Símbolo Fondo Science

Contacte para más información en el teléfono +34 629 829 605

Revista Española de Traumatología Laboral

Sociedad Española de Traumatología Laboral (SETLA)

Cabecera RETLA Vol. 5. Fasc. 1. Núm.  9. Junio 2022
ISSN online: 2659-7535
ISSN impreso: 2605-0579
Vol. 5. Fasc. 1. Núm. 9. Junio 2022
10.24129/j.retla.05109.fs2201005
Recibido: 30 de enero de 2022
Aceptado: 16 de marzo de 2022
Casos Clínicos

Osteomielitis de fémur: amputación vs. preservación de la extremidad

Femur osteomyelitis: amputation vs. limb preservation

Rev Esp Traum Lab. 2022;5(1):42-6

Resumen: 

Presentamos el caso de un paciente politraumatizado tras un accidente de tráfico in itinere que desarrolló osteomielitis crónica de fémur y consolidación viciosa, asociada a lesión neurológica del nervio ciático poplíteo externo, cuyas opciones terapéuticas pasaban por la amputación supracondílea vs. cirugía de preservación de la extremidad. Se desestimó conjuntamente con el paciente la posibilidad de amputación, procediéndose a realizar cirugía de preservación de la extremidad en 2 tiempos quirúrgicos: el primero de ellos de retirada del material de síntesis, desbridamiento, lavado con reamer irrigator aspirator (RIA) y tratamiento antibiótico sistémico; y, en un segundo tiempo, con la infección erradicada, artrodesis de rodilla mediante un sistema de artrodesis modular (KAM-Titan®).

La secuencia de tratamiento que se muestra consiguió la preservación de la extremidad mediante la erradicación de la osteomielitis y la artrodesis de la rodilla.

Aunque el tratamiento de la osteomielitis debe individualizarse en cada caso, es muy importante seguir unas reglas básicas y secuencias temporales definidas basadas en el desbridamiento y la retirada del implante, la identificación del germen, el tratamiento con antibióticos sistémicos, un periodo ventana sin antibióticos y, tras ello, la fijación/síntesis definitiva.

Abstract: 

We introduce a case of femur osteomyelitis after a road traffic accident. The patient associated a nerve injury of the superficial peroneal branch.

One of treatment options was an above knee amputation. Finally, amputation was rejected and limb preservation surgery was performed in 2 surgical stages, the first was the removal of the intramedullary nail plus debridement with a reamer irrigator aspirator (RIA) system; the second after the infection control, the knee arthrodesis using a modular arthrodesis system (KAM-Titan®).

With this sequence we achieved the lower limb preservation.

Although the osteomyelitis treatment must be individualised in each case, it is mandatory to follow basic rules: debridement and hardware removal, germen identification, culture-directed antibiotics treatment, antibiotic free window period and finally definitive bone fixation.

Introducción

La osteomielitis es una complicación de difícil manejo, relativamente frecuente en traumatología, que puede llegar a afectar hasta a un tercio de los pacientes con lesiones graves y/o con fracturas abiertas de la extremidad inferior(1). El tratamiento de la osteomielitis está influenciado por múltiples factores que pueden dar lugar a una diversidad de tratamientos diferentes. Sin embargo, el tratamiento debe estar basado en unas reglas básicas y secuencias temporales definidas si se quiere tener una mínima garantía de éxito(1,2).

Caso clínico

Presentamos el caso de un paciente politraumatizado tras un accidente de trafico in itinere (camión-coche) que presentó los siguientes diagnósticos:

  • Traumatismo craneoencefálico asociando hematoma subdural.
  • Fractura mandibular.
  • Neumotórax.
  • Fractura de pelvis.
  • Fractura bifocal del fémur.
  • Fractura de la meseta tibial.
  • Parálisis del nervio ciático poplíteo externo (CPE).
  • Fractura diafisaria del húmero abierta.

El paciente fue atendido inicialmente en otro hospital, donde realizaron el control de daños y la posterior osteosíntesis de la pelvis, del fémur mediante un enclavado endomedular y placa lateral distal, de la meseta tibial mediante placa lateral y del húmero mediante enclavado endomedular anterógrado. Durante su estancia en dicho hospital presentó infección en la herida quirúrgica lateral en el fémur distal, que obligó a múltiples desbridamientos, a la retirada del material y a la colocación de un fijador externo puenteando la articulación de la rodilla. Los cultivos fueron positivos para Enterococcus faecium, precisando tratamiento antibiótico intravenoso y posteriormente oral con linezolid.

retla.05109.fs2201005-figura1.png


Figura 1. Galería de radiografías de la situación en que llega el paciente a nuestro hospital. A: se observa la afectación pélvica tratada con una placa ilioinguinal y en sínfisis de pubis más tornillo iliosacro contralateral. En esa misma imagen se aprecia la fractura bifocal del fémur resuelta con un enclavado endomedular y placa lateral en el fémur distal que precisó la retirada en los desbridamientos posteriores. Se utilizó un fijador externo puenteando la rodilla para estabilizar dicha situación. La fractura de la meseta tibial fue tratada con una placa lateral en la tibia; B: radiografía de la fractura mandibular y su resolución; C: consolidación viciosa en antecurvatum de la fractura del fémur distal; D: fractura diafisaria del húmero con enclavado anterógrado.

A los 5 meses, el paciente fue trasladado a nuestro hospital. En la Figura 1 puede verse la situación radiológica del paciente a su ingreso.

retla.05109.fs2201005-figura2.png


Figura 2. Exudado purulento a través de una fístula en la herida quirúrgica lateral en el fémur distal.

Se suspendió el tratamiento antibiótico por vía oral que tomaba, pues aparecía exudado purulento a través del pin proximal del fijador externo, por lo que se retiró el fijador. Las muestras intraoperatorias fueron positivas para Staphylococcus epidermidis. Tres días después el paciente presentó febrícula, elevación de reactantes de fase aguda y exudado purulento a través de una fístula en la herida quirúrgica lateral en el fémur distal (Figura 2).

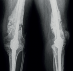
retla.05109.fs2201005-figura3.png


Figura 3. En las imágenes A y B puede observarse la consolidación de la fractura en el fémur proximal. En las imágenes C y D se aprecia la consolidación proximal de la fractura del fémur, así como la consolidación parcial viciosa en el fémur distal. Debido a las consolidaciones que se muestran, no se aplicó ningún método de estabilización entre una cirugía y otra.

Ante esta situación, actuamos asumiendo la existencia de una pandiafisitis femoral. No se realizó una resonancia magnética como estudio de extensión por el bajo rendimiento de la prueba, dado el artefacto que produciría el material de osteosíntesis.

retla.05109.fs2201005-figura4.png


Figura 4. Primer tiempo quirúrgico. A: situación al entrar en el bloque quirúrgico, con balance articular de la rodilla de 0-20° y consolidación viciosa del fémur distal con un antecurvatum de 35°; B: momento de la extracción del clavo endomedular; C: lavado y fresado de todo el canal medular con sistema reamer irrigator aspirator (RIA, Shyntes®) y toma de muestras de medular ósea; D: desbridamiento del foco distal con puentes óseos mediales que daban lugar a una malposición con antecurvatum y una zona de pseudoartrosis lateral con aparición de colección purulenta y hueso desvitalizado, como se aprecia en la imagen. Se tomaron muestras de esta zona y se lavó con abundante suero.

Se plantean al paciente 2 escenarios posibles, que pasaban por la amputación supracondílea vs. cirugía de preservación de la extremidad, asumiendo el riesgo de persistencia de la infección y la disminución funcional de dicha pierna. Se desestimó conjuntamente con el paciente la posibilidad de amputación, llevándose a cabo la cirugía de preservación de la extremidad en 2 tiempos, tras comprobar la consolidación de la fractura en el fémur proximal (Figura 3). El primero de ellos con la retirada del material de síntesis, desbridamiento, lavado con reamer irrigator aspirator (RIA), tratamiento antibiótico sistémico y posterior periodo ventana sin antibióticos con control de la normalización de los parámetros analíticos de infección. El segundo tiempo, con artrodesis de rodilla mediante un sistema de artrodesis modular (KAM-Titan®) (Figuras 4 y 5).

retla.05109.fs2201005-figura5.png


Figura 5. Segundo tiempo quirúrgico. A: abordaje parapatelar lateral extendido que expone la tibia distal, la región articular y el foco de consolidación viciosa en el fémur. Se extrajo la placa lateral de la tibia distal. En la zona articular se objetivó una fibrosis importante que llevaba a una rigidez articular severa; B: se lleva a cabo la rotura de los puentes óseos y la alineación del fémur distal. Se observa la colocación del vástago proximal del sistema modular de artrodesis KAM-Titan®; C: sistema de artrodesis colocado; D: se aprovechó como injerto el hueso extraído para hacer el cajón del bloqueo del sistema para rellenar los defectos óseos existentes.

Las muestras intraoperatorias cultivadas resultaron positivas para S. epidermidis en el fresado medular y E. faecium en todas las muestras del foco distal. La cobertura antibiótica fue la siguiente: 3 semanas intravenosa con vancomicina 0,5 mg cada 12 h + ceftazidima 2 g cada 8 h y otras 3 semanas por vía oral con linezolid 600 mg cada 12 h. El periodo ventana sin antibióticos antes de la segunda cirugía fue de 3 semanas. Se requirió el uso de terapia de presión negativa incisional por presentar dehiscencia de la herida quirúrgica, consiguiéndose la cicatrización completa.

retla.05109.fs2201005-figura6.png


Figura 6. Control radiológico al año, donde se observa la fusión articular y la integración del injerto óseo.

En el control al año el paciente no ha presentado ningún signo de reactivación de la infección con los reactantes de fase aguda dentro de la normalidad. Se ha recuperado parcialmente de la parálisis del CPE y deambula sin ayuda de muletas (Figura 6).

Discusión

La toma de decisiones de este caso vino condicionada:

  1. Por la situación clínica de la pierna afecta, que presentaba: parálisis del CPE, rigidez articular de la rodilla, fémur distal en antecurvatum, hueso desvitalizado, atrofia muscular global, artrosis postraumática de la rodilla y partes blandas debilitadas por las cirugías previas.
  2. Por la toma de decisiones conjunta con el paciente. 

La situación de la extremidad afecta que acabamos de describir nos hizo descartar las opciones terapéuticas más ambiciosas, que pasaban por una reosteosíntesis del fémur pensando en un futuro en la implantación de una prótesis total de rodilla.

La artrodesis de rodilla y la amputación eran las opciones más realistas. En la literatura, podemos encontrar artículos que reportan ventajas de una opción sobre otra, pero también trabajos que muestran resultados similares en cuanto a funcionalidad y calidad de vida a largo plazo(3,4,5). Al paciente se le planteó la amputación como forma de conseguir unos resultados funcionales aceptables minimizando los riesgos y las consecuencias del mal control de un proceso séptico activo, o bien la artrodesis como forma de preservar la extremidad asumiendo múltiples tratamientos quirúrgicos con la falta de certeza con respecto a la erradicación o no de la infección y la pérdida de función de la extremidad. Finalmente, el paciente optó por esta segunda opción, que nos llevó a resolver el caso como hemos mostrado.

Conclusiones

Aunque el tratamiento de la osteomielitis debe individualizarse en cada caso, es muy importante seguir unas reglas básicas y secuencias temporales definidas basadas en el desbridamiento y la retirada del implante, la identificación del germen, el tratamiento con antibióticos sistémicos, un periodo ventana sin antibióticos y, tras ello, la fijación/síntesis definitiva. El análisis detenido de cada caso debe llevarnos a plantear opciones realistas y consensuadas con el paciente.

Figuras

Figura 1. Galería de radiografías de la situación en que llega el paciente a nuestro hospital. A: se observa la afectación pélvica tratada con una placa ilioinguinal y en sínfisis de pubis más tornillo iliosacro contralateral. En esa misma imagen se aprecia la fractura bifocal del fémur resuelta con un enclavado endomedular y placa lateral en el fémur distal que precisó la retirada en los desbridamientos posteriores. Se utilizó un fijador externo puenteando la rodilla para estabilizar dicha situación. La fractura de la meseta tibial fue tratada con una placa lateral en la tibia; B: radiografía de la fractura mandibular y su resolución; C: consolidación viciosa en antecurvatum de la fractura del fémur distal; D: fractura diafisaria del húmero con enclavado anterógrado.

Figura 2. Exudado purulento a través de una fístula en la herida quirúrgica lateral en el fémur distal.

Figura 3. En las imágenes A y B puede observarse la consolidación de la fractura en el fémur proximal. En las imágenes C y D se aprecia la consolidación proximal de la fractura del fémur, así como la consolidación parcial viciosa en el fémur distal. Debido a las consolidaciones que se muestran, no se aplicó ningún método de estabilización entre una cirugía y otra.

Figura 4. Primer tiempo quirúrgico. A: situación al entrar en el bloque quirúrgico, con balance articular de la rodilla de 0-20° y consolidación viciosa del fémur distal con un antecurvatum de 35°; B: momento de la extracción del clavo endomedular; C: lavado y fresado de todo el canal medular con sistema reamer irrigator aspirator (RIA, Shyntes®) y toma de muestras de medular ósea; D: desbridamiento del foco distal con puentes óseos mediales que daban lugar a una malposición con antecurvatum y una zona de pseudoartrosis lateral con aparición de colección purulenta y hueso desvitalizado, como se aprecia en la imagen. Se tomaron muestras de esta zona y se lavó con abundante suero.

Figura 5. Segundo tiempo quirúrgico. A: abordaje parapatelar lateral extendido que expone la tibia distal, la región articular y el foco de consolidación viciosa en el fémur. Se extrajo la placa lateral de la tibia distal. En la zona articular se objetivó una fibrosis importante que llevaba a una rigidez articular severa; B: se lleva a cabo la rotura de los puentes óseos y la alineación del fémur distal. Se observa la colocación del vástago proximal del sistema modular de artrodesis KAM-Titan®; C: sistema de artrodesis colocado; D: se aprovechó como injerto el hueso extraído para hacer el cajón del bloqueo del sistema para rellenar los defectos óseos existentes.

Figura 6. Control radiológico al año, donde se observa la fusión articular y la integración del injerto óseo.

Cita bibliográfica

Chaverri Fierro D, Segura Mata JC, López Lapuerta C, Valero Tena E, López Sagasta L, García Pequerul JMOsteomielitis de fémur: amputación vs. preservación de la extremidad. Rev Esp Traum Lab. 2022;5(1):42-6. doi: 10.24129/j.retla.05109.fs2201005

Responsabilidades éticas

Protección de personas y animales. Los autores declaran que los procedimientos seguidos se conformaron a las normas éticas del comité de experimentación humana responsable y de acuerdo con la Asociación Médica Mundial y la Declaración de Helsinki.

Confidencialidad de los datos. Los autores declaran que han seguido los protocolos de su centro de trabajo sobre la publicación de datos de pacientes y que todos los pacientes incluidos en el estudio han recibido información suficiente y han dado su consentimiento informado por escrito para participar en dicho estudio.

Derecho a la privacidad y consentimiento informado. Los autores declaran que en este artículo no aparecen datos de pacientes.

Financiación. Los autores declaran que este trabajo no ha sido financiado.

Conflicto de interés. Los autores declaran no tener ningún conflicto de intereses.

Referencias bibliográficas

  • 1
    Ochsner PE, Borens O, Bodler PM, Broger I, Eich G, Hefti F, et al. Infections of the musculoskeletal system. Basic principles, prevention, diagnosis and treatment. 1st ed. Grandvaux, Switzerland: Swiss Orthopaedics; 2014.
  • 2
    Parvizi J, Gehrke T. Segundo Consenso Internacional sobre Infecciones Musculoesqueléticas. International Consensus Group LLC; 2018. Disponible en: https://www.secot.es/media/docs/consenso_internacional/parte_0_indice.pdf.
  • 3
    Hungerer S, Kiechle M, von Rüden C, Militz M, Beitzel K, Morgenstern M. Knee arthrodesis versus above-the-knee amputation after septic failure of revision total knee arthroplasty: comparison of functional outcome and complication rates. BMC Musculoskelet Disord. 2017 Nov 13;18(1):443.
  • 4
    Chen AF, Kinback NC, Heyl AE, McClain EJ, Klatt BA. Better function for fusions versus above-the-knee amputations for recurrent periprosthetic knee infection. Clin Orthop Relat Res. 2012 Oct;470(10):2737-45.
  • 5
    Wu CH, Gray CF, Lee GC. Arthrodesis should be strongly considered after failed two-stage reimplantation TKA. Clin Orthop Relat Res. 2014 Nov;472(11):3295-304.

Descargar artículo: 

Icono PDF retla.05109.fs2201005-osteomielitis-femur-amputacion-vs-preservacion.pdf

Licencia: 

Este contenido es de acceso abierto (Open-Access) y se ha distribuido bajo los términos de la licencia Creative Commons CC BY-NC-ND (Reconocimiento-NoComercial-SinObraDerivada 4.0 Internacional) que permite usar, distribuir y reproducir en cualquier medio siempre que se citen a los autores y no se utilice para fines comerciales ni para hacer obras derivadas.

Comparte este contenido

En esta edición

Licencia de Creative Commons
Revista Española de Traumatología Laboral está distribuida bajo una licencia de Creative Commons Reconocimiento-NoComercial-SinObraDerivada 4.0 Internacional.