Símbolo Fondo Science

Contacte para más información en el teléfono +34 629 829 605

Revista Española de Traumatología Laboral

Sociedad Española de Traumatología Laboral (SETLA)

Cabecera RETLA Vol. 5. Fasc. 1. Núm.  9. Junio 2022
ISSN online: 2659-7535
ISSN impreso: 2605-0579
Vol. 5. Fasc. 1. Núm. 9. Junio 2022
10.24129/j.retla.05109.fs2202008
Recibido: 25 de enero de 2020
Aceptado: 27 de abril de 2022
Original

Fracturas del tercio medio de la clavícula. Tratamiento conservador vs. tratamiento quirúrgico

Fractures of the middle third of the clavicle. Conservative treatment vs. surgical treatment

Rev Esp Traum Lab. 2022;5(1):10-4

Resumen: 

Las fracturas del tercio medio de la clavícula suponen entre el 5 y el 10% de las fracturas del adulto y un 40% de las fracturas del hombro.

Su tratamiento puede ser conservador o quirúrgico.

En este estudio, realizamos un análisis del coste/beneficio según el tipo de tratamiento realizado en 120 pacientes y sus complicaciones.

Los resultados de este estudio fueron que, aunque el coste del tratamiento quirúrgico es más alto respecto al conservador, reduce la duración media de la baja laboral y el número de complicaciones.

Abstract: 

Fractures of the middle third of the clavicle account for between 5-10% of fractures in adults and they are supposed a 40% of shoulder fractures.

The treatment can be conservative or surgical.

In this study, we performed a cost/benefit analysis according to the type of treatment performed in 120 patients and their complications.

The results of this study were: although the cost of surgical treatment is higher compared to conservative treatment, it does reduce the average duration of sick leave and the number of complications.

Introducción

La clavícula está unida al tronco por la articulación esternoclavicular.

Tiene forma de ese itálica (S), lo que va a favorecer que las fracturas ocurran en el tercio medio, que es la zona de transición entre la convexidad anterior de su parte medial y la convexidad posterior de la zona más lateral(1).

Entre ella y la primera costilla pasan los vasos subclavios y el plexo braquial, es decir, arterias, venas y nervios hacia el brazo(2).

Tiene una función de puntal, lo que permite al hombro realizar rotación interna y aducción, y otra función de estabilización(2).

Las fracturas del tercio medio de la clavícula suponen el 5-10% de las fracturas del adulto y el 40% de las fracturas del hombro.

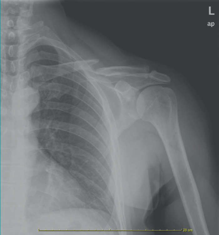
Su desplazamiento va a depender de la tracción que ejerzan los músculos que se insertan en ella: el esternocleidomastoideo, el pectoral mayor y el dorsal ancho(1) (Figura 1).

retla.05109.fs2202008-figura1.png


Figura 1. Fractura del tercio medio de la clavícula.

El mecanismo de producción de una fractura de la clavícula suele ser:

  • La compresión indirecta, al caer el sujeto sobre el hombro o apoyando la mano (caída de la bici o la moto, o simplemente de una altura).
  • También puede producirse directamente (un bastonazo, por ejemplo)(2).

El primero en clasificarlas fue Allman, que las dividió en 3 grupos según la localización de la fractura(3) (Figura 2):

  • Grupo I → fracturas del tercio medio.
  • Grupo II → fracturas del tercio externo.
  • Grupo III → fracturas del tercio interno.

Las del tercio medio suponen aproximadamente un 70-80% de todas ellas, las laterales entre un 25 y un 30%, y las mediales alrededor de un 2% únicamente(2).

retla.05109.fs2202008-figura2.png


Figura 2. Clasificación de Allman. Modificado de: ClinicalKey.

Más tarde, Neer subdividió el grupo II en 3 subtipos según el desplazamiento de los fragmentos.

Craig introdujo una clasificación más detallada, utilizando los subtipos de Neer y añadiendo el tipo de tratamiento que hay que realizar según el tipo o el subtipo de las fracturas(4).

Indicaciones de tratamiento

Los criterios para operar o no cada día se establecen mejor, pero en traumatología el tratamiento conservador (no operar) todavía está muy presente.

retla.05109.fs2202008-figura3.png


Figura 3. Tipo de inmovilización.

Actualmente, está aumentando la indicación quirúrgica por diferentes motivos:

  • Recuperar el estado previo a la fractura.
  • Reincorporación temprana a la actividad laboral o deportiva.
  • Estética(1).

retla.05109.fs2202008-figura4.png


Figura 4. Tratamiento quirúrgico.

Por lo tanto, el tratamiento de estas fracturas puede ser:

  • Conservador: vendaje en 8 (en desuso) o cabestrillo. Esta inmovilización se debe aplicar hasta 6-8 semanas (Figura 3).
  • Quirúrgico: placas con tornillos, bloqueados o no bloqueados, o dispositivos intramedulares(1) (Figura 4).

retla.05109.fs2202008-figura5.png


Figura 5. Criterios quirúrgicos relativos. Fuente: ClinicalKey.

Para la elección del tratamiento quirúrgico existen criterios relativos y absolutos:

  • Criterios relativos: desplazamiento menor de 20 mm, patologías neurológicas, politraumatismos, encamamiento prolongado, hombro flotante, intolerancia a la inmovilización, fracturas bilaterales, fractura ipsilateral del miembro superior y criterios estéticos(5) (Figura 5).
  • Criterios absolutos: acortamiento mayor o igual a 20 mm, fractura abierta, deterioro vascular, disociación escapulotorácica, fractura irreductible con riesgo de rotura de la piel, fractura asociada a parálisis del trapecio y patología neurológica progresiva(5) (Figura 6).

retla.05109.fs2202008-figura6.png


Figura 6. Criterios quirúrgicos absolutos. Fuente: ClinicalKey.

Las complicaciones del tratamiento conservador son: deformidad residual, callo hipertrófico, pseudoartrosis y rigidez de hombro (Figura 7).

retla.05109.fs2202008-figura7.png


Figura 7. Complicaciones del tratamiento conservador.

Por otro lado, las complicaciones del tratamiento quirúrgico son:

  • Complicaciones menores: cicatriz queloide, infección, no consolidación, rigidez y pseudoartrosis.
  • Complicaciones mayores: lesiones del plexo braquial, lesiones vasculares, fístulas arteriovenosas o compresión de estructuras del estrecho torácico(1) (Figura 8).

retla.05109.fs2202008-figura8.png


Figura 8. Complicaciones del tratamiento quirúrgico.

Material y método

Nuestro trabajo es un estudio retrospectivo de 10 años (2010-2020) que consta de 120 pacientes (115 hombres y 5 mujeres) con fractura del tercio medio de la clavícula, excluyendo a aquellos pacientes con diagnóstico de polifracturas.

Presentaban una edad media de 38,8 años con un rango entre los 17 y los 69 años.

Se realizó tratamiento conservador a 40 pacientes (33%) y tratamiento quirúrgico a 80 pacientes (67%).

El tratamiento conservador produjo complicaciones en 8 pacientes (20%), fundamentalmente pseudoartrosis, y el tratamiento quirúrgico en 11 pacientes (14%), infección y dolor fundamentalmente.

El promedio de días de baja de los pacientes con tratamiento conservador fue de 128,65 días y el de los pacientes con tratamiento quirúrgico fue de 96,85 días.

Se hizo un cálculo del coste total:

  • En los pacientes tratados de forma quirúrgica se ha tenido en cuenta: coste de la placa, coste de quirófano, coste de días de hospitalización, coste de sesiones de rehabilitación y coste de los días de baja laboral, siendo el coste total del tratamiento de 508.261,08 € con un promedio de 6.353,26 € por paciente.
  • En los pacientes tratados de forma conservadora se tuvo en cuenta el coste de las sesiones de rehabilitación y el coste de los días de baja laboral, siendo el coste total de 128.647,68 € con un promedio de 3.216,20 € por paciente.

Se realizó también el cálculo solo del coste por días de baja laboral:

  • Coste de la baja laboral del tratamiento quirúrgico: 358.798,56 € con un promedio de 4.077 € por paciente.
  • Coste de la baja laboral del tratamiento conservador: 102.786,68 € con un promedio de 3.216 € por paciente.

Resultados

Nuestros resultados fueron los siguientes:

  • El tratamiento quirúrgico produce menor número de complicaciones (14%) y un menor promedio de días de baja (96,85 días).
  • El tratamiento conservador tiene un menor coste del tratamiento total (128.647,68 €) y un menor coste de días de baja (3.216 €) (Tabla 1).

retla.05109.fs2202008-tabla1.png


Tabla 1. Resultados totales del coste de ambos tratamientos

Discusión

Realizando una comparativa con la bibliografía, hemos elegido un trabajo que evalúa los mismos datos que nosotros. Este trabajo realiza un estudio de 7 metaanálisis, llegando a las siguientes conclusiones:

  • El tratamiento quirúrgico produce menor número de complicaciones y un menor coste de la baja laboral.
  • El tratamiento conservador tiene un menor coste total del tratamiento(6) (Tabla 2).

retla.05109.fs2202008-tabla2.png


Tabla 2. Comparativa de nuestros resultados con la revisión bibliográfica

Dado que el tratamiento quirúrgico produce menor número de complicaciones y el número de días de baja es menor, mientras que el tratamiento conservador tiene un coste total del tratamiento y un coste por días de baja menor, deberemos:

  • Valorar cada caso de forma individual.
  • Conocer las pretensiones y las motivaciones del paciente para obtener mejores resultados(1).

Conclusión

Por todo ello, deberemos decidir el tratamiento pensando no solo en el coste económico, sino también en el beneficio de nuestros pacientes.

Figuras

Figura 1. Fractura del tercio medio de la clavícula.

Figura 2. Clasificación de Allman. Modificado de: ClinicalKey.

Figura 3. Tipo de inmovilización.

Figura 4. Tratamiento quirúrgico.

Figura 5. Criterios quirúrgicos relativos. Fuente: ClinicalKey.

Figura 6. Criterios quirúrgicos absolutos. Fuente: ClinicalKey.

Figura 7. Complicaciones del tratamiento conservador.

Figura 8. Complicaciones del tratamiento quirúrgico.

Tablas

Tabla 1. Resultados totales del coste de ambos tratamientos

Tabla 2. Comparativa de nuestros resultados con la revisión bibliográfica

Cita bibliográfica

Suárez Hijarrubia M, Fuentes Sanz A, García de Lucas FFracturas del tercio medio de la clavícula. Tratamiento conservador vs. tratamiento quirúrgico. Rev Esp Traum Lab. 2022;5(1):10-4. doi: 10.24129/j.retla.05109.fs2202008

Responsabilidades éticas

Protección de personas y animales. Los autores declaran que para esta investigación no se han realizado experimentos en seres humanos ni en animales.

Confidencialidad de los datos. Los autores declaran que han seguido los protocolos de su centro de trabajo sobre la publicación de datos de pacientes.

Derecho a la privacidad y consentimiento informado. Los autores declaran que en este artículo no aparecen datos de pacientes.

Financiación. Los autores declaran que este trabajo no ha sido financiado.

Conflicto de interés. Los autores declaran no tener ningún conflicto de intereses.

Referencias bibliográficas

  • 1
    Gómez MJ, González D, Ordóñez F, Guijarro R. Fracturas diafisarías de clavícula: tratamiento conservador o quirúrgico. Rev Esp Traum Lab. 2019;2(2):85-91.
  • 2
    Codesio P. Fractura de clavícula: ¿me opero? En: Dr. Pablo Codesio. Traumatología, cirugía ortopédica y lesiones deportivas. A Coruña; 2011. Disponible en: https://drpablocodesido.com/2011/11/18/fractura-de-clavicula-me-opero/.
  • 3
    Hernández Cortés P. Fractura de clavícula. En: Marco Martínez F. Patología traumática del hombro. Elsevier; 2022. pp. 55-75.
  • 4
    Corral Díaz R, Muñoz Núñez L. Fracturas y luxaciones de la clavícula. Hospital Fraternidad-Muprespa.
  • 5
    Bucholz RW, Heckman JD. Rockwood & Green’s. Fracturas en el adulto. Fracturas de clavícula. Tomo I, capítulo 26. Marbán; 2017. pp. 1041-78.
  • 6
    Banco de Preguntas Preevid. Indicaciones del tratamiento quirúrgico en pacientes adultos con fracturas cerradas del tercio medio de la clavícula. Biblioteca Virual MurciaSalud; 2013. Disponible en: https://www.murciasalud.es/preevid/19714.

Descargar artículo: 

Icono PDF retla.05109.fs2202008-fracturas-tercio-medio-clavicula-tratamiento-conservador.pdf

Licencia: 

Este contenido es de acceso abierto (Open-Access) y se ha distribuido bajo los términos de la licencia Creative Commons CC BY-NC-ND (Reconocimiento-NoComercial-SinObraDerivada 4.0 Internacional) que permite usar, distribuir y reproducir en cualquier medio siempre que se citen a los autores y no se utilice para fines comerciales ni para hacer obras derivadas.

Comparte este contenido

En esta edición

Licencia de Creative Commons
Revista Española de Traumatología Laboral está distribuida bajo una licencia de Creative Commons Reconocimiento-NoComercial-SinObraDerivada 4.0 Internacional.