Símbolo Fondo Science

Contacte para más información en el teléfono +34 629 829 605

Revista Española de Traumatología Laboral

Sociedad Española de Traumatología Laboral (SETLA)

Cabecera Vol. 4. Fasc. 1. Núm. 7. Junio 2021
ISSN online: 2659-7535
ISSN impreso: 2605-0579
Vol. 4. Fasc. 1. Núm. 7. Junio 2021
10.24129/j.retla.04107.fs2105009
Recibido: 28 de enero de 2021
Aceptado: 19 de abril de 2021
Casos Clínicos

Pseudoartrosis de radio distal. A propósito de un caso

Distal radius fracture nonunion. A case report

Rev Esp Traum Lab. 2021;4(1):78-82

Resumen: 

La pseudoartrosis en las fracturas de radio distal es una complicación infrecuente. Presentamos el caso de un varón de 52 años, fumador de 20 cigarrillos diarios desde hacía unos 40 años, con antecedentes de ausencia de consolidación repetida en artrodesis trapeciometacarpiana, que desarrolla una pseudoartrosis tras una fractura de radio distal intervenida con placa volar bloqueada. A los 6 meses precisa una reintervención para la retirada de la placa, refrescado del foco, injerto autólogo de cresta ilíaca y nueva síntesis de radio distal. Ante la falta de progreso radiológico pasados 3 meses de la segunda cirugía abierta, se convenció al paciente para iniciar el tratamiento específico de cese del hábito tabáquico y se inició una ampliación del estudio de las comorbilidades, encontrando un déficit grave de vitamina D. Con los niveles restituidos de vitamina D y fumando solamente 1 a 4 cigarrillos diarios, comenzó a los 6 meses de la cirugía a mostrar puentes óseos que se confirmaron como consolidación suficiente a los 9 meses. En casos de ausencia de consolidación de causa incierta, consideramos útil el despistaje y el tratamiento de factores de riesgo asociados como la deficiencia de vitamina D y el tabaquismo.

Abstract: 

Nonunion in distal radius fractures is a rare complication. We describe the case of a 52-year-old man, a smoker of 20 cigarettes a day for about 40 years, with a history of repeated failure of a trapeziometacarpal arthrodesis, who developed a nonunion of a distal radius fracture after an open reduction and volar locking plate fixation. At 6 months, he required a reoperation to remove the plate, refresh the bone and using autologous iliac crest graft and new internal fixation of the distal radius. Three months after the second open surgery there was no signs of consolidation progress. The patient was finally referred for specific treatment for smoking cessation and other possible comorbidities were studied. We found a severe vitamin D deficiency. Once the levels of vitamin D were restored and the patient was smoking only 1 to 4 cigarettes a day, the fracture began to show bone bridges (6 months after the second surgery) and evolved to sufficient bone healing at 9 months. In cases of nonunion of uncertain cause, we consider the screening and treatment of associated risk factors such as vitamin D deficiency and smoking to be useful.

Introducción

Las fracturas de radio distal y su tratamiento pueden tener altas tasas de complicaciones, que en la literatura varían entre un 6 y un 80%(1), pero, de ellas, la pseudoartrosis es realmente infrecuente. La Food and Drug Administration (FDA) define la pseudoartrosis en líneas generales como la ausencia de consolidación a los 9 meses de la fractura con ausencia de progreso radiológico en los últimos 3 meses. Los huesos no se comportan siempre de la misma manera y en el radio distal, zona particularmente bien vascularizada(2), se habla de un retraso de la consolidación a los 4 meses y de pseudoartrosis a los 6 meses de la lesión(3). Hay autores que afirman que su incidencia parece estar en aumento(4): en la serie histórica de Bacorn et al. con 2.000 pacientes era de un 0,2%(5), mientras que en una serie más reciente de MacKay et al. en 250 pacientes es de entre un 0,7 y un 4%(6). La ausencia de consolidación es más frecuente en tratamientos conservadores o con osteosíntesis poco estables; el hecho de que ocurra en un radio tratado con placa volar bloqueada es extremadamente raro(7).

Presentamos un caso de fractura de extremidad distal del radio sintetizada con placa volar bloqueada que evolucionó a pseudoartrosis e intentamos analizar los factores que pudieron llevar a esta situación.

Caso clínico

El paciente es un varón de 52 años, obeso (índice de masa corporal –IMC–: 30,25 kg/m²), hipertenso y fumador de unos 20 a 30 cigarrillos diarios desde la adolescencia, que sufrió una caída casual con resultado de fractura cerrada metafisoepifisaria conminuta de radio distal derecho (2R3C3.2 de la clasificación de la AO Foundation/Orthopaedic Trauma Association –AO/OTA–) y fractura de estiloides cubital. Como otros antecedentes personales destacaba el fracaso hasta en 2 cirugías de la fusión trapeciometacarpiana de la misma mano, que se dejó finalmente sin consolidar y sin material 5 años antes de este episodio.

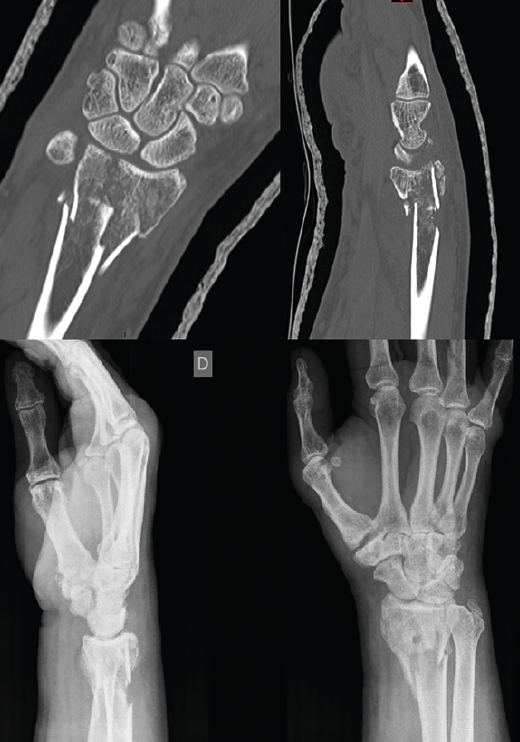
retla.04107.fs2105009-figura1.png


Figura 1. Radiografía simple y tomografía computarizada de fractura.

Se realiza radiografía simple y tomografía axial computarizada (TAC) (Figura 1). Se llevó a cabo la osteosíntesis con una placa volar Acu-Loc 2® distal ancha larga de Acumed y aporte de hueso de banco liofilizado en el foco metafisario. Se consiguió una reducción correcta (Figura 2). La herida evolucionó sin incidencias y se mantuvo al paciente 3 semanas inmovilizado con férula en U bloqueando la pronosupinación (sugar tongue). Posteriormente, inició una rehabilitación progresiva, con uso de ortesis rígida de descarga y controles clínicos y radiológicos cada 4-5 semanas.

retla.04107.fs2105009-figura2.png


Figura 2. Control posquirúrgico (6 semanas).

A los 4 meses de la cirugía, al no progresar radiológicamente y mantener dolor en el foco de la fractura, se decidió realizar una TAC donde se observó reabsorción ósea principalmente del foco metafisario. Valorado con el paciente y pronosticando pseudoartrosis, se realizó en quirófano bajo escopia una infiltración intrafoco con células madre concentradas de su cresta ilíaca mediante el sistema de Palex HBMAC2® Harvest (60 mL).

retla.04107.fs2105009-figura3.png


Figura 3. Ausencia de consolidación establecida, 6 meses de la fractura.

A los 6 meses no existió progreso radiológico y la falta de consolidación se manifestó claramente con pérdida de la reducción progresiva y dolor (Figura 3). En ese momento, se realizó la segunda cirugía abierta: extracción del material de síntesis que presentaba tornillos distales rotos (los bloqueados) y aflojados el resto, toma de muestras para cultivo, toma de muestra para anatomía patológica, limpieza del foco, perforación del hueso distal y proximal, colocación de autoinjerto tricortical estructural impactado y esponjosa de la cresta ilíaca y nueva síntesis con placa Acu-Loc 2® distal estándar larga de Acumed. Se consiguió restituir aceptablemente la longitud del radio respecto a la articulación radiocubital distal, quedando cierta traslación radial y extensión que provocaba una protrusión volar de la zona distal de la placa conformada. No se realizó intervención en la articulación radiocubital distal, ya que no presentaba ni inestabilidad ni dolor significativos, ni signos artrósicos francos.

Las muestras para anatomía patológica confirmaron hallazgos compatibles con pseudoartrosis. Dos muestras remitidas para cultivo (un tornillo y tejido cicatricial del foco de fractura) fueron positivas para Staphylococcus epidermidis sensible a amoxicilina; por ello, se decidió instaurar un tratamiento antibiótico oral (rifampicina 600 mg cada 24 h y amoxicilina-clavulánico 875 mg/125 mg cada 8 h) durante al menos 6 semanas. Se mantuvo hasta comprobar la negativización de los parámetros analíticos (velocidad de sedimentación globular y proteína C reactiva), que se produjo a las 10 semanas.

A las 12 semanas de evolución, el paciente mantenía dolor metafisario y ausencia de progreso radiológico. Se había mantenido una inmovilización estricta con férula y posteriormente yeso, había finalizado el tratamiento antibiótico con negativización de los reactantes de fase aguda en sangre, pero seguía fumando unos 15 cigarrillos diarios. Se explicó al paciente de nuevo la absoluta necesidad de dejar el hábito tabáquico y se realizó un informe para que su médico de atención primaria iniciara el tratamiento médico oportuno. Se realizó un estudio analítico más completo para valorar otros posibles factores etiológicos corregibles (metabolismo de calcio y fósforo, albúmina, función renal y tiroidea). Se objetivó un déficit grave de vitamina D, por lo que se inició tratamiento con calcifediol y calcio. A los 6 meses de la segunda cirugía, tras haber recuperado los niveles de vitamina D y seguir tratamiento con paroxetina fumando entre 1 y 4 cigarrillos diarios, se observa avance en la consolidación, que se confirma como consolidación suficiente a los 9 meses.

retla.04107.fs2105009-figura4.png


Figura 4. Aspecto final al mes de la retirada del material.

El paciente requirió extracción de la placa por tenosinovitis de los flexores al año de la segunda cirugía (Figura 4). La exploración final, al mes de la retirada del material, comprobó un balance activo de los arcos de movimiento: extensión 40°, flexión 60°, desviación radial 20°, desviación cubital 40° y pronosupinación completa. Balance muscular de 4/5, cierre completo del puño y pinza oposición completa.

Al cumplir el plazo de los 12 meses, sin consolidación de la segunda cirugía y teniendo ya reconocida previamente una incapacidad permanente parcial por lesiones previas, se tramitó una incapacidad permanente total.

Discusión

La pseudoartrosis es una complicación infrecuente en esta localización, más aún sin haber afectación de partes blandas asociada y habiéndose realizado una correcta reducción y osteosíntesis estable. No podemos excluir la posibilidad de una distracción excesiva en el foco de fractura, factor de riesgo que parece asociarse también a esta complicación(8), si bien consideramos que la articulación radiocubital distal era congruente con la reducción obtenida.

Consideramos que los antecedentes de no consolidación de la trapeciometacarpiana en 2 ocasiones, intervenida por un cirujano de mano experto, apuntan a un problema biológico de base como origen de la pseudoartrosis de radio distal presentada; si bien estaban presentes ciertos factores propios asociados a la fractura y al desarrollo de esta complicación (conminución y fractura asociada de cúbito distal)(8).

No podemos descartar el origen séptico de la pseudoartrosis, si bien el germen encontrado es comensal habitual y el paciente no mostró signos clínicos de infección ni externos ni internos. Dado el resultado positivo de 2 muestras con la misma bacteria, se realizó un tratamiento oral con 2 antibióticos según el antibiograma y un seguimiento analítico. En la revisión de 6 casos de pseudoartrosis de radio distal de Pardo García et al.(9) se encontró un caso con muestra intraoperatoria positiva para este mismo germen que fue tratado de manera exitosa con 4 semanas de antibioticoterapia oral.

Se han sugerido como factores sistémicos propios del paciente: diabetes mellitus no controlada, déficit de vitamina D, insuficiencia renal, tabaquismo, enfermedad vascular periférica, enolismo, hipotiroidismo, obesidad mórbida, tratamiento con ciertas medicaciones (opioides, corticoides, antiinflamatorios no esteroideos –AINE–)(8,10). En nuestro caso, el paciente era fumador de más de un paquete desde hacía unos 40 años, bebedor, presentaba obesidad y padecía un déficit de vitamina D grave. El tratamiento con AINE fue ocasional y siempre de corta duración por la hipertensión arterial; en este tipo de pautas no se ha podido relacionar un aumento del retraso de la consolidación ni de pseudoartrosis(11).

El déficit de vitamina D conlleva una disfunción musculoesquelética que aumenta el riesgo de fracturas o de pseudoartrosis y reduce la capacidad de curación de las heridas al intensificar la inflamación(12). Aunque no existen guías clínicas de despistaje y tratamiento del déficit de vitamina D en pacientes traumatológicos, actualmente existen estudios que apuntan a que la monitorización y el tratamiento en caso deficitario de esta vitamina permitirían optimizar la curación a distintos niveles tisulares (incluyendo el hueso) con un bajo coste en diagnóstico y tratamiento(13).

En 2016, Pearson et al. presentaron los resultados de un metaanálisis que engloba la fusión ósea comparada en fumadores y no fumadores en diferentes procesos traumatológicos: artrodesis de columna, fracturas y osteotomías. Se encontró que los fumadores tienen globalmente 2,2 veces más riesgo de padecer retraso de la consolidación o ausencia de la misma(14). Parece haber relación proporcional además entre el número de cigarrillos que se fuman y el tiempo necesario para la consolidación. También se ha visto eficaz el cese del tabaquismo de manera postoperatoria en cuanto a la tasa de consolidación ósea.

El paciente fue informado desde el primer momento de que debía dejar el tabaco para optimizar las posibilidades de consolidación. Sin disponer de más herramientas que el convencimiento y la derivación a su médico de cabecera, hasta que no se comprobó que la segunda cirugía abierta estaba en peligro no conseguimos que el paciente iniciara la deshabituación de forma seria.

Conclusiones

En casos de ausencia de consolidación de causa incierta, consideramos útil el despistaje y el tratamiento de factores de riesgo asociados como la deficiencia de vitamina D y el tabaquismo(13). Se debería indicar al paciente que ha sufrido una fractura el cese del hábito tabáquico en cada consulta médica para aumentar las opciones de consolidación de la misma.

Figuras

Figura 1. Radiografía simple y tomografía computarizada de fractura.

Figura 2. Control posquirúrgico (6 semanas).

Figura 3. Ausencia de consolidación establecida, 6 meses de la fractura.

Figura 4. Aspecto final al mes de la retirada del material.

Cita bibliográfica

Blasco Velázquez L, Peralta Vergnol AGPseudoartrosis de radio distal. A propósito de un caso. Rev Esp Traum Lab. 2021;4(1):78-82. doi: 10.24129/j.retla.04107.fs2105009

Responsabilidades éticas

Protección de personas y animales. Los autores declaran que para esta investigación no se han realizado experimentos en seres humanos ni en animales.

Confidencialidad de los datos. Los autores declaran que han seguido los protocolos de su centro de trabajo sobre la publicación de datos de pacientes.

Derecho a la privacidad y consentimiento informado. Los autores han obtenido el consentimiento informado de los pacientes y/o sujetos referidos en el artículo. Este documento obra en poder del autor de correspondencia.

Financiación. Los autores declaran que este trabajo no ha sido financiado.

Conflicto de interés. Los autores declaran no tener ningún conflicto de intereses.

Referencias bibliográficas

  • 1
    Turner RG, Faber KJ, Athwal GS. Complications of distal radius fractures. Hand Clin. 2010 Feb;26(1):85-96.
  • 2
    Lamas C, Llusà M, Méndez A, Proubasta I, Carrera A, Forcada P. Intraosseous vascularity of the distal radius: anatomy and clinical implications in distal radius fractures. Hand (N Y). 2009;4(04):418-23.
  • 3
    Fernández DL, Ring D, Jupiter JB. Surgical management of delayed union and nonunion of distal radius fractures. J Hand Surg Am. 2001;26(2):201-9.
  • 4
    Ring D. Nonunion of the distal radius. Hand Clin. 2005 Aug;21(3):443-7.
  • 5
    Bacorn RW, Kurtzke JF. Colle’s fracture: a study of two thousand cases from the New York State Workmen’s Compensation Board. J Bone Joint Surg Am. 1953;35-A:643-58.
  • 6
    McKay SD, MacDermid JC, Roth JH, et al. Assessment of complications of distal radius fractures and development of a complication checklist. J Hand Surg Am. 2001;26(5):916-22.
  • 7
    Bentohami A, De Burlet K, De Korte N, Van den Bekerom MPJ, Goslings JC, Schep NWL. Complications following volar locking plate fixation for distal radial fractures: a systematic review. J Hand Surg Eur Vol. 2014 Sep;39(7):745-54.
  • 8
    Turner RG, Faber KJ, Athwal GS. Complications of distal radius fractures. Orthop Clin North Am. 2007 Apr;38(2):217-28.
  • 9
    Pardo JM, Jiménez V, Barbería A, García L, Porras M, Cecilia D. Manejo quirúrgico y protocolizado de la pseudoartrosis de radio distal. Rev Iberam Cir Mano. 2020;48:79-86.
  • 10
    Calori GM, Mazza EL, Mazzola S, et al. Non-unions. Clin Cases Miner Bone Metab. 2017 May-Aug;14(2):186-8.
  • 11
    Richards CJ, Graf KW Jr, Mashru RP. The Effect of Opioids, Alcohol, and Nonsteroidal Anti-inflammatory Drugs on Fracture Union. Orthop Clin North Am. 2017 Oct;48(4):433-43.
  • 12
    Valerio MS, Janakiram NB, Goldman SM, Dearth CL. Pleiotropic actions of Vitamin D in composite musculoskeletal trauma. Injury. 2020 Oct;51(10):2099-109.
  • 13
    Nino S, Soin SP, Avilucea FR. Vitamin D and Metabolic Supplementation in Orthopedic Trauma. Orthop Clin North Am. 2019 Apr;50(2):171-9.
  • 14
    Pearson RG, Clement RG, Edwards KL, Scammell BE. Do smokers have greater risk of delayed and non-union after fracture, osteotomy and arthrodesis? A systematic review with meta-analysis. BMJ Open. 2016 Nov 14;6(11):e010303.

Descargar artículo: 

Icono PDF retla.04107.fs2105009-pseudoartrosis-radio-distal.pdf

Licencia: 

Este contenido es de acceso abierto (Open-Access) y se ha distribuido bajo los términos de la licencia Creative Commons CC BY-NC-ND (Reconocimiento-NoComercial-SinObraDerivada 4.0 Internacional) que permite usar, distribuir y reproducir en cualquier medio siempre que se citen a los autores y no se utilice para fines comerciales ni para hacer obras derivadas.

Comparte este contenido

En esta edición

Más en Google Scholar

Más en ORCID

Licencia de Creative Commons
Revista Española de Traumatología Laboral está distribuida bajo una licencia de Creative Commons Reconocimiento-NoComercial-SinObraDerivada 4.0 Internacional.