavo intramedular retrógrado bloqueado. Se introduce aguja con oliva retrógrada y se realiza el fresado progresivo del canal intramedular. Se objetivará la gran estabilidad del injerto tallado, ya que al ser un bloque óseo resistente no rotará, no se moverá, ni se fragmentará.
Una vez se introduce el clavo intramedular, este se bloquea y se realizan controles radiográficos para observar la correcta fijación. Finalmente, se realizan cortes con la sierra de la zona metafisaria del aloinjerto sobrante y se realiza cierre por planos.
En el postoperatorio inmediato se realiza inmovilización con férula suropédica durante 2 semanas. A las 2 semanas, se realiza la retirada de los puntos y se cambia la férula por una bota de tipo Walker rígida de protección para comenzar la carga parcial 6 semanas tras la cirugía.
Resultados del autor
Caso 1
Se trata de una mujer de 75 años con antecedentes de fractura de tobillo transindesmal de peroné tratada mediante tratamiento conservador (Figura 3). Un año tras la fractura, en el seguimiento en consultas se observa pseudoartrosis y desplazamiento de la fractura progresivo acompañado de un aplanamiento de la cúpula astragalina (Figura 3). Tras fracaso del tratamiento conservador y ante el dolor incoercible, un año tras la fractura, se realiza tomografía computarizada (TC) para objetivar el stock óseo astragalino y para la planificación quirúrgica. En esta se observa osteonecrosis astragalina con pérdida de stock óseo del 60% aproximadamente (Figura 3). Es por ello que se decide realizar una técnica de artrodesis TTC con aloinjerto estructural utilizando hemicóndilo femoral.
rpt.3702.fs2304010-figura3.png

Figura 3. Radiografías del caso 1. Mujer de 75 años con artrosis de tobillo postraumática. A y B: radiografías anteroposterior y lateral 1 año tras la fractura, observándose pseudoartrosis de la fractura del peroné y artrosis subtalar con pérdida de stock óseo; C y D: radiografías anteroposterior y lateral posquirúrgicas inmediatas tras artrodesis con aloinjerto de hemicóndilo femoral.
A los 10 meses tras la cirugía se objetiva dificultad para el calzado y protrusión de uno de los tornillos del bloqueo distal del calcáneo, siendo necesaria la extracción del material de osteosíntesis (EMO) en consulta.
Un año tras la cirugía, la paciente se encuentra con una escala visual analógica (EVA) de 0 sobre 10, apoyo plantígrado, deambulando sin ayudas externas y con una escala de la American Orthopaedic Foot and Ankle Society (AOFAS) de 71. En la TC de control se observa consolidación del 100% de la superficie medida en la interfase injerto-tibia y del 80% aproximadamente en el caso de la interfase injerto-astrágalo de la artrodesis y pseudoartrosis subtalar (Figura 4). Por último, se realiza medición en la radiografía lateral de la altura del aloinjerto en anterior y posterior, y se hace una media entre ambas mediciones. Se obtiene una medida posquirúrgica inmediata de 9,4 mm y una media tras un año de la cirugía de 8,82 mm.
rpt.3702.fs2304010-figura4.png

Figura 4. Tomografías computarizadas (TC) de los casos 1 y 2 un año tras la cirugía. A y B: cortes coronal y longitudinal de TC del caso 1, en los cuales se observa extracción del tornillo de bloqueo calcáneo más distal y consolidación parcial de la interfase injerto-tibia e injerto-astrágalo con pseudoartrosis subtalar; C y D: cortes coronal y longitudinal de TC del caso 2, en los que se observa consolidación parcial de las interfases injerto-tibia e injerto-astrágalo con pseudoartrosis subtalar.
Caso 2
Un varón de 55 años es intervenido en 2020 por artrosis postraumática tibiotalar mediante prótesis total de tobillo de metal trabecular. La evolución del paciente es satisfactoria, pero tras un año de la cirugía presenta dolor progresivo que le dificulta la marcha. Se realiza radiografía anteroposterior y lateral sin signos de aflojamiento ni movilización de los componentes (Figura 5). Ante la sospecha de una posible infección se realiza analítica con reactantes de fase aguda con valores dentro de la normalidad y gammagrafía con leucocitos marcados que informa de captación en fase inflamatoria a nivel del maléolo interno.
rpt.3702.fs2304010-figura5.png

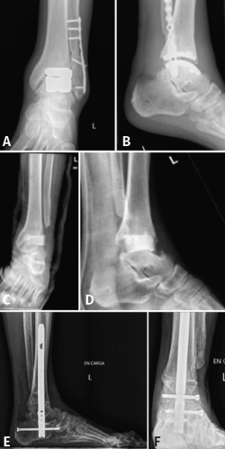
Figura 5. Radiografías del caso 2. Hombre de 55 años con artrodesis tras rescate de prótesis de tobillo. A y B: radiografías anteroposterior y lateral 1 año tras la prótesis de tobillo de tipo TM sin signos de aflojamiento ni movilización del material; C y D: radiografías anteroposterior y lateral posquirúrgicas tras el primer tiempo de retirada de la prótesis y espaciador de cemento; E y F: radiografías anteroposterior y lateral 10 meses tras la artrodesis tibiocalcánea en las que se observa consolidación de las interfases tibia-aloinjerto y astrágalo-aloinjerto.
Ante estos resultados y por la posible infección de la prótesis, se decide realizar EMO de la placa del peroné y toma de cultivos, que son positivos para Staphylococcus epidermidis meticilín resistente. Antes de realizar la cirugía, un año y medio tras la implantación de la prótesis, el paciente acude a urgencias por la aparición de una fístula con salida de material purulento en la zona medial. Por este motivo, se realiza tratamiento antibiótico con linezolid y rifampicina, y se propone al paciente artrodesis TTC de rescate en 2 tiempos: un primer tiempo de retirada de la prótesis, exéresis del peroné distal para preparar la zona para la cirugía posterior, toma de muestras para cultivo y espaciador con cemento con antibiótico (vancomicina y gentamicina) (Figura 5). El cultivo de la muestra intraquirúrgica fue positivo para Staphylococcus lugdunensis sensible a linezolid, siendo necesario asociar dicho antibiótico durante 2 meses.
Finalmente, 4 meses tras la retirada de la prótesis y comprobando que los parámetros clínicos y analíticos estaban normalizados, se realiza el segundo tiempo, procediéndose a artrodesis TTC con aloinjerto estructural debido al poco stock óseo remanente en el astrágalo. Un año tras la cirugía, el paciente se encuentra asintomático, presenta apoyo plantígrado y una escala de la AOFAS de 67. Los parámetros inflamatorios analíticos se han normalizado y en la TC de control se observa consolidación > 90% de las interfases injerto-tibia e injerto-astrágalo, aunque también pseudoartrosis de la articulación subtalar (Figura 4). De nuevo, se realizan las medias de altura del injerto, siendo en la radiografía posquirúrgica inmediata de 12 mm y 1 año tras la cirugía de 9,03 mm.
Resultados en la bibliografía
No ha sido descrita esta técnica en la literatura al tratarse de una técnica novedosa, pero se realiza revisión bibliográfica de las diferentes cirugías ya conocidas.
Cabe destacar el uso de autoinjertos de peroné distal como injerto estructural como el descrito en el estudio de Paul et al. En este, se describe una consolidación muy elevada y pocas complicaciones; sin embargo, este tipo de injertos aumentan el tiempo quirúrgico, siendo en ocasiones difíciles de tallar. Además, no son tan estables como el propuesto por nosotros, siendo necesario habitualmente añadir a la estabilización con clavo intramedular una placa bloqueada anterior(7).
Los resultados clínicos observados en el uso de injertos de cabeza femoral son buenos, con disminución del dolor y correcta estabilidad tras la cirugía, habiéndose descrito una tasa de éxito de la cirugía de hasta el 84%, en el caso del estudio de Berkowitz et al. A pesar de estos buenos resultados, cuando se examina minuciosamente el artículo, se observa que la tasa de pseudoartrosis es elevada, siendo descrita desde un 50-43% aproximadamente en los diferentes artículos. En cuanto a los factores que favorecían esta no unión, solamente Jeng et al. estudió el impacto de los antecedentes personales en la aparición de pseudoartrosis, observándose la diabetes como único factor de riesgo encontrado(4,8,9).
El uso de aloinjerto de tibia distal metafisaria para rellenar el defecto óseo tiene las ventajas de ser más anatómico que el de cabeza femoral y al ser insertado producir un efecto pressfit con alto contacto de las corticales. En su estudio, Escudero et al. objetiva una tasa de consolidación del 80% de los casos independientemente del sistema de fijación utilizado, ya fuese clavo intramedular, placa bloqueada o tornillos aislados. Además, también observaron que en un 88% de los pacientes no se producía un colapso del injerto tras una media de 2 años de seguimiento. En cuanto a las complicaciones de la técnica, se describe un caso de pseudoaneurisma y uno de dehiscencia de la herida. El mayor inconveniente de este tipo de injerto es que no está usualmente disponible en banco de tejido, siendo necesario solicitarlo previamente(3).
Por esta razón, se busca otro tipo de aloinjerto que teóricamente pudiese semejar las tasas de unión obtenidas con el injerto de tibia proximal, pero con mayor disponibilidad en banco de tejidos, como es el aloinjerto de hemicóndilo femoral. Este tipo de injerto, además, debido a su conformación anatómica, permite su tallado a medida con facilidad y precisión al sujetarse en la zona metafisaria. También, es posible sujetarlo desde la zona diafisaria y utilizarlo a modo de palanca para evaluar en cada momento el gap del defecto óseo que se va a rellenar para conseguir un injerto lo más homogéneo y congruente posible con la articulación tibiotalar.
Al igual que Escudero et al., se realizaron medidas del injerto tanto inmediatamente tras la cirugía como 1 año después. Se observa que solo en el caso 2 se produce un colapso del injerto desde 12 hasta 9 mm. Esta complicación es parecida a lo observado en otros estudios, donde aloinjertos de cabeza femoral pueden colapsarse hasta 3,6 mm y los aloinjertos de tibia distal hasta un 25% en un tercio de los pacientes(3,4,8).
Cabe destacar que la aparición de la pseudoartrosis subtalar asintomática es frecuente en caso de artrodesis TTC, incluso en casos primarios sin injerto. Como complicaciones menores, se ha descrito en uno de los casos la necesidad de EMO del tornillo de bloqueo más distal del clavo por aflojamiento y protrusión, no siendo necesario realizarlo en quirófano y sin presentar otras complicaciones(10).
Conclusión
El uso de aloinjerto estructural de hemicóndilo femoral es una buena opción para utilizar en la artrodesis TTC en pacientes con grandes defectos astragalinos con unos buenos resultados clínico-funcionales a corto plazo. Además, es un aloinjerto fácil de conseguir y con altas tasas de unión. Como limitación principal, nuestro estudio presenta la descripción de 2 casos únicamente, pero a pesar de ello presenta unos resultados prometedores en el campo.
Figuras
Figura 1. Se observa la secuencia de tallado del aloinjerto de hemicóndilo femoral y la introducción en el paciente. A y B: aloinjerto de hemicóndilo femoral de banco de tejido en visión lateral y anteroposterior; C: tallado mediante sierra del aloinjerto; D: introducción del aloinjerto tallado desde incisión lateral previo a artrodesis.
Figura 2. Se observa hemicóndilo de fantoma recreando el aloinjerto utilizado. Se utiliza la metáfisis como mango o palanca para facilitar el tallado de la cortical externa hasta el hueso trabecular para ser usado como injerto. La metáfisis puede ser utilizada también para facilitar la introducción y retirada en el gap tibiotalar y observar si es necesario perfilar el tallado en alguna zona.
Figura 3. Radiografías del caso 1. Mujer de 75 años con artrosis de tobillo postraumática. A y B: radiografías anteroposterior y lateral 1 año tras la fractura, observándose pseudoartrosis de la fractura del peroné y artrosis subtalar con pérdida de stock óseo; C y D: radiografías anteroposterior y lateral posquirúrgicas inmediatas tras artrodesis con aloinjerto de hemicóndilo femoral.
Figura 4. Tomografías computarizadas (TC) de los casos 1 y 2 un año tras la cirugía. A y B: cortes coronal y longitudinal de TC del caso 1, en los cuales se observa extracción del tornillo de bloqueo calcáneo más distal y consolidación parcial de la interfase injerto-tibia e injerto-astrágalo con pseudoartrosis subtalar; C y D: cortes coronal y longitudinal de TC del caso 2, en los que se observa consolidación parcial de las interfases injerto-tibia e injerto-astrágalo con pseudoartrosis subtalar.
Figura 5. Radiografías del caso 2. Hombre de 55 años con artrodesis tras rescate de prótesis de tobillo. A y B: radiografías anteroposterior y lateral 1 año tras la prótesis de tobillo de tipo TM sin signos de aflojamiento ni movilización del material; C y D: radiografías anteroposterior y lateral posquirúrgicas tras el primer tiempo de retirada de la prótesis y espaciador de cemento; E y F: radiografías anteroposterior y lateral 10 meses tras la artrodesis tibiocalcánea en las que se observa consolidación de las interfases tibia-aloinjerto y astrágalo-aloinjerto.
Información del artículo
Cita bibliográfica
Autores
Guillermo García Cruz
Servicio de Cirugía Ortopédica y Traumatología. Complejo Asistencial de Segovia
Jaime Martí Rizo
Servicio de Cirugía Ortopédica y Traumatología. Complejo Asistencial de Segovia
Gonzalo Gálvez Márquez
Servicio de Cirugía Ortopédica y Traumatología. Complejo Asistencial de Segovia
Fernando Bragado Santa Cruz
Servicio de Cirugía Ortopédica y Traumatología. Complejo Asistencial de Segovia
José Alberto Rodrigo Verguizas
Servicio de Cirugía Ortopédica y Traumatología. Complejo Asistencial de Segovia
Omar Alfonso Guerra Álvarez
Departamento de Cirugía Ortopédica y Traumatología. Hospital Universitario de Segovia
Responsabilidades éticas
Protección de personas y animales. Los autores declaran no haber realizado experimentos en animales ni seres humanos en la realización de esta investigación.
Confidencialidad de los datos. Los autores declaran que han seguido los protocolos de su centro de trabajo sobre la publicación de datos de pacientes.
Derecho a la privacidad y consentimiento informado. Los autores declaran que en este artículo no aparecen datos de pacientes.
Financiación. Los autores declaran que este trabajo no ha sido financiado.
Conflicto de intereses. Los autores declaran no tener ningún conflicto de interés.
Referencias bibliográficas
-
1Adams SB. Salvage Arthrodesis for Failed Total Ankle Replacement. Foot Ankle Clin. 2020 Jun;25(2):281-91.
-
2Herrera Pérez M, Rendón Díaz D, Ojeda Jiménez J, García Paños JP, Martín Vélez P, González Martín D, et al. Papel de la artrodiastasis en la artrosis de tobillo. Mon Act Soc Esp Med Cir Pie Tobillo. 2020;12:33-9. Disponible en: https://fondoscience.com/mon-act-semcpt/num12-2020/fs2005006-papel-artrodiastasis-en-la-artrosis-de-tobillo.
-
3Escudero MI, Poggio D, Álvarez F, Barahona M, Vivar D, FernÁndez A. Tibiotalocalcaneal arthrodesis with distal tibial allograft for massive bone deficits in the ankle. Foot Ankle Surg. 2019 Jun;25(3):390-7.
-
4Cifaldi A, Thompson M, Abicht B. Tibiotalocalcaneal Arthrodesis with Structural Allograft for Management of Large Osseous Defects of the Hindfoot and Ankle: A Systematic Review and Meta-Analysis. J Foot Ankle Surg. 2022 Jul-Aug;61(4):900-6.
-
5Egglestone A, Kakwani R, Aradhyula M, Kingman A, Townshend D. Outcomes of revision surgery for failed total ankle replacement: revision arthroplasty versus arthrodesis. Int Orthop. 2020 Dec;44(12):2727-34.
-
6Abar B, Kwon N, Allen NB, Lau T, Johnson LG, Gall K, Adams SB. Outcomes of Surgical Reconstruction Using Custom 3D-Printed Porous Titanium Implants for Critical-Sized Bone Defects of the Foot and Ankle. Foot Ankle Int. 2022 Jun;43(6):750-61.
-
7Paul J, Barg A, Horisberger M, Herrera M, Henninger HB, Valderrabano V. Ankle salvage surgery with autologous circular pillar fibula augmentation and intramedullary hindfoot nail. J Foot Ankle Surg. 2014 Sep-Oct;53(5):601-5.
-
8Jeng CL, Campbell JT, Tang EY, Cerrato RA, Myerson MS. Tibiotalocalcaneal arthrodesis with bulk femoral head allograft for salvage of large defects in the ankle. Foot Ankle Int. 2013 Sep;34(9):1256-66.
-
9Berkowitz MJ, Sanders RW, Walling AK. Salvage arthrodesis after failed ankle replacement: surgical decision making. Foot Ankle Clin. 2012 Dec;17(4):725-40.
-
10Guerra Álvarez O, García Cruz G, Trinidad Leo A, de la Rubia Marcos A, Ruiz-Andreu Ortega JM, Rodrigo Verguizas JA. Arthroscopic tibiotalocalcaneal arthrodesis. Technique, indications and results. Rev Esp Cir Ortop Traumatol. 2022 Mar-Apr;66(2):105-12.
Descargar artículo:
Licencia:
Este contenido es de acceso abierto (Open-Access) y se ha distribuido bajo los términos de la licencia Creative Commons CC BY-NC-ND (Reconocimiento-NoComercial-SinObraDerivada 4.0 Internacional) que permite usar, distribuir y reproducir en cualquier medio siempre que se citen a los autores y no se utilice para fines comerciales ni para hacer obras derivadas.
Comparte este contenido
En esta edición
- Docencia en cirugía ortopédica y traumatología del pie y tobillo
- Por qué y cómo tratar la inestabilidad lateral crónica de tobillo artroscópicamente. Las preguntas que nos hacemos
- Tasa de publicación de las presentaciones en el congreso de la Sociedad Española de Medicina y Cirugía de Pie y Tobillo. No se publica lo que se comunica
- Triple/Doble artrodesis en el tratamiento del pie plano rígido del adulto: ¿es necesario asociar una osteotomía de Cotton?
- Realidad aumentada: un nuevo enfoque para las deformidades del pie y el tobillo
- Osteotomías supramaleolares de tibia como cirugía de preservación articular en el tobillo: nuestra experiencia en una serie de casos
- Estudio de la actividad muscular en la rotura desapercibida del tendón tibial anterior
- Tenosinovitis del tendón peroneo largo secundaria a un tubérculo peroneal hipertrófico en paciente con miopatía congénita
- Polidactilia postaxial: a propósito de un caso
- Variante de fractura-luxación de Bosworth en paciente con síndrome de Down
- Artrodesis tibiotalocalcánea con aloinjerto de hemicóndilo femoral en pacientes con defectos óseos astragalinos masivos. Descripción de la técnica quirúrgica y sus resultados
- Revista de revistas
Más en PUBMED
Más en Google Scholar
Más en ORCID


Revista del pie y tobillo está distribuida bajo una licencia de Creative Commons Reconocimiento-NoComercial-SinObraDerivada 4.0 Internacional.







