Tratamiento de la osteomielitis crónica mediante la técnica de las membranas inducidas de Masquelet
Treatment of chronic osteomyelitis using Masquelet’s induced membrane technique (and autograft extraction with RIA 2 system)
Resumen:
La osteomielitis crónica es una infección del hueso de difícil diagnóstico y tratamiento, debido a la inespecificidad de los síntomas y las pruebas complementarias, y a la pobre vascularización del hueso.
Se presenta el caso de un joven que tras un accidente laboral se fractura el pilón tibial. En la cirugía de reducción abierta y fijación interna sufre una infección asociada al material de osteosíntesis que se cronifica. El caso llega a nuestro hospital y se decide realizar un tratamiento en 2 tiempos mediante la resección de los tejidos no viables y la reconstrucción del defecto óseo. Para ello, se emplea la técnica de las membranas inducidas de Masquelet y la extracción de autoinjerto con el sistema RIA 2.
Mediante este caso se trata de explicar ambas técnicas. Trece meses tras la cirugía de reconstrucción el paciente permanece asintomático.
Abstract:
Chronic osteomyelitis is a bone infection that presents difficulties in both diagnosis and treatment, due to low specificity of symptoms and the poor bone vascularization. We present this case: a young man suffers a work accident that ends in a pilon fracture. During the surgery of open reduction and internal fixation the bone is infected, and it chronifies. We receive the patient at our hospital and decide to try a treatment in 2 steps by the resection of the infected tissue, and reconstruction of the bone defect. We apply the induced membrane technique of Masquelet, and the autograft extraction with the RIA 2 system. With this case we explain both techniques. Thirteen months after the reconstruction surgery the patient remains with no symptoms.
Introducción
La osteomielitis puede definirse como la inflamación del tejido óseo producida por un agente infeccioso. Según la clasificación patogénica de Waldvogel hay 3 clases de osteomielitis: hematógena, asociada a insuficiencia vascular y por contigüidad. Este último tipo será el observado en el ámbito laboral debido al trauma de alta energía, denominada osteomielitis postraumática. También podemos clasificarlas según su tiempo de evolución en agudas y crónicas.
La osteomielitis crónica representa un problema sanitario importante debido a su alta morbilidad y dificultad para su manejo.
Esta infección ocurre entre un 5 y un 50% en fracturas abiertas, y menos de un 1% en fracturas cerradas con uso de material de osteosíntesis(1).
El correcto diagnóstico de las infecciones óseas supone un reto debido a la inespecificidad de los síntomas y marcadores de inflamación, y en muchas ocasiones también de las pruebas de imagen y los análisis histopatológicos.
La sospecha clínica nos lleva a realizar radiografías del segmento óseo, análisis de los marcadores (los más utilizados son la velocidad de sedimentación globular –VSG– y la proteína C reactiva –PCR–) y toma de muestras de tejidos profundos (no son válidas las tomas de material purulento a través de la herida, ya que se mezclan los microorganismos con los propios de la piel)(2). Los cultivos deben mantenerse un mínimo de 14 días debido a bacterias de crecimiento lento como el Propionibacterium acnes asociado al material de osteosíntesis(1). En los casos de proceso crónico realizaremos pruebas de imagen de extensión, siendo la más usada la resonancia magnética (RM) debido a su alta sensibilidad para la patología; actualmente la prueba de imagen con mayor capacidad de diagnóstico es la tomografía por emisión de positrones (PET)-tomografía axial computarizada (TAC) –añade a una prueba de imagen como la TAC información acerca de la actividad metabólica en la zona–, pero debido a su alto coste no está tan extendida como la RM(2). El análisis histológico de tejidos blandos y hueso nos ayuda a confirmar el diagnóstico(1).
La patología se suele clasificar según la propuesta de Cierny y Mader en función de la afectación ósea: el tipo 1 afecta a la cavidad medular, el 2 afecta al hueso cortical, el 3 es más extensa pero con límites definidos y manteniendo la estabilidad en el hueso, y el 4 es difusa y con pérdida de la estabilidad antes o después del desbridamiento; y en función del estado clínico del paciente: el tipo A con paciente sano, el B1 con afectación local por insuficiencia venosa, fibrosis, artrosis, grandes cicatrices; el B2 con afectación sistémica por comorbilidad e inmunodepresión; y el C con paciente en malas condiciones clínicas(3).
El tratamiento de las osteomielitis crónicas postraumáticas asociadas al material de osteosíntesis se basa en la retirada de material de osteosíntesis, el desbridamiento de todo tejido óseo no viable, el tratamiento antibiótico contra el microorganismo aislado en cultivos y la ulterior reconstrucción del defecto óseo generado por el desbridamiento.
La técnica de las membranas inducidas de Masquelet descrita en 1986 se ha establecido como una buena alternativa para la curación de la infección y la reconstrucción de defectos óseos de gran tamaño, mediante un tratamiento en 2 tiempos(4).
Presentación del caso
Se trata de un varón de 39 años sin antecedentes patológicos de interés que tras una caída desde altura sufre fracturas cerradas de pilón tibial y de peroné suprasindesmal (Figura 1). Presenta en el momento gran tumefacción generalizada del tobillo sin presentar flictenas ni soluciones de continuidad en la piel. Se realiza una fijación externa temporal con un sistema Hoffmann 3, que 10 días después se recambia por una fijación interna con placas y tornillos (Figura 2).
Durante las semanas siguientes comienza una evolución tórpida, con supuración a través de la herida quirúrgica, aumento de la temperatura local, fiebre y dolor. Se envían a cultivar muestras de exudado que se positivizan para Staphylococcus aureus sensible a la meticilina (SAMS), por lo que se comienza una pauta con vancomicina 1 g cada 12 horas y ceftazidima 2 g cada 8 horas. Se empiezan a realizar curas seriadas en quirófano combinándolas con terapia de presión negativa con sistema VAC (vacuum assisted closure). Termina por exponerse el material de osteosíntesis. Un mes tras la primera intervención se decide realizar la retirada del material y la fijación con un fijador externo monolateral articulado XCaliber (Figura 3); se necesita también la intervención por parte de cirugía plástica para la cobertura de los tejidos expuestos. Se toman muestras intraoperatorias, cuyos cultivos son negativos. Comienza una pauta de antibioterapia de amplio espectro con cloxacilina + rifampicina intravenosa (i.v.) durante su ingreso. Al alta continúa con una pauta de rifampicina 600 mg y levofloxacino 500 mg cada 24 horas durante las siguientes 2 semanas. Antes del alta se objetiva la normalización del estado clínico y analítico.
El fijador se mantiene durante 5 meses y es retirado tras observarse consolidación parcial con puentes óseos en la TAC. Durante los meses siguientes se observa una deformidad progresiva en varo del miembro y una no consolidación de la fractura (Figura 4). Se realiza una gammagrafía que es compatible con pseudoartrosis. Finalmente, 1 año tras la fractura ingresa en el hospital por pseudoartrosis con sospecha de osteomielitis crónica.
A su llegada se somete al paciente a diferentes pruebas complementarias. La analítica no presenta elevación de los marcadores de infección. A su ingreso se inicia una pauta con vancomicina 1 g cada 12 horas y ceftazidima 2 g cada 8 horas.
La RM se informa como una lesión endomedular en la tibia distal con tejido de granulación, con extensión a través del defecto óseo al vientre muscular del flexor hallucis longus (Figura 5).
La sospecha en este momento es de pseudoartrosis asociada a una osteomielitis crónica.
El objetivo del tratamiento terapéutico en este momento es la resección de los tejidos óseos desvitalizados, la posterior curación de la infección y la ulterior reconstrucción del defecto óseo.
Se realiza en 2 tiempos mediante la técnica de las membranas inducidas de Masquelet. En un primer tiempo se necesita una resección agresiva de los tejidos infectados y toma de muestras intraoperatorias, con posterior inclusión de un espaciador de cemento y estabilización(4). En este caso, resección ósea ampliada de 10 cm incluyendo la articulación del tobillo, toma de muestras, espaciador de cemento con vancomicina y estabilización interna con un clavo de Steinmann (Figuras 6 y 7). Los cultivos intraoperatorios son positivos para para Staphylococcus epidermidis sensible a la meticilina (SEMS). Se ajusta la pauta antibiótica suspendiendo la ceftazidima y continuando con la vancomicina. Los fragmentos de hueso enviados a anatomía patológica son informados como fibrosis parcheada en espacios medulares con focos inflamatorios crónicos y discreta proliferación vascular. Se confirma el diagnóstico. El paciente se va de alta hospitalaria con trimetoprima/sulfametoxazol 160 mg/800 mg 1 comprimido/12 h por vía oral (v.o.) durante 6 semanas.
Masquelet describió que el espaciador de cemento produce una reacción ante un cuerpo extraño y la formación de una membrana biológica alrededor de él; esta membrana genera un ambiente óptimo para la reconstrucción del defecto óseo mediante un futuro injerto: evitando su reabsorción, aportando vascularización y liberando factores que favorecen la osteogénesis, como TGF-β1, VEGF, BMP-2(4).
Tres meses más tarde el paciente no presenta síntomas de infección, las heridas tienen buen aspecto y en las analíticas no se observa actividad inflamatoria. Se procede con el segundo tiempo.
Tras la curación de la infección, siguiendo con la técnica de Masquelet, se realiza apertura de la membrana biológica, extracción del cemento y sustitución de este con injerto óseo esponjoso.
El gold standard para la obtención de este injerto óseo es la extracción de cresta ilíaca autóloga. Sin embargo, en este caso se utiliza el sistema RIA 2 (reamer irrigator aspirator), que consiste en un fresado del canal femoral con un dispositivo de fresado, irrigación y aspiración continua. Este aspirado se realiza de manera percutánea y a través del tendón rotuliano. Esta técnica según la bibliografía nos ofrece mayor volumen de extracción, menor morbilidad de la zona donante, mayor potencial biológico y similares resultados de consolidación que el gold standard(5).
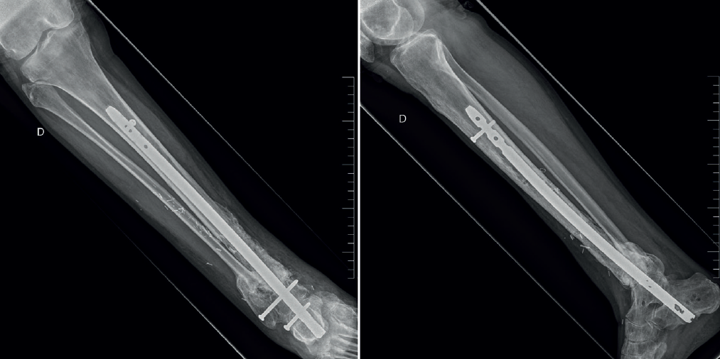
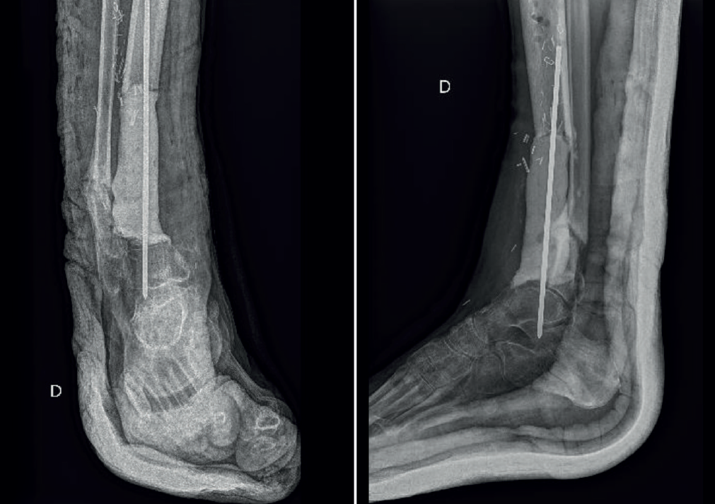
Posteriormente, se estabiliza el miembro mediante un clavo retrógrado de artrodesis tibiotalocalcánea (Figura 8).
Se toman de nuevo muestras intraoperatorias que son positivas para para SEMS y Staphylococcus epidermidis resistente a la meticilina (SEMR), por lo que se pauta una antibioterapia con daptomicina i.v. durante 1 semana. Posteriormente, de manera ambulatoria será tratado con linezolid 600 mg cada 12 horas durante 6 a 8 semanas.
Se le da el alta al paciente.
Cinco meses tras la cirugía el paciente presenta un episodio de dolor e inflamación con fiebre de 38 °C, por lo que se da una nueva pauta antibiótica con linezolid 600 mg cada 12 horas y rifampicina 600 mg cada 24 horas durante 6 semanas.
A los 6 meses tras la cirugía se observa consolidación completa del injerto en las radiografías, ausencia de síntomas de infección y normalización de la PCR y la VSG en las analíticas de control.
El paciente presenta una dismetría del miembro afectado de 25 mm (Figura 9) que se corrige con un alza.
Un año tras la cirugía, el paciente se encuentra bien, sin dolor en la pisada, no presenta signos ni síntomas de inflamación y las analíticas son normales (Figura 10). En las radiografías se observa consolidación completa (Figura 11).
Discusión y conclusiones
Ante una osteomielitis crónica, el tratamiento debe ser agresivo y precoz. La toma de muestras de exudado y la antibioterapia oral empírica no son efectivas frente a una osteomielitis; la toma de muestras debe ser profunda y la antibioterapia dirigida.
La curación de la infección se realiza mediante la resección de los tejidos desvitalizados y antibioterapia dirigida. Esta resección produce un defecto óseo que debe ser reconstruido mediante un injerto o transporte óseo.
En este caso, la técnica de Masquelet fue una buena opción para la resolución de la infección y la reconstrucción del defecto, y la obtención de autoinjerto mediante RIA nos ofrece mayor volumen de extracción, menor morbilidad de la zona donante, mayor potencial biológico y similares resultados de consolidación que el gold standard (autoinjerto de cresta ilíaca).
Figuras
Figura 1. Radiografía. Fractura conminuta del pilón tibial derecho y fractura del peroné suprasindesmal ipsilateral. Estabilizada con férula suropédica.
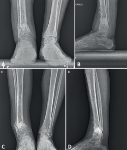
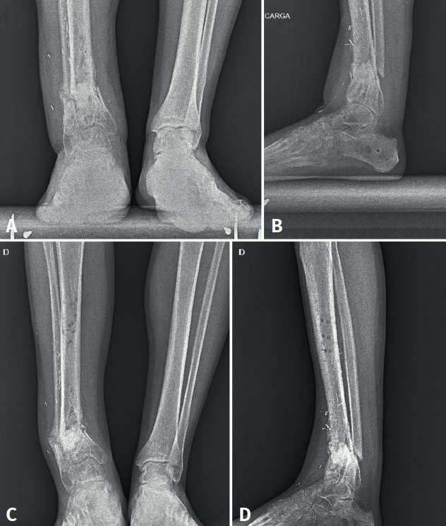
Figura 4. Radiografías A y B: deformidad del tobillo un mes tras la retirada del fijador externo; C y D: 5 meses tras la retirada.
Figura 5. Resonancia magnética un año tras la fractura, informada como lesión endomedular en la tibia distal con tejido de granulación, con extensión a través del defecto óseo al vientre muscular del flexor hallucis longus. Sospecha de pseudoartrosis asociada a una osteomielitis crónica.
Figura 6. Control radiológico postoperatorio tras el primer tiempo quirúrgico de resección ósea de 10,7 cm incluyendo la articulación del tobillo, inclusión del espaciador de cemento y estabilización con clavo de Steinmann.
Figura 7. Resonancia magnética del defecto óseo tras la resección ósea del primer tiempo quirúrgico.
Figura 8. Control radiológico postoperatorio del segundo tiempo quirúrgico. Aporte de injerto óseo y artrodesis tibiotalocalcánea mediante clavo retrógrado.
Información del artículo
Cita bibliográfica
Autores
Pablo Diéguez Rey
Hospital Asepeyo Coslada. Madrid
Ricardo Rodríguez de Oya
Unidad de Traumatología. Hospital Monográfico Asepeyo Coslada. Madrid
Javier Zamora Vicente de Vera
Hospital Asepeyo Coslada. Madrid
Elvira Iglesias Durán
Unidad de Miembro Inferior. Hospital Asepeyo Coslada. Madrid
Complejo Hospitalario Quirón Ruber Juan Bravo. Madrid
Universidad Europea. Madrid
Javier Ledesma Ruiz
Hospital Asepeyo Coslada. Madrid
Responsabilidades éticas
Protección de personas y animales. Los autores declaran que para esta investigación no se han realizado experimentos en seres humanos ni en animales.
Confidencialidad de los datos. Los autores declaran que han seguido los protocolos de su centro de trabajo sobre la publicación de datos de pacientes.
Derecho a la privacidad y consentimiento informado. Los autores declaran que en este artículo no aparecen datos de pacientes.
Financiación. Los autores declaran que este trabajo no ha sido financiado.
Conflicto de interés. Los autores declaran no tener ningún conflicto de intereses.
Referencias bibliográficas
-
1Lima AL, Oliveira PR, Carvalho VC, Cimerman S, Savio E; Diretrizes Panamericanas para el Tratamiento de las Osteomielitis e Infecciones de Tejidos Blandos Group. Recommendations for the treatment of osteomyelitis. Braz J Infect Dis. 2014 Sep-Oct;18(5):526-34.
-
2Hogan A, Heppert VG, Suda AJ. Osteomyelitis. Arch Orthop Trauma Surg. 2013 Sep;133(9):1183-96.
-
3Cierny G 3rd, Mader JT, Penninck JJ. A clinical staging system for adult osteomyelitis. Clin Orthop Relat Res. 2003 Sep;(414):7-24.
-
4Karger C, Kishi T, Schneider L, Fitoussi F, Masquelet AC; French Society of Orthopaedic Surgery and Traumatology (SoFCOT). Treatment of posttraumatic bone defects by the induced membrane technique. Orthop Traumatol Surg Res. 2012 Feb;98(1):97-102.
-
5Stafford PR, Norris BL. Reamer-irrigator-aspirator bone graft and bi Masquelet technique for segmental bone defect nonunions: a review of 25 cases. Injury. 2010 Nov;41 Suppl 2:S72-7.
Descargar artículo:
Licencia:
Este contenido es de acceso abierto (Open-Access) y se ha distribuido bajo los términos de la licencia Creative Commons CC BY-NC-ND (Reconocimiento-NoComercial-SinObraDerivada 4.0 Internacional) que permite usar, distribuir y reproducir en cualquier medio siempre que se citen a los autores y no se utilice para fines comerciales ni para hacer obras derivadas.
Comparte este contenido
En esta edición
- Cinco años después...
- Uso y resultados, en el medio laboral, de las transferencias tendinosas para paliar las lesiones irreparables de los tendones del manguito rotador del hombro
- Accidentes de tráfico en el ámbito laboral y sus repercusiones
- Aplicación de la analítica predictiva en el modelo de gestión de contingencia común
- ¿Proporciona la amputación un mejor resultado funcional que preservar la extremidad en las fracturas severas de tobillo de tipo IIIB o IIIC de Gustilo?
- Tratamiento de la osteomielitis crónica mediante la técnica de las membranas inducidas de Masquelet
- Nirmatrelvir/Ritonavir para el tratamiento de la COVID-19 en la vida real de un hospital de mutua laboral. A propósito de un caso
Más en PUBMED
Más en Google Scholar
Más en ORCID


Revista Española de Traumatología Laboral está distribuida bajo una licencia de Creative Commons Reconocimiento-NoComercial-SinObraDerivada 4.0 Internacional.
























